MOTS-CLÉS : traitement canalaire, pronostic endodontique, pronostic biomécanique, endodontie conservatrice
Le pronostic endodontique d’aujourd’hui est comparable à celui d’il y a trente ans. Pourtant, que d’améliorations depuis : qualité des aides optiques, puissance des éclairages, précision des cone beam, mécanique et métallurgie instrumentale, biomatériaux, etc. Seule reste inchangée l’anatomie, que les moyens techniques sont encore incapables de traiter dans son intégralité. Pendant longtemps, les concepts endodontiques n’étaient centrés que sur le praticien réalisant la thérapeutique (dentist-centered dentistry) : l’objectif de chaque étape était d’optimiser les résultats d’un traitement. Aujourd’hui, les concepts ont évolué. Il ne s’agit plus seulement d’optimiser le pronostic endodontique, mais également le pronostic global de la dent (patient-centered dentistry). Mais est-il possible de concilier pronostic endodontique et pronostic biomécanique ? C’est ce que nous proposons de passer en revue dans cet article.
La taille de la cavité d’accès
La cavité d’accès est définie par l’Association américaine d’endodontie (AAE) comme étant « l’ouverture préparée dans une dent, permettant d’accéder au système canalaire à des fins de nettoyage, de mise en forme et d’obturation » [1].
Les objectifs de la cavité d’accès sont assurés avec : l’élimination du plafond pulpaire, la mise en évidence des orifices canalaires, le respect du plancher pulpaire, la constitution d’un réservoir d’hypochlorite et l’accès instrumental aux canaux.
Trop petite
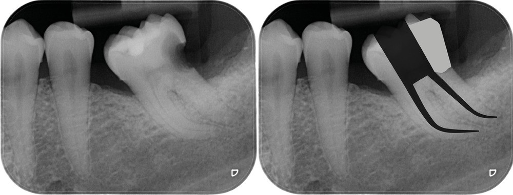
Une cavité d’accès trop petite [2] optimiserait le pronostic biomécanique (préservation dentaire maximale) mais pourrait compromettre le pronostic endodontique : mauvaise lecture de l’anatomie, instrumentation partielle, non ergonomique et avec risque de fracture, défaut de nettoyage des parois canalaires [3], irrigation inadéquate, difficulté d’obturation canalaire, voire d’obturation coronaire. Ce sera le cas des cavités d’accès « Ninja » [4] ou ultraconservatrice (fig. 1), des cavités d’accès « Truss » [5] (fig. 2), des cavités d’accès dites « opportunistes » [6] (fig. 3).
Trop large
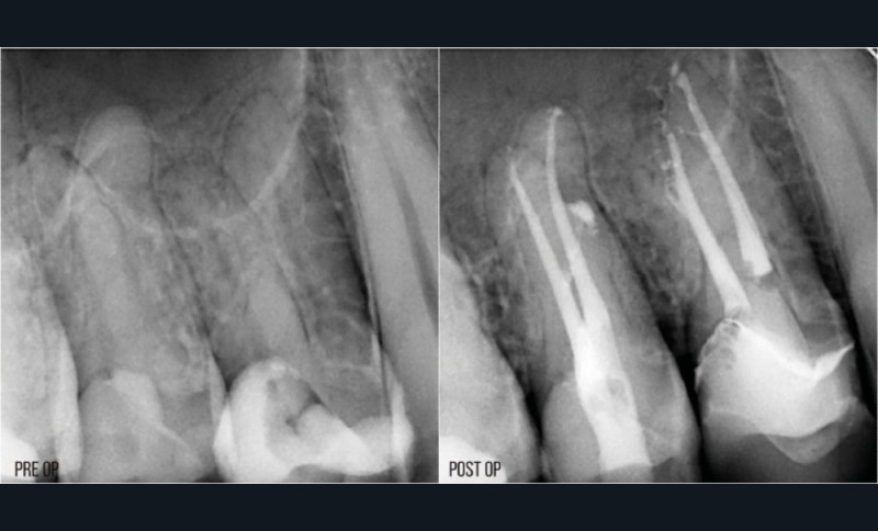
Une cavité d’accès trop large optimiserait le pronostic endodontique mais compromettrait le pronostic biomécanique. C’est le cas de la cavité d’accès traditionnelle, qui a longtemps été « au service » du praticien réalisant le traitement canalaire (dentist-centered dentistry ou dentisterie centrée sur le praticien). Les étapes d’instrumentation, d’irrigation et d’obturation étaient ainsi facilitées grâce à des accès visuel et instrumental exagérés, aux dépens de structures dentaires saines (fig. 4).
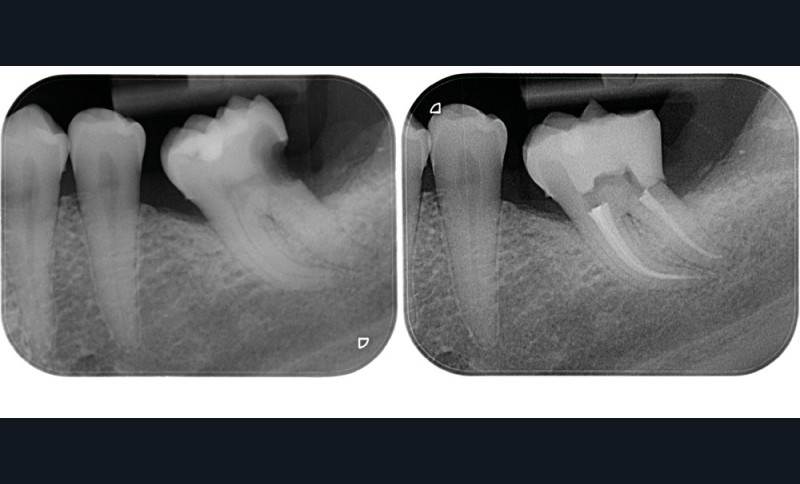
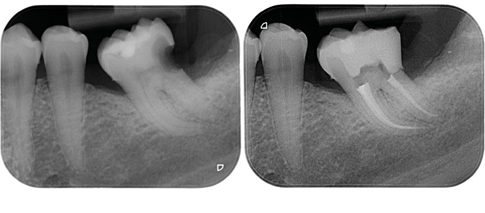
Aussi petite que possible, aussi large que nécessaire
Une cavité d’accès moderne, dictée par l’anatomie et la pathologie de la dent, optimiserait à la fois les pronostics endodontiques et biomécaniques et donc la longévité de la dent sur l’arcade (patient-centered dentistry ou dentisterie centrée sur le patient) (fig. 5).
Il n’existe pas aujourd’hui, dans la littérature de haut niveau, de preuve montrant la supériorité biomécanique d’une cavité d’accès par rapport à l’autre [7]. De plus, la question de la pertinence clinique des cavités d’accès minimalement invasives se pose, notamment en raison du faible nombre d’indications : combien de dents aujourd’hui seront concernées par ces traitements dont la table occlusale est intacte ?
La préparation canalaire
L’anatomie canalaire est bien plus complexe que ce qu’il est possible de visualiser cliniquement et radiographiquement [8]. De plus, les canaux principaux ont eux-mêmes une anatomie qui n’est pas ronde mais ovalaire dans la plupart des cas. Elle peut également être de forme conique, pyramidale, en ruban (ou aplatie), en huit, en C, trapézoïdale, en goutte d’eau, etc. [9]. Ces différents schémas anatomiques ne concordent pas avec la forme ronde des préparations réalisées par la majorité de l’instrumentation canalaire disponible (fig. 6). Cela a pour conséquences des surfaces canalaires non touchées (pouvant aller jusqu’à 55 %), des débris non nettoyés [10] pouvant être responsables d’infections secondaires [11].
L’instrumentation canalaire devra donc créer un volume canalaire suffisant, afin de permettre aux irrigants la désinfection la plus complète possible. Ce volume dépendra largement du diamètre apical et de la conicité des instruments.
La largeur de travail
La largeur de travail, ou diamètre apical de préparation, correspond à la largeur à laquelle le diamètre apical initial sera préparé, afin de permettre un nettoyage et une désinfection les plus complets possible du tiers apical.
Une largeur de travail trop petite
Trop petite (fig. 7), elle ne permettra pas un nettoyage instrumental ni une désinfection correcte (apport de l’irrigant jusqu’à l’apex insuffisant). Il en résultera un risque majoré d’infection secondaire en raison de la présence potentielle de bactéries intra-canalaire et/ou dans la dentine radiculaire.
Une largeur de travail trop large
Celle-ci présente un risque iatrogénique non négligeable (butée, fausse route, perforation, zipping, stripping) [12] et une préparation invasive de dentine saine (fig. 7). La désinfection ne s’en trouve pas significativement améliorée par rapport à une largeur de travail correctement choisie [13].
Une largeur de travail aussi petite que possible, aussi large que nécessaire
Cette largeur de travail (fig. 7) est en adéquation avec l’anatomie apicale [14], non-iatrogénique, autorisant un nettoyage et une désinfection correcte, en adéquation avec les sensations cliniques du praticien et des résultats cliniques prouvés [15]. Cette valeur du diamètre apical idéal fait encore débat dans la littérature, et oscille entre 30 et 50/100e mm en fonction de la situation clinique (fig. 8).
La conicité
La conicité peut être définie par l’augmentation de la largeur ou du diamètre d’un objet en fonction d’une certaine distance. Par exemple, une lime 15/100e mm présente une conicité de 2 %. En partant de l’extrémité apicale de la lime, le diamètre augmente de 0,02 mm par millimètre.
Une conicité trop faible
Si elle préserve au maximum la biomécanique de la dent, une conicité trop faible (fig. 9) peut compromettre le pronostic endodontique, avec un nettoyage instrumental insuffisant, une désinfection incomplète (par manque de volume canalaire disponible pour l’irrigant), une obturation potentiellement difficile à réaliser et pouvant ne pas jouer son rôle de remplissage tridimensionnel.
Une conicité trop importante
Si elle optimise le pronostic endodontique, une conicité trop importante (fig. 9) pourrait compromettre le pronostic biomécanique par un travail trop important de la dentine péricervicale, pouvant entraîner un stripping, voire une perforation dans certaines zones à risque (par exemple la paroi disto-linguale de la racine mésio-vestibulaire (MV) d’une première molaire mandibulaire).
Une conicité aussi petite que possible, aussi large que nécessaire
Il s’agit d’une conicité qui optimiserait les pronostics à la fois biomécanique et endodontique (fig. 9). Cette valeur de la conicité idéale fait encore débat dans la littérature, et oscillerait entre 4 et 6 % [16, 17].
Mais est-il possible de nettoyer et de désinfecter l’endodonte efficacement avec des conicités « réduites » de 4 à 6 % ?
L’évolution des instruments au service de l’endodontie raisonnée
Depuis une trentaine d’années, le nickel-titane (NiTi) est devenu incontournable quand il s’agit de l’étape de mise en forme en endodontie. Il est notamment reconnu pour ses propriétés super–élastiques et de mémoire de forme [18]. Plus récemment, les fabricants ont ajouté des traitements thermiques post-usinage dans les procédés de fabrication des instruments. En fonction des cycles de températures appliqués, de nouvelles couleurs de NiTi sont apparues : Gold wire (par ex. WaveOne Gold®), Blue wire (par ex. Reciproc Blue®), Pink Wire : (par ex. SlimShaper®) (fig. 10), etc. Ces traitements thermiques post-usinage procurent de nombreux avantages à l’instrument, tels que la résistance à la fatigue cyclique, la flexibilité, l’efficacité de coupe et la capacité de centrage dans le canal [19-20].
Les systèmes de mise en forme deviennent moins invasifs, plus respectueux des parois canalaires, avec des conicités réduites < 6 % (par ex. XP-endo Shaper®, TrunatomyTM, SlimsShaper®). La « relocalisation de l’orifice canalaire » et la destruction des structures dentinaires saines (péri-cervicale et intracanalaire) disparaissent peu à peu des procédures de mise en forme, réduisant ainsi le risque d’effets iatrogènes tels que la fracture radiculaire [21].
Ces avancées techniques, aussi prometteuses soient-elles, ne doivent pas faire oublier l’objectif principal du traitement canalaire, à savoir l’élimination des tissus organiques et/ou l’éradication de la flore bactérienne du système endodontique.
Optimisation de la désinfection
Les limites lors de la désinfection résident dans les contraintes inhérentes à la diffusion des solutions dans un espace canalaire confiné, voire étroit, ayant une conicité réduite (entre 4 % et 6 %) [22, 23]. De plus, l’utilisation de systèmes « mono-instrumentaux » augmente considérablement la production de boue dentinaire créée au passage de chaque lime mécanisée. La principale limite en termes de désinfection est la mauvaise diffusion des fluides dans un espace étroit. Dans les préparations canalaires à conicité réduite, les solutions d’irrigation circulent mal et l’optimisation de la désinfection devient alors indispensable. Pour augmenter le temps de contact des solutions d’irrigation avec l’ensemble du réseau endocanalaire, le recours à des moyens d’activation existe. Les principaux (manuel, seringue, sonore et ultrasonore) [tableau 1] présentent des avantages et des inconvénients (fig. 11), mais aucun n’a montré de supériorité par rapport à une autre technique quant à leur effet antibactérien [24].
|
Tableau 1 : Moyens d’activation – avantages et inconvénients |
|||
|
Avantages |
Inconvénients |
Exemple de matériel |
|
|
Activation mécanique des solutions d’irrigation |
– Augmente significativement les mouvements de fluides intracanalaires (comparé à l’agitation sonore passive) – Mise en œuvre facile – Faible coût |
– Son efficacité dépend du diamètre et de la portion du canalaire – Effet de « pumping » dans la région péri-apicale |
Cône de gutta calibré au diamètre et à la conicité du canal |
|
Activation sonique passive |
– Faible coût |
– Inserts standardisés non adaptés aux diamètres canalaires |
Par exemple : EndoActivator® |
|
Activation ultrasonique passive |
– Effets photo-acoustiques associés au phénomène de cavitation. Augmente de 70 % à 80 % le nombre de cultures négatives (d’après certaines études in vitro) |
– Effet de cavitation seulement autour de l’insert – Retrait de dentine par de nombreux contacts sur les parois canalaires, réduction de l’amplitude de vibration en moyenne de 30 % |
Par exemple : Irrisafe® |
|
Irrigation « multisonique » |
– Système autonome – Solution d’irrigation chauffée à 40 °C – Renouvellement en continu de la solution |
– Peu de données cliniques – Coût élevé |
Gentle Wave® |
Dans les préparations canalaires conservatrices, de nouvelles technologies telles que l’Irriflex® et le laser Erbium YAG sont intéressantes pour optimiser la désinfection et l’élimination des tissus organiques pulpaires et non organiques dentinaires [25, 26]. L’Irriflex® est une canule d’irrigation en polypropylène, donc souple, qui a su se distinguer par sa conicité à 4 %. Son calibrage adapté au canal et sa double sortie latérale assurent un renouvellement continu de la solution d’irrigation à l’extrémité de la canule. La diffusion de la solution entraîne des tourbillons, de l’extrémité de l’aiguille vers la partie coronaire, augmentant ainsi les phénomènes hydrodynamiques. Cependant le phénomène de diffusion reste limité à 1 mm au-delà de la pointe de l’aiguille [27] (fig. 12).
Les préparations « laser-assistées » (« laser-activated irrigation », LAI en anglais) au laser Erbium YAG s’inscrivent parfaitement dans les principes actuels de traitements conservateurs (fig. 13). Par rapport aux autres longueurs d’onde des lasers utilisés en odontologie, le laser Erbium YAG (2 940 nm) a l’absorption la plus élevée dans l’eau (de l’ordre de 98 %) et la plus minime dans l’hydroxyapatite. Cela veut dire que son action se fait au sein de la solution d’irrigation et non sur les tissus durs de la dent. Dans la solution irradiée, l’onde pénètre à une profondeur d’environ 1 µm, évitant ainsi la diffusion thermique au sein des parois radiculaires et des structures parodontales. C’est donc le laser de choix pour l’activation des solutions en endodontie.
Lors de préparations « laser-assistées », le nettoyage et la désinfection résultent de phénomènes photo-acoustiques, photomécaniques et photochimiques induits au sein de la solution aqueuse irradiée. Le principe physique réside dans la conversion de la lumière laser en chaleur. L’énergie du laser, émise sous forme de tirs (ou pulses en anglais), chauffe la solution et induit un phénomène d’ébullition qui génère l’expansion de bulles de vapeur d’eau (fig. 14). Certaines de ces bulles vont osciller dans le champ acoustique et générer des effets photo-acoustiques. D’autres bulles vont préférer grossir jusqu’à atteindre un volume maximum critique, au-delà duquel la pression interne devient inférieure à celle du liquide environnant. Une fois le tir laser interrompu, les bulles s’effondrent violemment sur elles-mêmes, produisant un collapsus à l’origine d’ondes de choc et de jets de liquide à grande vitesse : c’est le phénomène de cavitation [28] (fig. 15). L’absorption de la lumière émise par le laser Erbium YAG est si intense dans la solution que la vaporisation est immédiate et superficielle. En outre, la très brève durée du pulse (quelques centaines de microsecondes) évite les phénomènes de diffusion thermique.
Chaque onde de pression déclenche des phénomènes « en cascade », à l’origine de flux hydrodynamiques permettant à la solution de pénétrer dans les zones non instrumentées (isthmes, canaux latéraux, ramifications du tiers apical, etc.) et au sein de la dentine radiculaire elle-même [29-31].
Les ondes de choc et les mouvements d’écoulement tumultueux produisent des contraintes de cisaillement sur les parois canalaires et le biofilm.
D’après les études, ces forces seraient suffisantes pour éliminer les débris et la boue dentinaire générés par les instruments endodontiques, c’est l’effet photomécanique [32]. Cela permet d’amorcer le parage de l’ensemble de l’endodonte sans risque iatrogène pour les parois canalaires [33]. Il est important de souligner que grâce à cette approche, le risque d’extrusion de solution dans le périapex est diminué [34].
Les avantages non négligeables du LAI, par rapport aux techniques plus conventionnelles, améliorent le nettoyage et potentialisent la désinfection lors de mises en forme conservatrices [tableau 1]. Mais peut-on obturer ces préparations de façon satisfaisante avec les techniques d’obturation existantes (fig. 16) ?
Techniques d’obturation en endodontie raisonnée
La condensation verticale à chaud est la technique d’obturation de référence. Elle nécessite de compacter la gutta-percha jusqu’à environ LT-4 mm avec un fouloir manuel. Avec les préparations conservatrices, il sera parfois difficile d’atteindre cette longueur, même avec le plus fin des fouloirs. Si on prend par exemple une préparation à 25/.04, le diamètre à LT-4 mm sera de 0,41 mm. Le fouloir le plus fin ayant un diamètre de 0,4 mm, il y a de forts risques de contact latéral avec les parois canalaires s’il atteint LT-4 mm, qui pourrait provoquer un effet de coin. Si le canal est courbe, il sera impossible d’amener le fouloir à la longueur souhaitée (fig. 17).
La condensation latérale à froid impose de pouvoir placer un spreader à LT-2 mm. Avec une préparation plus fine, il sera compliqué d’atteindre cette longueur, notamment s’il y a des courbures. C’est aussi une technique qui génère d’importants stress au niveau radiculaire, exposant la racine à un risque plus élevé de fracture [35]. Avec une préparation préservatrice, il y aura plus de contacts entre le spreader et la paroi dentinaire, et potentiellement une augmentation du risque de fracture (fig. 18).
La thermo-compaction nécessite un instrument rigide, le thermocompacteur, qu’il faut faire travailler à LT-2 ou 3 mm. Le même problème qu’avec les spreaders se posera niveau des canaux courbes. Avec une préparation plus étroite, on aura également plus de risque de contact entre l’instrument en rotation et les parois canalaires. Cela pourrait conduire à un échauffement radiculaire important et de possibles répercussions sur le parodonte en regard [36] (fig. 19).
La gutta sur tuteur est utilisable en théorie à partir du moment où il existe un tuteur adapté au système de mise en forme. En pratique, la visibilité pourra être compliquée s’il y a plusieurs canaux à obturer, surtout dans le cas d’une cavité d’accès conservatrice (fig. 20).
La technique dite « monocône » est la meilleure pour obturer les préparations conservatrices, dans la mesure où il sera toujours possible d’ajuster un cône de gutta-percha adapté à la longueur de travail (fig. 21). C’est aussi la plus simple à mettre en œuvre. Mais est-ce une bonne technique d’obturation ? Dans les techniques d’obturation classiques, la gutta-percha est utilisée comme matériau de remplissage, celui qui occupera en majorité le volume de l’endodonte. Comme la gutta n’a aucune propriété d’adhésion à la dentine, il faut lui adjoindre un matériau de scellement : le ciment. Ce ciment représente pourtant la faiblesse de l’obturation. D’une part parce qu’il est soumis à une rétraction lors de sa prise [37] et, d’autre part, parce que, même après la prise, il reste sensible à l’hydrolyse [38]. La dégradation du joint de ciment est donc inéluctable. Pour minimiser l’impact sur la qualité de l’obturation et de l’étanchéité, le volume de ciment doit être le plus faible possible.
Avec la technique monocône, il n’est pas possible d’obtenir un volume de ciment suffisamment faible pour garantir une obturation étanche dans le temps [39], et ce même si le cône de gutta-percha est ajusté. En cela, la technique monocône, utilisée avec un ciment de scellement classique, ne peut pas être considérée comme une bonne technique d’obturation.
La réponse apportée par les biocéramiques
L’arrivée des matériaux à base de silicates de calcium adaptés à l’obturation canalaire a quelque peu rebattu les cartes. Ces matériaux, appelés également biocéramiques, ou matériaux hydrauliques, possèdent des propriétés physico-chimiques et biologiques radicalement différentes des ciments classiques et assez intéressantes pour l’obturation canalaire.
Tout d’abord ces matériaux sont hydrophiles, contrairement aux ciments de scellement. Leur réaction de prise est une réaction d’hydratation (d’où la dénomination de « matériaux hydrauliques ») [40]. Ils ne sont donc pas sensibles à l’humidité pendant la prise. Mieux, ils en ont besoin !
Ensuite, ces matériaux possèdent de réelles capacités d’adhésion à la dentine grâce à la formation de liaisons covalentes avec la dentine [41]. On observe également une zone d’infiltration minérale au niveau de l’interface dentine/matériau qui se prolonge par des « tags minéraux » dans les tubuli dentinaires [42], une sorte de « couche hybride minérale ». Il ne s’agit donc plus d’un simple scellement micromécanique mais bien d’une véritable adhésion physico-chimique garante d’une étanchéité pérenne (fig. 22). Cette étanchéité va d’ailleurs se bonifier avec le temps (à l’inverse de ce qui se passe avec les ciments de scellement) grâce aux échanges ioniques dent/matériau qui continuent bien après la prise [43].
Les biocéramiques possèdent également des propriétés antibactériennes, principalement grâce à la libération de Ca(OH)2 et au maintien d’un pH basique au long cours [44].
Il est à noter également que ces matériaux d’obturation hydrauliques sont des matériaux parfaitement biocompatibles possédant même des propriétés bioactives, c’est-à-dire qu’ils stimulent des processus biologiques bénéfiques au sein des tissus avec lesquels ils pourraient être en contact (prolifération cellulaire, promotion des processus de minéralisation, production de facteurs de croissance impliqués dans l’angiogenèse…) [45].
Toutes ces propriétés des biocéramiques en font des matériaux qui se rapprochent du matériau d’obturation idéal, en permettant une obturation endodontique biologiquement cohérente. Car oui, les biocéramiques sont de véritables matériaux d’obturation à part entière et non plus de simples ciments de scellement.
Ancienne technique, nouveau concept
Pour en revenir à la technique dite monocône, si elle n’est pas une technique d’obturation acceptable avec les ciments classiques, c’est autre chose avec les biocéramiques. La technique est effectivement identique, mais le concept radicalement différent. Dans cette approche, le cône de gutta-percha n’est plus le matériau de remplissage du volume canalaire, mais il sert de vecteur pour mettre en place le véritable matériau d’obturation qu’est la biocéramique. C’est d’ailleurs uniquement grâce à ce nouveau concept que la technique monocône peut désormais être considérée comme valable pour l’obturation canalaire. La technique est ainsi simplifiée et permet donc d’obtenir plus facilement de bons résultats reproductibles, sans faire de compromis ni sur les objectifs, ni sur la qualité de l’obturation (fig. 23).
Grâce à ce changement de concept important apporté par les matériaux hydrauliques d’obturation canalaire, ce n’est plus la mise en forme qui doit s’adapter à la technique d’obturation, mais bel et bien la technique d’obturation qui s’adapte à la forme de préparation.
Conclusion
Si les avancées techniques de ces dernières années n’ont pas forcément permis une amélioration du pronostic d’un traitement canalaire bien réalisé, elles n’ont pas non plus été vaines, loin de là. En effet, l’optimisation et la simplification des procédures ont permis une meilleure reproductibilité dans les traitements. Il est désormais plus facile et moins fastidieux de réaliser un traitement canalaire adéquat qu’il y a trente ans. Les objectifs de la fameuse triade endodontique (mise en forme, désinfection, obturation) sont toujours les mêmes mais ils sont désormais atteignables en étant plus conservateurs. Atteindre les objectifs attendus, en conservant un très bon pronostic et en préservant plus de structure dentaire, c’est assurer le maximum de chances de conserver la dent traitée sur arcade. Le traitement canalaire s’inscrit donc dans une logique d’endodontie raisonnée, respectueuse de l’organe dentaire, qui s’applique à tous les niveaux, du choix de la thérapeutique jusqu’aux moyens utilisés pour mener à bien le traitement.























Commentaires