2e lauréat 2020 : Etienne Boulbin
Grand Prix : Comment garantir une anesthésie de qualité en 2020 ?
Une première ! Organisé cette année pour la première fois, ce prix éditorial, placé sous l’égide de L’Information Dentaire avec le soutien institutionnel de Dentalhitec, a permis de mettre en lumière l’influence d’une anesthésie réussie sur la relation entre praticiens et patients, la prise en charge des soins et le confort de chacun.
Premier contact
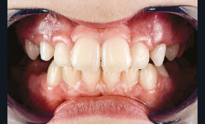
Emma a neuf ans. C’est la première fois qu’elle rencontre son nouveau praticien mais elle a déjà eu une mauvaise expérience avec un autre dentiste. De la salle d’attente, il l’invite à se rendre dans le studio photo. Cette pièce est plus accueillante que la salle de soins. Commencer par des photos de portrait (fig. 1) permet de visualiser les lignes du visage et du sourire tout en gardant un côté divertissant. Les photos intrabuccales sont réalisées avec un écarte-joues, comme dans le jeu mâche-mots (fig. 2).
Emma est interrogée pendant qu’elle le porte. En général, l’enfant se rend compte qu’il ne peut pas parler correctement et ça l’amuse beaucoup. Les photos sont montrées sur l’écran d’ordinateur. C’est déjà un très bon support pédagogique en cas de défaut significatif de brossage.
Dans la salle de soins, l’examen
Chaque élément de cette pièce va changer d’appellation. Emma s’installe sur un manège, un manège qui bouge. Elle découvre alors un écran de télévision au plafond, situé légèrement derrière la tête du dentiste, ce qui permet d’orienter son regard vers le plafond, le menton légèrement relevé. Le praticien commence l’examen avec un miroir et un râteau comme à la plage pour chercher les petits trous dans la dent. Il le montre à Emma avant de commencer l’examen (fig. 3 et 4). Le scialytique devient le soleil qui donne les dents blanches. En cas de doute, le praticien positionne un lego en bouche pour réaliser une photo de fantôme à l’aide d’un canon à confettis (fig. 5). Emma est prévenue : si elle bouge, elle aura des confettis partout dans la bouche.
L’examen radiologique, le bite wing, révèle une petite carie oclusale sur la 75. Un rendez-vous ultérieur sera à programmer pour un soin de composite et l’application d’un vernis fluoré.
Dans la salle de soins, les explications
Les méthodes de brossage sont expliquées à Emma, même si elle présente une bonne hygiène bucco-dentaire (fig. 6). Une brosse à dents, qu’elle choisit selon la couleur qui lui plaît, lui est offerte pour la démonstration. Si le jeune patient présente un manque de brossage, nous utilisons la pâte magique qui dit la vérité, un révélateur de plaque, et il se brosse les dents jusqu’à élimination totale de couleurs sur les dents.
Puisqu’Emma va bénéficier d’un soin de restauration sous anesthésie, le praticien lui montre tout ce qu’il va utiliser à la prochaine séance. La soufflette devient le vent, puis la pluie et même la tempête. La turbine devient un avion à réaction, la roulette, un tracteur qui fait trembler la bouche, la digue est soit une robe de princesse soit une cape de superhéros selon la couleur. Même le pistolet à composite se transforme en dromadaire.
Emma demande s’il y aura une piqûre. En effet, l’anesthésie est souvent ce qui fait le plus peur [1].
Non, évidemment. Le dentiste n’est pas un moustique. Il y aura une anesthésie avec la fusée. Le Quicksleeper est présenté comme une fusée télécommandée (fig. 8). Elle ne ressemble pas à ce qu’Emma a déjà vu. Sa forme diffère de la seringue pour para-apicale et ses petites lumières amusent [2].
Tout se jouera sur l’anesthésie
Le soin sera bien vécu dès lors que l’anesthésie sera réalisée correctement, c’est pourquoi le praticien doit respecter quelques règles pour que cette étape préalable soit indolore. Une boule de glace à la cerise (lidocaïne) est appliquée pendant une minute. L’aiguille pour enfant est plus petite, de couleur verte, elle mesure 9 mm de long mais a toujours un faible diamètre de 0,30 mm.
Son plus grand biseau représente une partie plane qui se pose sur la gencive pour glisser dessous avec un angle de maximum 20 degrés [3]. Quand la gencive blanchit suite à la vasoconstriction, la seconde phase de l’anesthésie intra-osseuse, la pénétration de l’os cortical, peut régulièrement se faire sans mise en rotation et en prenant garde de ne pas viser le germe de la dent permanente [4].
Puis l’injection d’une demi-carpule d’articaïne 1/100 000 est lente, totalement indolore et contrôlée électroniquement [5]. L’isolation et le soin peuvent alors se passer calmement et efficacement.
Conclusion
Une explication claire, même si imagée, aidera le bon déroulement de la séance de soins. L’anesthésie ostéocentrale permet, en diminuant le stress et la douleur, d’améliorer l’approche du soin : avant grâce à sa forme, pendant grâce à son efficacité et après grâce à l’absence totale de conséquences postopératoires. Le patient garde une tonicité musculaire par une absence d’anesthésie des tissus mous ; le risque d’automorsure et de brûlure physique est éliminé. Nous vous partageons un dessin réalisé par deux patientes, deux sœurs, après leur première visite au cabinet (fig. 9). Elles avaient hâte de revenir voir le praticien.
Bibliographie
- Alsarheed M. Children’s Perception of Their Dentists. Eur J Dent 2011 ; 5 (2) : 186-90.
- Kuscu 00, Akyus S. Children’s preferences concerning the physical appearance of dental injectors. J Dent Child 2006 ; 73 : 116-21.
- Sixou JL. Du bon usage du biseau lors de l’anesthésie. Information Dentaire 2006 ; 37 ; 2286-8.
- Marie-Cousin A, Sixou JL. Evolutions de l’anesthésie dentaire chez l’enfant. Clinic 2008 ; 29 : 434-42.
- Sixou JL, Barbosa-Rogier ME. Efficacy of intraosseous injections of anesthetic in children and adolescents. Oral Surg Oral Med Oral Pathol Oral Radiol Endod 2008; 106 (2) : 173-8.









Commentaires