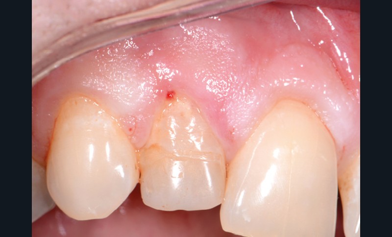
Perforation supra-osseuse (fig. 1)
Les perforations supra-crestales sont la plupart du temps iatrogéniques et surviennent lors de la réalisation de la cavité d’accès, ou de la recherche des entrées canalaires. Il s’agit généralement d’une communication avec un diamètre bien défini et aux contours nets. De ce fait, ce type de perforation est appelée « perforation à quatre parois ». Les perforations peuvent également être d’origine pathologique (résorption cervicale externe, carie active).
Les matériaux de choix pour ce type de perforation sont les composites ou les Ciments verres ionomères modifiés par adjonction de résine (CVIMAR).
Si la perforation survient en cours de traitement, elle doit être gérée immédiatement pour un meilleur pronostic. Les étapes 1 et 2 ne sont à prendre en compte que si une interséance est réalisée :
1. anesthésie para-apicale (type articaïne) avec un vasoconstricteur (type adrénaline 1/200 000e) ;
2. pose d’un champ opératoire étanche (digue) ;
3. reprise de la cavité d’accès au travers du matériau de reconstitution provisoire avec une fraise diamantée sur turbine (ex : 15802.314.014 VPE 5 Komet). La cavité d’accès doit avoir une forme dite « idéale » en fonction du type de dent traitée. Les dents versées ou en rotation constituent des situations à risque accru de perforation ;
4. nettoyage et lissage de la cavité d’accès avec un insert ultrasonore à pointe non travaillante (ex : CAP1 ou 2 Acteon) ;
5. identification des entrées canalaires et de la perforation à l’aide d’une sonde (type DG16 ou sonde de Rhein) ;
6. estimation du niveau de perforation : la situation décrite ici est celle d’une perforation supra-crestale, sous-gingivale, nécessitant la réalisation d’un accès chirurgical (lambeau d’accès) ;
7. mise en forme du ou des canaux de manière conventionnelle, en protégeant la zone de perforation avec une boulette de coton ou du téflon ;
8. mise en place d’un cône de gutta-percha « libre » dans les canaux ;
9. dépose du champ opératoire ;
10. réalisation d’un lambeau, en commençant par l’incision intra-sulculaire à l’aide d’une lame de bistouri n° 15C, s’étendant de deux dents en mésial et distal de la dent perforée (de manière à avoir une laxité suffisante pour exposer aisément la zone de perforation – accès visuel et instrumental) ;
11. décollement du lambeau (décolleur de Molt) : décoller les papilles dans un premier temps, puis la gencive kératinisée en pleine épaisseur de sorte à éviter de déchirer le lambeau ;
12. une légère ostéotomie peut être réalisée afin de permettre une bonne isolation et/ou pour respecter l’espace biologique ;
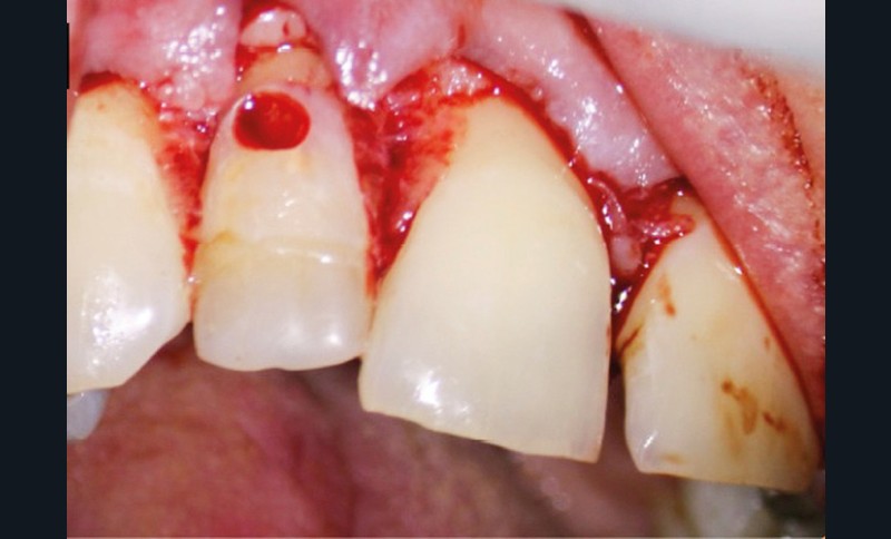
13. si possible, mise en place d’un champ opératoire sur la dent concernée, de sorte à isoler la zone de perforation de toute humidité (fig. 2) ;
14. mise en forme de la zone de perforation à l’aide d’inserts ultrasonores afin d’obtenir des bords nets et en supprimant les parois trop fines ;
15. mise en place du matériau selon le protocole lié au biomatériau utilisé, il est important de reproduire la morphologie de la dent et de veiller à obtenir un état de surface optimal ;
16. obturation du système canalaire si la durée de la séance le permet. Le cas échéant, il est possible de différer l’obturation endodontique à une séance ultérieure ;
17. dépose du champ opératoire ;
18. rinçage du lambeau et remise en place du lambeau de pleine épaisseur ;
19. sutures de préférence à l’aide de fil non résorbable, diamètre fin (Ex 5/0) au niveau des papilles décollées (points simples ou matelassiers verticaux) ;
20. conseils postopératoires, prescription antalgique (palier I), bain de bouche, brosse à dents chirurgicale.
La réalisation du traitement endodontique avant la perforation permet une désinfection de celle-ci par le contact avec l’hypochlorite de sodium et évite d’être gêné par le biomatériau destiné à l’obturation de la perforation. Néanmoins, dans certaines situations, il peut être préférable de réaliser d’abord le traitement de la perforation (perforation bien individualisée, manque de temps, doute sur la capacité à sceller correctement la perforation).
Pourquoi choisir un composite ou un CVIMAR ? (tableau 1)
|
Tableau 1 – Quel matériau choisir pour une perforation supra-osseuse ? |
||
|
CVIMAR |
COMPOSITE |
|
|
Vieillissement dans l’environnement sulculaire |
– |
+ |
|
Aptitude au polissage |
– |
+ |
|
Qualités esthétiques |
– |
+ |
|
Propriétés mécaniques |
– |
+ |
|
Facilité de manipulation |
+ |
– |
|
Difficulté à isoler |
+ |
– |
Ciment verre ionomère modifié par adjonction de résine (CVIMAR)
Ces matériaux possèdent une facilité de manipulation : leur caractère hydrophile associé à leur résistance à l’hydrolyse et à la déshydratation sont deux éléments qui expliquent la performance des CVIMAR dans des conditions cliniques difficiles. De plus, le conditionnement de ces matériaux en capsules prédosées facilite leur mise en place. Cependant, bien que les CVIMAR présentent une meilleure résistance à l’hydrolyse que les CVI conventionnels grâce à l’adjonction de résine, l’environnement aqueux présent dans le fluide sulculaire constitue une menace pour le vieillissement à long terme de ce matériau. Ainsi, ces matériaux sont préférés aux résines composites dans des cas où une isolation stricte de la perforation n’est pas envisageable. Les CVIMAR possèdent des propriétés de premier plan : adhérence aux tissus dentaires de 8 à 12 MPa, bonne étanchéité immédiate, et excellente à terme. La résistance à l’usure est faible (cet élément n’a pas d’importance dans le traitement des perforations, car le positionnement est sous-gingival et n’a pas de conséquence négative). Les CVIMAR sont compatibles avec une bonne santé gingivale et il est possible de les polir immédiatement après leur prise, ce qui permet de leur donner un bon aspect de surface. Toutefois ils ont une moins bonne aptitude au polissage par comparaison avec les composites. Enfin, ils présentent des qualités esthétiques inférieures à celles des résines composites.
Résines composites
Les plus répandues étant de la famille des composites hybrides, ces matériaux requièrent des exigences cliniques : isolation stricte avec la pose d’un champ opératoire étanche et protocole de réalisation rigoureux avec le recours obligatoire à un système adhésif. Les résines composites présentent d’excellentes propriétés esthétiques, ces matériaux seront donc préférés dans les cas où la perforation est supra-gingivale, ou bien lorsque l’on va réaliser une élongation coronaire ou une égression orthodontique. De plus, les propriétés mécaniques sont supérieures à celles des CVIMAR. Ces matériaux présentent une bonne aptitude au polissage et nécessitent toutefois un bon contrôle de plaque.
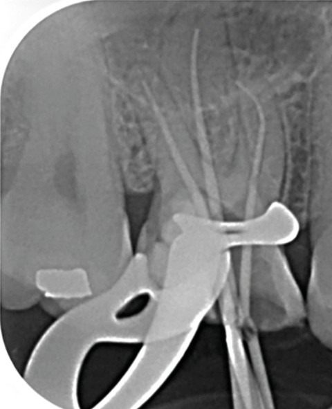
Perforation infra-osseuse avec accès visuel direct (fig. 3)
Ce type de perforation est également la plupart du temps iatrogénique et survient lors de la recherche ou de la mise en forme canalaire, lors de la préparation pour un logement de tenon radiculaire. Situées au niveau du plancher pulpaire des dents pluriradiculées, ou au niveau des entrées canalaires des dents monoradiculées ou pluriradiculées, il s’agit le plus souvent de perforations à quatre parois. Si la perforation survient en cours de traitement, elle doit être gérée immédiatement pour un meilleur pronostic (fig. 4). Néanmoins, il est important de prendre en compte l’épaisseur résiduelle du plancher. Si le plancher est trop fin, il ne sera pas possible d’envisager de traiter la perforation.
Les étapes 1 à 7 sont similaires à la situation 1.
Protocole pour la gestion d’une perforation du plancher avec la technique du tunnel (cela n’est réalisable que si le plancher est présent en épaisseur suffisante, ce qui n’est pas nécessairement le cas lors de perforations iatrogènes) :
8. irrigation régulière de sorte que la perforation soit en contact constant avec l’hypochlorite de sodium pour être désinfectée ;
9. en cas de perforation ancienne : retrait du tissu de granulation. La présence d’une lyse osseuse associée à une perforation indique généralement une lésion relativement ancienne où la communication s’est infectée. Le pronostic s’en trouve donc diminué [1, 2] ;
10. réaliser l’obturation canalaire en veillant à ne pas placer de ciment canalaire dans la perforation (celle-ci est protégée par du téflon) si le canal et la perforation sont très proches ;
11. retrait de la protection et, si nécessaire, adaptation de la morphologie de la perforation (possibilité de la rendre rétentive ou d’harmoniser les bords afin de faciliter la mise en place du biomatériau à l’aide d’insert ultrasonore à pointe non travaillante ;
12. séchage avec cône papier (fonction du diamètre de la perforation) :
– si saignement trop abondant : réaliser une inter-séance, mise en place d’hydroxyde de calcium dense (préparation magistrale) dans la perforation,
– si perforation ancienne et qu’il y a une résorption osseuse importante associée, en fonction du volume de la perte osseuse, il est possible de mettre en place une barrière de type éponge hémostatique au collagène (par exemple Pangen d’Urgo) au-delà de la perforation avec un plugger Machtou de taille adaptée (n° 1 à 4) au diamètre de la perforation :
13. apports successifs de ciments hydrauliques silicates de calcium (par exemple Biodentine de septodont ; TotalFill BC RRM™ Putty de FKG ; TotalFill BC RRM™ Putty fast set de FKG, MTA ProRoot MTA, MM-MTA Micro-Mega (tableau 2) à l’aide d’un MTA gun de diamètre adapté ;
|
Tableau 2 – Avantages et inconvénients de différents types de ciment HSC |
||
|
CIMENT HSC |
AVANTAGES |
INCONVÉNIENTS |
|
MTA (ProRoot MTA) |
Recul clinique |
Manipulation complexe Temps de prise long (3 heures) Prise en milieu humide (coton) |
|
MM-MTA (Micro-Mega) |
Capsule autodistributrice Temps de prise réduit (20 minutes) |
|
|
Biodentine (Septodont) |
Temps de prise rapide (12 minutes) |
Peu radio-opaque Manipulation peu aisée |
|
TotalFill BC RRM™ Putty (FKG), TotalFill BC RRM™ Putty fast set (FKG) |
Forme prête à l’emploi Temps de prise réduit (20 minutes pour le fast set) Consistance idéale |
|
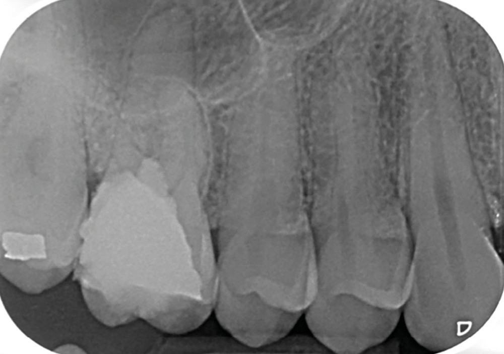
14. exercer une légère pression sur les apports successifs avec un plugger de Machtou adapté ou un cône papier inversé, de sorte à obtenir une obturation homogène et sans vide ;
15. contrôle radiographique de la mise en place du matériau ;
16. attendre le temps de prise du matériau choisi, dans le cas d’une utilisation de MTA, laisser un coton humide dans la chambre pulpaire qui sera retiré lors de la séance suivante ;
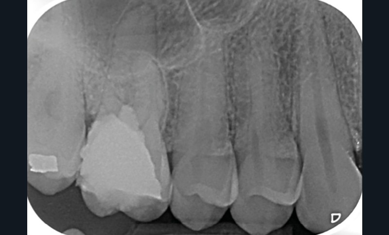
17. reconstitution coronaire étanche à l’aide d’un CVIMAR ou d’un composite (fig. 5).
Perforation radiculaire sans accès visuel (exemple d’un zipping ou ovalisation du foramen apical) (fig. 6)
Ce type de perforation peut être d’origine pathologique (résorption apicale/inflammatoire) ou iatrogénique (zipping, stripping, lors de la mise en forme canalaire ou de la réalisation du logement de tenon). Il peut s’agir de « perforation à une paroi », avec un diamètre et des contours non uniformes. La technique du « tunnel » n’est donc pas envisageable.
Protocole pour un canal présentant un zipping (ovalisation du foramen apical)
Les étapes 1 à 7 sont similaires à la situation 1.
8. mise en forme à l’aide d’un instrument de diamètre et conicité suffisante permettant de retirer la dentine infectée sans aller jusqu’à la limite apicale ;
9. ajustage d’un maître cône de gutta-percha avec une filière ayant un diamètre et une conicité suffisants pour obtenir l’effet de tug-back à une distance de 1-2 mm du foramen apical ovalisé ;
10. réalisation d’une radiographie de contrôle ;
11. utilisation d’un ciment endocanalaire hydraulique silicate de calcium (HSC) (type Bioroot de Septodont, Ceraseal de Komet, TotalFill® BC Sealer de FKG ; BC Sealer HiFlow de FKG permettant la réalisation de la technique de condensation verticale à chaud) en le disposant sur le maître cône en quantité suffisante, puis en positionnant le maître cône au niveau canalaire. Dans le cas de ciment prémixé (type 5), il est possible d’injecter délicatement le ciment dans le canal avec un mouvement de retrait progressif (fig. 7) ;
12. faire un mouvement de piston maîtrisé avec le maître cône afin d’homogénéiser la position du ciment HSC et d’éviter la présence de bulles en limitant l’extrusion du matériau.
Il est intéressant d’utiliser un lentulo afin de s’assurer d’une mise en place homogène du ciment ;
13. réalisation d’une radiographie de contrôle ;
14. section de la gutta-percha au niveau des entrées canalaires. Prévoir d’utiliser un plugger de Machtou afin de fouler la gutta-percha aux entrées canalaires ;
15. réalisation d’une reconstitution coronaire étanche ;
16. dépose du champ opératoire.
Ce protocole peut être adapté pour les situations de résorption ou de stripping, mais le pronostic est plus réservé et aléatoire.
Les ciments endocanalaires HSC présentent des avantages en termes de protocole. Contrairement aux ciments traditionnels, ils sont considérés comme des matériaux d’obturation et non comme de simples matériaux de scellement, du fait de leur étanchéité. C’est pourquoi il s’agit du matériau de choix dans le traitement d’un cas de zipping par exemple. Les ciments HSC sont biocompatibles, non cytotoxiques, non génotoxiques. Les principaux avantages décrits à l’heure actuelle sont la facilité d’emploi, le pouvoir antibactérien et les propriétés bioactives permettant de stimuler la formation de tissus durs (tableau 3).
|
Tableau 3 – Caractéristiques des principaux ciments endocanalaires HSC |
||||
|
Nom commercial |
Fabricant |
Type de ciment (d’après Camilleri et coll.) |
Temps de travail (environ) |
Temps de prise (environ) à température ambiante (données fabricant) |
|
BioRoot RCS |
Septodont |
Type 4 |
15 min |
4 heures |
|
Ceraseal |
Meta Biomed |
Type 5 (prémixés) |
Matériau prêt à l’emploi |
3,5 heures |
|
EndoSequence BC Sealer |
Brasseler |
Type 5 (prémixés) |
Aucun mélange n’est nécessaire. Le temps de travail peut être supérieur à 4 heures à température ambiante |
4 heures Cependant, dans les canaux radiculaires très secs, le temps de prise peut être supérieur à 10 heures |
|
TotalFill BC Sealer |
FKG |
Type 5 (prémixés) |
Aucun mélange n’est nécessaire. Le temps de travail peut être supérieur à 4 heures à température ambiante |
4 heures Cependant, dans les canaux radiculaires très secs, le temps de prise peut être supérieur à 10 heures |
|
iRoot SP |
Innovative BioCeramix |
Type 5 (prémixés) |
Aucun mélange n’est nécessaire. Le temps de travail peut être supérieur à 4 heures à température ambiante |
4 heures Cependant, dans les canaux radiculaires très secs, le temps de prise peut être supérieur à 10 heures |
|
Bio-C Sealer |
Angelus |
Type 5 (prémixés) |
Matériau prêt à l’emploi |
2 à 4 heures |
|
Well-Root ST |
Vericom |
Type 5 (prémixés) |
Aucun mélange n’est nécessaire |
Entre 25 minutes et 2,5 heures |
|
EndoSequence BC Sealer HiFlow |
Brasseler |
Type 5 (prémixés) Résistance à la chaleur plus élevée (jusqu’à 220 °C) |
Aucun mélange n’est nécessaire. Le temps de travail peut être supérieur à 4 heures à température ambiante |
4 heures Cependant, dans les canaux radiculaires très secs, le temps de prise peut être supérieur à 10 heures |
|
TotalFill® BC Sealer HiFlow |
FKG |
Type 5 (prémixés) Résistance à la chaleur plus élevée (jusqu’à 220 °C) |
Aucun mélange n’est nécessaire. Le temps de travail peut être supérieur à 4 heures à température ambiante |
4 heures Cependant, dans les canaux radiculaires très secs, le temps de prise peut être supérieur à 10 heures |
Une autre technique opératoire appelée « technique sandwich » peut être utilisée dans le cas de perforation radiculaire sans accès visuel. Une fois le glide path obtenu, et la perforation tactilement identifiée, il est possible de mettre en forme et d’obturer la portion canalaire apicale à la perforation. Le restant de la portion canalaire, comprenant la zone de perforation, peut alors être obturé avec un biomatériau type ciments HSC Putty. Cette technique est toutefois complexe à mettre en œuvre, et difficile sans accès visuel direct.
Les techniques présentées précédemment sont valables lorsque l’accès à l’endodonte est possible, et lorsque le glide path est obtenu. Dans le cas où la dent présente une restauration coronaire étanche et fonctionnelle et/ou qu’il n’est pas possible d’obtenir une perméabilité canalaire complète, alors un abord chirurgical rétrograde est à envisager. Il est possible d’anticiper que le retraitement orthograde sera peu prédictible lorsqu’une perforation sera localisée au niveau d’une courbure radiculaire, lorsqu’une lésion volumineuse sera associée, ou quand du matériau d’obturation sera extrudé par la perforation. L’abord chirurgical peut alors être l’option thérapeutique de première intention ; cette technique est prédictible et présente un taux de succès important (91,6 %) lorsqu’elle est réalisée dans les bonnes conditions. Le matériau d’obturation de choix sera alors un ciment HSC Putty.































Commentaires