Selenomonas sputigena : booster de caries

  • Publié le .
Information dentaire

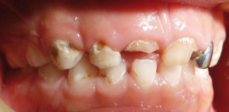
Si Streptococcus mutans est le principal responsable de la carie dentaire, Selenomonas sputigena, bactérie essentiellement associée aux parodontopathies et incapable de provoquer des caries par elle-même, en est le stimulant, montre une publiée dans « Nature Communications » fin mai.

Après avoir prélevé et étudié des échantillons de plaque dentaire sur 416 enfants âgés de 3 à 5 ans, les chercheurs américains sont arrivés à la conclusion que Selenomonas sputigena forme au sein de la plaque dentaire une « superstructure multicellulaire » en forme de nid d’abeille qui piège Streptococcus mutans, favorisant sa prolifération et le développement d’un milieu acide essentiel au développement des caries dentaires.

Selon les auteurs, « l’étude révéle de nouveaux mécanismes d’assemblage de biofilms et de cibles thérapeutiques, qui peuvent être pertinents pour d’autres infections polymicrobiennes où d’autres espèces interagissent avec des agents pathogènes connus dans des biofilms complexes. »

Thèmes abordés

Commentaires

Laisser un commentaire

Sur le même sujet

Recherche

Un essai clinique confirme le rôle protecteur de l’arginine sur les biofilms

Des recherches in vitro avaient déjà montré qu’un environnement riche en arginine modifiait la composition des biofilms dentaires. Pour confirmer...