Évolution des systèmes adhésifs
Les adhésifs sont des biomatériaux d’interface utilisés pour lier les tissus dentaires et les biomatériaux de restauration ou de collage de manière adhérente et étanche [1] (fig. 1).
Ils sont aujourd’hui classés en huit générations.
- La 1re génération a été développée dans les années 1950, lorsque Buonocore a démontré en 1956 qu’une résine de diméthacrylate d’acide glycérophosphorique (NPG-GMA) adhérait à la dentine mordancée à l’acide [2]. Néanmoins, cette génération a donné des résultats cliniques très médiocres avec une faible force d’adhérence (1-3 MPa) [3].
- Arrivée à la fin des années 1970, la 2e génération utilise principalement des phosphates polymérisables ajoutés aux résines bis-GMA pour favoriser la liaison avec le calcium de la structure dentaire minéralisée [3, 4]. Pour cette génération, la force d’adhésion se situe entre 4 et 6 MPa [5].
- La 3e génération, dans les années 1980, correspond au développement du concept de système adhésif. Il s’agit d’une combinaison de plusieurs produits. La résine adhésive est couplée à une ou plusieurs solutions préalablement appliquées pour stabiliser la boue dentinaire et faciliter son mouillage et son infiltration sur les parois de la cavité [3].
- Au début des années 1990, la 4e génération est basée sur le concept de mordançage simultané de l’émail et de la dentine. Ces systèmes comportent généralement trois étapes :
– La première est le mordançage à l’acide de la surface dentinaire. L’acide phosphorique est utilisé pour créer une couche poreuse et augmenter l’énergie de surface et la mouillabilité [6, 7]. Il optimise ainsi le collage et c’est l’acide le plus couramment utilisé dans les restaurations dentaires [8].
– La deuxième consiste à favoriser le mouillage et la pénétration de la surface traitée avec un primer.
– La troisième est l’infiltration d’une résine adhésive qui doit copolymériser avec le composite [9]. Ces adhésifs en trois étapes ont été nommés MR3 (mordançage-rinçage en trois étapes).
- Au milieu des années 1990, des systèmes adhésifs plus simples ont été introduits sur le marché dentaire. Ils constituent la 5e génération et combinent dans un seul flacon le primer et la résine adhésive. Cependant, ils nécessitent toujours un mordançage préalable à l’acide phosphorique [10]. Ce sont les adhésifs MR2 (mordançage-rinçage en deux étapes).
- La 6e génération, à la fin des années 1990, concerne les adhésifs automordançants. Dans cette classe, les deux premières étapes du collage sont combinées en une seule : le mordançage et le primer [3]. Ce sont les SAM2 (système automordançant en deux étapes).
- En 2000, la 7e génération d’adhésifs a été introduite avec les adhésifs « all-in-one ». Ces produits combinent les trois étapes de collage en un seul [11]. Ce sont les SAM1 (système automordançant en une étape) Les SAM1 simplifient le protocole de collage et diminuent les risques d’erreur entre les différentes étapes. Cependant, ils présentent les forces de liaison initiales et à long terme les plus faibles de tous les adhésifs sur le marché aujourd’hui, ce qui peut être considéré comme un inconvénient.
- Les adhésifs de 8e génération appelés adhésifs universels apparaissent en 2011. Un adhésif universel doit présenter trois caractéristiques [12] :
– Une utilisation multimode : il doit être utilisable en mode mordançage-rinçage total émail/dentine, en mode automordançant ou avec uniquement un mordançage sélectif de l’émail [13] (fig 2).
– Une compatibilité globale : il doit être compatible avec les composites de restauration et les résines de collage.
– Un potentiel d’adhésion aux substrats dentaires et aux matériaux prothétiques : la colonne vertébrale des adhésifs universels est un ester de phosphate (R-O-PO3H2) ayant pour particularité de pouvoir se lier chimiquement aux tissus dentaires par la formation de sels de calciums insolubles, mais aussi aux métaux, aux oxydes de zirconium et aux composites [14].
Spécificités chimiques des adhésifs universels
Les monomères fonctionnels
Malgré une composition similaire à celle des adhésifs automordançants plus anciens, les adhésifs universels contiennent des monomères fonctionnels carboxylate et/ou phosphate spécifiques, capables de produire une adhésion chimique et micromécanique aux substrats dentaires [15, 16]. Le plus remarquable de ces monomères est le 10-méthacryloyloxydécyl dihydrogène phosphate (10-MDP ou MDP), un monomère phosphate qui se lie ioniquement à la dentine en formant des sels de calcium hydrolytiquement stables sur l’hydroxyapatite sous forme de « nanocouches » [17, 18]. Ces nanocouches sont de meilleure qualité sur la dentine que sur l’émail et sont plus abondantes en présence de 10-MDP Yoshihara et collègues [19]. Leur présence dans l’interface résine-dentine pourrait améliorer la qualité d’adhésion à long terme [17, 18].
De plus, le 10 MDP est un monomère hydrophile, il favorise ainsi une liaison chimique plus efficace et plus stable dans l’eau que celle fournie par d’autres monomères fonctionnels [20, 21]. Il se lie chimiquement aux oxydes de la zircone, tout en copolymérisant avec les monomères de résine du ciment de collage [22].
Attention toutefois, tous les adhésifs universels ne contiennent pas du 10-MDP.
Les autres monomères fonctionnels les plus couramment présents dans les adhésifs universels sont le polymère d’acide carboxylique méthacrylé (MCAP), le glycérophosphate diméthacrylate (GPDM), le monophosphate de dipentaérythritol penta-acrylate (PENTA) et l’anhydride de l’acide 4-méthacryloxyéthyl trimellitique (4-MET) [23].
Le silane
Certains adhésifs universels peuvent contenir du silane dans leur formulation.
Les silanes ont cependant une stabilité et une réactivité accrues lorsqu’ils sont utilisés séparément plutôt que combinés avec des monomères de résine [24]. Cliniquement, l’utilisation d’un silane séparé et fraîchement hydrolysé reste donc nécessaire car plus performant et plus stable [25, 26]. Cette partie est développée dans l’article d’Olivier Etienne (voir pp. 20).
Le pH
Les adhésifs universels sont classés en fonction de leur acidité.
La classification se scinde en trois sous-familles :
- les adhésifs universels « ultradoux » : pH > 3
- les adhésifs universels « doux » : pH entre 1,5 et 3
- les adhésifs universels « intermédiairement forts » : pH < 1,5 [27]. (Tableau 1).
|
Tableau 1 : Classification des principales formes commerciales en fonction de leur pH |
|||
|
Ultradoux |
Doux |
Intermédiairement fort |
|
|
Adhésifs universels |
All Bond Universal |
Scotchbond Universal Futurabond U Single Bond Universal Clearfil Universal Bond Adhese Universal |
Peak Universal bond G-Premio Bond |
Tous les adhésifs universels ne sont pas égaux et leur utilisation semble être guidée en partie par leur pH comme nous le verrons ensuite.
Précautions d’emploi des adhésifs universels
Le stockage des adhésifs universels dans un réfrigérateur est vivement recommandé car ils contiennent des produits chimiques qui peuvent subir une dégradation hydrolytique en cas de conditions de stockage inadéquates ou de trop longue durée, affaiblissant alors leur capacité d’adhérence au fil du temps. Il semble d’ailleurs que les composants des adhésifs universels jouent un rôle important dans leur stabilité, car les formulations sans HEMA utilisant des méthacrylamides (monomère permettant la polymérisation et la formation du méthacrylate de méthyle) ont une durée de conservation plus longue [28].
L’ouverture fréquente du flacon peut aussi entraîner l’évaporation du solvant qu’il contient, ce qui réduit donc la durée de conservation et il est vivement conseillé de les refermer rapidement après leur utilisation.
Utilisation des adhésifs universels sur l’émail
Les conclusions d’une récente méta-analyse sur les adhésifs universels menée en 2019 par Cueva-Suarez [29] mettent l’accent sur trois caractéristiques :
- les valeurs d’adhérence amélaire ne sont pas influencées par leur niveau d’acidité (doux, ultradoux et intermédiaire) ;
- l’adhésion amélaire des adhésifs universels est stable dans le temps, qu’ils soient utilisés en mode SAM ou en mode MR ;
- l’adhésion amélaire des adhésifs universels sur l’émail est significativement supérieure lorsqu’ils sont utilisés en mode MR.
Kharouf et al. préconisent de frotter l’acide 20 secondes pendant la procédure de mordançage pour améliorer la qualité du collage à l’émail car cela favorise considérablement la force d’adhérence des adhésifs universels sur les surfaces d’émail. En effet, ce frottement augmente la rugosité de l’émail, ce qui permet d’élargir la surface de connexion entre la couche adhésive et l’hydroxyapatite [30]. La liaison de la résine à l’émail mordancé est durable et basée sur la pénétration des monomères de résine dans les porosités de la surface de l’émail attaqué [31].
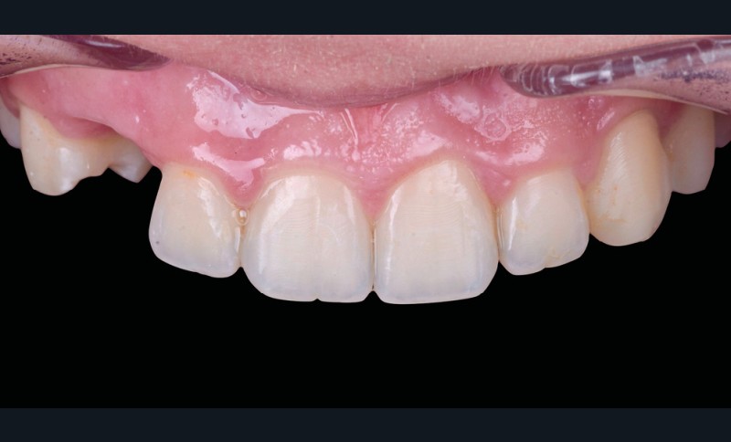
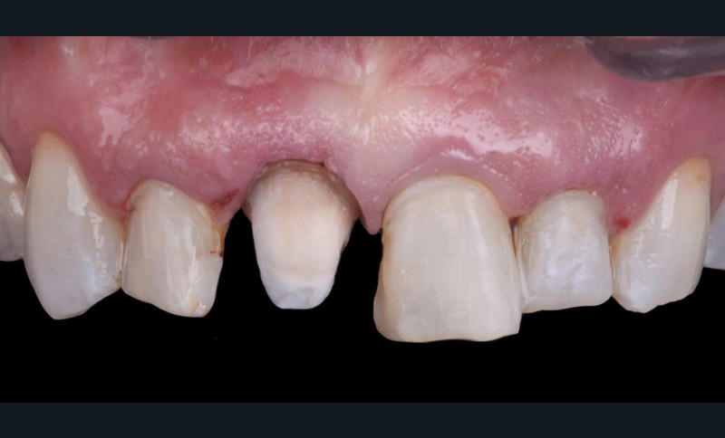
Néanmoins, Jacobsen et al. ont noté que l’utilisation d’acide phosphorique peut conduire à une formation précoce de phosphate monocalcique monohydraté (MCPM) [32]. En conséquence, il semble préférable de rincer l’acide 30 secondes afin d’éliminer les précipités [33] (fig. 3).
Lorsque les adhésifs universels sont utilisés avec la stratégie automordançante, leur attaque acide plus faible réduit leur potentiel de déminéralisation complète de l’émail, entraînant des microporosités rétentives inadéquates [23]. Rosa et al. ont confirmé que les adhésifs universels utilisant la stratégie automordançante (par rapport à mordançage/rinçage) entraînaient des valeurs d’adhérence par microtraction de l’émail significativement plus faibles [34] (tableau 2).
Des études in vitro ont testé plusieurs méthodes pour améliorer les caractéristiques d’adhérence adhésif-émail en mode automordançant. Certaines études ont suggéré l’utilisation d’une application active [35, 36] et prolongée [36] de l’adhésif. Une autre étude a indiqué que l’application en double couche pouvait être efficace, probablement en raison de l’augmentation de l’épaisseur et de l’amélioration des propriétés mécaniques de la couche adhésive [37]. Une dernière étude a rapporté une amélioration avec l’utilisation d’une couche supplémentaire de résine hydrophobe (Heliobond, Ivoclar Vivadent) [38].
Utilisation des adhésifs universels sur la dentine
Alors que le mordançage à l’acide phosphorique est bénéfique pour la liaison adhésif-émail, l’élimination de la boue dentinaire et du collagène déminéralisé entraîne une augmentation du flux de fluide intra-tubulaire à la surface de la dentine exposée [42]. Cela rend l’interface de liaison très vulnérable aux processus de dégradation hydrolytique et éventuellement enzymatique [20, 43, 44], entraînant une chute d’adhérence à court et à long terme.
Pour les adhésifs universels, les études in vitro semblent indiquer que la stratégie adhésive n’affecte pas l’adhésion immédiate de la dentine. La méta-analyse de Elkaffas et al. a d’ailleurs rapporté des valeurs d’adhérence similaires pour les stratégies mordançage- rinçage et automordançante [45]. Toutefois, les études in vitro sur la durabilité de l’adhérence des adhésifs universels à la dentine ont conclu que la stratégie automordançante permettait d’obtenir des caractéristiques d’adhérence à long terme plus stables [46-49]. La force d’adhérence par cisaillement d’un adhésif universel diminue d’ailleurs de manière significative après vieillissement thermique lorsqu’il est utilisé en mode mordançage-rinçage [50]. Les études attribuent cela à la liaison chimique stable produite par le 10-MDP [46, 51, 52] (tableau 3).
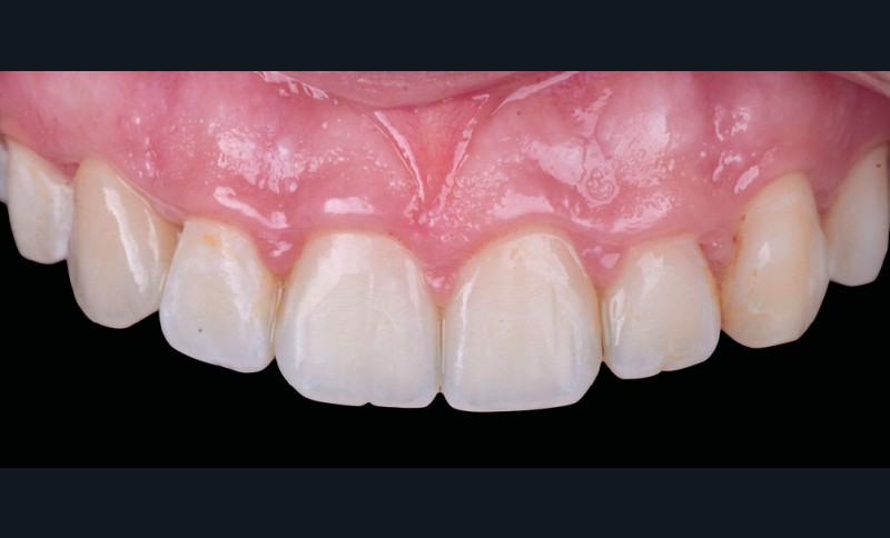
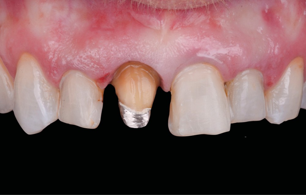
Plusieurs méthodes ont été proposées pour préserver l’interface adhésif-dentine. Des études in vitro ont montré une amélioration immédiate et à long terme avec la stratégie automordançante par l’application d’une couche de résine hydrophobe supplémentaire qui améliorerait le degré de conversion des monomères aux interfaces résine-dentine [38, 56, 56]. Il semble également que le frottement actif de l’adhésif sur la surface dentinaire augmenterait ses valeurs d’adhérence immédiate [57] et, à long terme, quelle que soit la stratégie de collage [58]. D’autres études ont montré une amélioration de la stabilité de l’adhérence à long terme par l’application d’inhibiteurs de métalloprotéinases matricielles (MMP), tels que la chlorhexidine, le chlorure de benzalkonium, le méthacrylate de benzalkonium polymérisable et l’acide éthylènediaminetétraacétique (EDTA) [59, 60] (fig. 4-7). Cependant, plusieurs études ont montré que l’intérêt de l’adhésif universel était de simplifier les étapes et non d’ajouter d’autres étapes ou stratégies supplémentaires telles que l’utilisation des inhibiteurs de MMP [61] et il n’existe pas d’études à long terme qui montrent les bénéfices de ce prétraitement [62].
Certaines procédures cliniques peuvent aussi améliorer les forces d’adhérence des adhésifs universels :
- L’eau et le solvant résiduel peuvent compromettre la performance des adhésifs universels après leur application. Un séchage prolongé à la soufflette pendant 15 à 30 secondes, contre les 5 à 10 secondes recommandées par le fabricant, permettrait d’améliorer les propriétés adhésives immédiates de ces adhésifs [63, 64].
- Le mordançage de la dentine avec de l’acide phosphorique à 37 % pendant 3 secondes sans frottement est recommandé avant d’appliquer un adhésif universel sur la surface dentinaire [65] car il ne surexpose pas le collagène déminéralisé et améliore l’adhérence immédiate et à long terme [66]. À l’inverse, le frottement lors du mordançage diminue l’adhérence, probablement par écrasement et destruction des fibres de collagène et les cristaux d’hydroxyapatite [65].
- Hardan et al. suggèrent lors de l’utilisation des adhésifs universels :
– un temps d’application prolongé ;
– une application en double couche ;
– une application assistée par un courant électrique ;
– l’application active de l’adhésif ;
– l’application d’une couche de résine hydrophobe [67].
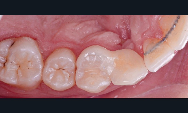
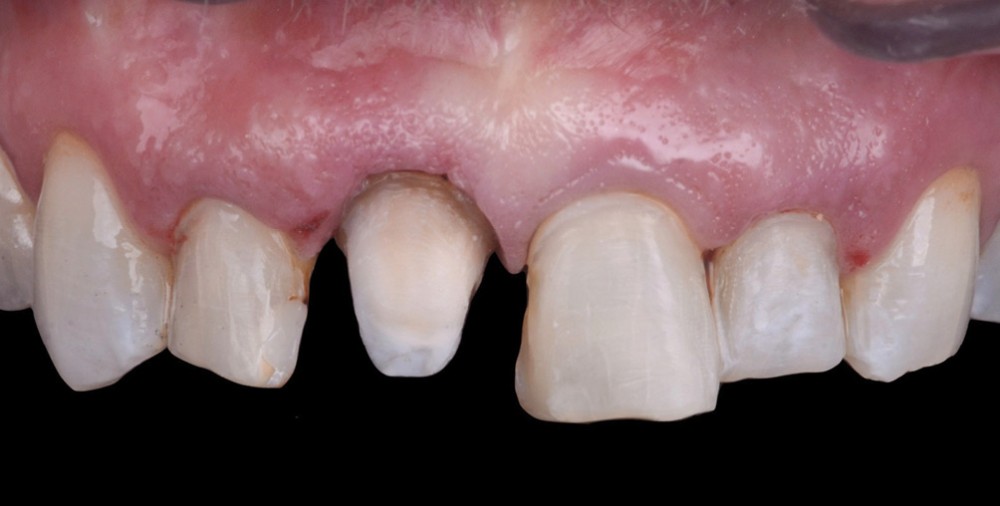
Finalement, certaines études comparatives montrent que les adhésifs les plus performants et les plus stables sur une surface principalement représentée par de la dentine saine sont les MR3, les SAM2 et les adhésifs universel doux utilisés en mode MR ou SAM [68-71] (fig. 8-10).
Utilisation des adhésifs universels sur les matériaux dentaires
Céramiques vitreuses
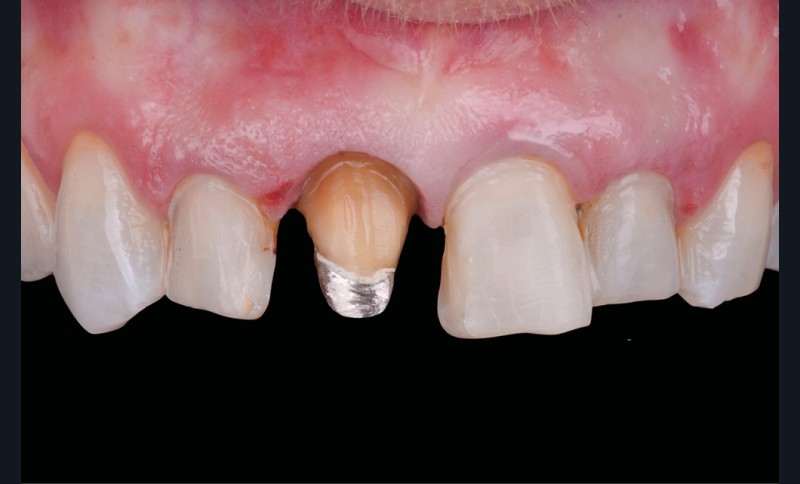
Un prétraitement supplémentaire au silane est toujours recommandé, même si l’adhésif universel contient un silane dans sa composition [72-76] car le silane incorporé dans la composition de ces adhésifs n’est pas censé se lier chimiquement aux vitro–céramiques [75] (fig. 11).
Zircones
Pour le collage des restaurations en zircone, plusieurs méthodes de prétraitement mécanique et chimique ont été proposées [77-79]. Les méthodes mécaniques qui augmentent la rugosité de la surface de la zircone peuvent optimiser les forces de collage en améliorant l’imbrication micromécanique [79, 80]. Les prétrai–tements chimiques avec des solutions de silane ou des primers zircone contenant des monomères fonctionnels tels que le 10-MDP, l’acrylate d’acide phosphonique ou des primers contenant des anhydrides sont connus pour favoriser la liaison chimique avec la zircone [79, 81]. Ainsi, les stratégies recommandées pour une liaison résine-zircone durable sont :
- le revêtement tribochimique de silice, suivi d’une silanisation ;
- le microsablage à l’oxyde d’aluminium suivi d’un préconditionnement avec un primer contenant du MDP (fig. 12) ;
- un revêtement de silice ou de céramique suivi d’un primer à base de MDP [77, 79, 82].
De nombreux adhésifs universels à base de MDP ont également été recommandés pour coller efficacement la zircone [83-85]. Quoi qu’il en soit, un collage adéquat avec les adhésifs universels nécessite toujours au préalable un traitement de surface abrasif [84, 86-88]. Attention toutefois, bien que des forces de collage acceptables aient été obtenues à court terme, leur durabilité après un vieillis–sement artificiel s’est avérée moins concluante sur la zircone [89, 90]. C’est pourquoi, Bömicke et al. recommandent aux praticiens de ne pas se fier uniquement à l’adhésion pour l’assemblage des restaurations en zircone [89] (fig. 13-18).
Composites
Les études évaluant l’utilisation des adhésifs universels pour réparer les composites en résine prépolymérisée vieillis pour les restaurations indirectes recommandent d’effectuer un microsablage préalable [91, 92, 94] ou un meulage avec une fraise diamantée [95, 96].
Métal
Concernant le collage des résines composites sur les couronnes en acier inoxydable, Hattan et al. ont rapporté de meilleures valeurs d’adhérence et moins d’échecs avec un adhésif universel par rapport à un adhésif MR2 [97]. Ghadimi et al. ont préconisé un microsablage du métal à coller ou un passage à la fraise diamantée avant l’utilisation d’un adhésif universel pour améliorer les forces d’adhérence par cisaillement [98] (fig. 19-21).
Conclusion
Les adhésifs universels présentent de nombreux avantages par rapport aux générations d’adhésifs précédentes :
- Ils peuvent se lier chimiquement à l’émail et la dentine, mais aussi aux matériaux de restauration directe et indirecte.
- Ils présentent une polyvalence d’utilisation en mode mordançage/rinçage émail et/ou dentine ou automordançant. Cette qualité permet simplifie leur utilisation et permet de s’adapter à l’ensemble des situations cliniques. Elle compense en outre le risque d’erreurs de manipulation de l’adhésif ou de l’acide orthophosphorique.
- Ils permettent d’obtenir des valeurs d’adhérence efficaces, proches ou équivalentes aux adhésifs conventionnels. Leur adhésion est stable dans le temps sur l’émail, mais présente toujours un problème de dégradation au niveau de la dentine, talon d’Achille de l’adhésion dentaire jusqu’à présent. Même si certains adhésifs MR3 font autorité sur le collage de la dentine, les adhésifs universels font aussi partie de la cour des grands et se mesurent à leurs aînés.
En conclusion, trois mots définissent aujourd’hui les adhésifs universels :
- Simplification
- Efficacité
- Polyvalence
Les chercheurs travaillent activement à leur développement et n’ont pas fini de nous dévoiler leurs secrets. Les adhésifs universels sont donc loin d’être un effet de mode, mais représentent bien une famille pleine d’avenir !























Commentaires