Variole du singe : les muqueuses buccales sont particulièrement touchées

  • Publié le . Paru dans L'Information Dentaire n°28 - 13 juillet 2022
Information dentaire

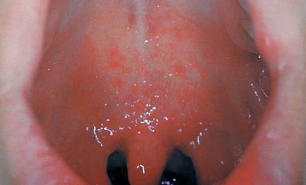
Dans la variole du singe (Monkeypox en anglais), l’éruption cutanée qui commence généralement dans les un à 3 jours suivant l’apparition de la fièvre, touche en premier lieu la bouche et la langue (énanthème), indique le Haut Conseil de la santé publique (HCSP) dans un avis publié le 24 mai. Puis une éruption maculaire cutanée apparaît, débutant au niveau du visage et s’étendant aux membres supérieurs et inférieurs, puis aux mains et aux pieds, incluant paumes et plantes. Les organes génitaux et les conjonctives peuvent également être touchés. Au 3e jour, les lésions maculaires (plates) évoluent en papules (lésions fermes en léger relief) et se développent au 4-5e jour en vésicules (lésions remplies de liquide clair). Elles se transforment en pustules (lésions remplies de liquide jaunâtre) et enfin en croûtes qui sèchent et tombent à partir du 7e jour.

« L’évolution spontanée de cette maladie virale est majoritairement favorable en une vingtaine de jours », souligne le HCSP, mais plusieurs critères, dont l’intensité de l’hyperthermie supérieure, l’importance de l’éruption cutanée ou la présence de douleurs buccales avec odynophagie et dysphagie, signent la gravité de la maladie. La transmission interhumaine peut résulter de contacts étroits avec des lésions cutanées (vésicules) ou muqueuses d’une personne malade (muqueuses buccales, génitales, conjonctives, voire cornée) ou de manière indirecte, après contact avec des objets ou matériels (literie, linge, vaisselle…) récemment contaminés par des liquides biologiques. « Les lésions muqueuses précèdent les lésions cutanées, ce qui pourrait expliquer que le virus soit transmis au début principalement par la salive et les gouttelettes respiratoires après un contact face à face prolongé », estime l’avis.

Au 30 juin, selon Santé publique France, 498 cas ont été confirmés en France métropolitaine dont 336 en Ile-de-France, 44 en Auvergne-Rhône-Alpes, 36 en Occitanie et 27 en Nouvelle Aquitaine. Ils sont survenus majoritairement, « mais pas exclusivement », chez des hommes ayant des relations sexuelles avec des hommes, sans lien direct avec des personnes de retour de zone endémique (Afrique). La majorité des cas rapporte des partenaires sexuels multiples. L’Organisation Mondiale de la Santé a appelé, vendredi 1er juillet, à une « action urgente » en Europe, face au triplement observé des cas depuis deux semaines sur le continent. La vaccination est possible. La HAS recommande la mise en œuvre d’une stratégie vaccinale en post-exposition avec le vaccin Imvanex, dit de troisième génération, administré idéalement dans les 4 jours après le contact à risque et au maximum 14 jours plus tard avec un schéma à deux doses espacées de 28 jours, « pour les personnes adultes contacts à risque élevé incluant les professionnels de santé exposés sans mesure de protection individuelle ».

Thèmes abordés

Commentaires

Laisser un commentaire

Sur le même sujet

Santé publique Vie de la profession

Une proposition de loi veut créer un statut d’hygiéniste dentaire

Selon le député Fabien Di Filippo (Droite républicaine) à l’origine de ce texte, il s’agit, face à la pénurie croissante...
Santé publique

Article réservé à nos abonnés Réduire l’empreinte eau au cabinet dentaire : un enjeu écologique et sanitaire

L’eau, une ressource vitale et sensible (INTER 2) L’eau est massivement présente sur Terre, mais seule une faible proportion – environ 3...
Actualité Santé publique

« Et toi, t’as des caries ? »

Caries, anatomie dentaire, parodontite, implants, hygiène bucco-dentaire… Dans le cinquième et dernier épisode de la série Youtube « Quand je serai grand je serai soignant »...