Risque infectieux
Le risque infectieux est multifactoriel, et certains paramètres permettant de le moduler, comme l’amélioration des conditions opératoires (antisepsie et asepsie), la prévention de l’infection (antibioprophylaxie), ou encore la modification de facteurs modulables en lien avec l’état général du patient (contrôle d’une pathologie, suspension d’un traitement). Nous aborderons ici les risques inhérents à la chirurgie implantaires chez les patients immunodéprimés, à risque d’endocardite et à risque de nécrose osseuse.
Le patient immunodéprimé
L’immunodépression est un état caractérisé par un affaiblissement du système immunitaire, prédisposant à développer des infections. À son origine, des déficits immunitaires primaires (DIP), qui sont des pathologies génétiques rares pour lesquels le risque infectieux est souvent majeur nécessitant une prise en charge spécialisée, ainsi que des déficits secondaires (DIS), beaucoup plus fréquents, qui peuvent être en lien avec des situations très variées tels que :
– des troubles systémiques, notamment dans le cas de pathologies chroniques (diabète, insuffisance rénale), infectieuses (par exemple le VIH), cancéreuses et de malnutrition ;
– après splénectomie ;
– des traitements immunosuppresseurs (pathologies auto-immunes, traitement antirejet post-transplantation d’organe, chimiothérapies)
Pathologies à risque
• Diabète : avec une prévalence de 6 %, il concerne plus de 3,3 millions de personnes traitées en France [1]. Le plus souvent de type 1 (auto-immun) ou de type 2 (alimentation non adaptée), il peut être équilibré ou non, ce qui est évalué en fonction du taux d’hémoglobine glyquée (HbA1C). Lorsque l’HbA1C est < 7 %, le diabète est considéré comme équilibré avec un risque infectieux moindre [2] et la chirurgie implantaire est possible avec un risque d’échec implantaire identique à la population normale, contrairement aux patients présentant un diabète non contrôlé [3].
Ainsi, pour des patients non équilibrés dont le diabète est contrôlable (le plus souvent de type 2), il sera préférable d’attendre que l’HbA1C soit < 7 % avant de réaliser la chirurgie implantaire. Pour les patients présentant un diabète insulino-dépendant, parfois impossible à contrôler en dessous de 7 %, la solution implantaire ne sera pas contre-indiquée en cas de balance bénéfice/risque favorable, mais elle nécessitera une antibioprophylaxie et le patient devra être informé du risque d’échec plus élevé.
• VIH : En France, plus de 170 000 personnes vivent avec le VIH. Il n’y a aucune contre-indication à la chirurgie implantaire pour la plupart des patients contrôlés par les traitements en situation de charge virale indétectable, pour lesquels le taux d’échec est identique à la population générale [4]. Il est ainsi nécessaire, au préalable, de prescrire ou de consulter le dernier bilan sanguin incluant la numération de formule sanguine précisant notamment le taux de plaquette, de lymphocyte et de polynucléaires neutrophiles, mais également d’avoir accès à la charge virale et au taux de lymphocytes T CD4+. En effet, il s’agit d’une pathologie chronique dont les thérapeutiques actuelles permettent, dans la majorité des cas, de stabiliser la pathologie avec une charge virale indétectable et de maintenir un taux de lymphocytes T CD4+ satisfaisant c’est-à-dire supérieur à 500/mm3 [2].
• Insuffisance rénale chronique (IRC) : son incidence est en augmentation et concerne en France plus de 82 000 patients en stade terminale (IRCT) [5]. Les infections sont une des principales complications de l’IRC avec une incidence qui augmente à mesure que la fonction rénale s’altère qui se calcule en fonction du débit de filtration glomérulaire (DFG) (tabl. I). La chirurgie implantaire, bien que non contre-indiquée formellement, sera très déconseillée en cas d’IRC sévère et nécessitera une collaboration étroite avec l’équipe de néphrologie [6].
|
Tableau I – Détermination de la sévérité de l’insuffisance rénale en fonction de la DFG |
||
|
Stades MRC |
Définitions |
DFG (ml/min/1,73 m2) |
|
1 |
pas d’IR |
≥ 90 |
|
2 |
IR légère |
60-89 |
|
3 |
IR modérée |
30-59 |
|
4 |
IR sévère |
15-29 |
|
5 |
IRT |
< 15 |
1. Dysplasie cémento-osseuse (DCO) de type floride au stade d’ostéomyélite.
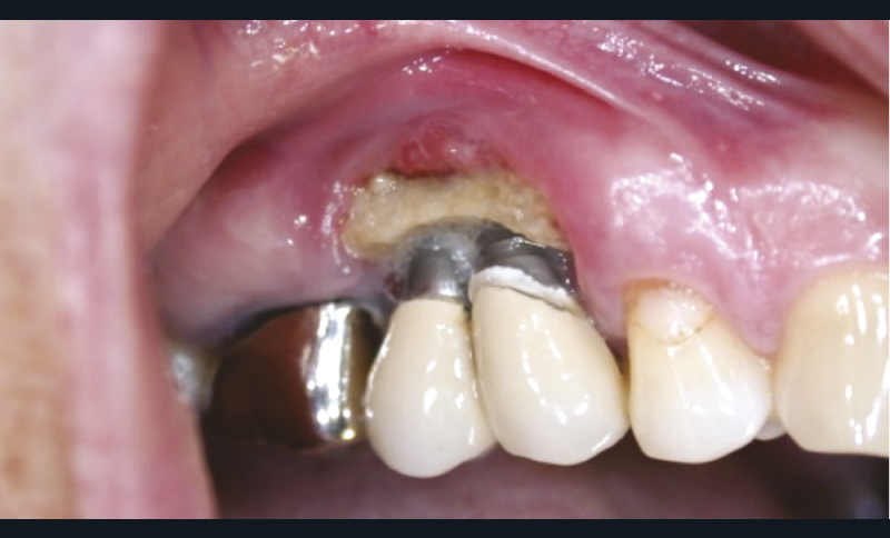
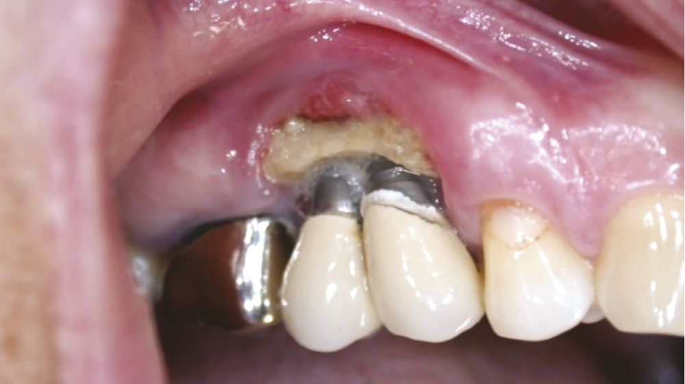
2. Ostéonécrose après pose d’implant dans un contexte oncologique (BP IV cancer du sein).
• En dehors de ces pathologies entraînant une immunodépression, certaines pathologies ou situations occasionnent un allongement du temps de cicatrisation. On note parmi elles, la malnutrition. Ainsi, il est important d’identifier à l’interrogatoire des comportements alimentaires à risque ou une récente perte de poids (régime) qui augmenterait le risque d’échec implantaire.
• Par ailleurs, des pathologies affectant le tissu conjonctif et plus particulièrement la production de collagène comme les syndromes d’Ehlers Danlos, notamment de forme vasculaire, sont fréquemment associés à des surinfections postopératoires. Bien qu’il n’existe pas de contre-indication formelle, et compte tenu d’un taux élevé de péri-implantite chez ces patients, des précautions seront à mettre en place (antibioprophylaxie, fils de suture non résorbables) en cas de bénéfice/risque favorable au cas par cas [7].
Traitements à risque
• Traitements immunosuppresseurs : ils sont indiqués à la fois dans l’antirejet des transplantations d’organes ou de moelle, le traitement des maladies auto-immunes et des maladies inflammatoires chroniques, mais également dans les thérapeutiques anti-cancéreuses ou encore dans le cas d’insuffisance surrénalienne (hydrocortisone). Outre ces traitements médicamenteux, l’ablation de la rate entraîne également une immunosuppression.
• Corticoïdes : bien qu’il existe peu d’études, il n’a pas été observé d’augmentation du risque d’échec implantaire chez ces patients et il n’est pas nécessaire de stopper le traitement afin de prévoir le geste [8]. Néanmoins, les effets sont variables en fonction des doses et de la durée du traitement (jusqu’à un an après l’arrêt d’un traitement au long cours) et un retard de cicatrisation peut être observé en rapport avec l’action anti-inflammatoire de ces substances qui inhibent la prolifération fibroblastique, la synthèse du collagène et l’épithélialisation. Une antibioprophylaxie est nécessaire.
• Antirejets : ils concernent tous les patients ayant nécessité une transplantation. En 2017, 6 105 organes ont pu être greffés dont majoritairement le rein (3 782 greffes), le foie, le cœur, les poumons et le pancréas. Concernant les greffes de moelle dans le traitement des leucémies notamment, 5 070 patients ont reçu en 2017 un ou plusieurs greffons autologues ou allogéniques (à partir de donneurs compatibles). Ainsi, plus de 10 000 patients par an sont concernés par une transplantation et débute donc un traitement antirejet. On retrouve différentes molécules dans ces traitements antirejet, comme le méthotrexate, la ciclosporine, le tacrolimus, le sirolimus et l’évérolimus. Le risque infectieux étant variable après la transplantation, il est nécessaire d’attendre au moins un an afin d’envisager ou non la chirurgie implantaire qui doit être réalisée sous antibioprophylaxie. Il est à noter que les échecs de transplantation à court/moyen terme sont à prendre en compte et il n’est pas rare qu’un patient greffé rénal nécessite un retour à la dialyse compte tenu d’un DFG en baisse. Il convient donc de contacter le médecin en charge du patient et d’évaluer le bénéfice/risque au cas par cas.
• Biothérapies dans des indications bénignes : ce sont des molécules immunosuppressives dont la prescription est en forte augmentation, utilisées dans le traitement des pathologies auto-immunes et les pathologies inflammatoires chroniques notamment rhumatismales (polyarthrite rhumatoïde), et intestinales (MICI). Parmi ces traitements, on retrouve notamment les anti-TNF alpha (comme l’infliximab, l’adalimumab, l’etanercept) et d’autres thérapeutiques induisant une lymphopénie (le rituximab, l’ofatumumab, l’alemtuzumab). Compte tenu de l’évolution rapide des molécules, il est conseillé de consulter le site du club rhumatismes et inflammations (CRI) qui met très régulièrement à jour les recommandations concernant les soins de santé y compris bucco-dentaires, en fonction de chaque molécule [9]. La chirurgie implantaire est rarement contre-indiquée (sauf en cas d’immunodépression majeure), mais nécessite le plus souvent une fenêtre dans le traitement ainsi qu’une antibioprophylaxie.
• Traitements médicamenteux anti-cancéreux : il est à noter que les patients en cours de chimiothérapie cytotoxique ou par thérapie ciblée dans le cadre de la prise en charge de cancers ont également un risque infectieux ainsi qu’un risque hémorragique souvent majorés. La chirurgie implantaire peut être discutée en cas de rapport bénéfice/risque favorable, après avis de l’équipe spécialisée afin d’évaluer la fenêtre la plus adaptée. Après l’arrêt des traitements, si aucun traitement par anti-résorbeur osseux n’a été administré, il n’y a pas de contre-indication à la pose implantaire chez les patients en rémission.
• Splénectomie (ablation de la rate) : on estime qu’il y a environ 250 000 patients splénectomisés en France. La splénectomie peut être liée soit à un traumatisme ayant entraîné sa rupture accidentelle ou à une pathologie sous-jacente. La rate étant un organe lymphatique secondaire avec un rôle très important dans l’immunité (innée et acquise), l’immunodépression est majeure dans les deux années suivant son ablation, puis diminue en restant néanmoins présente. La chirurgie implantaire n’est pas contre-indiquée après deux ans, mais nécessite une antibioprophylaxie [10].
Le patient à risque d’endocardite infectieuse
L’endocardite infectieuse (EI) est une maladie rare mais grave, avec un taux de mortalité élevé. Il s’agit d’une inflammation du revêtement interne du cœur, due plus particulièrement à des bactéries, qui peuvent avoir une origine bucco-dentaire (10 et 20 % des cas). Il est donc important de savoir identifier les patients à risque d’EI, d’autant que d’après une étude de 2013 menée par l’UFSBD et l’AEPEI, 94 % des chirurgiens-dentistes suivent des patients à risque d’EI [11].
Il s’agit des patients :
– porteurs d’une prothèse valvulaire (mécanique ou bioprothèse) ou d’un matériel étranger pour une chirurgie valvulaire conservatrice (anneau prothétique) ;
– présentant des antécédents d’endocardite infectieuse ;
– atteints d’une cardiopathie congénitale cyanogène, laquelle peut prendre plusieurs formes : non opérée ou présentant une dérivation chirurgicale pulmonaire systémique ; opérée mais présentant un shunt résiduel ; opérée avec la mise en place d’un matériel prothétique par voie chirurgicale ou transcutanée sans fuite résiduelle (seulement dans les six mois suivant la mise en place) ou opérée avec la mise en place d’un matériel prothétique par voie chirurgicale ou transcutanée avec shunt résiduel.
Depuis quelques années, une évolution des paradigmes est observée concernant la possibilité de poser des implants chez des patients à risque d’endocardite, notamment porteurs de prothèses valvulaires. En 2011, l’ANSM permettait la pose des implants dans le groupe à risque modéré mais maintenait la contre-indication pour les patients à haut risque [2]. En 2015, la Société européenne de cardiologie s’est positionnée sur le sujet et ne contre-indique plus l’utilisation des implants dentaires chez les patients porteurs de prothèse valvulaire en précisant que la décision doit être prise au cas par cas selon les patients, ce qui a été repris en 2017 par un groupe de travail associant la Société française de cardiologie, la Société française de chirurgie orale, la Société française de parodontologie et d’implantologie orale, la Société française d’endodontie et la Société de pathologie infectieuse de langue française [12,13].
En effet, s’il est clair que les extractions dentaires entraînent une certaine bactériémie, seulement deux études rapportent une bactériémie postopératoire dans le cas d’implants dentaires, par ailleurs de faible intensité et moins importante qu’après un brossage dentaire [14,15]. Il est également précisé que l’indication dépend également du risque hémorragique et des traitements en cours ainsi que des comorbidités. Ainsi, en cas de diabète non équilibré associé ou de tabagisme actif, la chirurgie implantaire chez ces patients reste contre-indiquée [13]. Les patients aux antécédents d’endocardite représentent toujours, quant à eux, une contre-indication absolue à la pose implantaire [13].
Le patient à risque de nécrose osseuse
Le risque local de nécrose osseuse est une complication en lien avec certaines pathologies ou traitements tels que les inhibiteurs de la résorption osseuse, la radiothérapie cervico-faciale mais aussi certaines situations pathologiques à risque d’ostéite ou d’ostéomyélite, tels que les patients drépanocytaires ou présentant une altération locale de la trame osseuse. Il est ainsi nécessaire lors de l’interrogatoire de rechercher d’éventuelles situations à risque de ce type.
Pathologies à risque
• Le syndrome SAPHO (Synovite, Acné, Pustulose, Hyperostose et Ostéite) est une maladie auto-inflammatoire, qui toucherait environ 1 personne pour 10 000, principalement caractérisée par une atteinte neutrophilique cutanée associée à une ostéomyélite chronique, avec des caractéristiques très variables. La mandibule est un os fréquemment atteint, dans un contexte de douleurs non spécifiques [16], qui contre-indique la chirurgie implantaire.
• L’ostéopétrose (« maladie des os de marbre ») est un terme descriptif qui se réfère à un groupe d’anomalies osseuses rares et héréditaires, caractérisées par une augmentation de la densité osseuse due à un défaut de développement ou de fonction des ostéoclastes [17]. À côté de la fragilité bien connue de l’os, on retrouve un risque accru d’ostéomyélite des maxillaires dont la prise en charge se révèle souvent difficile. Il existe donc une contre-indication à la chirurgie implantaire chez ces patients atteints d’ostéopétrose [18].
• La dysplasie cémento-osseuse est une lésion fibro-osseuse rare de la mâchoire qui peut affecter certains secteurs (forme péri-apicale), ou les quatre cadrans (forme floride) (fig. 1). Au niveau radiologique, elle se caractérise dans cette dernière, par de multiples lésions osseuses denses et lobulées, souvent situées de manière symétrique dans plusieurs régions de la mâchoire (fig. 2). Ces lésions osseuses prédisposent au développement d’ostéomyélite maxillo-mandibulaire notamment en cas de geste invasif exposant l’os ou en cas d’infection dentaire. S’il est clairement contre-indiqué de recourir à la chirurgie implantaire dans les zones atteintes par la DCO, il pourrait en revanche être envisageable de poser des implants dans les zones indemnes [19,20].
Traitements à risque
• La radiothérapie cervico-faciale induit après 35 à 40 Gy des modifications majeures et irréversibles de la trame médullaire (hypovascularisation, hypoxie et hypocellularité), prédisposant notamment à la survenue d’ostéoradionécrose. La chirurgie implantaire est très déconseillée au-dessus de 35 Gy et représente une contre-indication relative dans cette indication. Bien que deux revues de la littérature montrent des taux encourageants de succès des implants dentaires en territoire irradié, que ce soit sur un os natif ou sur une greffe de péroné [21,22], la pose des implants en territoire irradié doit s’établir au cas par cas en fonction de la balance bénéfice risque (perte de substance post-exérèse carcinologique), en concertation avec l’équipe de prise en charge du cancer dans des conditions optimales en milieu hospitalier, avec un suivi rapproché.
• Certains inhibiteurs de la résorption osseuse que sont les bisphosphonates (BPs), ainsi que les anticorps monoclonaux anti-RANK-L (denosumab) sont à l’origine d’ostéonécrose des mâchoires (ONM) (fig. 2). Ces traitements sont indiqués à la fois dans des pathologies bénignes (ostéoporose, maladie de Paget, etc.) ou malignes (métastases osseuses de tumeurs solides, myélome) avec des risques d’ONM variables. Le risque est important dans les indications oncologiques, de l’ordre de 1 à 20 %, et nettement plus faible dans les indications bénignes, de 0,001 % à 0,1 % [23]. Il est actuellement contre-indiqué de réaliser la chirurgie implantaire chez des patients traités par des inhibiteurs de la résorption osseuse (BPs ou denosumab) dans des indications malignes. Pour autant, la chirurgie implantaire n’est pas contre-indiquée chez les patients traités par des BP per os ou du denosumab dans des indications bénignes, en l’absence de comorbidités et dans un temps de traitement de moins de cinq ans [23].
Il est à noter que les patients ayant bénéficié de traitements par BP resteront à risque après l’arrêt du traitement dans les indications malignes ou lorsque le traitement aura dépassé les délais habituels de prescription. En effet, compte tenu du mode d’action des BPs qui se fixent sur les cristaux d’HA, la demi-vie osseuse est très longue (environ dix ans). Ainsi, la dose cumulée sera à prendre en compte dans la décision thérapeutique. Concernant le denosumab en revanche, le mécanisme d’action étant très différent puisqu’il s’agit d’un anticorps monoclonal anti-RANKL, le risque ne perdurera pas dans le temps (demi-vie osseuse de quelques mois) [24].
Il est à noter que l’antibioprophylaxie consiste à la prescription d’une dose unique dans l’heure qui précède le geste soit de 2 g d’amoxicilline, ou de 600 mg de clindamycine en cas d’allergie à la pénicilline. L’ensemble des situations à risque infectieux sont récapitulées dans le tableau II.
|
Tableau II – Patients à risque infectieux |
|||
|
Patients immunodéprimés |
Risque d’endocardite |
Risque d’ostéonécrose |
|
|
Pathologie |
VIH |
ATCD d’endocardite |
SAPHO |
|
Diabète |
|||
|
Insuffisance rénale sévère |
Cardiopathie congénitale cyanogène |
Dysplasie cémento-osseuse |
|
|
Malnutrition |
Prothèse valvulaire |
Ostéoporose |
|
|
Anomalie du tissu conjonctif |
|||
|
Thérapeutiques |
Immunosupresseurs |
Inhibiteurs de la résorption osseuse |
|
|
Corticoïdes |
Bisphosphonates |
||
|
Antirejet |
Denosumab |
||
|
Biothérapies |
|||
|
Chimiothérapies |
|||
|
Splénectomie |
|||
Risque hémorragique
Risque associé à l’état général du patient
La chirurgie implantaire est à risque hémorragique faible, mais peut nécessiter des précautions chez des patients à risque hémorragique élevé. À la première consultation, il est donc nécessaire d’identifier les patients présentant un risque, et d’en évaluer le type et le grade, en recherchant certains antécédents médicaux ou traitements [25].
Le questionnaire médical doit prendre en compte non seulement les antécédents médicaux et les traitements en cours mais également les antécédents chirurgicaux (hémorragies après intervention chirurgicale d’ordre général ou dentaire), et les éventuels épisodes hémorragiques antérieurs (fréquence, nature, durée, localisation, métrorragies abondantes, épistaxis).
Atteintes de l’hémostase primaire
Toute atteinte plaquettaire, quantitative (thrombopénie) ou qualitative (thrombopathie), d’origine médicamenteuse ou pathologique, entraîne une altération de l’hémostase primaire. SI les thrombopénies sont fréquentes (taux < 100 000/mm³) et de cause multiple (diminution de la production, excès de séquestration ou de destruction des plaquettes), les thrombopathies d’origine pathologique sont quant à elles rares (Syndrome de Bernard Soulier, maladie de Glanzmann, syndrome de Chediak-Higashi) et associées à un risque hémorragique sévère.
La situation la plus fréquente d’altération de l’hémostase primaire est en lien avec la prise d’antiagrégants plaquettaires (aspirine, clopidogrel), utilisés dans la prévention primaire et secondaire des maladies thrombotiques cérébrovasculaires ou cardiovasculaires.
Outre ces anomalies plaquettaires, la maladie de Willebrand est une pathologie constitutionnelle, caractérisée par une anomalie quantitative ou qualitative du facteur Willebrand (vWF), facteur intervenant dans l’agrégation plaquettaire, qui peut être classée en type 1, 2 ou 3.
Les coagulopathies innées ou acquises
Coagulopathies innées (hémophilies) : Les hémophilies sont liées à des déficits en facteurs de coagulation notamment en facteur VIII (hémophilie A = 80 %) et IX (hémophilie B = 20 %). Il existe également beaucoup plus rarement plusieurs déficits pouvant entraîner des hémorragies : déficits en facteurs VII, I (fibrinogène), XI, XIII, V, X et II. Les hémophilies ont des sévérités variables (légère à sévère) avec des risques proportionnels à leur déficit.
Coagulopathies acquises médicamenteuses (traitements anticoagulants) : Parmi les anticoagulants, on distingue les antivitamines K (AVK), les héparines ainsi que les AOD (anticoagulants oraux directs) appelé aussi NACO. En pratique, un chirurgien-dentiste est rarement amené à voir en exercice libéral des patients sous héparines (traitements transitoires), mais il n’y a pas de contre-indication à la chirurgie implantaire chez ces patients [26]. À la différence des AVK (modifiant la synthèse des facteurs vitamine K-dépendants) et des héparines et dérivés (potentialisant l’effet de l’antithrombine), les AOD sont des inhibiteurs directs de la thrombine (dabigatran, Pradaxa) ou des inhibiteurs directs du facteur Xa (rivaroxaban,Xarelto ; apixaban, Eliquis).
Il n’y a pas de contre-indication à la chirurgie implantaire chez les patients traités par AVK, dont le traitement ne doit pas être suspendu [27]. La valeur de l’INR doit être mesurée idéalement dans les vingt-quatre heures, au maximum dans les soixante-douze heures précédant l’intervention chirurgicale. Elle doit être stable et inférieure à 4.
En cas de surdosage (INR ≥ 4) ou d’INR instable, l’intervention chirurgicale doit être reportée et le médecin prescripteur informé. Des mesures correctrices doivent être instaurées sans délai par le médecin prescripteur afin de ramener l’INR en zone thérapeutique. Lorsque l’INR reste en dessous de 4 [26].
Concernant les AOD, il n’y a pas de contre-indication non plus, et le traitement ne doit pas être suspendu non plus. À ce jour, il n’existe pas d’examen biologique prédictif du risque hémorragique chirurgical lié à la prise d’un AOD [26]. Toutefois une étude récente réalisée chez les praticiens de ville montre qu’il est préférable d’adresser les patients à des praticiens spécialisés qui ont l’habitude de gérer les patients à risque hémorragique [28].
Troubles de l’hémostase et pathologies systémiques
Le risque hémorragique concerne non seulement les pathologies de l’hémostase mais aussi des affections systémiques dont le potentiel hémorragique apparaît moins évident. Ainsi, les patients atteints d’une insuffisance rénale terminale, d’une insuffisance hépatique et/ou d’une atteinte médullaire auront un risque hémorragique plus ou moins en association à un risque infectieux.
De manière générale, il n’y a pas de contre-indication à la réalisation d’une chirurgie implantaire chez les patients à risque hémorragique, mais elle nécessitera un plateau technique adapté ainsi qu’une correction du déficit et donc une prise en charge hospitalière pour les désordres d’origine pathologique (thrombopénie < 80 000, maladie de Willebrand, thrombopathies, hémophilies ). Il n’y a pas de contre-indication à la chirurgie implantaire sous antithrombotiques, sauf sous AVK si l’INR est supérieur à 4.
Précautions à mettre en œuvre
Attitude préopératoire
Outre l’interrogatoire permettant d’identifier des patients à risques, des examens destinés à préciser la sévérité du risque seront parfois nécessaires. Ces examens complémentaires seront à ajuster en fonction de la situation (tabl. III).
|
Tableau III – CAT préopératoire en fonction du risque hémorragique |
|||||
|
Patients thrombopéniques |
Patients sous Antiagrégant Plaquettaires (AGG) |
Pour les patients atteints de maladie de Willebrand et hémophilies |
Patients atteints de pathologies systémiques à risque |
Patients sous AVK |
Patients sous AOD |
|
– numération plaquettaire – geste chirurgical avec moyens d’hémostase locaux classiques si taux de plaquette supérieur à 80 000/mm3 en ville |
– ne pas arrêter le traitement du patient – pas d’analyse biologique |
prise en charge spécialisée hospitalière |
– prescription d’un bilan d’hémostase : numération plaquettaire, exploration de la coagulation (taux de Prothrombine [TP], temps de céphaline activée [TCA]) – prise en charge hospitalière en cas d’anomalies des voies intrinsèques et extrinsèques (TP, TCA) et en fonction de la thrombopénie |
– ne pas arrêter le traitement du patient – prescrire un International Normalized Ratio (INR) de moins de 24 heures si patient non équilibré, sinon de moins de 72 heures – si INR > 4, réadresser à son praticien prescripteur pour rééquilibrer le traitement |
– ne pas arrêter le traitement du patient – prise en charge spécialisée/ hospitalière |
Attitude per opératoire
En cas de trouble de l’hémostase, d’origine pathologique ou médicamenteuse, l’anesthésie locorégionale mandibulaire est déconseillée et contre-indiquée de manière bilatérale compte tenu du risque d’hématome asphyxiant, tout comme le prélèvement symphysaire du fait du risque d’hématome du plancher buccal et de dyspnée. Concernant la chirurgie implantaire, lorsque l’indication est retenue, un protocole d’hémostase locale doit systématiquement mis en place. Le protocole doit comprendre l’utilisation de vasoconstricteur (épinéphrine 1/100 000 de préférence) lors de l’anesthésie et de l’acide tranexamique à utiliser en per opératoire si besoin et en compression à la fin de l’intervention.
Attitude postopératoire
Après chirurgie implantaire sur un terrain à risque hémorragique, les antalgiques doivent être soigneusement choisis. Ainsi, l’aspirine et les AINS sont contre-indiqués compte tendu de leurs interactions avec la fonction plaquettaire, le paracétamol l’étant également en cas d’atteinte hépatique. Ainsi, des molécules de type tramadol (Topalgic), notamment en libération prolongée, ou encore du nefopam (Acupan) utilisé en per os peuvent être prescrites dans ces situations. L’acide tranexamique (Exacyl) en ampoules, est un antifibrinolytique à prescrire en cas de saignement, à appliquer sur des compresses au niveau du site d’intervention. Les interventions seront de préférence réalisées en début de semaine afin de permettre une réévaluation en cas d’hémorragie secondaire. Les coordonnées du praticien ou d’un service d’urgence devront être communiquées afin de gérer le plus rapidement un saignement excessif ou prolongé [26].
Conclusion
La chirurgie implantaire présente des risques comme tout acte chirurgical et requiert un interrogatoire précis en amont afin d’identifier les potentiels patients à risque. Elle n’est que rarement contre-indiquée du fait du risque de récidive d’endocardite, du fait du risque de nécrose osseuse, par des pathologies (ostéopétrose, SAPHO, dyslasie cémeto-osseuses), ou des traitements (anti-résorbeurs osseux dans des indications malignes, radiothérapie cervico-faciale au-dessus de 35 Gy par exemple), ou d’un risque hémorragique important (INR > 4 chez un patient sous AVK). En revanche, il existe des situations de contre-indications relatives qui nécessitent une collaboration étroite avec les autres spécialités médicales afin d’évaluer la balance bénéfice/risque et la mise en place en place de précautions spécifiques, relevant parfois d’une prise en charge hospitalière.


Commentaires