L’orthodontie n’est pas une mode : elle a un passé, un présent et un futur ! Et pour cause, si les premiers écrits décrivant des procédures orthodontiques datent de plusieurs siècles, le premier congrès de la SFODF a eu lieu voilà cent ans, et à Lyon. Même Guignol a un rapport avec l’odontologie : la marionnette a été créée pour distraire les enfants chez le dentiste (si, si !). Depuis, le congrès a lieu chaque décennie à Lyon. C’est naturellement donc ici que nous vous recevrons du 20 au 22 mai au Palais des Congrès, face au Parc de la Tête d’Or d’un côté et au superbe quai de Saône de l’autre.
Bien sûr, l’orthodontie a beaucoup changé, mais avec des axes directeurs définis de longue date. Si cette spécialité a toujours progressé, les dernières années ont vu comme une précipitation avec l’entrée (fracassante !) du numérique, d’Internet (pour le pire et le meilleur), des collages, des nouveaux dispositifs de contention, des ancrages (minivis, miniplaques, Abalakov…), de la corticotomie, des aligneurs (ceux du marché et ceux réalisés in office)… Sans compter les disciplines qui interagissent avec les nôtres : les progrès dans la restauration esthétique, dans la chirurgie muco-gingivale (les greffes tunnelisées, le chin wing et les profiloplasties plus largement sont à même de faire évoluer nos choix thérapeutiques).
C’est pour mettre en avant cette évolution que la thématique du congrès sera l’innovation en orthodontie. L’objectif est de montrer ce qu’il est possible de faire et comment le faire, de nous faire rêver, parfois, mais aussi de faire le tri dans toutes ces technologies : qu’adopter, et comment ? Que laisser de côté ?
Nous avons voulu un congrès avec une portée internationale avec des conférenciers de haut vol. Le professeur suisse Anton Sculean sera parmi nous pour le précongrès. Il présente des cas ortho-parodontaux alliant son expertise scientifique, un sens clinique (même des vidéos très pédagogiques pendant la présentation) et une pédagogie qui ont fait son succès. Ceux qui ont assisté à sa présentation à la société d’Angle s’en souviennent.
Nous aurons le plaisir de recevoir Luis Carrière, Skander Ellouze, Dirk Wiechman, Heinz Winsaueur, Guido Sampersmans, Wajeeh Khan, Stéphano Troiani… pour ne citer que quelques-uns des conférenciers.
La journée du vendredi est réservée aux assistant(e)s. Présenter les technologies, c’est permettre de comprendre ces évolutions, intégrer les procédures et nous seconder efficacement. Il sera question d’Internet : ses énormes possibilités mais aussi ses risques avec YouTube et les avis Google (attention à ce qui peut être écrit sur la Toile et ce que nous écrivons), des aligneurs et du lingual et des utilisations possibles de l’empreinte numérique.
Congressistes, conférenciers, sociétés : nous nous retrouverons, en plus des pauses, le vendredi soir, pour un cocktail chic avec des clins d’œil au siècle écoulé et en particulier aux années ١٩٢٠. Une occasion à ne pas manquer, après des mois d’abstinence « congressielle » (un néologisme : les circonstances nous ont privés de congrès). Un moment délicieux à Lyon, cité de la gastronomie !
Et la Covid-19 dans tout ça ? Un streaming est prévu pour ceux qui ne veulent ou ne peuvent pas se déplacer et en cas d’obligation. Les sociétés et laboratoires ont parié que ce sera ok et les stands font cartons pleins. Nous vous attendons déjà !
Sarah Chauty et Claire Pernier, Coprésidentes du 92e congrès de la SFODF
Les temps forts du congrès des 100 ans de la SFODF
La 92e réunion scientifique de la Société Française d’Orthopédie Dento-Faciale, qui sera également l’occasion de célébrer le centenaire de cette société savante, débutera par un cours précongrès.
Celui-ci sera assuré le jeudi 20 mai par le Pr Anton Sculean, responsable du département de parodontologie de l’École de médecine dentaire de l’Université de Berne (Suisse). Les recherches de ce clinicien de grand talent portent sur la cicatrisation des plaies parodontales, la thérapie parodontale régénératrice et plastique-esthétique, l’utilisation des antibiotiques, des antiseptiques et de nouvelles approches telles que les lasers et la thérapie photodynamique dans le traitement des infections parodontales et péri-implantaires [1].
Professeur et chef de service du département de parodontologie et actuellement directeur opérationnel de l’école de médecine dentaire de l’université de Berne, en Suisse, le Pr Sculean est actuellement répertorié comme l’expert le mieux coté en parodontologie dans le monde1. Il est l’auteur du livre Periodontal regenerative therapy consacré aux techniques régénératives contemporaines dans le traitement des défauts osseux et des tissus. Par sa compréhension de l’anatomie du parodonte et des phénomènes de cicatrisation biologique des plaies, sa maîtrise des matériaux régénératifs et des techniques chirurgicales, il nous propose des paradigmes de traitement efficaces et prédictibles. L’objectif est de donner un aperçu des possibilités et des limites de la couverture des récessions en prévention avant ou après un traitement orthodontique. L’utilisation de techniques de greffes tunnelisées permet une couverture prévisible et une augmentation de l’épaisseur des tissus pour les récessions gingivales simples et multiples, tout en assurant une stabilité à long terme. Anton Sculean nous propose une approche clinique rigoureuse et efficace, richement illustrée, qui renouvelle notre collaboration interdisciplinaire avec la parodontologie. Un rendez-vous à ne pas manquer !
1 www.expertscape.com/ex/periodontics
Le congrès se divisera en quatre demi-journées et répondra aux principales doléances de nos patients qui demandent à bénéficier de traitements plus conservateurs, peu contraignants, discrets et rapides.
Programme
Vendredi 21 mai 2021 – matinée
« Docteur, je souhaite garder mes dents » : vers des traitements plus conservateurs
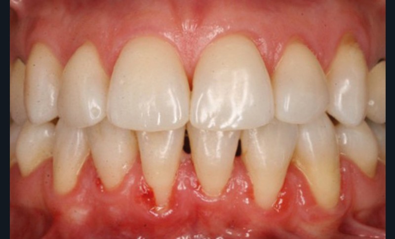
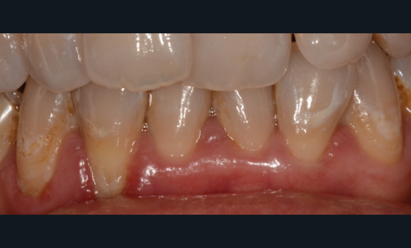
Quelle insatisfaction et quelle déception de constater, en cours ou à l’issue d’un traitement orthodontique, la fragilisation du parodonte, voire l’apparition d’une récession gingivale !
Le plan de traitement était-il le bon ? Fallait-il renforcer les tissus de soutien de la dent de manière préventive ?
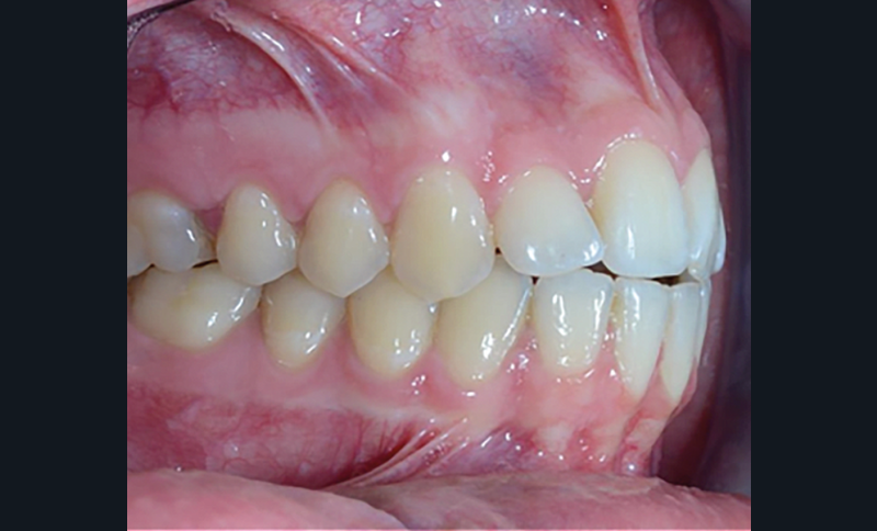
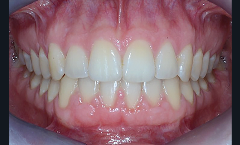
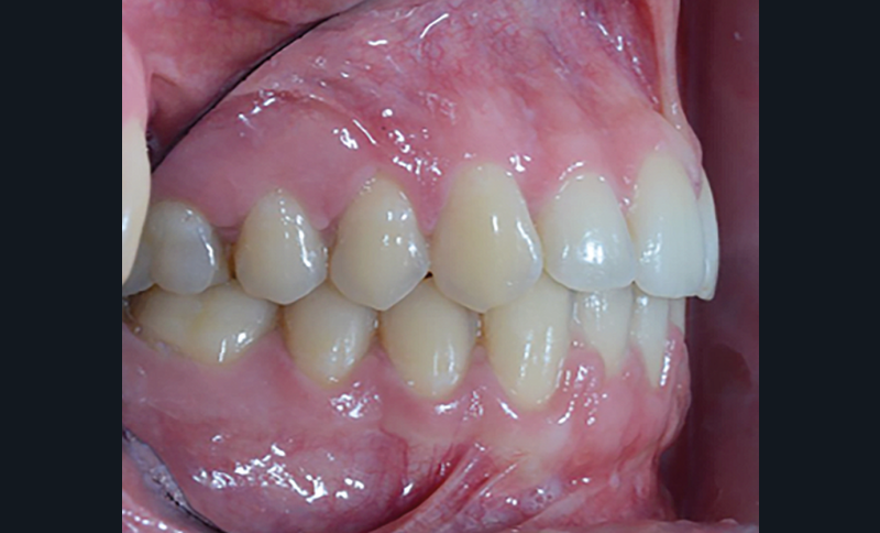
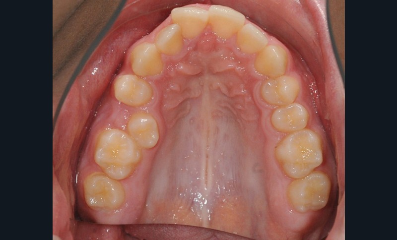
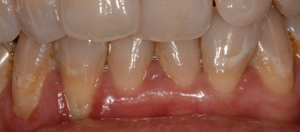
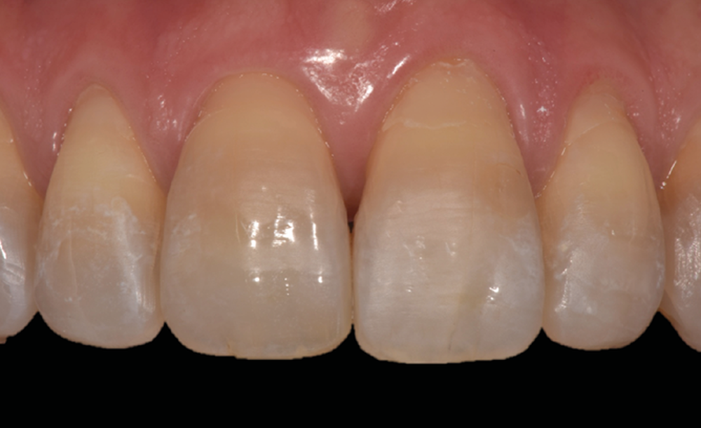
C’est à ces questions que nous permettront de répondre les deux premiers conférenciers, parodontologistes : le Dr Béatrice Straub nous présentera le renfort parodontal minéralisé, technique qu’elle a développée et pratique depuis de nombreuses années, pour éviter les préjudices des mouvements orthodontiques à risque, notamment lors des décompensations préchirurgicales (fig. 1a-d) ; le Pr Anton Sculean abordera le thème des greffes, avec leurs indications, les différentes techniques à privilégier et illustrera ses propos par de nombreux cas cliniques aux résultats esthétiques impressionnants.
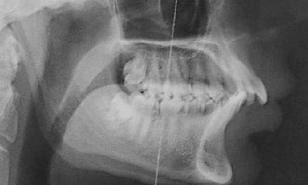
Le Dr Christophe Dunglas développera ensuite l’intérêt du cone beam lors de la mise en place des canines incluses difficiles. En effet, la préparation d’ancrages adéquats et de gestes chirurgicaux a minima préviendra l’apparition de résorptions radiculaires et de lésions parodontales.
Cette imagerie moderne montrera encore toute sa pertinence, au cours de la présentation du Dr Arnaud Lafon qui nous fera partager son expérience des transplantations dentaires. Longtemps considérée comme le « marronnier » de l’orthodontie, cette technique bénéficie maintenant d’un protocole bien établi et se révèle être une alternative très intéressante à l’implantologie, notamment chez les adolescents ou en cas de budget réduit. Solution immédiate, elle est parfaite lors d’avulsions des premières molaires mandibulaires cariées dans un protocole ortho-chirurgical. Plus besoin d’attendre la mise en place des troisièmes molaires pour envisager le geste de propulsion mandibulaire !
La matinée s’achèvera par le traitement de la dysharmonie dent-arcade par des techniques chirurgicales originales et novatrices : l’expansion transversale maxillo-mandibulaire (Dr Jean-Luc Ouhioun, fig. 2a-h) et la distraction sagittale du bloc incisivo-canin « front-block de Triaca » (Dr Olivier Esnault).
Vendredi 21 mai 2021 – après-midi
« Docteur, je souhaite un traitement peu contraignant » : vers la maîtrise de l’ancrage
L’après-midi, le congrès s’internationalisera avec la participation d’orateurs qui répondront à la demande de plus en plus forte de nos patients à bénéficier de traitements peu contraignants, notamment grâce à la maîtrise des nouveaux ancrages squelettiques : minivis ou miniplaques.
Les dispositifs traditionnels (élastiques, forces extra-buccales…) sont souvent insuffisamment portés. En 2006, Brändao et coll. ont ainsi montré que les forces extra-buccales étaient portées 13,6 heures par jour aux dires des patients, mais seulement 5 ou 6 heures par jour, en réalité [2].
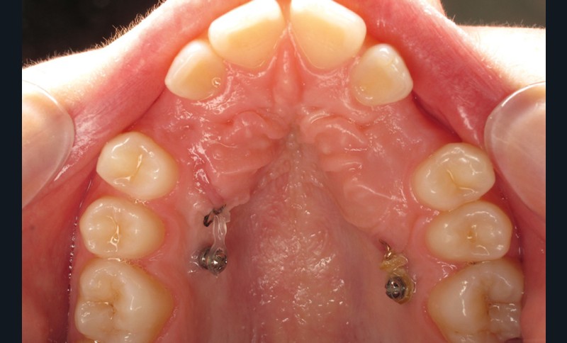
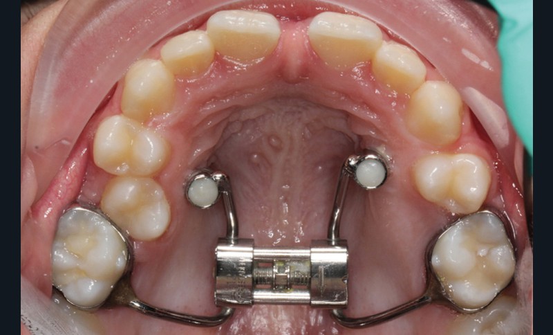
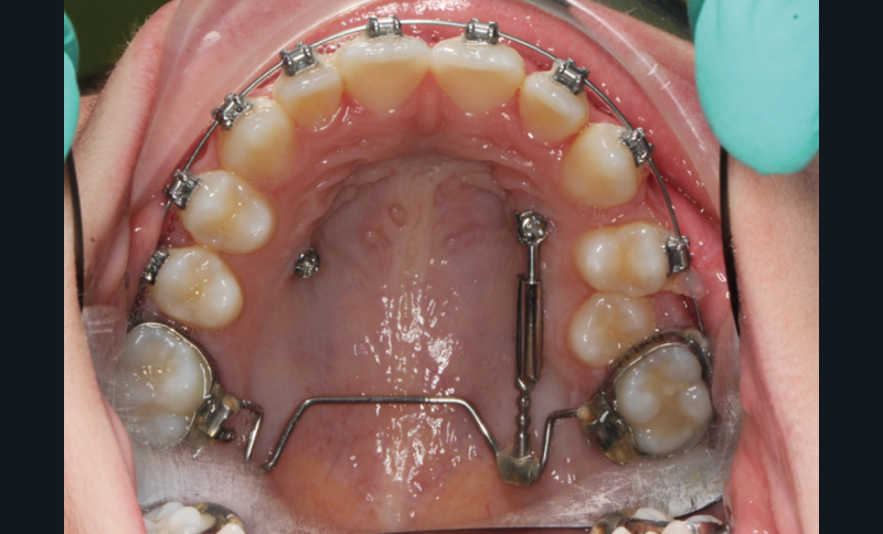
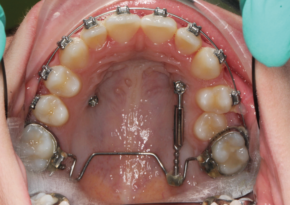
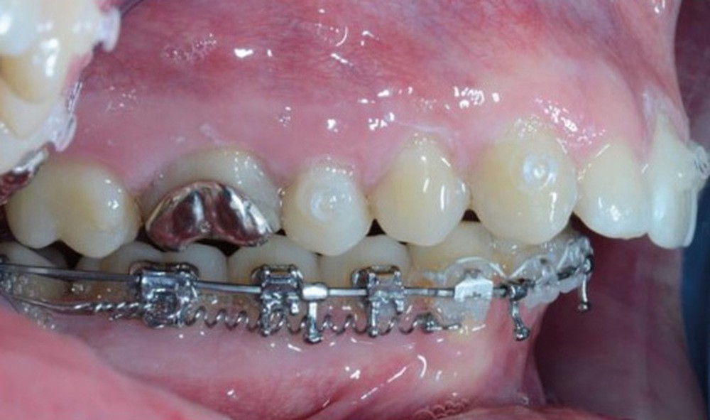
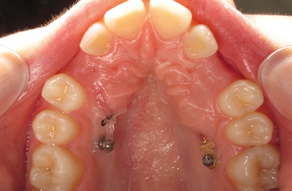
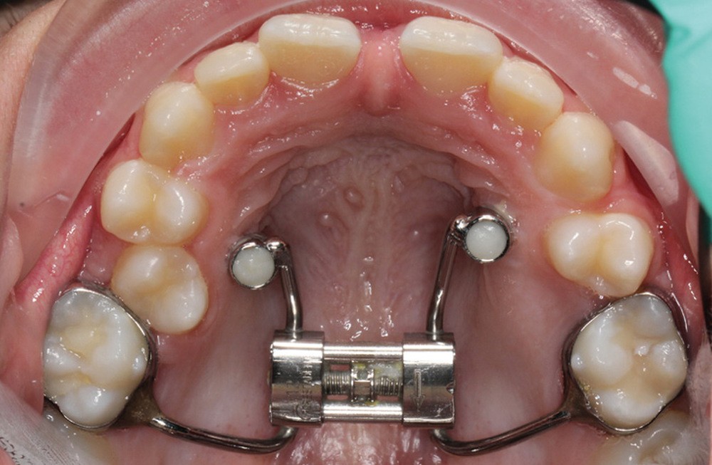
À côté de la coopération moindre qu’ils exigent, les ancrages squelettiques présentent également l’avantage de répondre à des indications très variées : correction des sourires gingivaux (Dr Skander Ellouze, fig. 3a-c), distalisation ou mésialisation molaire, supports pour les masques faciaux, mini transpalatin sur vis après expansion, ressorts de rétraction pour mettre en place les canines incluses sans léser les racines des dents adjacentes [3] (Dr Stéphane Renger, fig. 4) ou appareils d’expansion maxillaire (Dr Hans Winsauer, Dr Guido Sampersmans, fig. 5a-c)…
Ces dispositifs, utilisés comme ancrage direct ou indirect, répondent à une biomécanique particulière qu’il faut connaître pour en éviter les nombreux effets indésirables : bowing effect, versions, rotations (Dr Stefano Troiani)…
Samedi 22 mai 2021 – matinée
« Docteur, je souhaite un joli sourire » : vers des traitements plus discrets et plus harmonieux
Le challenge est de taille ! En effet, le patient souhaite un sourire harmonieux à l’issue de son traitement mais également au cours de ce dernier, grâce à l’utilisation de dispositifs orthodontiques les plus discrets possible, sans compromis sur l’excellence du résultat.
La réalisation du premier objectif sera abordée par nos trois premiers conférenciers.
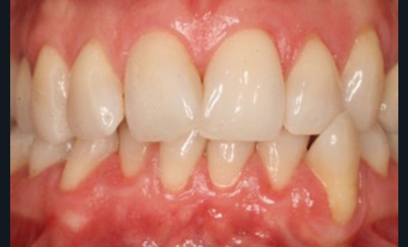
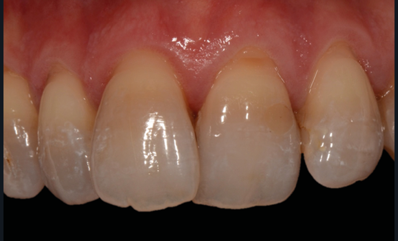
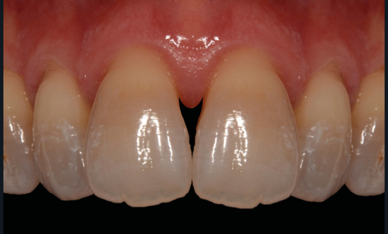
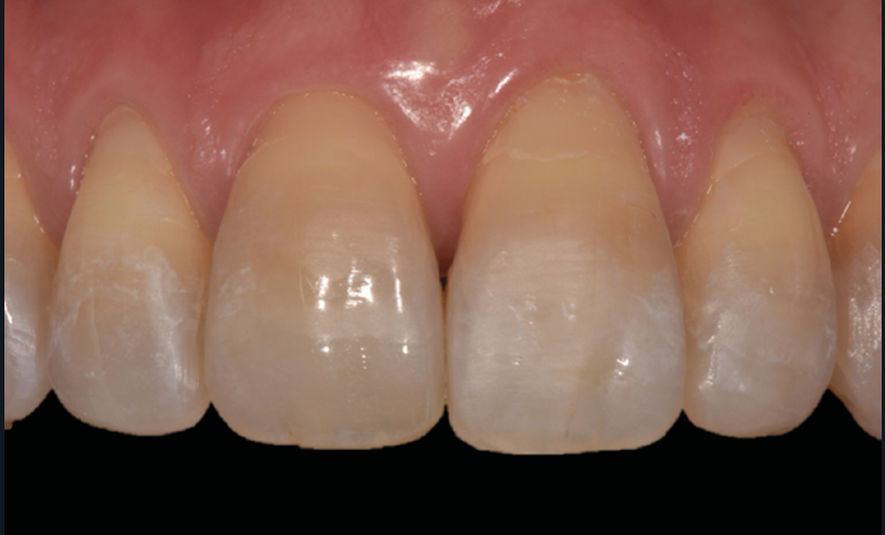
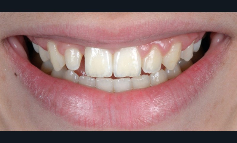
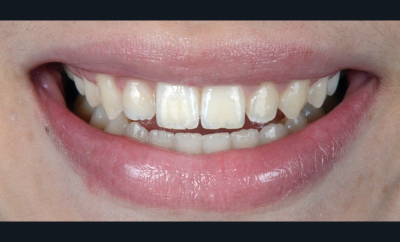
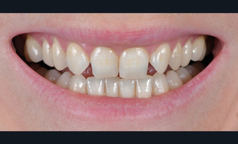
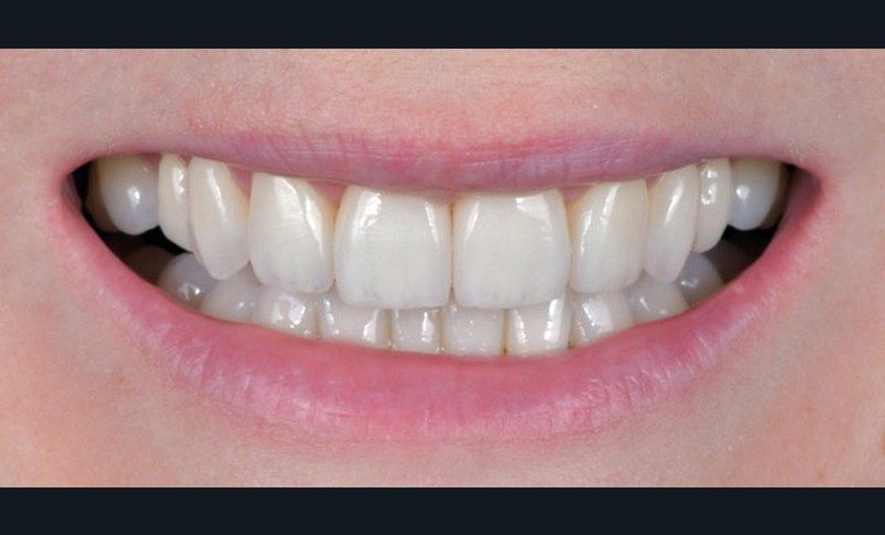
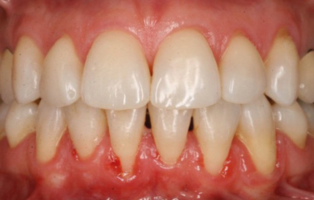
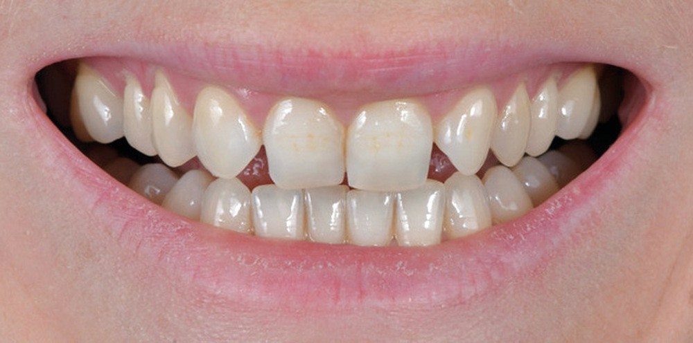
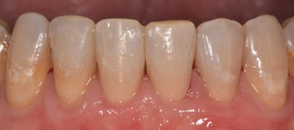
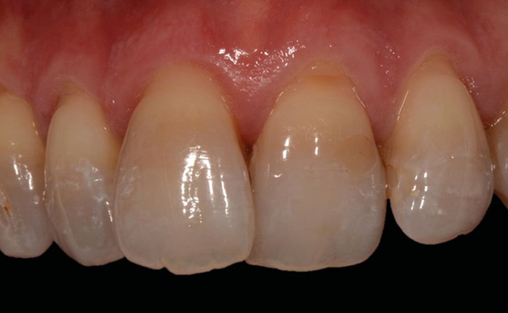
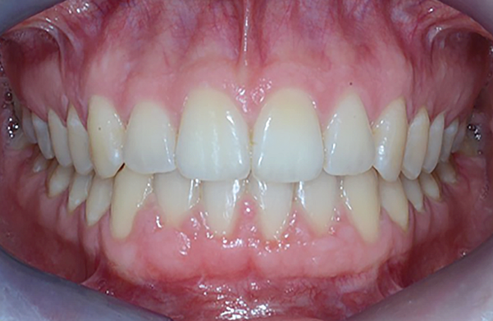
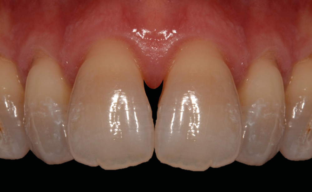
Le Pr Olivier Sorel insistera sur l’importance du respect des formes et des proportions anatomiques, pour éviter de voir apparaître, notamment chez les adultes, de très inesthétiques triangles noirs lors de la phase d’alignement (fig. 6a-b). Il présentera sa démarche diagnostique (évaluation de la forme des dents et de la dysharmonie dento-dentaire, fig. 7a-c) et l’intégration de la réduction amélaire proximale au plan de traitement, afin de s’assurer, en fin de traitement, la présence de papilles gingivales et donc d’un sourire harmonieux (fig. 8a-d).
Les Drs Marie Clément et Clara Marcoux aborderont ensuite les différents apports de la dentisterie esthétique aux traitements orthodontiques. Les problèmes de dyschromies isolées ou généralisées, congénitales ou acquises seront développés ainsi que les anomalies de proportions dentaires (dents riziformes…), le maquillage (transformation d’une canine en incisive latérale…) et le remplacement des dents antérieures. Les auteurs présenteront l’intérêt du Digital Smile Design dans le diagnostic et la communication et l’arsenal thérapeutique à notre disposition pour améliorer la satisfaction de nos patients (éclaircissement, traitement des taches de l’émail, composites stratifiés, fig. 9a-d).
Les conférenciers suivants auront à cœur de nous démontrer qu’il est possible, de nos jours, de proposer des dispositifs de traitement extrêmement discrets, même pour les cas les plus complexes, tout en maintenant nos exigences quant à l’excellence de nos résultats.
Le Dr Luis Carriere communiquera tout d’abord sur son approche originale du traitement des classes II et des classes III. L’acquisition d’une classe I au niveau des secteurs latéraux dès la première phase de traitement, grâce au dispositif qu’il a développé, le Carriere Motion, permet en effet un temps de port des bagues retardé et plus limité dans le temps.
Le Dr Waddah Sabouni évoquera ensuite la réalisation de traitements ortho-chirurgicaux au moyen d’aligneurs. La préparation orthodontique ainsi que la simulation 3D de la chirurgie seront abordées via de nombreux cas cliniques.
Le Dr Christine Muller lui succédera, afin de transmettre sa très riche expérience des traitements orthodontiques des patients adultes en technique linguale, en insistant sur les trois évolutions qui ont été, selon elle, des avancées majeures : la compréhension des mécanismes de l’usure dentaire, la nouvelle conception des bridges collés et la démocratisation de la Confection et fabrication assistées par ordinateur (CFAO).
Enfin, le Pr Dierk Wiechmann décrira l’apport des nouvelles technologies au recul des limites de l’orthodontie linguale que de nombreuses recherches récentes présentent comme l’option thérapeutique la plus esthétique [4] mais aussi la plus reproductible pour obtenir un résultat individualisé de haute qualité.
Samedi 22 mai 2021 – après-midi
« Docteur, je souhaite un traitement rapide et confortable » : vers des traitements plus efficaces
Rendre le traitement plus efficace est une doléance courante de nos patients, mais ceci ne doit pas se faire à n’importe quel prix. Le confort et la durée du traitement doivent rester maîtrisés.
Des solutions extrêmement variées vont être proposées pour remplir cet objectif. Le Dr Wajeeh Khan abordera tout d’abord la maîtrise des différents auxiliaires (élastiques interarcades, ancrages squelettiques…) pour pouvoir traiter les classes II des plus simples aux plus complexes, au moyen d’aligneurs.
Le Dr Carole Charavet et le Pr Michel Le Gall feront ensuite le point sur l’efficacité réelle et les indications des différentes techniques, chirurgicales ou non, permettant de faciliter ou accélérer le déplacement dentaire orthodontique.
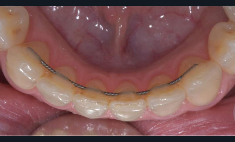
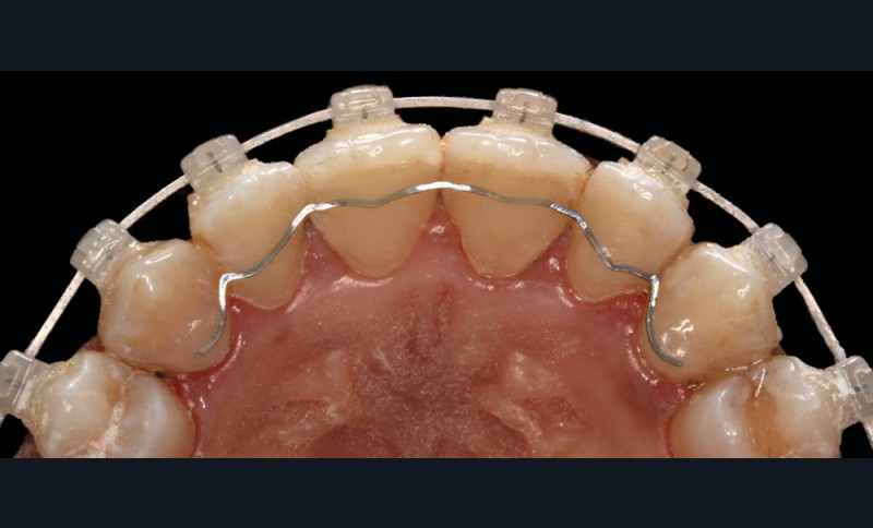
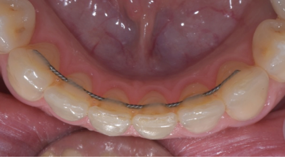
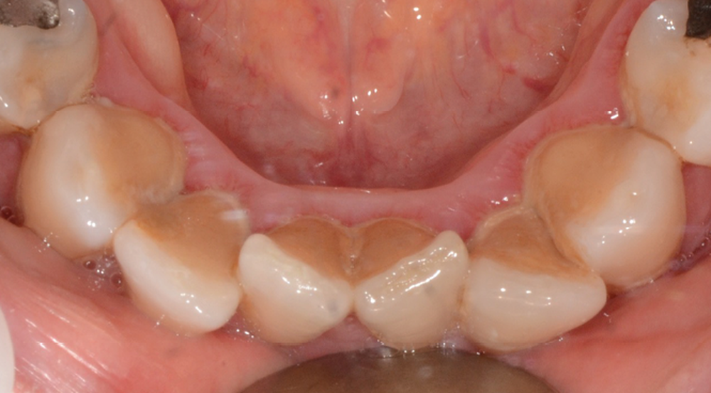
Bien que 23 % des patients reconsultent dans les dix années qui suivent la dépose de leur appareil [5], la contention est longtemps restée le parent pauvre des nouvelles technologies. Ceci est en train de changer et le Dr Serge Dahan nous éclairera sur l’apport des outils numériques, dans la réalisation des contentions de nouvelle génération. Ces dernières peuvent être fixes ou amovibles.
Dans le premier cas, il s’agit de plaques de nickel-titane usinées (fig. 10a-b) ou de fils de contention, pliés par un robot. Dans le deuxième cas, il s’agit de gouttières thermoformées sur des modèles (fig. 11), modifiés ou non, voire bientôt des gouttières imprimées directement.
Le Dr Laïla Hitmi poursuivra dans le domaine des nouvelles technologies, en présentant l’ensemble des étapes d’un collage indirect, entièrement numérique : empreinte numérique et alignement avec le cone beam, positionnement virtuel des attaches orthodontiques, confection numérique et impression de la gouttière, transfert clinique.
La deuxième moitié de l’après-midi sera consacrée aux dernières avancées de la collaboration orthodontie/chirurgie orthognathique.
Le Dr François Cheynet et à nouveau le Pr Michel Le Gall (fig. 12) viendront plaider pour une prise en charge chirurgicale précoce de certains décalages squelettiques, afin de briser au plus vite la spirale dysmorpho-dysfonctionnelle et influencer le schéma de croissance postopératoire.
Le Dr Paul Cresseaux présentera dans un premier temps un ancrage squelettique, simple et efficace, développé par ses soins, pour optimiser la préparation orthodontique des classes II squelettiques : l’Abalakov (fig. 13a-d). Puis, il défendra la prise en charge simultanée, au cours d’un unique temps chirurgical, de l’ensemble des anomalies squelettiques présentées par nos patients.
Le Pr Pierre Bouletreau nous rappellera le rôle de chacun des participants à une Réunion de concertation pluridisciplinaire (RCP) du Syndrome d’apnées hypopnées obstructives du sommeil (SAHOS) et insistera sur les dernières indications et contre-indications des orthèses d’avancée mandibulaire et de la chirurgie d’avancée maxillo-mandibulaire (fig. 14a-b).
Enfin, Mme Carole Alvarado, ostéopathe et kinésithérapeute oro-maxillo-faciale, nous fera découvrir les techniques manuelles spécifiques de la rééducation maxillo-faciale et les moments clés de cette prise en charge au cours des traitements ortho-chirurgicaux.■
Vendredi 21 mai 2021
La Journée assistant(e)s
Lors du congrès des 100 ans de la SFODF, la journée du 21 mai est consacrée aux assistant(e)s dentaires. Sachant que les praticiens ont aussi une journée concomitante, les pauses permettront aux uns et aux autres de se retrouver ! La journée finira par le cocktail des présidentes… Voire par le gala en soirée, pour les inscrits.
Ces dernières années ont vu un essor des technologies qui, certes, est grisant mais peut parfois s’avérer déstabilisant. L’objectif est de présenter (démonstrations à l’appui) les outils high-tech, de monter leurs possibilités et leurs limites, dans certains cas. Vous l’avez compris, c’est une journée qui se veut très pratique. Si vous êtes intéressé(e) par cette journée, réservez tôt car le nombre de place est limité !
Le Dr Cécile Valéro, orthodontiste très pédagogue, remarquée pour son dynamisme sur la Toile lors de la crise Covid-19, montera par des exemples pratiques comment gérer les dossiers en ligne, les rendez-vous en ligne, les applications smartphone, les photographies de motivation, le suivi à distance, la signature électronique, l’envoi groupé, le site Internet…
Cela dit, les cabinets n’ont pas l’exclusivité de l’utilisation du numérique : nos patients utilisent aussi ses outils. Recherche des orthodontistes en ligne, commentaires et avis déposés sur les réseaux sociaux pour donner des avis ou des notes… Raphaël Sebbag, interne en orthodontie, a mené son « enquête » sur ces commentaires : quelle est la situation actuelle en France ? Quels sont les leviers pour relativiser ou augmenter sa note ?
Peut-on communiquer avec un autre praticien sur un patient par Internet ? Comment conserver les documents numériques ? Bien sûr, ces outils de communication, même s‘ils sont émergents, ont un cadre juridique. Le Dr Mélaine Paya-Argoud nous indiquera comment rester dans le cadre de la loi.
Parce que les patients sont très demandeurs de dispositifs discrets, nous aborderons ensuite les techniques très prisées linguales et par aligneurs. Le Dr Jean-Stéphane Simon, une référence en technique linguale, nous montrera comment l’assistant(e) peut, par un travail à quatre mains, devenir un élément clé dans ce travail d’équipe très spécifique.
Le Dr Wajeeh Khan, fondateur d’un célèbre système d’aligneurs, présentera la technique par aligneurs et montera pourquoi, dans certains cas, il faut combiner des aligneurs et d’autres dispositifs (dont les attaches orthodontiques).
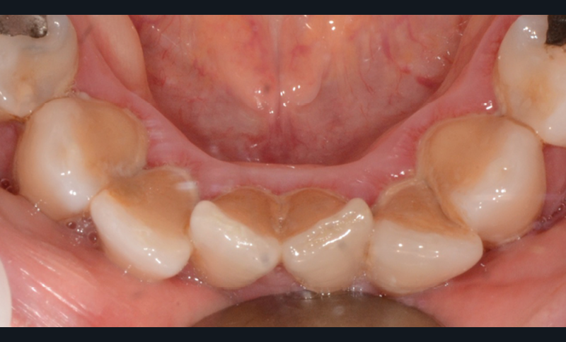
Le début et milieu d’après-midi seront consacrés à l’empreinte numérique, désormais utilisée pour les empreintes d’étude, les set-up, le thermoformage. Les Drs Guillaume Lecocq et Stéphane Desplanques monteront le thermoformage et comment ces empreintes numériques peuvent permettre de confectionner des appareils vestibulaires, linguaux, voire des aligneurs (fig. 1 et 2).
Dernier point : le contrôle de plaque dentaire et son pendant, le brossage. Les patients nous interrogent de plus en plus sur la brosse à dents électrique vs la brosse à dents manuelle. Delphine Hamon, assistante dentaire et chargée de projets scientifiques, fera le point scientifique et montera, en pratique, comment utiliser correctement la brosse à dents électrique avec un appareil (chacun repartira avec sa brosse à dents !).
Nous espérons que la présentation détaillée de ce programme aura aiguisé votre curiosité et vous aura donné l’envie de vous joindre à nous, pour reprendre le cours de nos réunions scientifiques annuelles et célébrer dignement cette date anniversaire, ô combien importante, de la SFODF.
Rendez-vous à Lyon du 20 au 22 mai 2021 pour le congrès, bien sûr, ou après les conférences, dans un superbe édifice emblématique de la médecine, rénové récemment et classé monument historique… Avez-vous deviné ? Le “nouvel” Hôtel Dieu !
Pour en savoir plus sur le congrès et vous inscrire : www.sfodf-lyon2021.com












































Commentaires