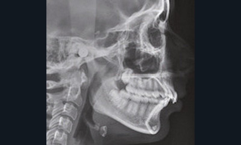
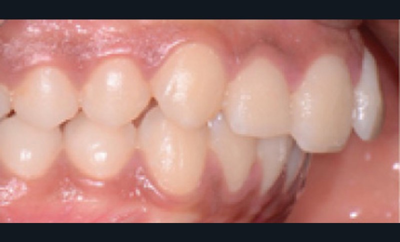
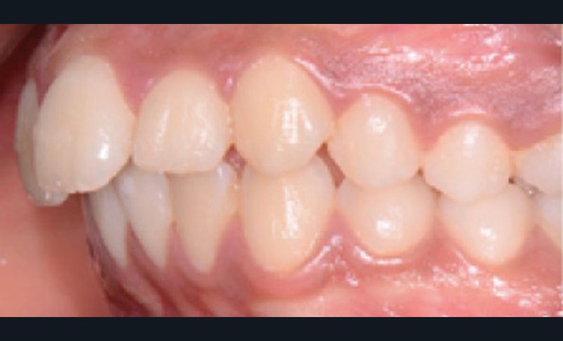
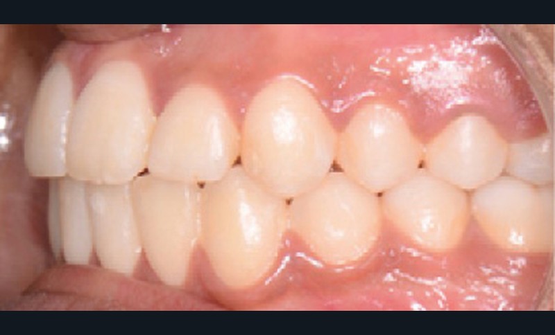
Examen clinique (fig. 1 à 7)
La patiente âgée de 16 ans et 2 mois, sans antécédent médical ni chirurgical, se présente dans le service d’orthopédie dento-faciale de l’hôpital Bretonneau pour un motif esthétique. Elle trouve ses dents trop en avant.
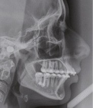
Son visage de face est équilibré et symétrique ; en revanche, au niveau de son profil elle présente une rétromandibulie avec un sillon labio-mentonnier marqué.
Sur le plan dentaire, elle présente une classe II d’Angle complète, une supraclusion de 4 mm et un surplomb de 6 mm ne correspondant pas au décalage de classe II molaire.
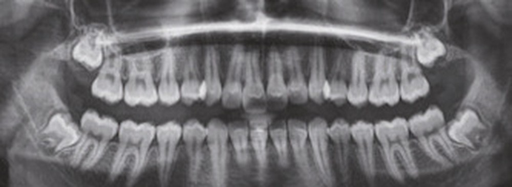
À la vue de l’examen radiographique, elle est au stade CS6 d’après la méthode de maturation vertébrale de Baccetti [1]. Elle présente une classe II squelettique de Ballard par rétrognathie mandibulaire avec un ANB de 9° et un AoBo de 9 mm sur un schéma facial normo-divergent. L’incisive mandibulaire est vestibulo-versée (IMPA = 114°). Le maxillaire est bien positionné. Elle présente de plus une dysharmonie dento-dentaire (DDD) antérieure par excès mandibulaire.
Objectifs
Le traitement de compromis n’étant pas une option chez cette patiente de 16 ans, nous proposons de réaliser un traitement orthodontico-chirurgical avec ostéotomie d’avancée mandibulaire après repositionnement de l’incisive inférieure.
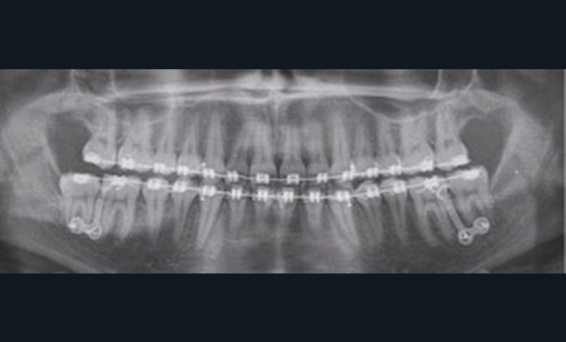
Phases thérapeutiques (fig. 8 à 19)
Nous équipons la patiente avec un appareil multi-attaches (.022 x .028 inch pré-informé Roth) mais nous n’avons pas activé l’arcade mandibulaire. La patiente est adressée au chirurgien maxillo-facial (Dr Gonzague Deffrennes, hôpital Beaujon) qui réalise l’avulsion des troisièmes molaires et la pose de plaques vissées avec émergence entre les premières et deuxièmes molaires mandibulaires dans l’axe des brackets (fig. 9). Étant donné l’absence d’encombrement au niveau incisif mandibulaire, nous pouvons rapidement mettre en place les tractions postérieures. Nous solidarisons ainsi le bloc antérieur de canine à canine et réalisons un recul en masse de l’arcade directement des canines aux plaques postérieures. La majeure partie du recul est faite sur un arc acier .018x.025 inch permettant le glissement. La force appliquée est de 250-300 g par côté.
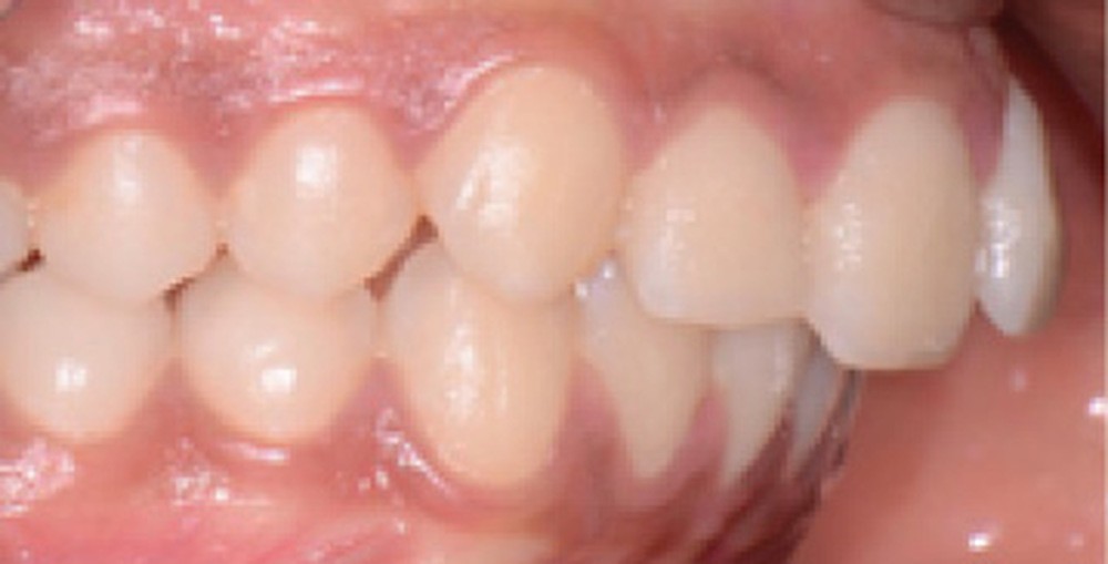
Nous avons pu repositionner l’incisive mandibulaire de 8° (fig. 10), obtenir un surplomb correspondant à la classe II d’Angle et ainsi réaliser l’avancée mandibulaire. Le chirurgien accompagne celle-ci d’une génioplastie afin d’harmoniser le profil. Nous corrigeons la DDD par stripping des incisives mandibulaires ce qui permet de corriger encore de 1° l’axe incisif.
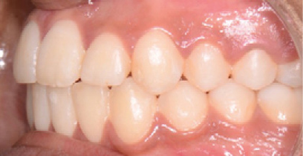
Le résultat de fin de traitement est satisfaisant. Le profil de la patiente est harmonisé. Une contention fixe mandibulaire et maxillaire de canine à canine est choisie.
La phase de préparation pré-chirurgicale a duré huit mois. La chirurgie a ensuite été reportée de trois mois par souhait de la patiente (départ en vacances puis volonté de réaliser la chirurgie durant des vacances scolaires). La phase de finition a été légèrement augmentée, du fait d’un mauvais port des élastiques de blocage par la patiente. Au total, le traitement a duré vingt-deux mois.
Discussion
Plusieurs solutions de décompensation ont été envisagées :
• Extraction de quatre prémolaires.
• Décompensation par utilisation d’élastiques de traction inter-maxillaire de classe III.
• Décompensation par utilisation d’élastiques de traction inter-maxillaire de classe III, avec renfort par un arc transpalatin de première molaire maxillaire bloqué par des minivis.
• Extraction des troisièmes molaires mandibulaires et pose de plaques rétromolaires.
Le maxillaire nous a semblé bien positionné et nous ne souhaitions pas modifier l’axe de l’incisive maxillaire. Nous avons donc exclu les solutions pouvant avoir un effet direct ou indirect sur celui-ci, comme la solution 1 et 2. Nous n’avons pas choisi la solution 3 afin de nous affranchir de la coopération de la patiente.
La quatrième solution nous a semblé la plus efficiente. Il n’existe pas de mouvements parasites sur le maxillaire.
L’alternative aux plaques est de positionner une vis dans le trigone rétro-molaire, comme décrit dans l’article de Marinetti, A, Deffrennes et Soussan [2], mais nous avons choisi les plaques compte tenu des forces exercées et du taux d’échec des vis acceptable mais moyen retrouvé dans la littérature [3,4]. Les plaques sont fixées à distance des racines. L’émergence au niveau de la ligne mucco-gingivale permet de maintenir une bonne hygiène. Leur position permet un recul complet d’arcade de manière symétrique. Il est possible de tracter de manière indirecte avec une potence canine et une traction plus basse sur la plaque en se rapprochant du centre de résistance de l’arcade.
À propos du cas, on note la persistance d’une petite classe II squelettique (ANB = 5°). Cependant, l’axe de l’incisive maxillaire ne permet pas une correction plus importante de la classe II par avancée mandibulaire car le surplomb est déjà faible et l’incisive maxillaire est légèrement versée (106°). Les axes de 11 et 12 auraient pu être améliorés.
Conclusion
Les plaques mandibulaires ont permis une préparation orthodontique rapide et efficiente. Ce système de plaques différent des vis nous a paru fiable. Sa mise en place, plus complexe que les vis, nécessite les compétences de chirurgiens formés à cette technique récente. Elle se réalise souvent au moment de l’avulsion des troisièmes molaires. La patiente est très satisfaite de son traitement.
Remerciement au Dr Gonzague Deffrennes (chirurgie maxillo-faciale), qui a réalisé les différentes phases chirurgicales, et au Dr Elvire Le Norcy, qui a supervisé le traitement.



















Commentaires