Questions
- Quelles sont les étapes du nettoyage ?
- Quels sont les risques pour l’émail lors du débaguage ?
- Existe-t-il une différence entre la dépose des attaches en céramique ou en métal ?
- Comment traiter les lésions de l’émail post-orthodontiques ?
1/ L’étape de nettoyage se réalise en 3 phases qui requièrent différents instruments et fraises pour ramener l’émail à un état de poli similaire à son état initial.
• 1re phase : elle consiste à décoller chaque attache avec une pince, en donnant un mouvement ferme de version sur l’attache (fig. 1). Le but est d’obtenir une rupture adhésive ou cohésive de la colle [2].
Le coffret Smoozies (Komet) (fig. 2) est ensuite utilisé pour éliminer les restes de colle.
• 2e phase : une fraise à finir en carbure de tungstène permet de retirer la majeure partie de la colle (fig. 3). Son utilisation se fait sur turbine ou contre-angle bague rouge, à pression légère, sous spray. À ce stade, avec ce type d’instrument, il est important de ne pas atteindre l’émail ; il est donc préférable de laisser une fine couche de colle.
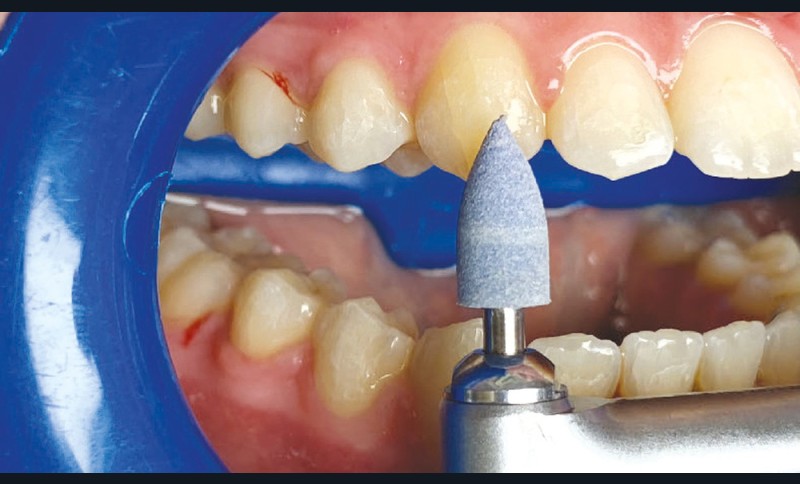
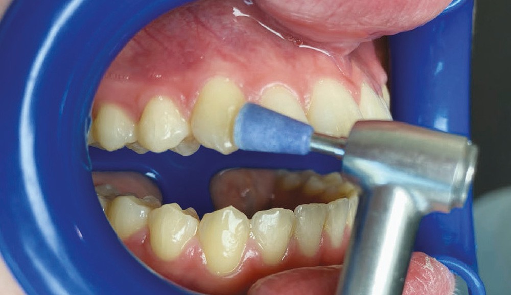
• 3e phase : c’est le polissage, qui nécessite plusieurs étapes. Elle débute par l’utilisation d’une fraise à gros grains sur contre-angle bague bleue (6 000 t/min) (fig. 4a).
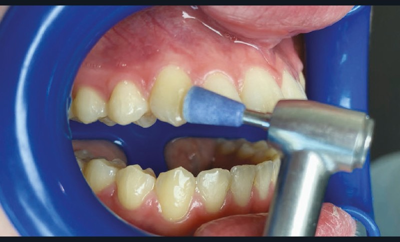
Puis on réalise le lustrage, phase durant laquelle on privilégiera la cupule en caoutchouc, toujours sous spray et sur contre-angle bague bleue (fig. 4b). À ce stade, on cherche à polir et faire briller l’émail.
Il arrive qu’il reste des résidus de colle malgré les étapes menées précédemment. Dans certaines conditions, ils captent la lumière, donnant une impression de « zébrures » disgracieuses. Un séchage à l’excès permet le plus souvent de les mettre en évidence. Il faut alors répéter méticuleusement et dans l’ordre le passage des polissoirs.
Enfin, un brillantage de surface est obtenu par l’application d’une pâte de polissage sur une cupule (fig. 5).
Cependant, même si la phase de polissage est essentielle, elle ne suffit pas à rendre l’émail ad integrum en cas d’altération.
2/ En pratique quotidienne, les matériaux de collage doivent permettre une rétention des attaches pour éviter les décollements intempestifs tout en permettant une dépose aisée, sans dommages amélaire ou pulpaire [3]. Les altérations de l’émail peuvent donc survenir en cas d’échec du collage ou d’excès de rétention.
Les risques sont essentiellement iatrogènes, donc opérateurs-dépendants :
Lors du retrait de l’attache à la pince :
- rayures de l’émail par frottement de la pince à débaguer ;
- arrachements de prismes ou fracture coronaire :
- par un mauvais positionnement de la pince ;
- par application d’une force trop importante sur l’attache ;
- par adhérence trop importante du système de collage à l’émail ;
- par usure ou préfragilisation carieuse (leucomes pré-carieux).
Lors du retrait de la colle à la fraise :
- atteinte mécanique par la fraise provoquant des rayures de l’émail ;
- atteinte thermique par échauffement : l’utilisation des fraises devra toujours se faire sous spray eau/air pour réduire l’augmentation de température générée à haute vitesse.
Cependant, une dépose aisée sans conséquences amélaires peut être anticipée dans le choix :
- du type de préparation de la dent (sablage, acide orthophosphorique, adhésif automordançant…) ;
- du type de colle (colles traditionnelles, auto-mordançantes ou CVIMAR) [4] ;
- du type d’attache et de l’architecture de sa base (métallique, céramique) [5].
Un choix raisonné par l’orthodontiste de l’association mode liaison/système d’attache participe ainsi à la diminution des risques.
3/ Le matériau de l’attache entraîne des conséquences techniques dans un premier temps.
Pour les attaches métalliques, le point faible est la déformation par flexion.
Une simple pression de la pince sur l’attache suffit souvent à rompre la colle.
Une version occluso-gingivale ou mésio-distale sera privilégiée en fonction du design de l’attache.
Pour les attaches céramiques, la difficulté réside dans leur rigidité et leur fragilité. Un point de rupture est le plus souvent conçu par les fabricants afin de faciliter leur dépose. Cependant, pour les attaches sans point de rupture, une pression excessive peut entraîner son éclatement en morceaux, laissant collés des fragments de céramique (fig. 6). Une fraise diamantée spécifique est alors nécessaire pour éliminer les résidus de céramique (par exemple l’instrument diamanté 862.314.014), augmentant les risques de lésion de l’émail. Il est primordial d’arrêter le fraisage au niveau du joint de colle, puis d’appliquer le protocole de retrait standard de la colle.
Les principales lésions amélaires post-débaguage sont des atteintes de l’émail par fraisage intempestif. Elles peuvent aller de la simple rayure à la destruction totale de l’émail avec exposition dentinaire.
Leur traitement doit être rapide et respecter les principes de l’économie tissulaire et du gradient thérapeutique [6].
- Les rayures doivent être polies soigneusement afin d’éviter la rétention de plaque et les colorations disgracieuses ultérieures.
- L’atteinte amélaire dans son épaisseur est la plupart du temps compensée par la réalisation d’un composite collé, de teinte émail. Sa réalisation vise à compenser les modifications de forme (bombé, bord libre) et de teinte (translucidité) occasionnées. Les leucomes précarieux peuvent être traités par la même technique de reminéralisation ou érosion/infiltration.
- La destruction totale de l’émail (épaisseur, pointe cuspidienne ou angle) est une faute technique aux conséquences irréversibles. Elle est souvent accompagnée de sensibilités thermiques et au brossage. Sa restauration doit être faite en fonction de la perte de substance par composite collé ou facette.
Conclusion
Toute erreur ou négligence lors du débaguage peut entraîner une altération irréversible de l’émail. La parfaite connaissance par l’orthodontiste des systèmes de collage et d’attaches est un prérequis. Mais l’utilisation de matériels de débaguage éprouvés, dans le respect des protocoles, est la clef d’un traitement orthodontique qui se finit bien.
Avec le soutien de
![]()








Commentaires