Responsable scientifique : Jean-Pierre Attal (Paris Descartes)
Comment avez-vous eu l’idée d’organiser une séance sur ce sujet ?
Jean-Pierre Attal : C’est le Dr Maud Denis, membre du Comité scientifique du Congrès 2016 en charge de la prothèse fixe, qui en a eu l’excellente idée. La prévalence des usures érosives, c’est-à-dire des usures d’origine chimique, est en forte progression, toutes les études l’attestent [1]. Il existe des tableaux cliniques peu sévères (heureusement), mais de plus en plus de patients présentent des dents fortement altérées par cette usure chimique. Souvent, le praticien est démuni et réalise ce que le Dr Francesca Vailati, praticienne de renommée internationale, exerçant à titre libéral et à la faculté de médecine dentaire de Genève, appellera une « One tooth dentistry », c’est-à-dire qu’il palliera le problème de sensibilité dentinaire en apposant des composites, par-ci par-là, sans entreprendre un traitement global. C’est une erreur, car le processus continue sournoisement et, lorsque l’on se décide à intervenir car cela devient inévitable, on a perdu une bonne partie du volume dentaire sur lequel on pouvait coller facilement.
Quel traitement entreprendre chez les patients avec des usures sévères généralisées ?
Jean-Pierre Attal : Chez ces patients, le tableau clinique est souvent similaire. L’usure érosive, et/ou attritive, a entraîné une égression compensatrice. Dans le secteur antérieur il n’y a alors plus d’espace prothétique pour reconstruire les dents altérées. Francesca Vailati a proposé il y a plusieurs années une technique ultraconservatrice en trois temps (la fameuse « 3 steps technique ») [2-4]. Elle consiste à :
– visualiser l’augmentation de DVO nécessaire pour rétablir la fonction antérieure et l’esthétique ;
– augmenter la DVO en collant par addition (sans mutilation) des restaurations sur les dents postérieures ;
– reconstruire les dents antérieures grâce à l’espace prothétique retrouvé.
Francesca Vailati a documenté près de dix ans de recul sur ces traitements. Notons qu’une publication récente fait le point sur la longévité de ces restaurations après 6 ans [5]. Aujourd’hui, avec plus ou moins de variantes, tous les experts qui traitent les patients atteints d’usure généralisée sévère appliquent sa technique.
Justement, quel est le but de cette séance ?
Jean-Pierre Attal : Le format de la séance étant très court (1 h 30), nous avons donc décidé de ne développer que deux points précis de cette technique. Le premier sera traité par le Dr Gil Tirlet, qu’on ne présente plus. Il a, depuis quelques années, appliqué la technique de Francesca Vailati, en y apportant quelques modifications destinées à simplifier la procédure. Il nous parlera notamment des « full mock-up » [6], qui sont devenus une étape cruciale de ce type de traitement. Le deuxième point sera traité par Francesca Vailati qui décrira les spécificités de la « 3 steps technique » dans le cas où le patient n’est plus uniquement atteint de destructions érosives, mais où il est atteint de bruxisme. Elle montrera que le principe général de la « 3 steps » s’applique bien, mais avec des précautions dont elle nous parlera.
Que sont les « full mock-up » ?
Jean-Pierre Attal : Déjà proposés par le Dr Stefen Koubi [7] en 2014, les « full mock-up » sont des masques réalisés en clinique à partir de clés en silicone de haute viscosité et de résine bis-acryl. Ils sont placés sur les dents sans préparation au niveau des secteurs antérieur et postérieur. Ces masques complets visent à répondre à plusieurs objectifs : esthétique (de validation des formes et ratios des dents antérieures), fonctionnel (de validation de l’augmentation de DVO et création de contacts antérieurs) et pratique (car ils permettent de remplacer progressivement les restaurations postérieures guidées par le maintien des masques antérieurs).
Ces clés en silicone sont-elles réalisées par le prothésiste à partir d’une cire de diagnostic (« wax-up ») ?
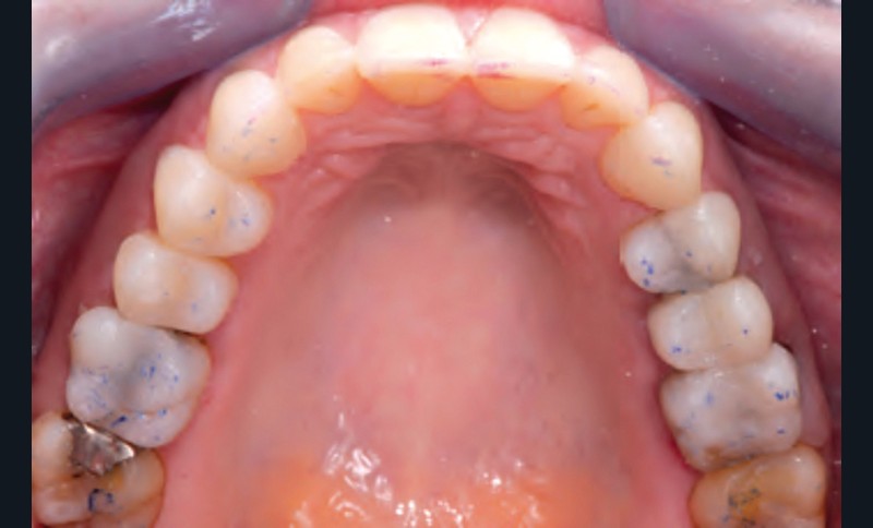
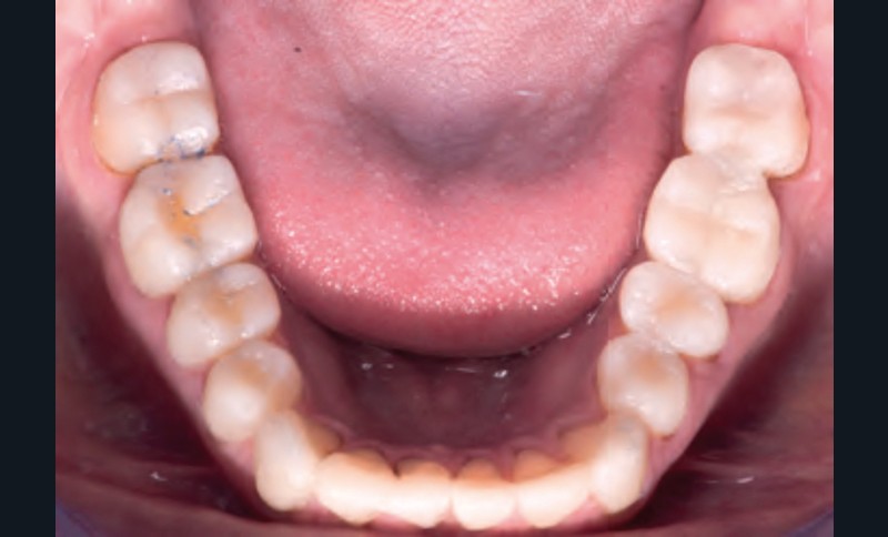
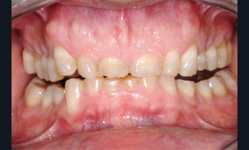
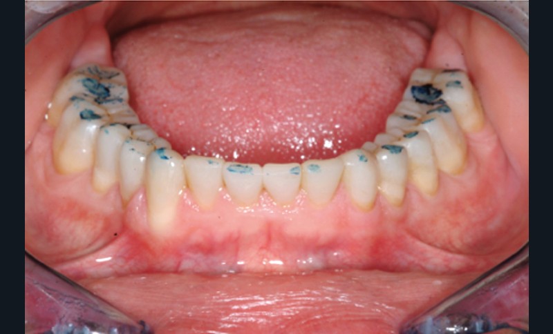
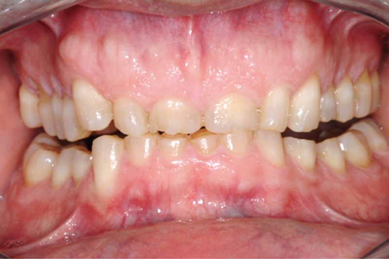
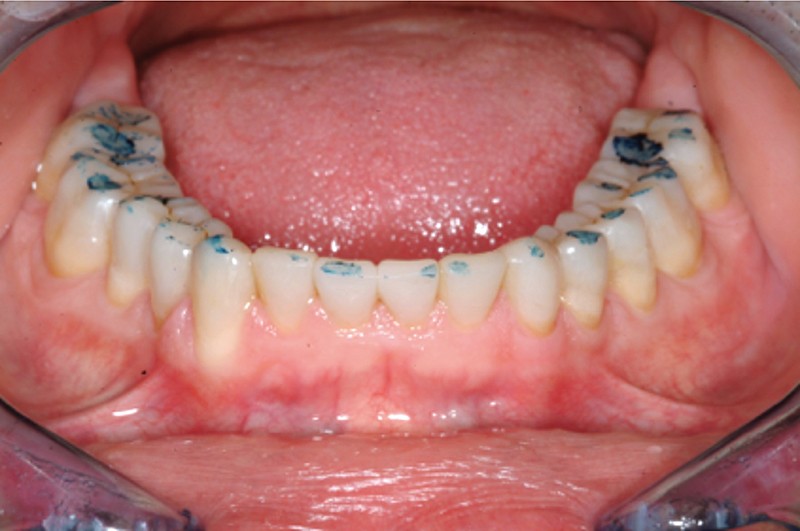
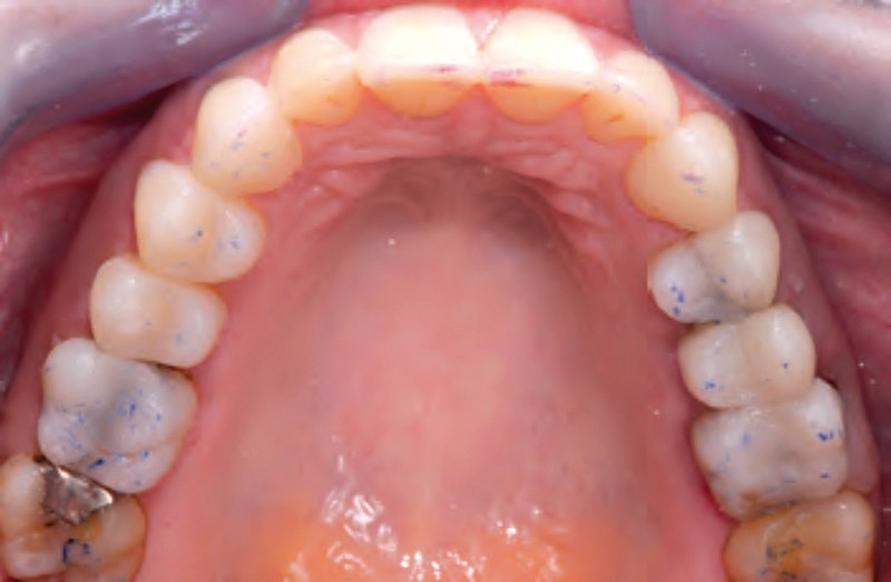
Jean-Pierre Attal : Tout à fait. Mais il faudra donner au prothésiste un maximum d’indications pour qu’il puisse réaliser sa cire de diagnostic. Vous découvrirez que la première étape de la réalisation de ces « full mock-up » est la réalisation d’un projet esthétique virtuel [8] à partir de cadrages photographiques précis aux trois échelles (visage, sourire, dento-gingivale). Gil Tirlet nous expliquera tout cela en détail avec des vidéos que j’ai déjà visionnées et qui sont très impressionnantes (fig. 1 à 4) !
Cela peut avoir l’air compliqué, mais c’est bien plus facile à réaliser que les couronnes provisoires traditionnelles.
Et le Dr Vailati prendra donc comme exemple clinique le cas d’un patient atteint de bruxisme ?
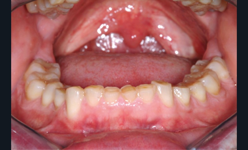
Jean-Pierre Attal : Exactement, car il est possible d’appliquer le protocole de la technique « 3 steps » aux patients présentant des pertes de substance d’origine attritive (bruxisme) (fig. 5).
Pour autant, Francesca Vailati exposera les précautions particulières à prendre dans ce contexte dysfonctionnel. Le principe du traitement est de protéger rapidement la dentine par collage (uniquement des restaurations par addition afin de ne pas délabrer davantage les dents déjà altérées) et de permettre ainsi au patient de dégrader les restaurations plutôt que l’organe dentaire.
Et quelle est la longévité de ce type de restauration ?
Jean-Pierre Attal : Elle est évidemment moins bonne que chez un patient non atteint de bruxisme. C’est là où Francesca Vailati nous expliquera son choix de matériaux en fonction des facteurs cliniques. Il n’y a pas de règles systématiques. Mais, dans tous les cas, le patient sait qu’il y aura peut-être des réparations dans le temps. Il faut toujours avoir en tête que la longévité de la dent sur l’arcade est plus importante que la longévité de la restauration. Francesca Vailati insistera beaucoup sur les interventions précoces nécessaires sur ces patients.
En conclusion, que diriez-vous pour inciter les praticiens à assister à cette conférence ?
Jean-Pierre Attal : Disons que nous avons deux conférenciers exceptionnels qui traiteront de cas cliniques que les praticiens vont voir de plus en plus souvent dans l’avenir. Alors autant se former le plus tôt possible !
Un débat – B21 – Traitement des usures sévères par la technique « 3 steps » : avec et sans troubles fonctionnels associés
Mercredi 23 novembre – 9 h – 10 h 30
Responsable scientifique : Jean-Pierre Attal (Université Paris Descartes)
Modérateur : Magali Dewaele (Bruxelles, Belgique)
Les cas d’érosion sévères, intérêt des full mock-up
Gil Tirlet (Université Paris Descartes)
Que faire devant un patient avec des troubles fonctionnels ?
Francesca Vailati (Bellevue, Suisse)







Commentaires