Plus qu’une présentation technique, il s’agissait pour le Dr Vincent Ronco de développer son propos sur ce concept global en chirurgie plastique parodontale, basé sur les principes d’une approche unique, sécurisante et reproductible de traitement des récessions parodontales. Sa philosophie de traitement, qui s’appuie sur une microchirurgie mini-invasive, est sous-tendue par une approche chirurgicale segmentée, de nouvelles techniques de sutures suspendues, une gestion révisée des greffons conjonctifs et une analyse spécifique de la zone de transition couronne-racine.
En effet, en préalable de l’action chirurgicale, le Dr Ronco défend une analyse précise de l’anatomie dentaire dont découlent des aménagements et reconstructions biomimétiques de la jonction amélo-cémentaire. La gencive a besoin d’être guidée par la morphologie dentaire pour que les tissus se repositionnent à l’unisson. Il convient donc de gérer les concavités radiculaires identifiées et de traiter les patients présentant une parodontite dans les deux mois précédant la chirurgie plastique envisagée, et dans le mois précédant dans le cas d’une gingivite. Le Dr Ronco retient que la littérature ne relève pas d’intérêt particulier des traitements chimiques de surface des racines exposées.
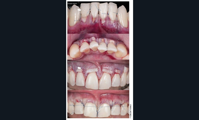
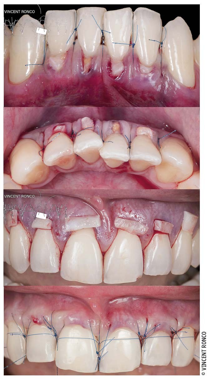
Il définit la procédure comme une interconnexion de poches formant un tunnel, initiées par des incisions sulculaires invisibles, poursuivies par une préparation gingivale selon le phénotype parodontal (épaisseur partielle ou totale), complétées par une préparation muqueuse en épaisseur partielle. Le décollement papillaire finalise la préparation du tunnel dont la continuité et la laxité sont vérifiées.
La demande croissante en chirurgie plastique parodontale, qu’elle soit motivée par des préoccupations esthétiques, fonctionnelles ou antalgiques, a stimulé, depuis le milieu des années 1980, le développement de nouvelles approches thérapeutiques.
Malheureusement, la grande diversité des protocoles chirurgicaux est de nature à brouiller la démarche du clinicien. En outre, ces protocoles ne sont pas équivalents au regard de la gestion du tissu kératinisé, du rendu esthétique, de la plage d’indications et, surtout, du risque de complication. Tout au long de sa présentation, le Dr Ronco a pris soin d’expliciter son propos à l’aide de cas cliniques illustrant les principales situations rencontrées. Qu’il s’agisse d’une éventuelle préparation de la surface radiculaire, de l’étape de préparation papillaire, du niveau d’exposition du greffon conjonctif, de ses caractéristiques dimensionnelles, de la logique des sutures « ceinture et bretelles », aucune étape, nulle procédure, pas un geste ne sont conduits au hasard, mais tous font appel à des fondements issus de la littérature scientifique.
Deux précédentes conférences
C’est sur le principe de cette même exigence que se sont succédé les conférenciers dès la rentrée de septembre 2022 : le Dr Gary Finelle et le Dr Stéphane Simon. Le premier pour exposer les « concepts modernes en implantologie omnipratique », illustrant ainsi la mutation inédite de la pratique implantaire au cours de ces dix dernières années. La révolution technologique chamboule la dentisterie contemporaine autour de trois concepts actuels : le micro-invasif, biomimétique – déjà au cœur de la conférence précédemment retranscrite – sans oublier le numérique.
L’effort constant de l’industrie à développer et innover, combiné à celui de la communauté scientifique à valider des process et matériaux nouvellement introduits (particulièrement dans le domaine numérique), propulse la dentisterie vers des prises en charge thérapeutiques « digitales » mieux connectées et mieux contrôlées. Ces évolutions majeures conduisent progressivement les praticiens à modifier leur pratique pour tirer bénéfice de flux numériques (workflow) simples et reproductibles.
La présentation du Dr Finelle eu pour objectif de discuter des notions de profils d’émergence selon les sites intéressés, mais aussi d’identifier les nouveaux paradigmes chirurgicaux, prothétiques et numériques en implantologie en abordant procédures de traitement optimisées (comme dans les protocoles de mise en esthétique immédiate ou du concept de l’obturation de l’alvéole d’extraction « SSA »).
Avec le Dr Stéphane Simon, la conférence de décembre dernier a ouvert le débat sur la prise de décision dans le domaine de l’endodontie. Si l’établissement d’un diagnostic apparaît aujourd’hui simple, la détermination d’un choix thérapeutique relève d’un certain degré de réflexion. Cette question formulée, souvent sous l’aspect d’un choix manichéen/binaire : « retraiter ou implanter ? », appelle des réponses plus subtiles et dépasse le cadre d’une interrogation débattue à maintes reprises (comme l’orientation thérapeutique vis-à-vis d’une dent présentant une résorption cervicale invasive ou une anatomie atypique).
De ces trois dernières séances du CFLIP émergeait une préoccupation commune qui reliait les conférenciers autour d’une exigence actuelle et générale de la médecine : celle de la désescalade médicale grâce aux progrès constants dans le domaine de l’exploration de l’imagerie, mais aussi des développements des matériaux et des procédures opératoires et surtout de la compréhension des phénomènes biologiques à l’œuvre lors de ces thérapeutiques toujours plus sophistiquées mais constamment moins invasives. Le CFLIP souhaite poursuivre dans ce sens sa mission de partage d’expérience et de transmission des dernières avancées à travers une série de conférences programmées pour 2023.
Emmanuel Gouët et Hadi Antoun
Les prochaines conférences du CFLIP
Mercredi 14 juin 2023
• Drs Frédéric Chamieh et Ahmed Rabiey – De la planification virtuelle à la réalité du traitement : les outils numériques aux services de l’implantologie
Mercredi 11 octobre 2023
• Dr Laurent Nozzi – Zero bone loss concept : le grand tournant en implantologie
Mercredi 13 décembre 2023
• Dr Benjamin Cortasse – Prise en charge de récessions gingivales : quelle stratégie choisir ?

Commentaires