La prothèse amovible complète, une affaire d’omnipratique
Michel Pompignoli, Michel Postaire,
Marwan Daas (Paris)
La prothèse amovible complète (PAC) est une affaire d’omnipratique, car 80 % des cas ne présentent pas de difficultés insurmontables. Le rôle de l’omnipraticien est donc de traiter ces cas, mais aussi de savoir évaluer les difficultés afin de repérer les 20 % de cas qui relèvent d’un exercice plus spécialisé en PAC. Pour ce faire, il existe deux étapes incontournables : l’examen clinique et l’anamnèse. Avant même de faire ouvrir la bouche à son patient, il convient de recueillir ses attentes, tant esthétiques que fonctionnelles. La PAC est un exercice certes technique, mais également psychologique, car l’acceptation de la prothèse par le patient ne se fera que si le praticien répond aux attentes du patient. Alors seulement, l’examen clinique permet de définir un plan de traitement : l’analyse de l’anatomie des crêtes, des surfaces d’appui, du rapport intermaxillaire et du volume de la langue notamment permettront de réaliser une prothèse d’usage donnant satisfaction à la majorité des patients.
Plaidoyer pour un suivi des dents temporaires traumatisées
Arabelle Vanderzwalm-Gouvernaire (Paris)
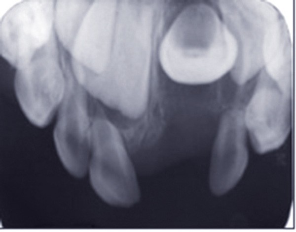
Les traumatismes des dents temporaires connaissent deux pics de fréquence entre 12 et 18 mois, et entre 3 et 4 ans. Ils interviennent donc souvent au cours de la croissance de l’appareil manducateur, avec de possibles conséquences sur le développement de celui-ci, et notamment sur les germes des dents définitives. C’est pourquoi le suivi des dents temporaires traumatisées jusqu’à la fin de la croissance est indispensable. Parmi les étapes qui doivent être surveillées, figure en premier lieu la formation de la dent définitive, qui sera surveillée radiographiquement. Son éruption peut également être perturbée par une dent temporaire traumatisée : le statut pulpaire de celle-ci sera surveillé cliniquement et radiographiquement. En effet, le risque infectieux subsiste après le traumatisme, et le suivi permettra d’éviter des cas de cellulites sévères. Si elle est nécessaire, l’extraction de la dent traumatisée pourra ainsi être réalisée au moment opportun. Enfin, dès la consultation qui a lieu après le traumatisme, les parents doivent être informés de l’importance du suivi, afin qu’ils y participent activement (fig. 1 et 2).
La consultation orthodontique de l’enfant… Oui mais quand ?
Le traitement juste à temps
Sylvie Boyer, Françoise Fontanel (Paris)
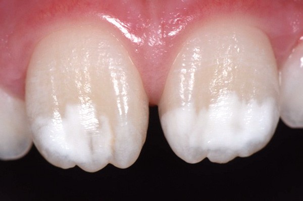
L’omnipraticien est très souvent confronté à cette question lors de sa pratique quotidienne : quel est le bon moment pour adresser les enfants chez l’orthodontiste ? La réponse peut recéler quelques difficultés, car elle est spécifique à chaque enfant. Le temps où il était conseillé d’attendre la denture définitive pour intervenir est révolu : certaines interventions précoces permettent aujourd’hui dans certains cas de raccourcir et de simplifier les traitements orthodontiques. C’est notamment le cas des anomalies transversales, qui sont celles qui sont traitées le plus précocement, dès 6 ans. Ainsi, lors d’anomalie cliniquement évidente, la consultation orthodontique s’impose. Cependant, certaines anomalies sont plus discrètes, et donc plus difficiles à dépister. Une panoramique doit toujours être réalisée en première intention afin de dépister les agénésies. Puis, même en l’absence d’anomalie évidente, il est recommandé d’adresser les enfants chez l’orthodontiste entre 7 et 9 ans : celui-ci sera ainsi à même d’adapter la prise en charge, et surtout l’âge idéal de prise en charge pour chaque patient(fig. 3 et 4).
Que peut-on attendre d’un dentifrice en 2016 ?
Michel Sixou, Delphine Maret (Toulouse)
Les dentifrices contiennent actuellement quatre familles de principes actifs. Le fluor protège efficacement des caries, comme l’a montré l’effondrement du taux de carie lors de sa généralisation dans les années 1980. C’est pourquoi sa présence dans le dentifrice est indispensable. Pour les patients à risque carieux particulièrement élevé, le recours à un dentifrice plus fortement dosé ayant une autorisation de mise sur le marché (AMM), et à ce titre vendu en pharmacie, est recommandé. Les deuxièmes principes actifs sont des agents antibactériens. Leur efficacité sur la flore est très limitée. Les troisièmes sont les agents blanchissants : il s’agit majoritairement d’une action mécanique à base de silice, dont l’usage quotidien se révèle dangereux pour l’émail. Enfin, les quatrièmes sont les agents de minéralisation, utilisés dans les dentifrices désensibilisants, avec une efficacité relative. Toutefois, les dentifrices pourraient connaître une évolution vers des dispositifs plus médicaux dans les années à venir, avec l’introduction des nanotechnologies et des probiotiques.
Les lésions érosives étendues : construire la démarche thérapeutique
Pierre Colon, Nancie Cougot (Paris)
Afin d’apporter une réponse adéquate et efficace au problème des lésions érosives étendues, un recueil préalable de nombreuses informations est nécessaire : l’examen clinique doit être exhaustif, l’écoute des patients doit permettre d’évaluer les attentes esthétiques et fonctionnelles, et la recherche des étiologies doit permettre de dépister toutes pathologies intercurrentes, tel un reflux gastro-œsophagien, un trouble du comportement alimentaire, fréquentes dans le cadre des lésions érosives. À ce titre, la collaboration avec les médecins qui gèrent ces pathologies est souhaitable. D’un point de vue technique, une attention particulière est portée à la dimension verticale : si celle-ci est modifiée, des étapes de temporisation et de réévaluation sont prévues dans le plan de traitement. Le choix des matériaux comme des techniques, directes ou indirectes, doit faire l’objet d’une décision adaptée à chaque situation. Enfin, durée et coûts des traitements doivent être évalués en amont.
Obturation endodontique et biocéramiques : comment un changement de matériau peut amener un changement de paradigme
Stéphane Simon (Paris)
L’objectif du traitement endodontique est de protéger l’os maxillaire de toute infection bactérienne via l’obturation canalaire, traditionnellement réalisée avec un matériau d’obturation (gutta) et un ciment. Récemment apparues sur le marché, les biocéramiques sont des matériaux qui permettent de remplacer à la fois le ciment et le matériau d’obturation. Ces biocéramiques sont des ciments tricalciques, dont un représentant commercial est le Bioroot® RCS. Le matériau peut s’utiliser en technique monocone et, grâce à son excellente mouillabilité et à sa viscosité, il obture tous les espaces endodontiques. L’étanchéité est assurée par les propriétés adhésives du matériau. Enfin, il s’agit d’un matériau bioactif (comme la Biodentine® dont il est dérivé), capable de stimuler le processus de physiologie osseuse, et d’induire la minéralisation de structures dentinaires. Ainsi, sous réserve de confirmation de ces résultats par des études à long terme, ce matériau pourrait remplacer les techniques actuelles faisant appel à un ciment et un matériau d’obturation.
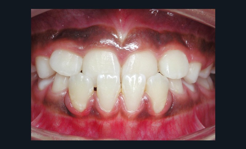
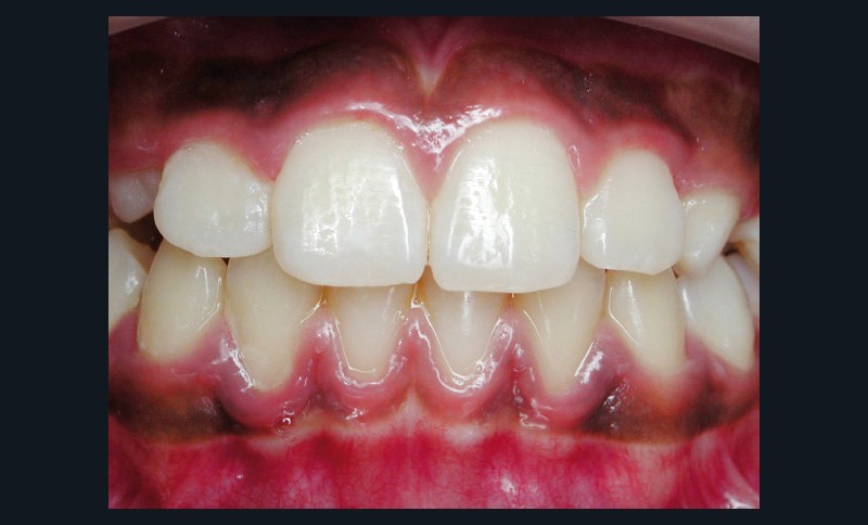
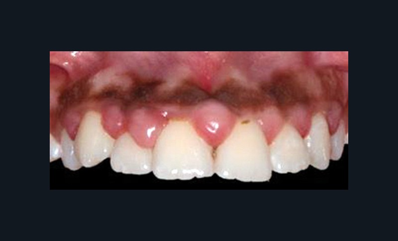
Les traitements non chirurgicaux en parodontie
Xavier Bensaid, Hanna Kruk, Selma Cherkaoui, Grégoire Chevalier, Marc Danan (Paris)
La parodontite chronique est une maladie inflammatoire d’origine bactérienne, dont la prévalence est très élevée. Bien que les progrès des thérapeutiques soient nombreux et concernent un nombre important de traitements parodontaux, la thérapeutique étiologique non chirurgicale reste le traitement initial de choix des parodontites. Elle comprend un enseignement à l’hygiène orale et un débridement mécanique du biofilm bactérien, à l’aide d’ultrasons ou de curettes. L’antibiothérapie systémique n’est pas systématique, mais est indiquée dans les cas les plus sévères. Souvent, la seule thérapie mécanique se montre efficace et suffisante pour obtenir des améliorations cliniques très significatives. Cependant, elle a aussi des limites, et certains sites d’accès délicats nécessitent alors une thérapeutique chirurgicale complémentaire. Enfin, la stabilisation de la situation à long terme ne peut être obtenue que si une maintenance rigoureuse et régulière est mise en place(fig. 5 et 6).
Tomographie volumique à faisceau conique (TVFC) : le choix des champs
Gérard Pasquet, Tien-Huong Nguyen,
A. Ait-Ameur (Paris)
La tomographie volumique à faisceau conique s’est imposée comme la technique de choix dans l’exploration des dents et du massif facial. Toutefois, le choix du champ reste un enjeu important de l’amélioration de la technique, tant pour la diminution de l’irradiation que pour l’amélioration du diagnostic. On distingue quatre options en matière de champs. Le petit champ a une taille comprise entre 6×6 et 8×8 cm, avec une résolution spatiale inférieure à 200 microns : il est indiqué dans la recherche de lésions apicales localisées notamment. Un petit champ de taille 4×4 à 6×6 cm avec une résolution inférieure à 150 microns sera plus adapté pour la détection de fêlures radiculaires. Un champ moyen, compris entre 8×8 et 8×12 cm, avec une résolution intermédiaire inférieure à 200 microns, sera adapté à l’examen des dents incluses et à l’étude des rapports entre la 3e molaire mandibulaire et le nerf alvéolaire inférieur. Enfin, un grand champ supérieur ou égal à 15 cm permet l’exploration des sinus et des traumatismes faciaux. Devant ces différentes options, on aura compris l’importance de l’ordonnance du prescripteur, qui doit clairement exposer au radiologue l’indication de l’examen tomographique.
Comment aborder avec nos patients les problèmes et conséquences du cannabis et autres stupéfiants ?
Alain Maurel (Créteil), Gilbert Largue, Monique Brion (Paris)
La prévention des conduites addictives fait partie des rôles du chirurgien-dentiste. Si le nombre de consommateurs de cocaïne a été multiplié par 7 sur les deux dernières décennies, la drogue illicite la plus répandue en France reste le cannabis. Il se fume avec du tabac, et sa combustion, plus difficile que celle du tabac, engendre une nocivité plus grande : la microcirculation gingivale se voit diminuée d’autant plus. Par ailleurs, l’usage de drogues illicites entraîne des sécheresses buccales, une acidification de la salive ayant pour conséquences des érosions amélaires. Afin d’aider nos patients, et éventuellement les orienter vers un spécialiste addictologue, il faut réussir à instaurer un dialogue. Il existe un test de dépendance similaire au test de Fagerstrom pour les fumeurs : le cannabis abuse screening test, qui peut parfois aider. Les patients doivent être informés des risques : troubles de la mémoire, perturbations de l’attention, puis, à plus long terme, perte de l’estime de soi et de la volonté d’agir. Afin de lutter contre les addictions, la seule vraie solution reste la prévention : il faut parler aux jeunes patients, les écouter, et surtout les laisser aborder toutes les questions sans tabou.
Comportement clinique des couronnes monolithiques en zircone
Vinciane Koenig (Liège), Claudine Wulfman, Amélie Mainjot (Paris)
La zircone est apparue sur le marché en 2000. Par rapport à la couronne céramo-métallique traditionnelle, elle présente les avantages suivants : biocompatibilité de la céramique, propriétés optiques et mécaniques améliorées. Cependant, malgré une résistance mécanique portée à 1 200 MPa, la céramique reste un matériau à rupture fragile, et donc avec un risque de fracture. L’absence d’émaillage caractérisant les couronnes monolithiques en zircone élimine de fait les risques de chipping, mais la zircone peut subir une fatigue hydrique augmentant à terme le risque de fracture. Toutefois, une récente étude clinique à 6 mois n’a pas pu faire état de cette fatigue hydrique. Il ressort des résultats que le réglage occlusal secondaire des couronnes monolithiques en zircone est à éviter, car il fragilise les couches les plus superficielles.
Apport de l’implantologie à la prothèse amovible partielle
Jean-Marie Cheylan, Isabelle Fouilloux, Jean-Baptiste Souron (Paris)
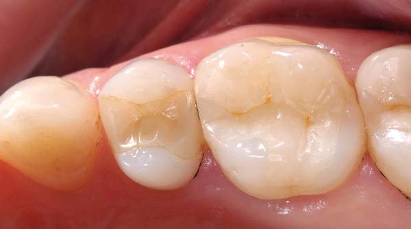
Au lieu de signer la fin de la prothèse amovible partielle (PAP), l‘implantologie peut être avantageusement couplée à celle-ci dans certaines indications. Les implants permettent dans ces situations de stabiliser une PAP sans recourir à la prothèse fixée, ou de ménager l’esthétique en supprimant les crochets. En effet, les implants peuvent être reliés à la PAP grâce à des attachements axiaux, ou peuvent recevoir des couronnes servant d’appuis traditionnels à la PAP. Ces techniques sont particulièrement indiquées dans des situations d’édentement de grande étendue, même asymétriques. La meilleure répartition des forces assure un meilleur pronostic pour les dents restantes, la pérennité des traitements à long terme est augmentée, et la qualité de vie des patients est améliorée, du point de vue fonctionnel mais aussi esthétique (fig. 7 et 8).
Comment éviter le vieillissement du joint collé ?
Frédéric Raux (Paris)
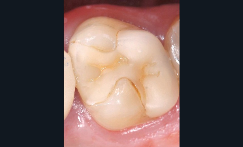
Le vieillissement du joint collé découle de la fatigue de deux interfaces (dent-colle et colle-matériau) et de celle de la colle elle-même. Les causes de ce vieillissement sont thermiques, mécaniques, biologiques et chimiques. Toutefois, il existe des stratégies pour limiter ces dégradations. La jonction colle-dent est de bonne qualité sur l’émail, si toutefois le mordançage de l’émail est suffisant : c’est pourquoi il est recommandé de mordancer séparément l’émail, même en cas d’utilisation de systèmes auto-mordançants. La jonction dentine-adhésif est par nature de moins bonne qualité, mais l’application de chlorhexidine après l’attaque acide de celle-ci permettrait de réduire l’activation des enzymes dégradant le joint collé. Concernant le joint colle-matériau, la qualité de l’ancrage micromécanique sera augmentée par un mordançage à l’acide fluorhydrique de la vitrocéramique, alors qu’un sablage à l’alumine sera adapté pour les pièces prothétiques en composite. Enfin, concernant le joint de colle lui-même, préférer quand cela est possible les composites de collage aux colles, et surtout aux colles auto-adhésives, dont le vieillissement est plus rapide (fig. 9 et 10).
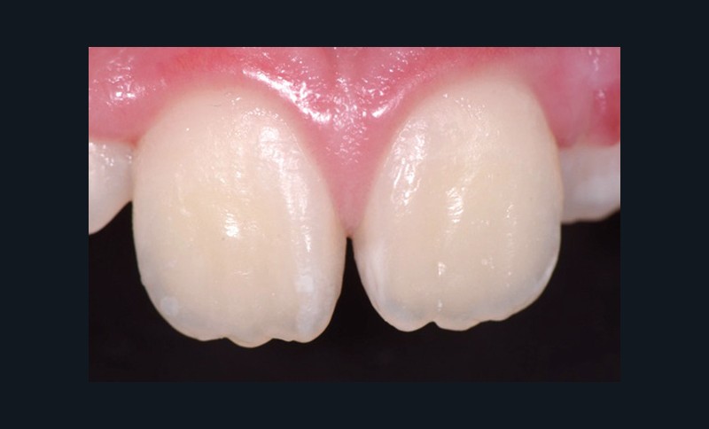
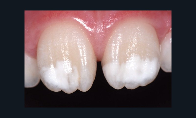
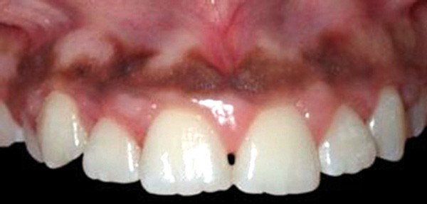
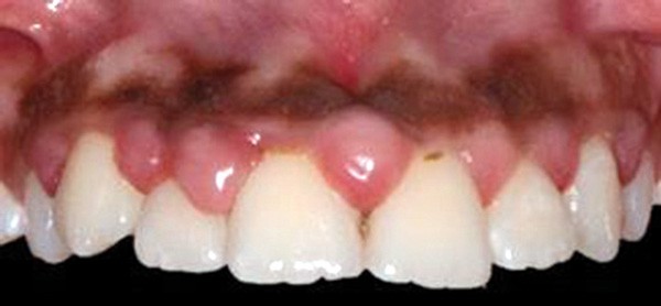
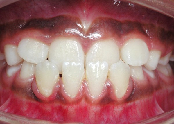
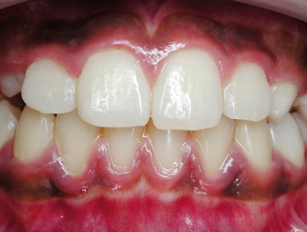
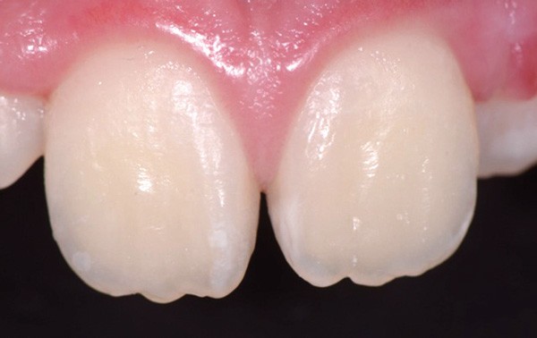
Traitement ultra-conservateur des taches de l’émail : bilan avec 5 ans de recul
Jean-Pierre Attal, Gil Tirlet (Paris)
Les auteurs de cette conférence nous proposent un algorithme pour résoudre le problème des taches blanches de l’émail. Ces techniques sont désormais utilisées avec succès depuis 10 ans. Tout d’abord il convient souvent de réaliser un éclaircissement préalable : celui-ci diminue le contraste entre la tache et le reste de la dent. Ensuite, avant de poser le champ opératoire, il faut choisir la teinte du composite qui sera nécessaire à la fin du traitement. Un sablage/fraisage des taches les plus profondes est alors réalisé, en fonction de la profondeur de la tache. Vient alors l’infiltration ou masquage optique, qui fonctionne sur les taches blanches : on passe une solution d’acide chlorhydrique, puis une solution d’hypochlorite de sodium, et si la tache est devenue blanche alors il est possible de passer à l’infiltration par la résine. Enfin, s’il subsiste une concavité visible, un composite viendra la combler. Le polissage clôt alors le protocole(fig. 11 et 12).
Selma Cherkaoui
Grégoire Chevalier
Un tournant important dans les Entretiens de Bichat
Cette année, le Professeur Monique Brion, en charge de la section odonto-stomatologie des Entretiens, a décidé de transmettre le relai aux jeunes générations. Quoi de plus naturel ?
L’Information Dentaire, qui s’est appliquée à diffuser de nombreuses fois, dans ses colonnes, les comptes rendus de cette manifestation de prestige, a souhaité rapporter les propos qu’elle a voulu murmurer, à l’issue de cette ultime séance toute empreinte d’émotion, aux amis rassemblés.
Passé et avenir
« Avec le temps, tout évolue. 1947 : création des Entretiens de Bichat de médecine. 1971 : Madame Chaput reprend la séance d’Odonto-Stomatologie. Elle fait appel à ses proches et compose un programme éclectique qui couvre les divers aspects de l’odontologie moderne sans oublier ce qui, déjà à cette époque, lui tient tellement à cœur : hygiène bucco-dentaire, santé parodontale, santé générale.
Les années se sont écoulées, lentement mais sûrement, et je suis passée progressivement, insensiblement, du stade de moussaillon au grade de capitaine du navire. Avec une équipe d’amis dévoués, nous avons poursuivi cette mission de Bichat : donner chaque année à l’omnipraticien, des éléments de mise à jour de ses connaissances.
Michel Degrange, qui nous a quittés il y a six ans déjà, a été pour moi un allié très précieux. J’allais le voir dans son bureau à la Fac, je lui disais : « Michel, il me faut des idées : de la dentisterie conservatrice d’avant-garde, non invasive ». Et les idées venaient en rafale… « Oui, mais, avec qui ? », disais-je. « T’inquiète », me répondait-il. Et les noms, où se mêlaient aussi bien des personnalités rares de l’odontologie que de jeunes collaborateurs de son laboratoire, s’enchaînaient. Par ailleurs, impossible d’oublier Michel le clinicien, le chercheur, l’orateur de talent, présentant ici, avec fougue et enthousiasme, les résultats de ses travaux. Michel nous a quittés et j’ai trouvé en Jean-Pierre Attal, son élève, l’aide précieuse que j’avais perdue avec le départ de Michel et j’ai poursuivi.
Depuis quelques années cependant, je remarque, lorsque je me regarde dans la glace, que j’ai de plus en plus de cheveux gris. Pire, dans le métro, les jeunes, et même des moins jeunes, se lèvent pour me céder leur place et, aujourd’hui, je commence à accepter avec plaisir. Ainsi, j’ai décidé que le temps est venu pour moi de passer la main à la génération qui voyage debout dans le métro.
Jean-Pierre, avec l’aide d’Elisabeth Dursun et du comité scientifique, a accepté de prendre la suite. Soyez sans crainte, Bichat continue…
Je veux ici remercier très sincèrement tous ceux qui, au fil des années, m’ont aidée, membres du comité toujours disponibles pour faire une suggestion, donner un conseil, trouver le meilleur orateur pour un sujet précis.
Je remercie également tous les orateurs qui ont accepté avec bienveillance la rigueur de notre mode de fonctionnement.
Je remercie aussi les auditeurs fidèles car, sans auditeurs, point de salut. Par leurs questions, souvent pertinentes mais toujours courtoises, ils ont contribué à animer ces séances.
Ce fut un travail d’équipe qui m’a apporté beaucoup de satisfactions associées au grand bonheur de partager.
Partager ses connaissances, il n’y a, à mon avis, rien de plus gratifiant.
Encore merci. »












Commentaires