3e lauréat 2020 : Caroline Leverd, Thomas Marquillier, Caroline Delfosse, Thomas Trentesaux
Grand Prix : Comment garantir une anesthésie de qualité en 2020 ?
Une première ! Organisé cette année pour la première fois, ce prix éditorial, placé sous l’égide de L’Information Dentaire avec le soutien institutionnel de Dentalhitec, a permis de mettre en lumière l’influence d’une anesthésie réussie sur la relation entre praticiens et patients, la prise en charge des soins et le confort de chacun.
Objectifs
La difficulté anesthésique est systématique sur les molaires atteintes. En effet, les défauts de structures amélaires se traduisent par un émail poreux où les tubuli dentinaires sont larges (immaturité) et se retrouvent exposés. L’inflammation pulpaire chronique rend ainsi le silence opératoire difficile à obtenir.
Les enfants porteurs de MIH exigent en moyenne jusqu’à 10 fois plus de soins dentaires que les autres [2]. Par ailleurs, les multiples tentatives de soins entreprises auparavant dans un contexte de silence opératoire incomplet engendrent une anxiété majorée de l’enfant et affectent la qualité des restaurations [3].
Une anesthésie efficace constitue donc l’étape essentielle pour réaliser un traitement efficient. Souvent, celui-ci ne peut être obtenu avec les techniques d’anesthésie classiques (anesthésie péri-apicale ou intraligamentaire). Si l’anesthésie locorégionale peut se révéler la technique de choix, elle présente de nombreuses limites chez l’enfant (variations anatomiques, insensibilisation des tissus mous…).
Parmi les techniques d’anesthésie qui s’offrent à nous, l’anesthésie ostéocentrale apparaît comme fiable, facile à mettre en place, immédiate et bien acceptée chez l’enfant [4-6].
Présentation du cas
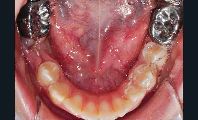
Lisa est une jeune patiente de 10 ans, atteinte d’une MIH sévère sur les premières molaires mandibulaires 36 et 46 (fig. 1 et 2). Elle présente une sensibilité exacerbée au froid en regard des zones molaires entraînant un brossage approximatif.
Les tentatives précédentes de soins à l’état vigil ont échoué, dans un contexte d’anxiété sévère. Une prémédication sédative à l’hydroxyzine (1 mg/kg) a été mise en place, associée à une sédation consciente par inhalation de MEOPA pour réaliser les séances thérapeutiques [7].
Il a été décidé de réaliser des coiffes préformées métalliques sur les premières molaires permanentes pour supprimer les sensibilités et restaurer les fonctions mécaniques. Au regard de l’immaturité des tissus parodontaux et de l’anxiété de Lisa, la réalisation d’onlays n’a pas été envisagée.
Afin d’optimiser les séances de soins, l’anesthésie intra-osseuse par injection électronique a été réalisée avec le Quicksleeper 5® dans les deux secteurs (fig. 3 et 4) afin de permettre la réalisation des coiffes préformées métalliques sur 36 et 46 dans la même séance (fig. 5 à 7). Il aurait été difficilement envisageable de réaliser les coiffes dans la même séance en utilisant une anesthésie tronculaire dans chaque secteur.
Conclusion
La variabilité des formes cliniques des MIH nécessite une constante adaptation des solutions thérapeutiques à proposer à nos patients et à leurs parents.
L’évolution de la médecine bucco-dentaire permet d’envisager des traitements efficaces. À l’heure actuelle, l’anesthésie ostéocentrale, notamment avec la réalisation d’injection assistée électroniquement grâce au Quicksleeper 5®, représente un outil incontournable (rapide, efficace, sécurisant) dans la prise en charge des patients en odontologie pédiatrique.
Bibliographie
- Weerheijm KL, Jälevik B, Alaluusua S. Molar-incisor hypomineralisation. Caries Res 2001 ; 35 : 390-1.
- Fayle SA. Molar incisor hypomineralisation : restorative management. Eur J Paediatr Dent 2003 ; 4 : 121-6.
- Discepolo K, Baker S. Adjuncts to traditional local anesthesia techniques in instance to hypomineralized teeth. N Y State Dent J 2011 ; 1 : 22-6.
- Tom K, Aps J. Intraosseous Anesthesia as a primary technique for local anesthesia in dentistry. Clin Res Infect Dis 2015 ; 2 : 1-9.
- Cabasse C, Marie-Cousin A, Huet A, Sixou JL. Computer-assisted intraosseous anaesthesia for molar and incisor hypomineralisation teeth. A preliminary study. Odontostomatol Trop 2015 ; 38 : 5-9.
- Trentesaux T, Laumaille M, Borowski M, Dehaynin E, Delfosse C. Apport de l’anesthésie intraosseuse pour les patients atteints de MIH. Fil dentaire 2014.
- Collado V, Hennequin M, Faulks D, et al. Modification of behavior with 50 % nitrous oxide/oxygen conscious sedation over repeated visits for dental treatment : a 3-year prospective study. J Clin Psychopharmacol 2006 ; 26 : 474-81.
Pour découvrir la vidéo du cas clinique :







Commentaires