R-évolution numérique - ADF 2015
Les fractures coronaires d’origine traumatique sont très fréquentes chez l’enfant et se traduisent majoritairement par des pertes de substance amélo-dentinaires impliquant un ou deux angles. La pulpe, bien que de volume important chez le patient jeune, est plus rarement exposée. Le cas échéant, un traitement spécifique doit être mis en œuvre, ce qui rend la restauration des dents traumatisées plus complexe.
Divers procédés et matériaux de restauration ont été proposés pour la restauration de ces pertes de substance coronaires. Les résines composites associées aux systèmes adhésifs amélo-dentinaires offrent sans doute les meilleurs résultats en termes d’esthétique, de comportement biologique et fonctionnel et de pérennité. Grâce aux matériaux nouveaux et optimisés et aux techniques de mise en œuvre s’inspirant de l’anatomie dentaire, les résultats sont de plus en plus en adéquation avec l’aspect naturel des dents.
Réussir une restauration antérieure de bord libre ou d’angle, notamment chez l’enfant, est souvent considéré comme un défi. C’est sans doute la richesse chromatique de cette zone qui est à l’origine de cette difficulté. Les techniques de stratification des résines composites se sont développées durant ces quinze dernières années [1, 3], mais leur réalisation est loin d’être généralisée. Ces techniques sont tantôt complexifiées à l’excès, tantôt simplifiées à outrance, ce qui donne dans les deux cas un manque évident d’intérêt par rapport aux techniques habituelles.
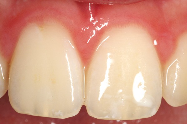
Réussir une restauration d’aspect naturel obéit cependant à un principe simple : chaque tissu minéralisé manquant doit être remplacé par une masse spécifique similaire sur le plan chromatique (fig. 1).
La mise en place de ces masses doit s’effectuer selon une technique de montage appelée stratification anatomique ou naturelle.
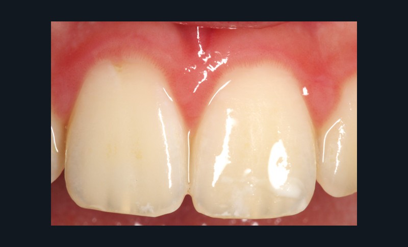
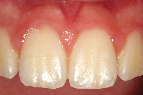
Pour reproduire l’aspect naturel des bords libres fracturés chez l’enfant et l’adolescent, tout commence par une observation méticuleuse des dents pour déceler leurs particularités chromatiques (la chromaticité, la luminosité et l’opacité) et leur texture. La couleur des dents est le fruit de l’interaction de la lumière avec les tissus dentaires dans une relation complexe de réflexion, de réfraction, de translucidité et d’opacité (fig. 2, 3).
La dentine naturelle, responsable de la teinte et de la saturation de la dent, est nettement moins translucide que l’émail naturel (fig. 4).
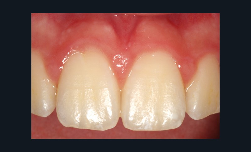
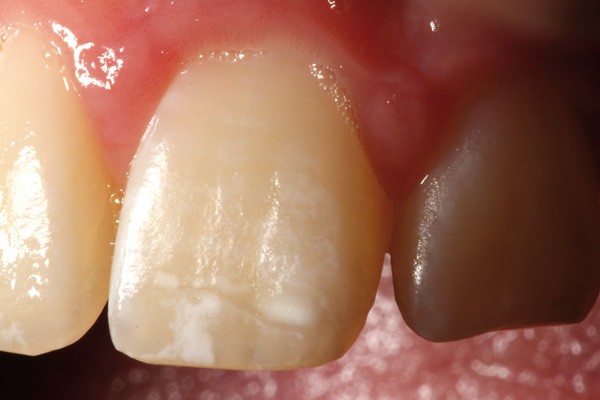
Elle est entourée en continu par une couche d’émail d’épaisseur variable et progressive. En changeant d’épaisseur, l’émail naturel modifie la couleur globale de la dent. Lorsqu’il est fin, il laisse la dentine sous-jacente s’exprimer et voit son rôle se limiter à un voile de désaturation. Lorsqu’il est épais, il s’exprime plus individuellement et procure à la dent une blancheur relative (luminosité). Il offre une apparence bleutée en réflexion au niveau de la zone incisale, notamment chez le sujet jeune. Des nuances et des taches blanches, froides ou chaudes, apparaissent parfois en surface ou en sub-surface pour individualiser encore plus chaque dent (fig. 5).
Ces caractérisations sont reproduites avec des masses appelées « effet » ou « intensif ».
La dernière couche de la restauration, ou la couche d’émail vestibulaire, est sans doute la plus complexe à réaliser. Cette couche participe non seulement à la luminosité finale de la dent, mais donne les reliefs nécessaires à l’intégration parfaite du résultat esthétique (fig. 6).
{{FIG6}}
Après une bonne observation et le bon choix des matériaux dédiés à chaque rendu chromatique souhaité, la méthode de réalisation aura pour mission de rendre la technique accessible et facilitera l’obtention de résultats beaux et reproductibles.
La réussite d’une restauration antérieure s’accompagne néanmoins de nombreuses difficultés qu’il faudra appréhender [2, 4].
Le champ opératoire permet de pratiquer une dentisterie adhésive performante dans des conditions optimales, à l’abri des contaminations hydriques diverses. Le choix de la couleur est facilité par des teintiers spécifiques superposables qui diminuent nos marges d’erreurs lors de cette étape déterminante dans le succès des restaurations. Le choix des matériaux adaptés et l’épaisseur des différentes masses, notamment les masses d’émail, permettent de laisser à chaque masse une expressivité unique. Les préparations périphériques optimisent l’adhésion et l’étanchéité et permettent de disposer de place nécessaire à chaque masse. La forme de cette préparation doit être adaptée au matériau choisi et permet d’aménager la place nécessaire au masquage du joint périphérique. La réalisation d’un guide palatin permet, dans les cas complexes, d’obtenir avec précision et exactitude la position du bord libre et la forme définitive de la face palatine. Les fraisages inutiles et imprécis seront ainsi évités. L’opalescence du bord libre peut ainsi être reproduite avec des masses spécifiques et en adéquation avec le bord libre. La face vestibulaire, la dernière couche à réaliser, est modelée avant sa photopolymérisation pour assurer une forme anatomique identique à la dent adjacente. Cette macro-géographie est idéalement enrichie de micro-reliefs, appelée micro-géographie, reproduite par des pinceaux avant la photopolymérisation ou de fraises après la photopolymérisation. Le polissage soigneux et le lustrage des restaurations en composite permettent de procurer à la restauration le rendu le plus naturel et la pérennité optimum [5].
Une restauration ainsi réalisée a pour vocation de devenir invisible. Étrange constat que la laideur du visible et la beauté de l’invisible ! Les techniques de stratification ne sont plus une affaire d’artistes. La méthode écarte le style, la codification autorise l’enseignement et la connaissance rend possible le succès et sa prédictibilité. L’entraînement, indispensable, permet d’atteindre, plus vite que n’importe quelle autre procédure en odontologie, la maîtrise de la technique de stratification des composites au niveau des secteurs antérieurs.
![]()





Commentaires