Surtraitements en dentisterie esthétique et considérations éthiques

  • Par
  • Publié le . Paru dans L'Information Dentaire n°1 - 12 janvier 2022 (page 4)
Information dentaire
Article analysé
Hirata R, Sampaio CS, de Andrade OS, Kina S, Goldstein RE, Ritter AV. Quo vadis, esthetic dentistry? Ceramic veneers and overtreatment — A cautionary tale. J Esthet Restor Dent 2021;1-8. doi:10.1111/jerd.12838

Si beaucoup d’entre nous ne céderons pas cette nouvelle année aux traditionnelles résolutions que nous savons éphémères, la période de ce nouveau « départ d’activité » peut tout au moins nous inviter à quelques moments d’introspection, ou plus simplement de questionnement sur les choix thérapeutiques proposés à nos patients, en particulier lorsqu’ils répondent à une demande ou situation esthétique qui se heurte inévitablement dans ce domaine à des questions éthiques.

La dentisterie esthétique a le vent en poupe et les réseaux sociaux sont devenus de nouveaux océans d’expression libres d’accès sur lesquels de nombreux dentistes et prothésistes font surfer leurs plus belles réalisations, y trouvent un champ d’expression voire d’acclamation pour y satisfaire parfois seulement un besoin de reconnaissance ou plus simplement d’existence. Si ces cas présentés, souvent très bien réalisés, ont pour vertu d’éveiller certaines consciences sur des réalisations ou des savoir-faire particuliers, les nouveaux influenceurs suscitent aussi l’envie et la convoitise des influencés qui, ne voulant pas passer pour des has been, chercheront à les imiter sans avoir pour autant la nécessaire maîtrise de tous les outils techniques, mais aussi éthiques à dessein. Dans ce domaine, la moindre défaillance peut coûter très cher au patient comme au praticien.

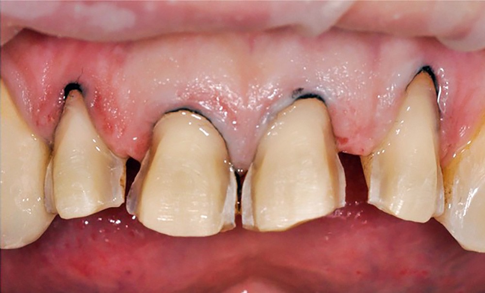
Les auteurs américains de l’article rapporté, paru en octobre dernier, dénoncent les effets négatifs de ce qu’ils considèrent comme étant de l’ordre du surtraitement esthétique par facettes en céramique et ses conséquences sur l’intégrité et la pérennité des dents. Ils fondent leur argumentaire en constatant que le principe thérapeutique éthique fondamental primum non nocere (avant tout ne pas nuire au patient), qu’ils associent à la préservation tissulaire, est souvent compromis par une volonté de résultat esthétique « à tout prix » dont les résultats immédiats ne durent qu’à court terme à la suite d’un sacrifice tissulaire trop important et/ou d’une technique insuffisamment maîtrisée, en clinique comme au laboratoire de prothèse. Les auteurs citent Oscar Wilde pour rappeler que « ce sont toujours les meilleures intentions qui conduisent au pire ». Ils ne dénoncent pas pour autant les progrès apportés par la dentisterie adhésive depuis le début des années 80 et considèrent que des préparations partielles antérieures limitées à l’épaisseur amélaire (voir des approches sans préparation) suivies de restaurations en céramique à la morphologie bien maîtrisée présentent une excellente alternative aux restaurations corono-périphériques beaucoup plus délabrantes. Ils insistent sur les grandes exigences de réalisation, mais aussi d’indications, qui ne sont souvent pas maîtrisées, alors que la pression sociétale conduit à une tendance excessive à réaliser des facettes quand bien même d’autres thérapeutiques plus conservatrices pourraient être envisagées. Ils montrent à travers différentes situations cliniques les conséquences désastreuses sur les dents et leur parodonte de facettes mal ajustées, en surcontour ou encore des surpréparations compromettant la vitalité ou même la survie des dents concernées. Les auteurs mettent en garde contre la notion de traitement minimalement invasif concernant les préparations pour facettes qui impliquent le plus souvent un sacrifice non négligeable de tissus sains.

Leur indication doit être justifiée, d’une part à l’issue d’une démarche éthique évaluant l’impossibilité de résoudre une situation objectivement préjudiciable par une technique plus conservatrice, et, d’autre part, par la connaissance et la capacité à appliquer toutes les nombreuses exigences techniques et précautions de mise en œuvre. Au cœur de cette démarche éthique, les auteurs mettent aussi en garde contre la pression exercée par les patients, eux-mêmes soumis à la pression sociétale du « beau ». La demande, même insistante, d’un patient ne constitue pas un argument déchargeant le praticien de la thérapeutique esthétique conduite et de ses conséquences, si elle n’est pas justifiée. Les auteurs évoquent par exemple les désordres dysmorphophobiques de certains patients persuadés de souffrir en permanence d’un défaut esthétique non objectif engendrant un réflexe compulsif de traitements à visée cosmétique dont ils ne sont jamais satisfaits. Ces dernières années, la notion de « blanchimentorexie » (bleachorexia en anglais) a même été développée pour caractériser une addiction de certains patients aux éclaircissements dentaires constamment répétés et dont les résultats ne les satisfont jamais.

Les auteurs insistent lourdement sur les principes éthiques qui doivent guider toutes nos actions, y compris en dentisterie esthétique. Le principe fondamental primum non nocere doit prévaloir sur toute démarche valorisante financièrement ou même intellectuellement si elle est susceptible de causer à long terme plus de torts que de bénéfices au patient (balance bénéfice/risques), même s’il en est demandeur. Ils encouragent chaque praticien à adopter la démarche décrite par Burke et Kelleher sous le terme de « test de sa propre fille ». Elle consiste à ne considérer un traitement que si, en parfaite connaissance de ses risques et avantages, nous serions prêts à le réaliser sur nos propres enfants en pareille situation. Ils insistent encore sur une indispensable maîtrise de toutes les indications et techniques de mise en œuvre de tous les procédés proposés aux patients (et ceux de dentisterie adhésive sont particulièrement exigeants), mais aussi une parfaite intégration des principes éthiques, trop souvent « mis de côté », qui doivent présider toute décision thérapeutique. Les auteurs estiment finalement qu’il existe dans la société des dentistes modernes un besoin urgent de modèles crédibles parmi les enseignants capables de guider les étudiants en dentaire et les jeunes praticiens, mais que le plus important est que les principes fondamentaux d’une dentisterie esthétique éthique doivent être enseignés pendant le cursus universitaire avant de diplômer les futurs praticien.

Commentaire

Cet article, qui reprend des notions d’éthique déjà développées dans les années 2000, notamment par Burke et Kelleher (2009), montre que cette problématique du surtraitement esthétique par une surproposition de facettes pose en fait de vrais problèmes déontologiques dont les conséquences peuvent facilement devenir juridiques. Les préparations pour facettes ne sont, dans la majorité des cas, que mini-invasives en comparaison des restaurations corono-périphériques et les auteurs ont raison d’insister sur la réduction en tissus sains nécessaire à leur mise en œuvre pour atteindre tous les objectifs esthétiques, mais aussi de pérennité mécanique recherchés.

Les étapes de réalisation des facettes nécessitent une maîtrise qui ne peut être obtenue qu’après un apprentissage long et une certaine expérience des procédures adhésives. Dans cette démarche thérapeutique, savoir poser opportunément la bonne indication selon les principes éthiques nécessite aussi un apprentissage sérieux. Les auteurs de l’article insistent sur le rôle de la formation qui doit intégrer pleinement dans ses enseignements l’ensemble des thérapeutiques les plus modernes, en particulier en dentisterie esthétique, car elles répondent aussi à un besoin sociétal. Ainsi, la formation initiale diplômante dispensée dans les facultés et les services hospitaliers des CHU sous convention avec les universités se doit d’enseigner toutes ces notions pour armer les futurs dentistes de toutes les compétences techniques et décisionnelles dans tous les domaines de la profession. Cela implique une mise à jour continuelle des contenus des programmes pédagogiques et une adaptation prospective à long terme des ressources nécessaires. Il s’agit d’abord d’offrir aux étudiants les moyens
techniques nécessaires à la mise en œuvre de ces thérapeutiques, mais aussi et surtout les ressources humaines enseignantes universitaires qui ont à la fois toutes les compétences requises pour enseigner tout au long d’un cursus de plus en plus dense toutes les connaissances théoriques, les compétences cliniques, les comportements diagnostiques et éthiques tout en demeurant indépendants, libres et détachés de toute pression commerciale ou financière.

Mais la réalité est bien différente et, comme trop souvent lorsqu’il s’agit de la santé des Français, l’État agit par réaction et par une communication orchestrée plutôt que par anticipation.

Ainsi, pour faire face aux déserts médicaux qui privent certains d’accès aux soins dentaires, l’État a annoncé la création de 8 nouveaux sites universitaires en odontologie répartis sur les territoires les moins dotés sans que la Conférence des doyens en odontologie ou le Conseil National Universitaire qui qualifie les enseignants titulaires ne sachent quelles années d’étude seront concernées par ces sites ou encore quelles ressources enseignantes y seront mobilisées. Parallèlement à cela, les conditions d’accueil des étudiants dans les services hospitaliers sont telles que l’exercice et l’apprentissage des principes les plus modernes de la dentisterie ne peuvent y être appliqués faute de moyens mais aussi d’enseignants compétents en nombre suffisant pour accompagner les stagiaires. Submergés par les tâches administratives et privés de conditions d’exercice décentes, ces enseignants eux-mêmes ne sont plus en mesure de se former et de pratiquer le métier qu’ils enseignent dans un environnement hospitalier qui leur est hostile avec souvent la complaisance ou l’indifférence de leurs collègues en responsabilité… Et comme beaucoup d’autres soignants, un nombre toujours plus important d’entre eux démissionnent et quittent le monde hospitalo-universitaire pour lequel ils avaient consenti tant d’efforts et de sacrifices.

En ce début d’année particulièrement importante pour notre avenir, on serait en droit d’espérer d’un grand pays comme la France un haut niveau de formation de nos futurs soignants par un système universitaire d’élite garanti par l’État en mesure d’enseigner avec la même qualité et avec les mêmes moyens sur tout le territoire l’intégralité des connaissances et des compétences scientifiques, techniques et éthiques requises par l’exercice le plus moderne de la dentisterie. Malheureusement, les directions prises montrent déjà que ce vœu est comme toutes nos résolutions de début d’année… éphémère !

Thèmes abordés

Commentaires

Laisser un commentaire

Sur le même sujet

Actualité Revue de presse Vie de la profession

Lorem ipsum

Lorem ipsum dolor sit amet, consectetur adipiscing elit, sed do eiusmod tempor incididunt ut labore et dolore magna aliqua. Ut...