Grand prix éditorial l’Orthodontiste et orthoplus
2e lauréat catégorie catégorie enfants/ adolescents de moins de 16 ans
Présentation du cas
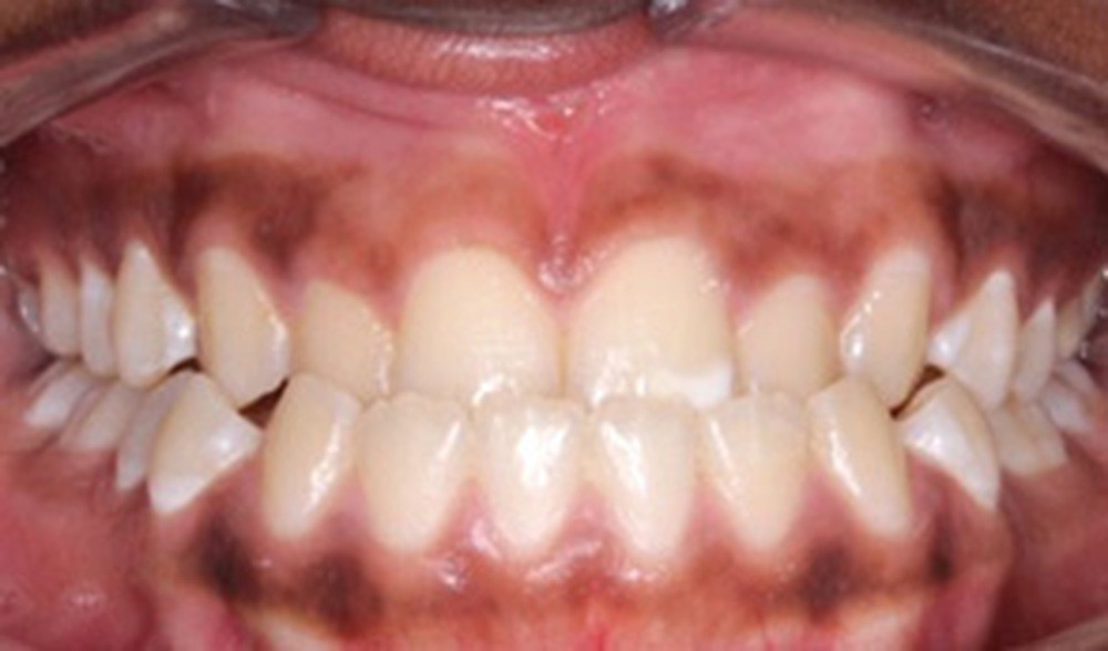
Nous recevons Anisa O. alors qu’elle a 14 ans et 6 mois, venue sur l’initiative de son père. Elle ne présente aucune pathologie médicale ni antécédent orthodontique. Anisa est réglée depuis deux ans et semble très introvertie, gênée par son sourire.
Examen clinique (fig. 1a-h)
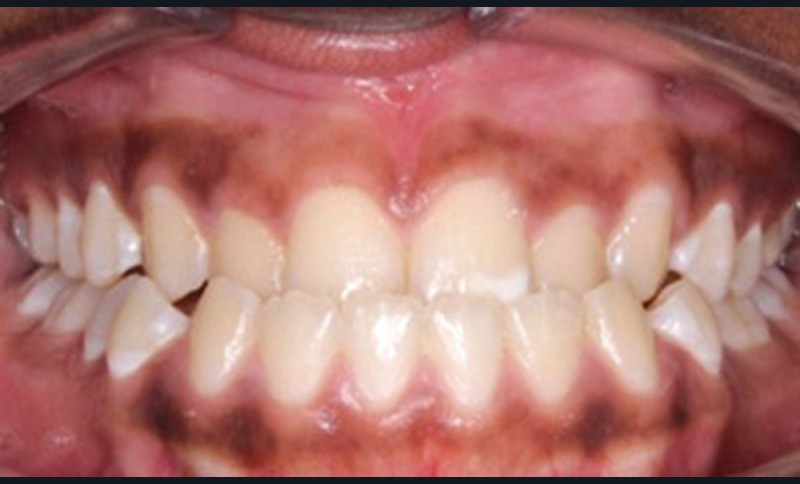
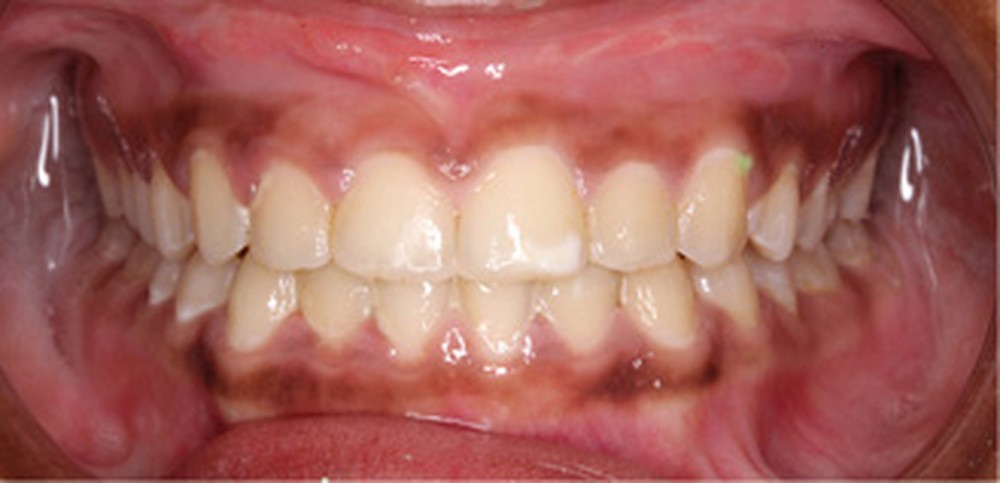
À l’examen de face, Anisa présente un visage ovalaire, des hémifaces symétriques, des lignes horizontales parallèles, une augmentation de l’étage inférieur, une occlusion labiale légèrement forcée et des dents mandibulaires exposées au sourire. Les profils général et sous-nasal sont concaves avec un angle naso-labial augmenté et une prochéilie inférieure.
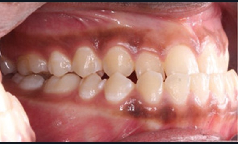
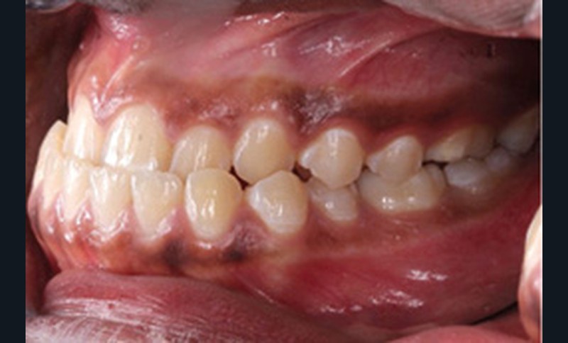
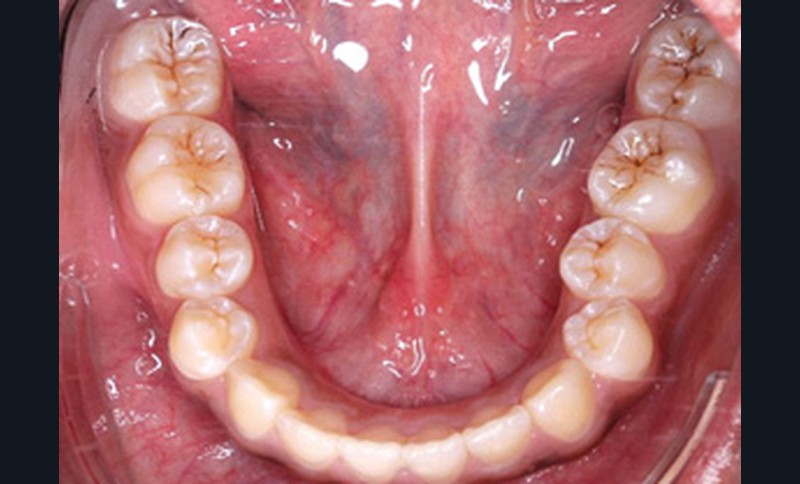
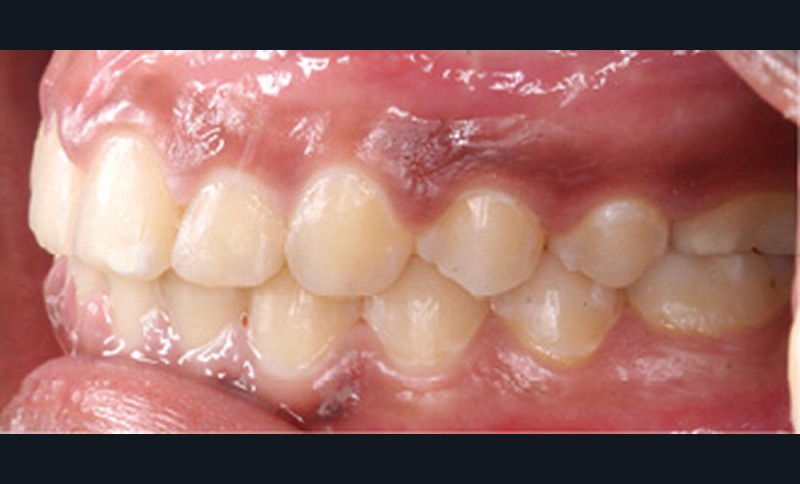
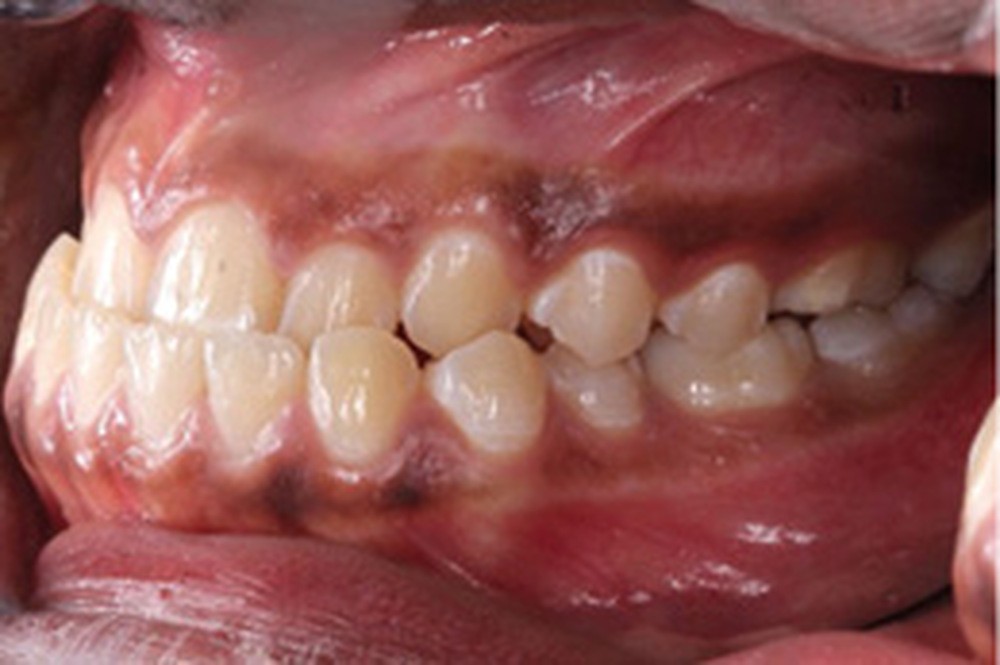
L’examen clinique endo-buccal révèle une denture adulte jeune avec un inversé d’articulé antérieur de 13 à 23, des tatouages gingivaux ethniques et des taches de décalcifications, un parodonte sain mais un brossage insuffisant.
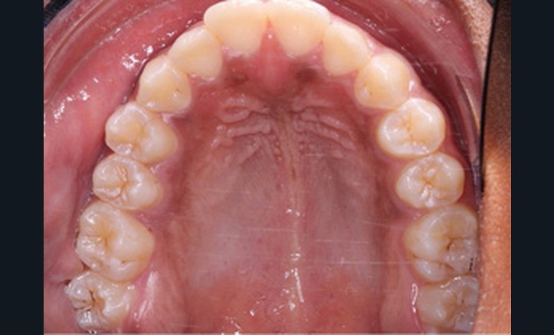
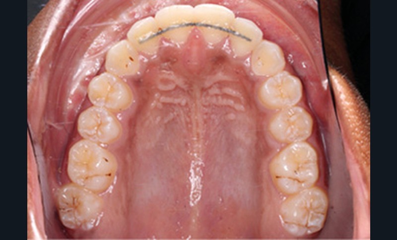
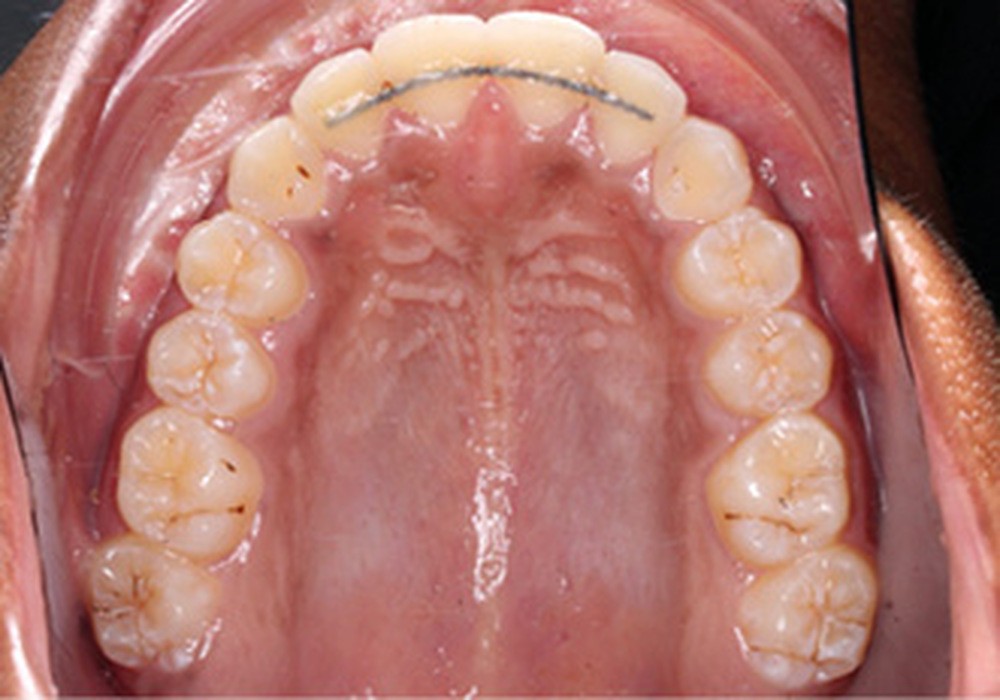
L’arcade maxillaire est en V et la voûte palatine profonde. L’arcade mandibulaire a une forme en U (non-concordance des formes d’arcade) et présente des malpositions des dents cuspidées. La médiane mandibulaire est décalée à gauche de 2 mm ; le recouvrement antérieur est de 2 mm ; les molaires sont en classe III avec un surplomb inversé.
L’examen fonctionnel révèle une ventilation mixte, une déglutition atypique, une mastication unilatérale droite préférentielle et une onychophagie.
L’examen radiologique se compose d’un orthopantomogramme montrant les troisièmes molaires et des condyles symétriques, d’une téléradiographie de profil objectivant des voies aériennes supérieures libres, et d’une radiographie du poignet (stade de croissance selon Greulich et Pyle : CS6 = fin de croissance).
L’analyse céphalométrique de Tweed met en évidence les valeurs suivantes : FMA 37° (typologie hyperdivergente), SNA 89°, SNB 90°, ANB -1° et AoBo -6 mm (classe III squelettique), I/F 112° (vestibulo-version incisive maxillaire) et IMPA 84° (linguo-version incisive mandibulaire) : compensations de classe III.
L’analyse de Ricketts conclut à une classe I squelettique sur un schéma méso tendance dolichofacial avec une vestibulo-position de l’incisive mandibulaire.
Selon Sassouni, Anisa est rétro-archiale, en classe III squelettique de 9 mm et alvéolaire de 12 mm avec une incisive maxillaire en vestibulo-position de 6 mm.
Objectif
Afin de normaliser rapidement Anisa sur le plan esthétique et fonctionnel, nos objectifs de traitement étaient : rétablir l’harmonie du profil et du sourire, obtenir une classe I squelettique et dentaire et normaliser les axes incisifs. Nous devions au préalable supprimer les dysfonctions, les parafonctions et l’occlusion inversée antérieure.
Phase thérapeutique
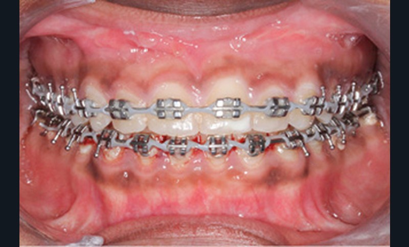
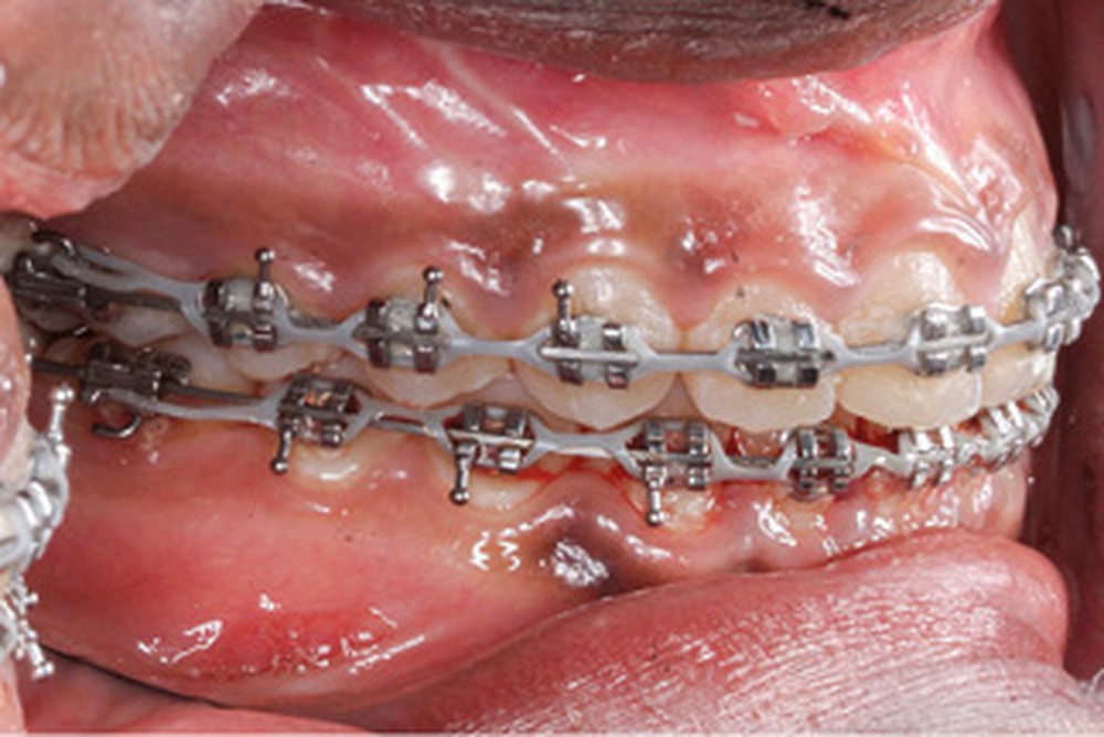
Un protocole ortho-chirurgical en chirurgie première a été retenu. Les étapes de traitement ont été les suivantes : motivation à l’hygiène bucco-dentaire et rééducation des fonctions, puis pose de l’appareil multi-attache edgewise conventionnel avec des arcs aciers .016x.022 passifs adaptés aux deux formes d’arcades, et enfin avancée de 6 mm et génioplastie d’avancée sur ces mêmes arcs.
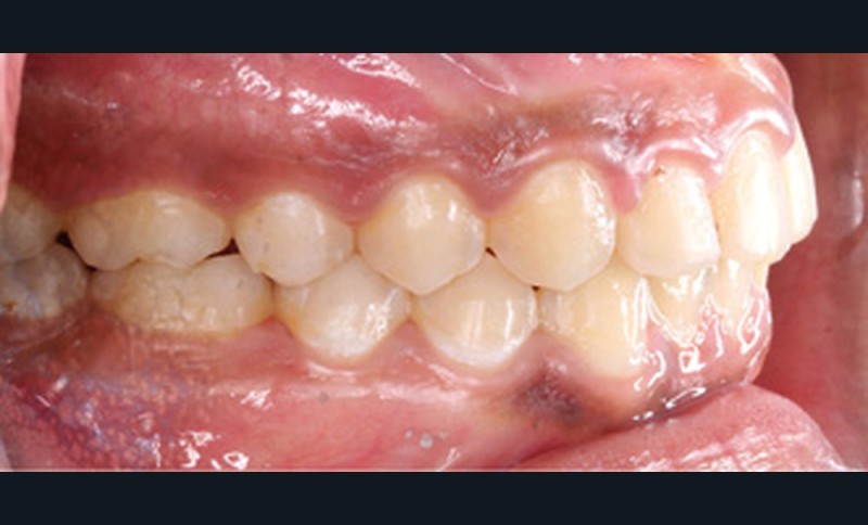
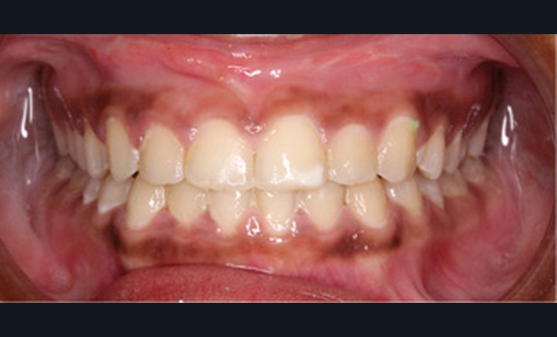
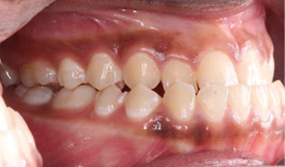
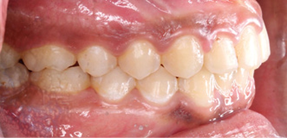
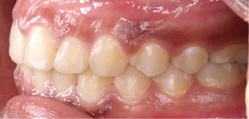
Lors de la réévaluation post-chirurgicale, l’examen exo-buccal montre peu de changement, excepté l’occlusion et l’harmonie labiales retrouvées. Le surplomb et le recouvrement sont normalisés et le brossage amélioré. Les formes d’arcade sont concordantes, les médianes inter-incisives recentrées et les molaires et canines en classe I.
L’analyse de Tweed post-chirurgicale met en évidence FMA 27° (normodivergente), ANB 7° (classe II squelettique), AoBo -1 mm (classe III squelettique), I/F 118° (vestibulo-version incisive maxillaire), IMPA 82° (linguo-version incisive mandibulaire) ; celle de Ricketts objective une typologie méso tendance brachyfaciale avec une linguo-version de l’incisive mandibulaire ; Selon Sassouni, Anisa est désormais de typologie pré-archiale de 7 mm, en classe III squelettique de 4 mm, avec une incisive maxillaire en vestibulo-position de 3 mm et une incisive mandibulaire en linguo-position de 1 mm.
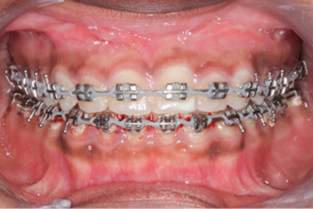
Les finitions orthodontiques d’intercuspidation et de parallèlisation des axes ont été réalisées sur arcs TMA .019x.025 et élastiques interarcades de classe III 6 mm 4 oz puis triangle d’intercuspidation 4 mm 6 oz. Enfin, le dispositif de contention a consisté en fils collés 2-2 maxillaire et 3-3 mandibulaire et gouttière thermoformée maxillaire.
Discussion
Le plan de traitement a été dicté par des objectifs céphalométriques et esthétiques. L’angle naso-labial augmenté et l’absence de soutien de la lèvre supérieure ont orienté vers une avancée maxillaire. Cela permet une meilleure exposition des dents au sourire, mais induit un épatement du nez et une remontée de sa pointe, limités chez notre patiente.
Chez Anisa, une avancée maxillaire a été décidée plutôt qu’une chirurgie bimaxillaire du fait de la rétromaxillie et de la rétrochéilie avec un manque de soutien labial supérieur et une tendance hyperdivergente. Enfin, la génioplastie est justifiée par la projection mentonnière, la tendance hyperdivergente et le profil convexe.
Le recul mandibulaire n’est pas conseillé pour des raisons fonctionnelles (diminution de la boîte à langue) et esthétiques (diminution de la distance cervico-mentonnière et risque de double menton). Il peut être plus particulièrement indiqué dans le cas de grande dissymétrie frontale, ce qui n’est pas le cas ici. L’absence de sourire gingival et un I/F à 112° nous permettaient une légère épaction antérieure, qui n’a finalement pas été réalisée par le chirurgien.
La chirurgie première a été choisie compte tenu de l’absence de potentiel de croissance, du préjudice esthétique important, de la concordance des formes d’arcade, de l’alignement correct, du surplomb négatif suffisant, et du peu de compensations dento-alvéolaires. Ce protocole ortho-chirurgical original permet un traitement plus rapide en raison de la normalisation immédiate du cadre fonctionnel, du phénomène d’accélération régionale, et de la diminution temporaire de l’activité musculaire et de la pression occlusale.
Contrairement à l’approche chirurgicale classique, la chirurgie première (CP) ne comporte que deux phases : il n’y a pas de préparation orthodontique pré-chirurgicale des arcades dentaires.
Se posent alors plusieurs questions : la durée du traitement est-elle diminuée ? Peut-on traiter tous les types de dysmorphoses ? L’occlusion post-chirurgicale instable est-elle un risque pour l’ATM ? Le Sahos est-il amélioré par cette approche ? Y a-t-il un bénéfice psychologique ? Quelle stabilité ? Selon une analyse de vingt articles, la durée moyenne du traitement (de la chirurgie à la dépose de l’appareil multi-attaches) en CP est de 12,1 mois [4].
Les rendez-vous seraient plus rapprochés avec une moyenne de 2,2 semaines contre 3,4 en chirurgie conventionnelle (CC), ce qui peut constituer un biais. Des corticotomies sont plus systématiques en CP. En revanche, si des avulsions sont réalisées, le temps de traitement est plus long avec une CP. Il semblerait que ce soit la combinaison du phénomène d’accélération régionale, de la normalisation du cadre fonctionnel orofacial, de la diminution temporaire de l’activité musculaire et de la pression occlusale (optimisant le mouvement dentaire) qui soit responsable de la diminution du temps de traitement [1].
Les classes III squelettiques semblent être les meilleures candidates à une CP, avec le plus grand nombre d’articles [2], mais cela peut s’expliquer par l’origine géographique des publications, essentiellement l’Asie du Sud-Est [4]. Aucune étude ne s’intéresse à la qualité des finitions orthodontiques, ni aux indications et contre-indications réelles de la CP. La littérature ne permet pas de dire que la CP a des répercussions positives ou négatives sur les ATM, le mouvement imposé au condyle serait identique à celui d’une CC.
Une classe III squelettique est souvent corrigée par avancée maxillaire donc améliorerait la ventilation, mais dans les populations asiatiques, le recul mandibulaire est parfois choisi (raison esthétique). Finalement, il semblerait que la CP aurait un intérêt et serait indiquée lors de Sahos grave, corrigeant rapidement le cadre anatomique et réduisant la morbidité dans les situations d’urgence [4].
D’un point de vue psychologique, les avantages évoqués par les patients sont l’esthétique (correction presque immédiate et pas de décompensation) et le temps (plus court et date de l’opération décidée précisément par le patient). La satisfaction globale ne diffère pas, mais la qualité de vie semble être meilleure dans les six premiers mois de traitement [3].
Enfin, la récidive semble identique, excepté pour le point B qui se déplace vers l’avant après un recul mandibulaire, et l’apparition fréquente d’une rotation horaire ou antihoraire.
Conclusion
Il semblerait que la CP s’adresse à une dysmorphose squelettique nécessitant un traitement ortho-chirurgical, sans avulsion, avec une motivation d’esthétique faciale et d’amélioration du sommeil. Les contre-indications seraient un encombrement sévère, une asymétrie ou une endomaxillie sévères, une classe II/2 avec forte supraclusion ou un traitement avec avulsions.
Le préjudice esthétique important (classe III chez une fille), la concordance des formes d’arcade avec l’alignement correct et le surplomb négatif suffisant permettant une amplitude pour le geste chirurgical, avec le peu de compensations dento-alvéolaires, font d’Anisa une patiente candidate à la chirurgie première.

















Commentaires