Responsable scientifique : Alexandre Sarfati
Conférencier : Solène Marniquet, Ichai Lanati
Cette séance est destinée aux omnipraticiens et se veut didactique. Seront repris, pour chaque technique, les indications, le temps par temps clinique, mais surtout les intervenants s’appuieront sur une revue actualisée de la littérature scientifique pour expliquer les avantages et les inconvénients de chaque solution.
L’objectif : donner les clés du succès pour choisir la technique la plus adaptée à la situation du patient selon un protocole reproductible directement au cabinet dentaire.
Dans son exercice quotidien, l’omnipraticien est souvent confronté à la réalisation de restaurations impliquant la gestion de marges sous-gingivales. Les causes sont multiples : fracture, lésions carieuses profondes (le plus souvent en proximal), résorptions externes…
Ces situations sont sources de complications à plusieurs niveaux :
- lors de la réalisation du soin : accès rendu difficile, saignement, perte d’étanchéité, isolation complexe avec le seul champ opératoire et les limites de la préparation ne seront pas – ou peu – accessibles lors de la prise d’empreinte, en technique conventionnelle ou par empreinte optique ;
- lors de la réalisation de l’élément prothétique : contrôle difficile de l’adaptation des bords, polissage scrupuleux des limites et qualité du profil d’émergence ;
- pour le patient, car un maintien de l’hygiène au quotidien est nécessaire : zone difficile d’accès lors du brossage, compliance quant à l’utilisation de matériel interdentaire [4], respect du protocole de maintenance parodontale stricte.
Quelles sont les problématiques parodontales liées aux limites profondes et leurs conséquences à long terme ?
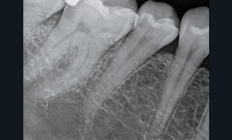
Lors d’atteinte sous-gingivale profonde, la restauration se retrouve en regard d’une zone charnière du parodonte qu’est l’attache supra-crestale ou « espace biologique » (fig. 1) [5, 6]. Cette attache gingivale s’insère le long de la racine dentaire, allant de la partie la plus coronaire de l’attache épithéliale à la partie la plus apicale de l’attache conjonctive. Elle mesure en moyenne 2,04 mm chez le sujet sain, comprenant 0,97 mm d’attache épithéliale et 1,07 mm d’attache conjonctive. Au-dessus, le sulcus est de 0,5 mm.
Il est admis que si l’attache parodontale n’est pas préservée lors d’une procédure restauratrice, une inflammation gingivale, une perte d’attache et une résorption osseuse incontrôlée se développent. Cliniquement, ces changements se manifestent par des poches parodontales et des récessions gingivales.
La solution additive et conservatrice des tissus parodontaux : la remontée de marge au composite
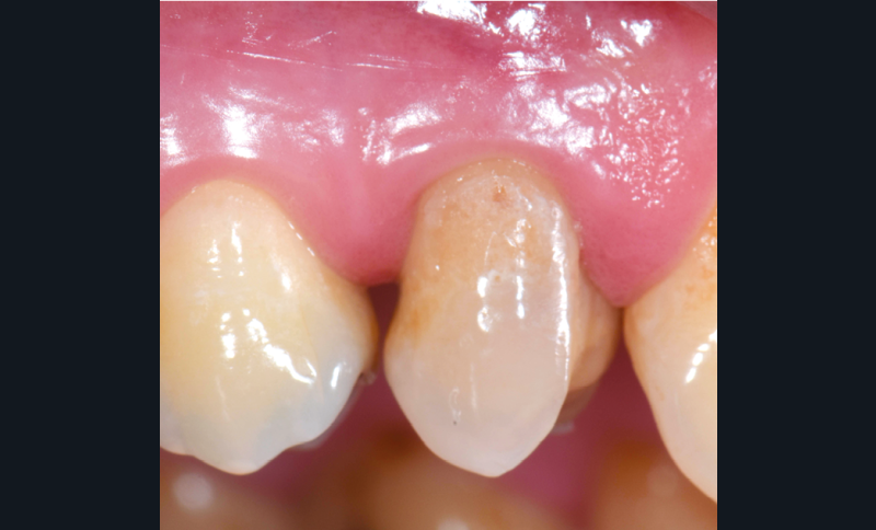
Développé peu avant les années 2000 par Dietschi et Spreafico [7], le concept de Cervical Margin Relocation (CMR) renommé Deep Margin Elevation (DME) en 2012 par Magne et Spreafico [8] consiste à relocaliser coronairement les limites de la préparation en juxta ou supra-gingival. La littérature scientifique nous montre que le parodonte semble tolérer la présence d’une quantité « raisonnable » de composite en sous-gingival.
Cependant, cette technique est opérateur-dépendant et n’est efficace que si l’étanchéité en profondeur a pu être obtenue. À moyen et long terme, si le traitement initial a été correctement mené, c’est le maintien d’une hygiène (inter)dentaire scrupuleuse qui permettra la réussite du traitement [4].
Du point de vue de l’adhésion et des biomatériaux à proprement parler, les intervenants reviendront sur l’importance de la photopolymérisation (types de lampes, importance du temps de polymérisation) et sur le choix du composite de restauration le plus adapté ainsi que sa mise en œuvre pour obtenir un joint résistant (fig. 2 à 6).
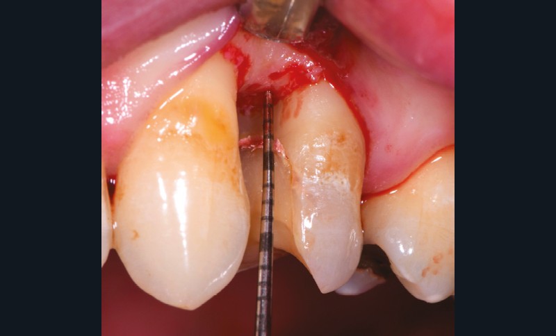
La solution soustractive par chirurgie : l’élongation coronaire
Longtemps considérée comme le « gold standard », cette technique bénéficie d’un recul clinique important et d’un haut niveau de preuve. En effet, elle permet de répondre aux objectifs d’accessibilité mais les inconvénients liés à cette technique (durée de traitement [9], coût tissulaire [10] et financier…) sont à mettre en balance avec les méthodes alternatives.
Lorsque l’indication est posée, le choix de la technique chirurgicale doit répondre à des contraintes anatomiques et esthétiques qui seront détaillées afin de choisir l’abord chirurgical adapté et ainsi maximiser les résultats (fig. 7 à 9).
Ces deux techniques sont complémentaires et ont prouvé leur fiabilité [11]. Il serait nécessaire de réaliser des études cliniques prospectives contrôlées et randomisées pour évaluer l’impact de la remontée de marge sur la longévité des restaurations. En l’état actuel des connaissances, lorsque le protocole de collage est parfaitement mené avec des matériaux et un polissage de qualité, et lorsque l’indication est la bonne, la DME apparaît comme une approche conservatrice intéressante.
Dans la même idée de complémentarité entre manipulation parodontale et remontée de marge, la solution dans certains cas complexes ne serait-elle pas de combiner un lambeau à la pose du champ opératoire pour faciliter la remontée de marge et accéder aux limites ?
Nous vous donnons rendez-vous à cette séance pour répondre à ces questions passionnantes !
L’Essentiel C60
Remontée de marge ou élongation coronaire
Jeudi 28 novembre 2019 (11h-12h)
Responsable scientifique : Alexandre Sarfati
Lésions carieuses profondes et restaurations indirectes : replacer la limite naturelle par la remontée de marge
Solène Marniquet
Lésions carieuses profondes et restaurations indirectes : adapter l’environnement parodontal
par l’élongation coronaire
Ichai Lanati









Commentaires