La pulpe de la première molaire permanente dans tous ses états (fig. 1 à 3)
Arabelle Vanderzwalm, Paris
L’immaturité tissulaire de la première molaire permanente lui confère des propriétés biologiques particulières : l’édification radiculaire et la fermeture des apex peuvent durer de 1 à 4 ans après l’éruption de la dent, période au cours de laquelle la dentine est plus perméable. Pendant cette période, la pulpe conserve un potentiel de cicatrisation très élevé. Ainsi, les thérapeutiques doivent être adaptées : la carie sera évaluée selon la classification ICDAS 2 (www.icdas.org) et le potentiel de réparation pulpaire sera exploité au maximum afin de conserver la vitalité le plus longtemps possible. Cependant, l’état histologique pulpaire n’est pas corrélé à la situation clinique, et le choix thérapeutique face à une carie profonde reste problématique : c’est pourquoi un gradient thérapeutique sera appliqué. En fonction de la sévérité de l’atteinte, on pourra pratiquer une excavation en deux temps (« stepwise »), un coiffage direct ou une pulpotomie.
Lésions érosives débutantes : diagnostic différentiel et prise en charge
Elisabeth Dursun, Elodie Savard,
Elisa Vennat, Jean-Pierre Attal, Paris
La prévalence des lésions érosives dentaires est très élevée, puisqu’elle touche 30 à 60 % des patients. L’érosion est une dissolution du tissu dentaire en milieu acide et d’origine non bactérienne, qui se produit selon un phénomène dynamique alternant les phases de déminéralisation et de reminéralisation. Le diagnostic doit être le plus précoce possible, afin de prévenir d’importantes pertes tissulaires : il convient de dépister des lésions subtiles, en les différenciant de l’attrition (processus mécanique résultant des contacts dento-dentaires) et de l’abrasion (phénomène mécanique provenant de différents matériaux). La prise en charge inclut alors une diminution du contact entre l’acide et le tissu dentaire. Les habitudes alimentaires feront l’objet d’un interrogatoire détaillé (acides exogènes). De plus, les pathologies gastro-œsophagiennes et les troubles du comportement alimentaire devront systématiquement être recherchés (acides endogènes). Enfin, les lésions débutantes seront traitées à l’aide de résines : les résines par infiltration sans excavation peuvent aujourd’hui constituer un traitement efficace des lésions les plus précoces, c’est-à-dire sans perte de substance importante.
Comment réaliser sans risque un éclaircissement interne ?
Thibault Drouhet, Marin Pomperski, Claire Chatelain, Gil Tirlet,
Jean-Pierre Attal, Paris
Le principe actif de l’éclaircissement interne est le peroxyde d’hydrogène (H2O2) contenu dans le produit éponyme ou dans le peroxyde de carbamide. Le risque majeur de l’éclaircissement interne est la résorption cervicale externe (RCE), qui apparaît plus fréquemment avec des produits à concentration élevée en principe actif. C’est pourquoi l’éclaircissement interne sera réalisé à l’aide de produits avec des concentrations faibles, de 3 à 10 % d’H2O2, c’est-à-dire de 10 à 16 % de peroxyde de carbamide. De même, le respect du protocole opératoire est un prérequis indispensable pour éviter tout risque de RCE. Un diagnostic endodontique sera réalisé, puis la cavité sera nettoyée sans diminuer l’épaisseur des parois, qui ne doivent pas être trop fines. Un bouchon de CVIMAR scellera l’entrée canalaire, puis le produit d’éclaircissement sera disposé dans la cavité, elle-même fermée à l’aide de composite fluide. La durée d’action du peroxyde d’hydrogène est limitée à une heure, tandis que celle du peroxyde de carbamide s’établit entre 7 et 8 heures : on préférera la seconde forme galénique, que l’on pourra renouveler rapidement. Enfin, le composite stratifié définitif obturant la cavité sera réalisé lors d’un contrôle du résultat une semaine après traitement.
L’éclaircissement externe est-il sans risque ?
Marin Pomperski, Thibault Drouhet, Alexandra Fauque, Gil Tirlet,
Jean-Pierre Attal, Paris
Le principe actif de l’éclaircissement externe est le même que celui de l’éclaircissement interne, mais la question de son effet sur la pulpe vivante est ici posée : le peroxyde d’hydrogène pénétrant les tissus dentaires rapidement, il atteint la pulpe en 15 minutes après son application. Il est ainsi susceptible de créer une inflammation pulpaire, et donc une douleur. Cependant, l’étude exhaustive de la littérature ne permet pas de rapporter de cas de pulpite irréversible, aussi la réversibilité de cette inflammation pulpaire est-elle aujourd’hui avérée. Il est possible de diminuer le risque en contrôlant la concentration : on préférera des peroxydes de carbamide à 16 % maximum, en ambulatoire. De plus, des agents désensibilisants, dépolarisant les terminaisons nerveuses (comme le nitrate de potassium de Sensodyne®) ou oblitérant les canaux dentinaires en fluorant le tissu (comme Elmex Sensitive®) peuvent être appliqués préventivement ou après le traitement.
10 commandements pour traiter une dent infectée
Anne-Charlotte Flouriot, Dominique Martin, Paris
1. Comprendre l’infection endodontique : la pulpe nécrosée constitue un environnement idéal pour la croissance bactérienne à cause du confinement anaérobie et des nutriments présents pour les bactéries.
2. Évaluer la réponse de l’hôte : l’examen clinique permet d’objectiver la nécrose pulpaire grâce aux tests de vitalité, et l’examen radiographique permet de mettre en évidence une éventuelle image radioclaire.
3. Mettre la dent en condition pour le traitement : il convient de déposer les reconstitutions en totalité, et de réaliser une reconstitution pré-endodontique, pour éviter la percolation salivaire et constituer un réservoir pour le produit de désinfection.
4. Désinfecter l’espace canalaire : il s’agit non pas d’éradiquer les bactéries, mais de ramener la charge bactérienne à un niveau compatible avec la santé, grâce à l’action couplée de l’irrigation antiseptique et de l’instrumentation. La perméabilité canalaire doit impérativement être obtenue jusqu’à la longueur de travail car 1 mm d’instrumentation en moins correspond à 14 % d’échecs en plus.
5. Obturer au plus vite : l’obturation a pour but de piéger les bactéries résiduelles en réduisant les espaces de développement possible. Par conséquent, l’obturation doit être réalisée aussi vite que possible, seules deux situations contre-indiquent l’obturation immédiate : impossibilité de sécher l’espace canalaire, et dent symptomatique.
6. Utiliser de l’hydroxyde de calcium ? Certaines études mettent en doute son efficacité, on limitera donc son utilisation aux deux contre-indications à l’obturation dans la même séance susmentionnées.
7. Assurer l’étanchéité coronaire : le succès est sous la dépendance de l’étanchéité de la restauration coronaire, il est donc conseillé de la réaliser rapidement, dans les 3 mois qui suivent l’obturation.
8. Assurer le suivi : le but du traitement est de faire disparaître les signes cliniques, et d’obtenir une guérison de la parodontite apicale. Le suivi est le seul moyen de s’assurer que le traitement est un succès, c’est pourquoi la Société Européenne d’Endodontie préconise un suivi pendant 4 ans. 9. Gérer l’urgence : la parodontite apicale aiguë justifie une mise en forme complète immédiate ainsi qu’une mise en sous-occlusion. L’abcès nécessite un drainage canalaire ou, lorsque celui-ci n’est pas possible, un drainage par incision, voire une extraction en dernier recours.
10. Savoir prescrire les antibiotiques : le recours aux antibiotiques est justifié en cas de signes généraux associés et en cas de drainage et de mise en forme impossible. La molécule de première intention est l’amoxicilline, ou dalacine en cas d’allergie aux pénicillines.
Y a-t-il encore des indications en chirurgie endodontique ?
Grégory Caron, Dominique Martin, Paris
Le terme de « résection apicale » est aujourd’hui obsolète car il n’inclut pas une dimension capitale du traitement : l’obturation a retro. On préférera donc parler de chirurgie endodontique, traitement indiqué lorsque le traitement orthograde est un échec, ou lorsqu’il est impossible (instruments fracturés, diminution de la lumière radiculaire). Les contre-indications sont peu nombreuses, elles sont d’ordre anatomique (sinus, foramen mentonnier) et d’ordre dentaire (fêlure, fracture ou carie). Après un accès par un lambeau de pleine épaisseur, une fenêtre osseuse est réalisée à la fraise boule, puis le tissu de granulation est éliminé. Le recours à des inserts ultrasoniques spécifiquement courbés est conseillé. L’obturation a retro est idéalement réalisée avec du MTA, sous aide optique. Le pronostic de telles interventions est très bon, puisque le taux de succès atteint 94 % dans une récente méta-analyse. Ainsi, il reste bel et bien des indications en chirurgie endodontique.
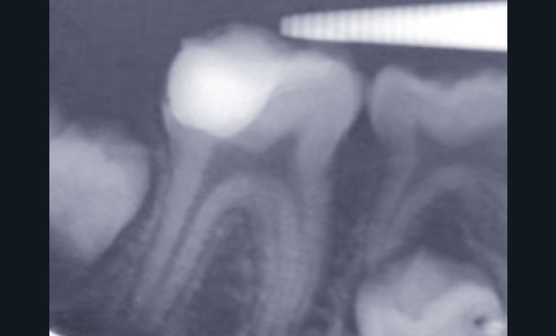
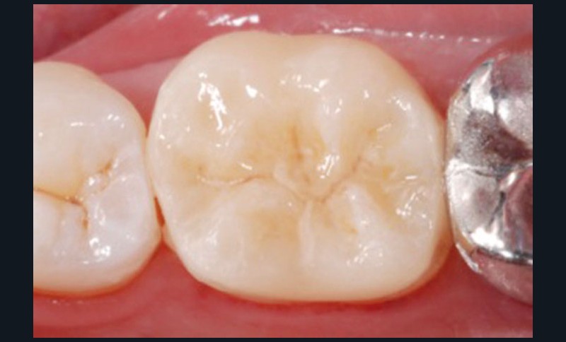
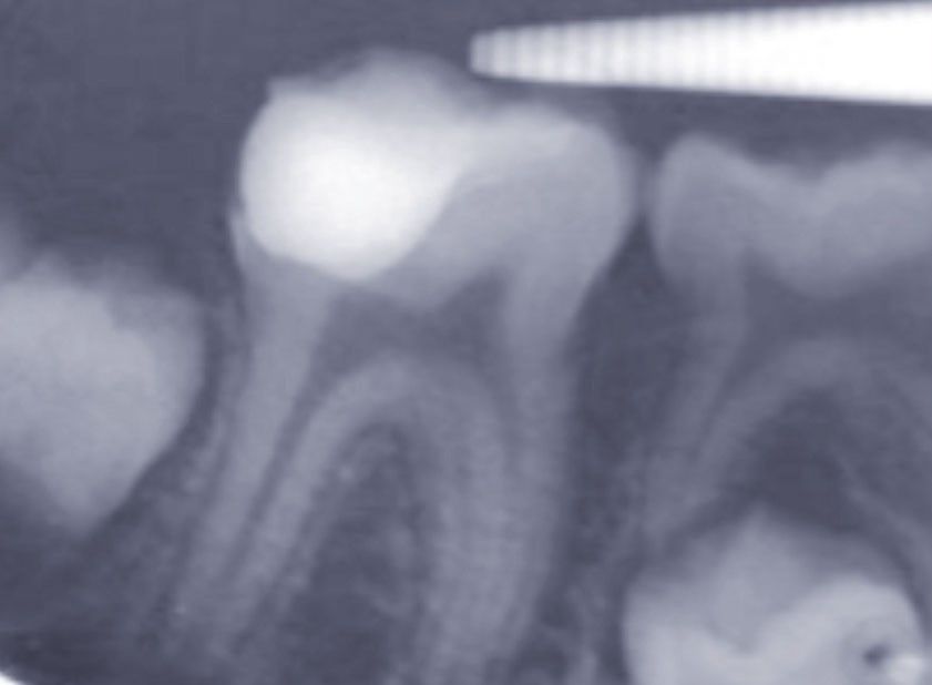
Restaurer sans tenon la dent dépulpée (fig. 4, 5, 6)
Emmanuel d’Incau, Philippe Pia, Arnaud Soenen, Bordeaux
Selon les analyses de la littérature récente, la dent dépulpée n’est pas plus fragile que la dent pulpée. En revanche, les pertes de structure (a fortiori mésio-occluso-distale, lorsque les deux crêtes marginales sont perdues), et plus encore les tenons radiculaires, sont les éléments qui fragilisent la dent dépulpée. Ainsi, aussi souvent que possible, la dent dépulpée sera reconstituée sans tenon.
Lorsque la dent présente 4 parois résiduelles, une restauration en composite direct est indiquée. Pour 3 parois avec au moins une crête marginale, une restauration directe ou indirecte convient, si toutefois elles sont collées, car le collage augmente la résistance mécanique de l’organe dentaire résiduel. Pour 2 parois sans crêtes marginales, l’épaisseur des parois et la nature de la dent (les prémolaires étant plus fragiles que les molaires) vont permettre d’arbitrer entre reconstitution partielle collée ou endocouronne : le sertissage de la dent résiduelle ainsi obtenu la renforce considérablement. Le recours au tenon radiculaire sera donc réservé aux situations de délabrement très important, et il sera utilisé dans un but de rétention, et non pas dans un but de consolidation de l’organe dentaire.
Recouvrement radiculaire : conjonctif enfoui ou membrane xénogénique
Grégoire Chevalier, Hanna Kruk,
Selma Cherkaoui, Xavier Bensaïd, Boyana Kurtchieva-Danchova,
Marc Danan, Paris
La greffe de conjonctif enfoui est aujourd’hui la technique de référence en matière de recouvrement radiculaire. Cependant, cette autogreffe implique un prélèvement, le plus souvent palatin, lui-même engendrant risque hémorragique, suites opératoires, douleur et autre inconfort. C’est pourquoi des substituts ont été proposés, dont la membrane de collagène xénogénique en 2009. Il s’agit d’une membrane de collagène dont l’innocuité a été prouvée, et qui permet de supprimer le site opératoire du prélèvement. Les résultats cliniques sont aujourd’hui légèrement inférieurs à ceux de la greffe de conjonctif enfoui, mais dans un souci de minimisation du trauma chirurgical et des suites opératoires, la membrane pourra être choisie dans des situations cliniques simples. Cette problématique biomatériau contre autogreffe existait déjà avec les greffes osseuses, et la tendance est aujourd’hui à l’amélioration du confort des patients, même si les résultats biologiques sont parfois légèrement inférieurs.
Comment aider un patient au sevrage tabagique ?
Alain Maurel, Créteil
L’abord du sevrage tabagique en consultation odontologique est une situation tout aussi fréquente que délicate : le praticien doit faire preuve d’empathie, estimer le niveau de dépendance et de motivation de son patient, et surtout ne pas aggraver la peur. Si le sevrage est si difficile, c’est parce que la nicotine est un bon médicament, avec quatre effets positifs : psychostimulant, anxiolytique, antidépresseur et anorexigène. La combustion du tabac dégage en revanche de nombreux composés très nocifs. Aussi, si les données restent incomplètes aujourd’hui, l’e-cigarette est incomparablement moins nocive que la cigarette, car elle ne recourt à aucune combustion. Le test de Fagerström permet d’évaluer la dépendance du patient, qui est triple : psychologique, comportementale et physique.
Puis le sevrage est entamé, en proposant de remplacer progressivement les cigarettes une par une par un substitut. Il en existe de nombreux aujourd’hui, de la gomme à l’e-cigarette, qu’il ne faut pas hésiter à recommander.
Enregistrer les rapports d’occlusion en prothèse adjointe complète
Marcel Begin, Isabelle Hutin De Swardt, Isabelle Fouilloux, Paris
Plus de la moitié des échecs en prothèse amovible complète sont dus à un enregistrement inexact des rapports intermaxillaires, probablement à cause de la difficulté à retrouver une dimension verticale adéquate chez l’édenté total. La première étape consiste à positionner le modèle maxillaire par rapport à la branche supérieure de l’articulateur : pour ce faire, une table de transfert est fréquemment utilisée, sur laquelle on positionne la maquette d’occlusion qui doit impérativement être rigide, et sur laquelle doit être repérée la ligne interincisive.
La détermination de la DVO fait appel à une maquette d’occlusion mandibulaire volontairement surdimensionnée en hauteur au départ : la réduction progressive de la hauteur du bourrelet permet d’amener la DVO à un niveau compatible avec la prononciation des sifflantes (technique de Silvermann), puis la DVO obtenue est contrôlée par le test de déglutition de Shanahan.
Enfin, l’enregistrement des rapports intermaxillaires est réalisé avec la technique des chevrons en pâte de Kerr verte, et les informations sont ainsi transférées sur l’articulateur.
Le démontage des ancrages radiculaires
Julien Thomas, François Bronnec, Paris
Le démontage des différents ancrages radiculaires, qu’ils soient métalliques ou fibrés collés, reste une situation délicate pour le chirurgien-dentiste : en effet, les risques de fracture de l’organe dentaire sont élevés, mais avec une analyse préopératoire adéquate et une instrumentation dédiée, ces démontages peuvent bénéficier de protocoles fiables et reproductibles. L’examen clinique avec une sonde parodontale et l’examen radiographique, notamment grâce à des radios excentrées, permettent de dépister d’éventuelles fissures ou fêlures. Ensuite, une découpe minutieuse de la partie coronaire des ancrages est réalisée. Pour le retrait des tenons, l’arrache-couronne est proscrit, au profit de systèmes de retrait de tenons commercialisés par différentes firmes. Enfin, le recours aux ultrasons est indiqué pour mobiliser les tenons, tout en ne dépassant pas cinq minutes d’utilisation, sous peine de fragiliser le tissu dentaire de la racine dévitalisée.
Remplacement d’une dent postérieure unitaire
Ouahiba Bouzit, Nicolas Eid, Daniel Dot
Le manque d’une dent cuspidée postérieure est une situation fréquemment rencontrée au cabinet dentaire. Les solutions vont de l’abstention thérapeutique à la prothèse implanto-portée. Tout édentement de ce type ne sera pas toujours compensé, car l’égression des dents antagonistes ou la version des dents adjacentes n’est pas systématique. La prothèse fixée engendre un coût supérieur à la prothèse amovible, mais également une longévité supérieure. La solution implantaire est une option de traitement qui offre une durée de survie moyenne supérieure à celle de la prothèse fixée. Elle requiert toutefois un volume osseux suffisant pour placer l’implant dans la position idéale pour la reconstitution prothétique. L’arbitrage entre les nombreuses possibilités se fera donc sur des paramètres cliniques, mais aussi sur des paramètres économiques, la prothèse implanto-portée revenant plus cher que la prothèse conventionnelle.
Empreintes optiques : intérêts et limites
Christian Moussaly,
Stéphane Cazier, Paris
Les empreintes optiques ont été proposées par François Duret en 1970, mais, depuis 2010, la concurrence dans la commercialisation des caméras optiques produit d’intéressantes innovations. Ces empreintes remplacent les empreintes classiques avec un matériau tel que les silicones ou l’alginate, et prennent place en amont d’une chaîne de fabrication assistée par ordinateur. La suppression du matériau élimine de fait les déformations liées à la manipulation, au stockage et à l’exploitation des empreintes traditionnelles. De plus, les empreintes optiques peuvent être réalisées relativement rapidement, elles sont duplicables et archivables facilement, on peut les découper et les compléter informatiquement, et enfin, les nouveaux logiciels permettent de corréler les informations à des photos et à des radios. Cependant, les empreintes optiques connaissent des limites inhérentes à leur principe : la lumière se déplaçant en ligne droite, l’acquisition des zones de contre-dépouille reste compliquée, et la lumière ne peut pas compresser les tissus mous comme le font les silicones. De plus, le coût des caméras reste élevé, et la compatibilité entre les différentes marques n’est à ce jour pas toujours possible. Les empreintes optiques deviennent néanmoins un outil incontournable de la dentisterie contemporaine, notamment grâce à leur très grande fiabilité.






Commentaires