Le bridge collé cantilever fait aujourd’hui partie intégrante de l’arsenal thérapeutique du praticien, et particulièrement lors de la réhabilitation des secteurs incisifs. Depuis 1973, le bridge collé à armature métallique à deux ailettes d’Alain Rochette a évolué progressivement vers le bridge collé cantilever tout céramique, notamment grâce aux travaux de Matthias Kern [1,2].
L’édentement antérieur est conséquent à de multiples étiologies : agénésies (notamment de l’incisive latérale maxillaire, qui concerne entre 1,55 et 1,78 % de la population mondiale) [3], traumatismes, maladies carieuses ou encore parodontales. Kern estime que 3 à 3,5 % des adolescents ont une dent antérieure absente [4].
Quelle que soit la cause de l’édentement, la problématique est identique pour le patient. Cela représente principalement une gêne sur le plan social et un inconfort esthétique indéniable que le praticien se doit de prendre en charge, tout en éclairant le patient sur les différentes thérapeutiques envisageables.
Le traitement implantaire a pris une place majeure dans la compensation de ces édentements. Cependant, cette solution n’est pas toujours la plus adaptée à cause de contre-indications, de volume osseux insuffisant ou d’échecs d’ostéointégration [5-8]. Le taux d’échec implantaire peut atteindre 33 % [9,10]. De plus, lors de l’implantation chez le sujet jeune, voire après l’âge de 20 ans, en raison de la croissance continue des maxillaires, un effet de « submersion de l’implant » est également bien décrit [11]. Lors de la réhabilitation d’édentements unitaires, un taux de survie équivalent est rapporté entre une solution implantaire et un bridge cantilever, mais un taux de succès nettement supérieur en faveur du bridge collé, en raison de complications biologiques moindres [12].
Dans ces contextes parfois délicats, le bridge collé peut être une solution de choix. Le champ d’application de cette thérapeutique est aujourd’hui plus étendu, allant de la temporisation pour un patient jeune en attente d’une réhabilitation implanto-prothétique à des situations de contre-indications à la mise en place d’un implant, en passant par une solution d’usage comme alternative pérenne au traitement implantaire [12-15]. Le bridge collé cantilever présente un excellent rapport coût/efficacité, une mise en œuvre relativement simple et rapide ainsi qu’une économie tissulaire importante respectant parfaitement le gradient thérapeutique [13,16-18].
Dans chaque situation clinique, le choix du matériau est crucial et implique une conception et des protocoles adaptés afin d’assurer un succès thérapeutique. Plusieurs études cliniques démontrent une excellente longévité des bridges collés cantilevers. Kern, avec un recul de plus de dix ans, parvient à un taux de succès (décollement pris en compte comme complication) de 92 % et un taux de survie de 98,2 % pour une étude de 108 bridges collés cantilevers à armature zircone [19]. Martin Sasse, avec un suivi de 42 bridges collés en zircone sur six ans, présente des taux de succès (95,2 %) et de survie (100 %) équivalents [20]. La solution la plus pérenne, ayant les meilleurs taux de succès, pour ce type de réhabilitation semble être obtenue avec une armature zircone et l’utilisation d’une colle avec potentiel adhésif contenant du MDP (phosphate de 10-méthacryloyloxydécyl dihydrogène) [21]. Actuellement, les armatures sont principalement réalisées en vitrocéramique renforcée au disilicate de lithium ou en zircone.
Le cas clinique suivant illustre le recours au bridge collé cantilever à armature zircone comme solution thérapeutique d’usage faisant suite à un double échec implantaire. L’évolution numérique s’intègre naturellement tout au long de la chaîne prothétique de cette réalisation et contribue à une efficience toujours plus grande.
Réhabilitation prothétique d’une incisive latérale maxillaire
Situation clinique initiale
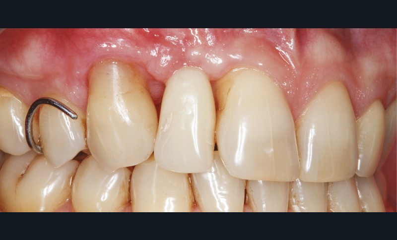
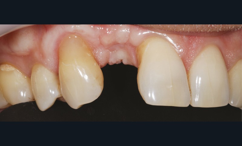
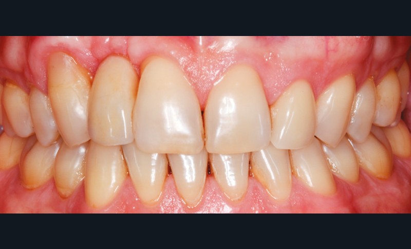
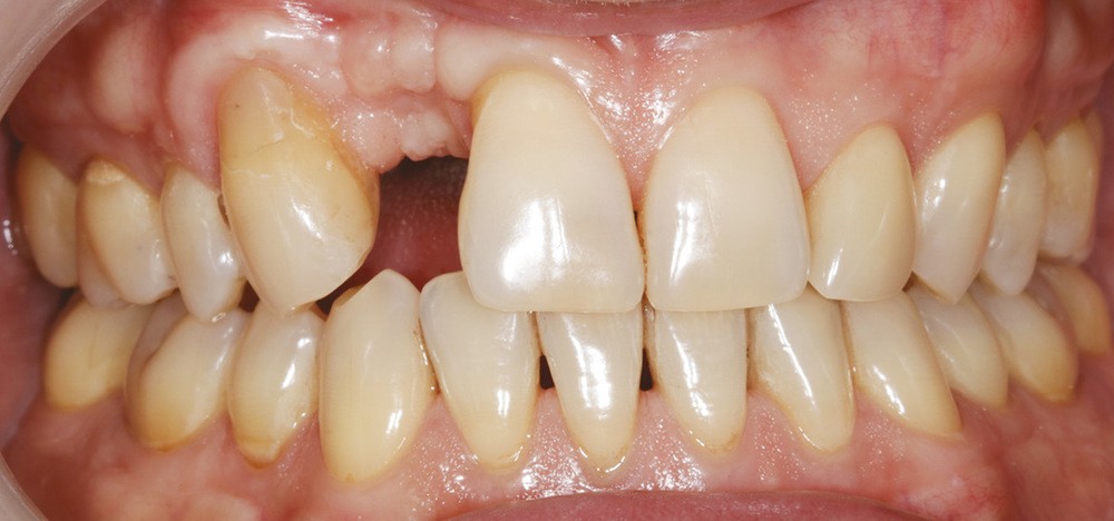
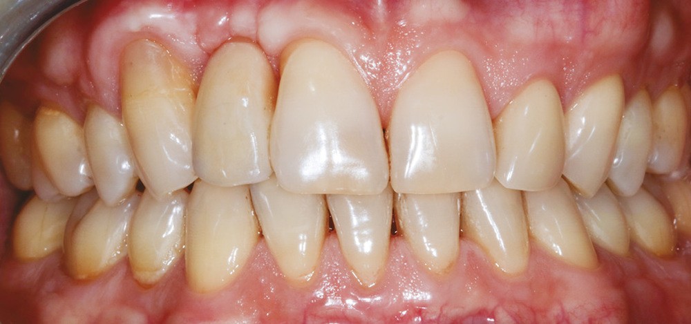
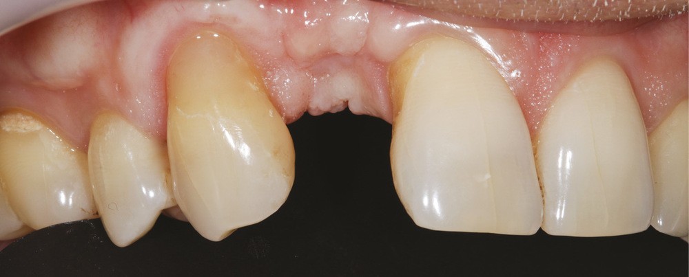
Un patient de 44 ans, n’ayant comme antécédents médicaux qu’une addiction au tabac, présente une agénésie des incisives latérales supérieures. L’incisive latérale gauche lactéale (62) a été traitée de longue date par une facette céramique satisfaisante sur le plan clinique et esthétique (fig. 1a). L’incisive latérale droite lactéale (52) a été extraite à la fin de son adolescence et remplacée par une prothèse fixe implanto-portée pendant plus de quinze ans.
Une péri-implantite sévère a nécessité la dépose de ce premier implant. Le nouvel implant mis en place à la suite de ce premier échec a dû être également retiré après une perte d’ostéointégration secondaire. Une prothèse amovible partielle a alors été retenue comme solution de temporisation (fig. 1a-b).
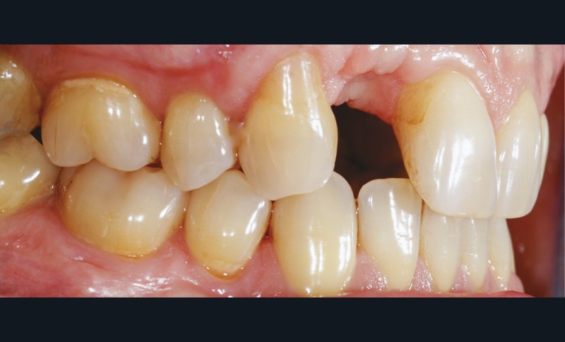
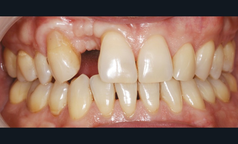
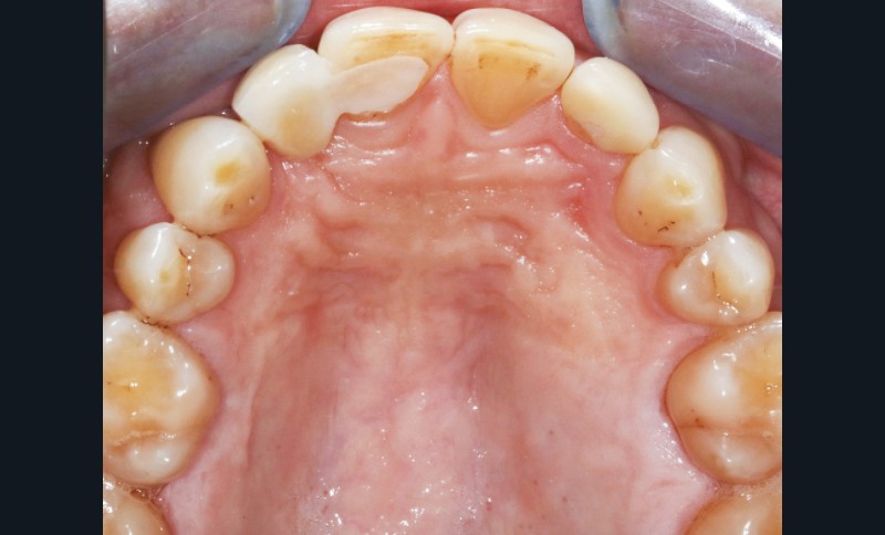
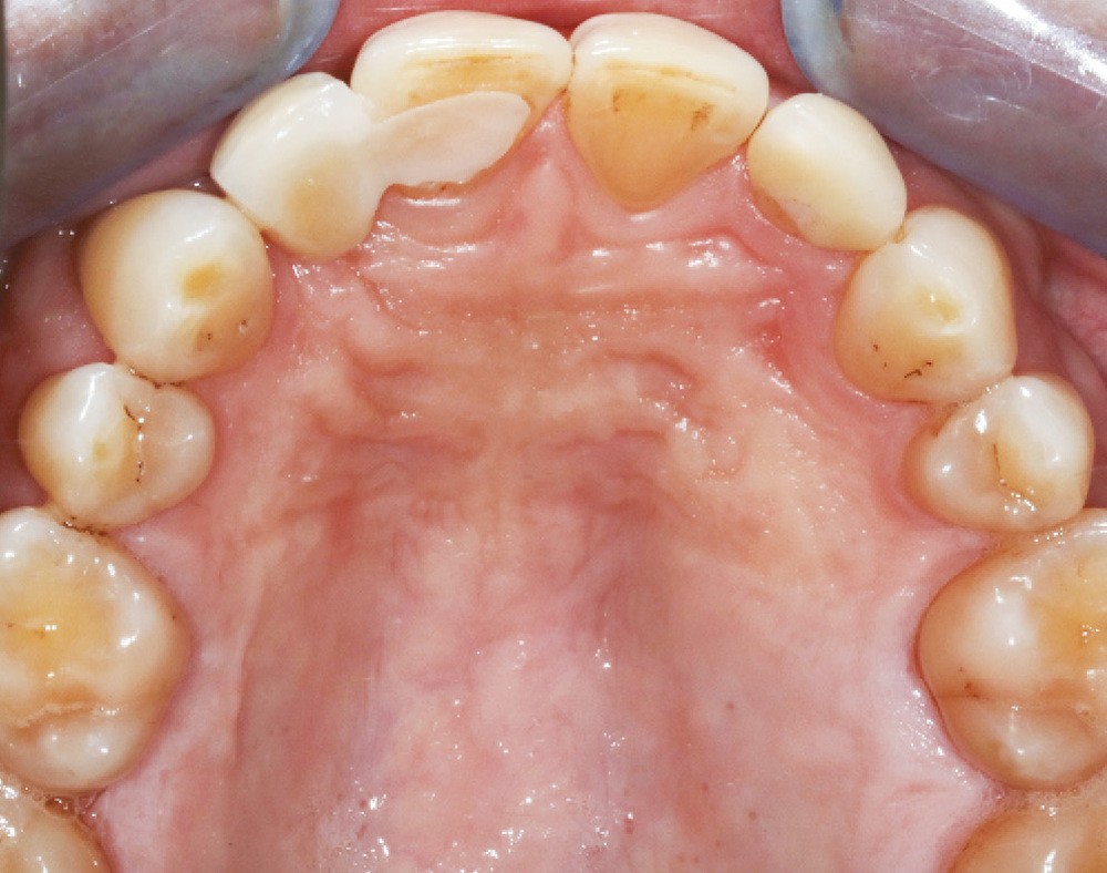
L’analyse de la situation clinique montre une ligne du sourire basse (classe 4 selon Liébart et coll. [22]) (fig. 1c). La perte tissulaire parodontale de classe III (selon Seibert et coll.) située au niveau de l’incisive latérale droite (12) est la conséquence des différents échecs rencontrés. Ce défaut tissulaire est associé à une perte d’attache parodontale (fig. 1d) sur les deux dents adjacentes (11 et 13), entraînant une forte asymétrie de l’alignement des collets (fig. 2). Le patient est en occlusion de classe I d’Angle bilatérale et présente un guidage canin fonctionnel.
Le patient exprime le souhait de ne plus subir d’intervention chirurgicale osseuse ou gingivale sur cette zone. La conséquence esthétique étant assez minime à distance sociale, notamment en raison de sa ligne du sourire basse, un traitement sans modification du parodonte est raisonnablement envisageable.
Une solution fixe, peu invasive et pérenne est attendue par le patient. Le bridge collé cantilever apparaît comme une évidence pour compenser cet édentement suite au double échec implantaire. Cette solution est accueillie avec enthousiasme par le patient.
La zircone, grâce à ses excellentes qualités mécaniques, est le matériau sélectionné pour l’armature. Celle-ci sera surmontée d’une céramique cosmétique. La canine étant la « clé de voûte » de l’occlusion dynamique, l’incisive centrale droite (11) est choisie comme point d’appui pour l’ailette (fig. 3) [23]. De plus, la 11 est indemne de toute restauration et présente une surface tout à fait convenable pour assurer un maintien durable (30 mm2 au minimum) [24].
Mise en œuvre
Gestion du berceau gingival
Le berceau gingival est rendu concave pour accueillir le pontique, permettant une meilleure intégration esthétique et limitant au maximum le bourrage alimentaire [23]. Il est aménagé par ovalisation à l’aide d’une fraise diamantée, bague rouge de gros diamètre. Une adjonction de composite fluide sur la dent en résine de la prothèse amovible partielle vient guider la cicatrisation en légère compression (fig. 4 et 5).
Préparation amélaire et empreinte numérique
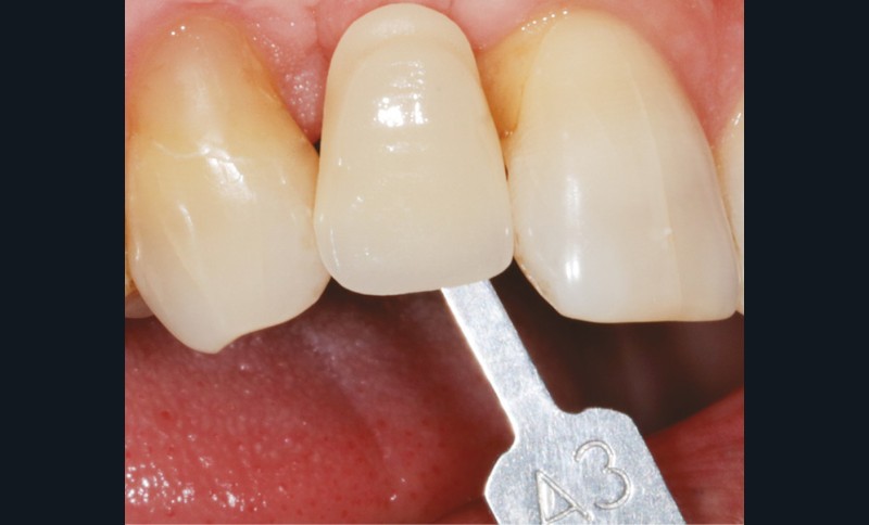
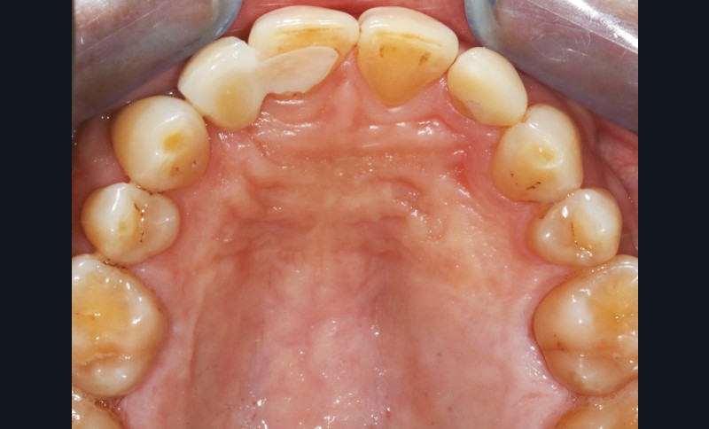
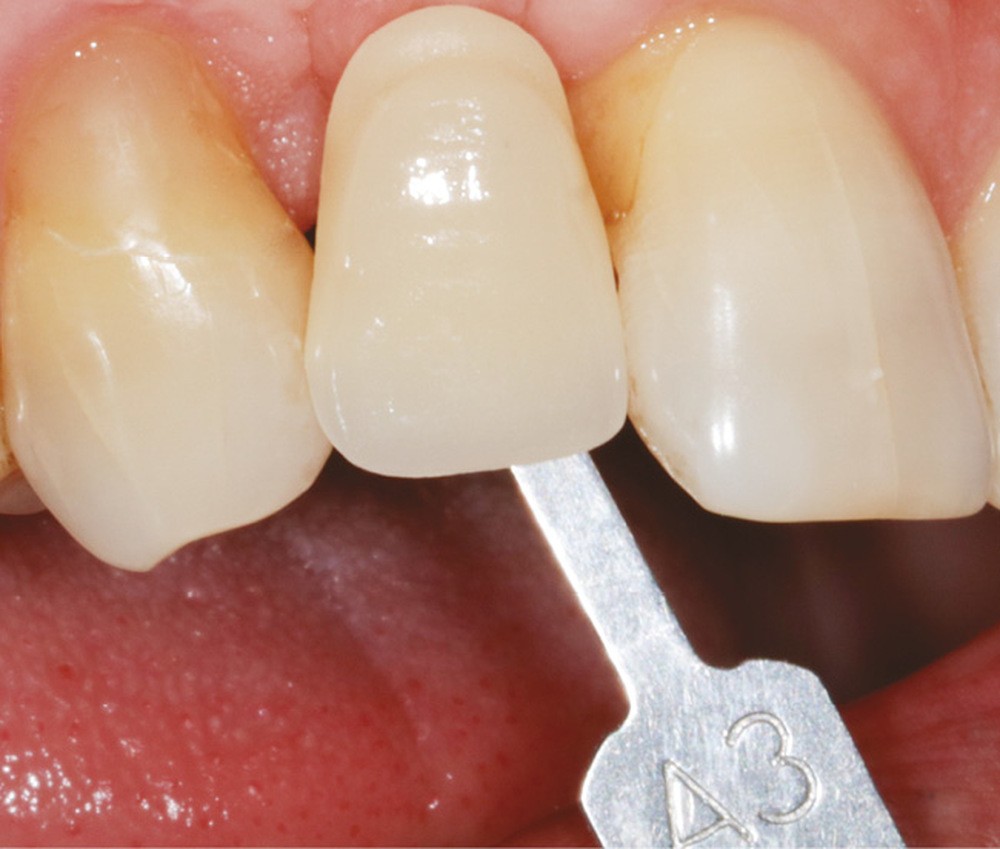
Le relevé de la couleur est effectué (fig. 6). La préparation amélaire pour l’intégration de l’ailette (0,5 à 0,7 mm de profondeur) est réalisée sur la 11 (fig. 7a-b) [2,24-27]:
- un congé cervical palatin d’une épaisseur de 0,5 à 0,7 mm à angle interne arrondi qui assure la stabilisation de la pièce prothétique et évite un surcontour ;
- une corniche occlusale qui s’oppose aux forces de clivage et permet une bonne adaptation du joint. Cette corniche doit se situer en dessous du bord incisal translucide pour une intégration esthétique optimale ;
- une boîte de connexion proximale en regard de la zone édentée d’une dimension minimale de 6 mm2.
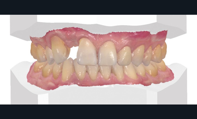
La situation clinique est transférée au prothésiste au moyen d’empreintes optiques (Trios 2, 3Shape) pour une conception numérique de la prothèse (fig. 8 et 9).
Phase de laboratoire
Une fois les modèles virtuels créés, l’armature du bridge est modélisée par Conception Assistée par Ordinateur sur le logiciel Trios Design Studio (3Shape) (fig. 10). La surface de connexion mesurée est de 9,8 mm2 (fig. 11) et celle de collage de 40,56 mm2, respectant ainsi les recommandations de la littérature [24].
L’armature est usinée (Zenotec Select, Wieland dental) dans un disque de zircone (Zenostar Zr Translucent, Wieland Dental) (fig. 12) puis sintérisée (Tabeo, Mihm-Vogt) (fig. 13). Les modèles numériques sont conjointement imprimés en 3D (Mars Pro, Elegoo) afin d’obtenir un modèle physique nécessaire à la stratification de la céramique cosmétique (Emax Ceram, Ivoclar Vivadent) (fig. 14a-b).
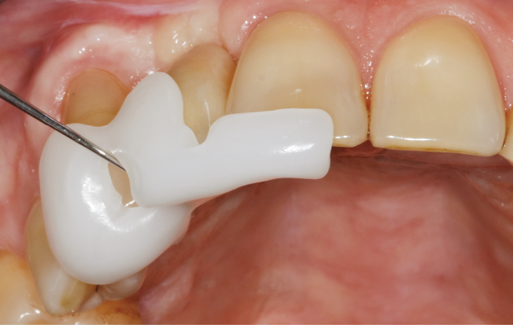
Une clef « papillon » rigide en résine est modélisée et usinée (ProArt CAD Try-In, Ivoclar Vivadent) pour garantir le maintien et le placement idéal de la pièce prothétique lors du collage (fig. 15a-b).
Essayage et assemblage
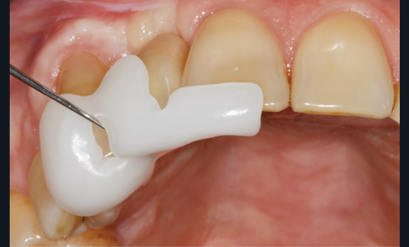
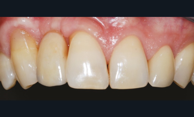
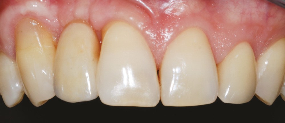
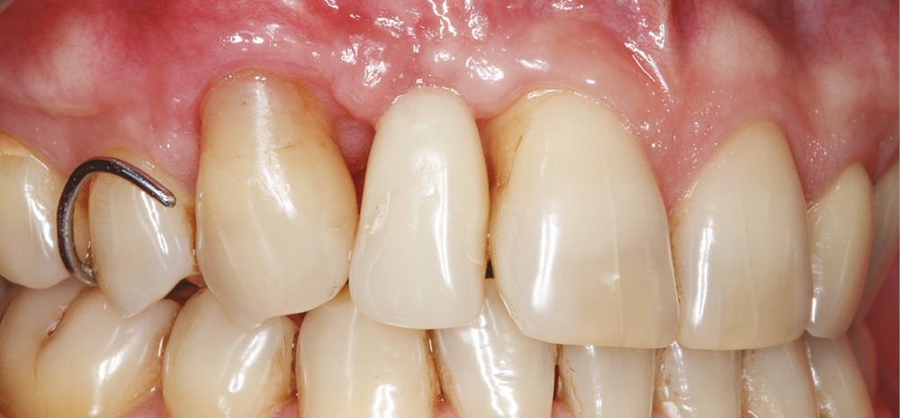
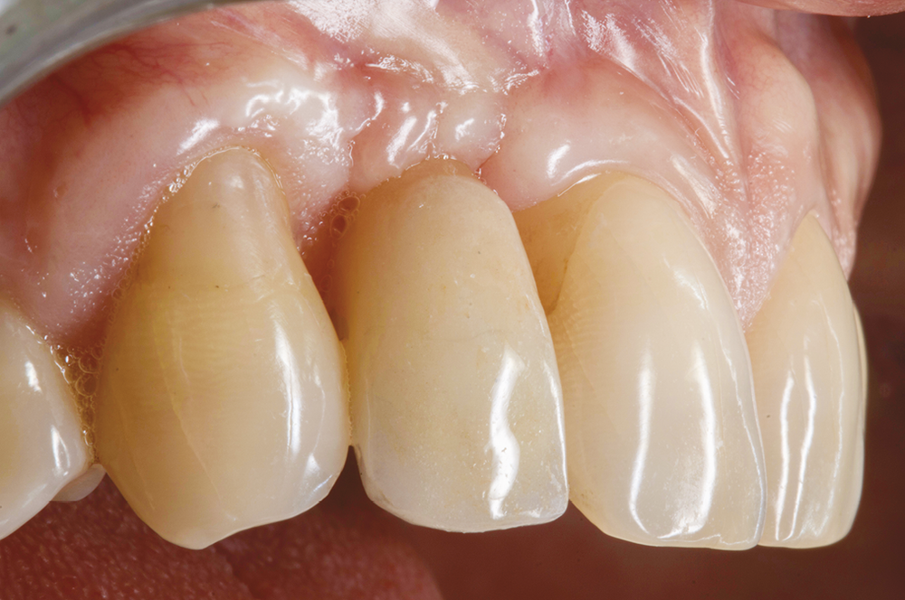
Le bridge cantilever est essayé en bouche et maintenu en place grâce à un composite de temporisation (Telio Inlay, Ivoclar Vivadent) (fig. 16). Cela permet la tenue suffisante de la pièce le temps d’effectuer le relevé des modifications à réaliser. L’absence de guidage fonctionnel de l’intermédiaire, le point de contact distal ainsi que les limites de l’ailette sont également vérifiés (fig. 17). Le bon positionnement de la restauration est contrôlé avec la clef (fig. 18). Après plusieurs essayages, une intégration esthétique naturelle est obtenue et validée par le patient (fig. 19).
Le traitement de surface de la zircone est alors entrepris en respectant le protocole établi par Kern [19,26]. L’ailette est sablée à l’oxyde d’aluminium 50 µm à faible pression (1 bar), en prenant soin de protéger le reste de la pièce prothétique (fig. 20a-b). Elle est ensuite nettoyée dans une cuve à ultrasons contenant une solution à 99 % d’alcool isopropylique pendant 10 minutes.
Le Clearfil Ceramic Primer (Kuraray Noritake) est appliqué sur la pièce prothétique pendant 20 secondes puis séché modérément (fig. 21). Une fois le champ opératoire (Nictone, MDC Dental) mis en place (fig. 22), le conditionnement tissulaire de la 11 se fait par mordançage à l’acide orthophosphorique 40 %, rinçage et séchage. Le Panavia V5 Tooth Primer (Kuraray Noritake) est ensuite appliqué sur la dent pendant 20 secondes, puis séché (fig. 23 et 24).
L’assemblage se fait au moyen de la colle Panavia V5 (Kuraray Noritake). Le bridge est positionné grâce à la clef « papillon » rigide. Les excès de ciment sont retirés de façon rigoureuse à l’aide d’un micro-applicateur et la colle est photopolymérisée 20 secondes par face (fig. 25).
Une couche de glycérine est appliquée sur la périphérie de l’ailette lors de la photopolymérisation finale. L’occlusion est scrupuleusement corrigée en statique et en dynamique puis l’ensemble est finalisé à l’aide de polissoirs (fig. 26).
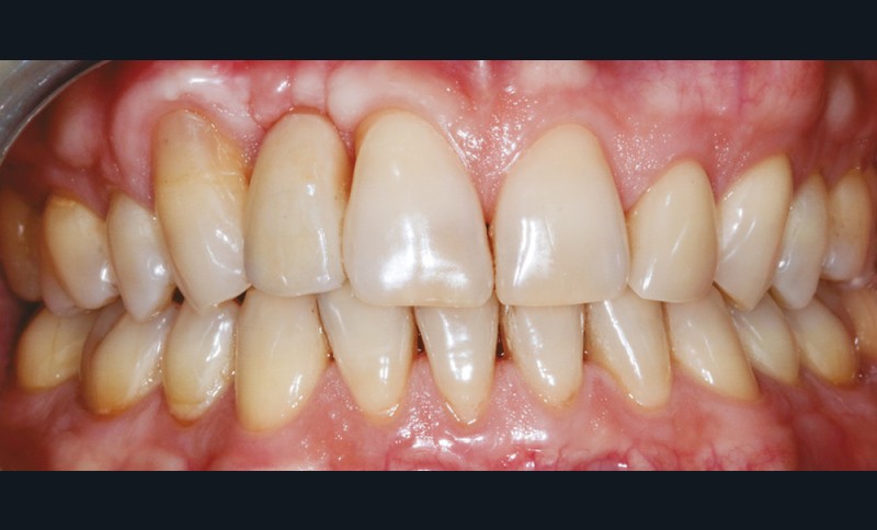
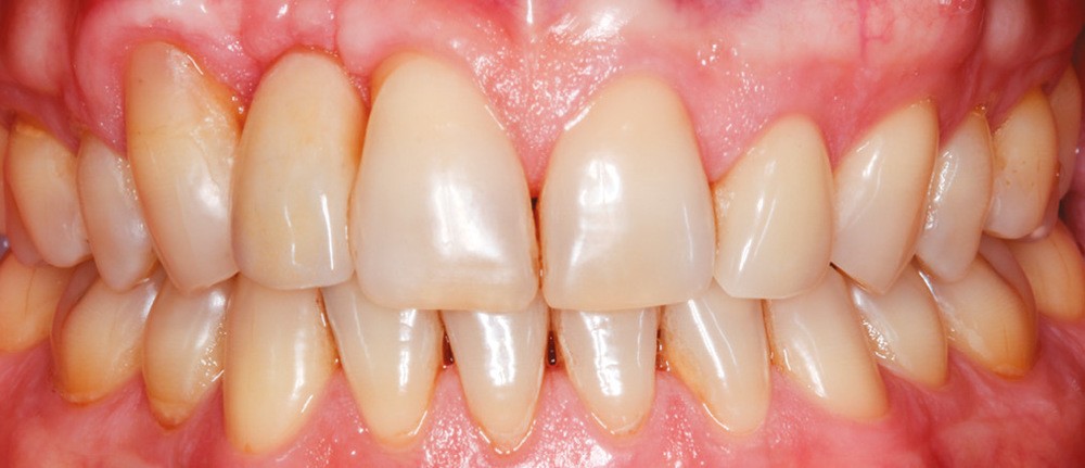
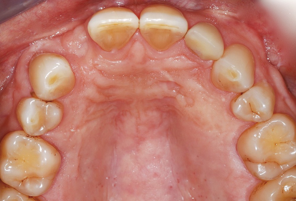
Les conseils d’hygiène sont expliqués et appris au patient, en particulier le passage du fil dentaire sous l’intermédiaire du bridge. Le patient est revu en contrôle à sept jours et à trois mois (fig. 27 à 33).
Discussion
Ce traitement prothétique par bridge cantilever permet au patient de bénéficier d’une réhabilitation fixe et minimalement invasive qui, lorsque les indications sont respectées et les procédures maîtrisées, possède une longévité remarquable [21]. L’examen clinique se doit d’être rigoureux afin de déceler d’éventuels facteurs d’échecs comme un trouble de l’occlusion [24]. Cette solution thérapeutique est dès lors contre-indiquée en cas d’occlusion non favorable (classe II.2) ou de parafonctions.
Aucun contact antagoniste n’est souhaité sur l’intermédiaire du bridge collé, tant en occlusion statique que lors des mouvements dynamiques [28,29]. En effet, le décollement de l’ailette est principalement dû aux forces dans l’axe vestibulo-palatin qui sont bien plus importantes que celle s’appliquant dans l’axe occlusal [30].
Le bridge collé cantilever à armature zircone a fait preuve d’excellents taux de succès avec un recul clinique important de plus de dix ans [19,29]. Concernant les armatures en vitrocéramique, les études publiées à ce jour restent à plus court terme mais les taux de succès rapportés sont comparables : 90,5 % au bout de deux ans, voire 100 % pour une autre étude de quatre ans [31,32].
Grâce à ses performances mécaniques, une infrastructure en zircone nécessite des surfaces de connexion et des épaisseurs de matériau plus faible que la vitrocéramique renforcée au disilicate de lithium. Néanmoins, cette dernière aura un meilleur potentiel d’adhésion à la dent support. Le risque d’échec principal des armatures en zircone qui en découle est le décollement de l’ailette, alors que dans le cas de l’utilisation de la vitrocéramique, il s’agira en majorité d’une fracture [33].
La zircone permet ainsi de réduire de façon importante le risque de fracture entre l’ailette et le pontique, ce qui augmente les possibilités de réintervention (réassemblage sur le pilier). De plus, l’obtention d’une embrasure plus harmonieuse et naturelle est facilitée. La section entre l’intermédiaire et l’ailette des cantilevers a été décrite de façon empirique, en se fondant sur une étude des surfaces de connexion minimales pour les bridges conventionnels [34]. Avec le mouvement différentiel des dents supports et les forces de cisaillement qui s’appliquent dans un bridge conventionnel, il a été admis qu’une surface au minimum identique serait suffisante pour un bridge collé à une ailette [34].
Aujourd’hui, la conception numérique offre un outil performant pour calculer efficacement la taille de la connexion, la surface de collage et les rayons de courbures. Cette gestion numérique est facilitatrice d’un contrôle optimal de ces paramètres, lors de la conception de l’élément prothétique.
Il est intéressant de noter que le choix du système de collage (Panavia ou Multilink) influencerait peu le taux de succès clinique : les valeurs d’adhésion pour une armature zircone se situent aux alentours de 30 Mpa [35-37]. Néanmoins, une colle ou un primer contenant du MDP semble être un prérequis pour assurer une liaison adhésive satisfaisante pour ce type d’armature [21,38]. Ce monomère avec potentiel adhésif entre d’ailleurs dans la composition de plusieurs adhésifs dits « universels ».
Depuis peu, pour résoudre la problématique du rapport résistance/adhésion, de nouvelles techniques sont à l’essai. Une armature en céramique hybride (vitrocéramique pressée sur l’intrados de l’ailette en zircone) réunirait les meilleures caractéristiques des céramiques utilisées : excellente adhésion de la vitrocéramique et résistance mécanique de la zircone [28].
L’impression 3D du modèle de travail nécessaire à la stratification de la céramique cosmétique doit être retouchée au niveau de l’intermédiaire du bridge afin d’obtenir une légère compression du pontique. Se retrouve ici un désavantage de l’empreinte optique qui ne peut actuellement pas enregistrer la dépressibilité tissulaire. Il peut être alors judicieux de retravailler cette partie du modèle par fraisage ou en remplaçant la résine par du silicone.
La difficulté majeure, lors de la phase d’assemblage, est le positionnement parfait de la pièce prothétique pendant le collage sous digue. Une clef permet de surmonter cette complexité. Le design particulier de cette clef « papillon », en appui sur les dents adjacentes permet de maintenir l’élément prothétique dans sa position (malgré l’effet de rebond de la digue), tout en permettant un contrôle visuel et un accès facile pour retirer les excès de colle [23].
Le principal challenge de cette situation clinique fut de proposer au patient une solution fixe, respectant le gradient thérapeutique et sans aucune modification du parodonte, suite aux différents échecs implantaires et reconstitutions tissulaires effectuées par le passé. Le patient s’est en effet opposé à un aménagement chirurgical des tissus mous, qui aurait cependant été souhaitable pour parfaire l’intégration parodontale et esthétique du bridge collé.
Conclusion
La stratégie de réhabilitation prothétique d’un édentement antérieur est souvent délicate. Le bridge collé cantilever fait aujourd’hui partie intégrante des outils thérapeutiques du praticien, avec une excellente longévité. Ce procédé minimalement invasif et réversible respecte le gradient thérapeutique, ce qui en fait un traitement de choix pour le remplacement d’une incisive absente. Une rigueur importante est nécessaire, tant dans l’indication que dans la réalisation, afin d’obtenir les taux de succès cliniques à long terme retrouvés dans la littérature scientifique. La chaîne numérique prothétique apporte un véritable bénéfice d’analyse lors de la conception de ce type de pièce. De surcroît, le bridge collé cantilever est reçu de façon favorable par les patients, en leur procurant un haut degré de satisfaction et une nette amélioration de leur qualité de vie [18,31,39].
Cet article est issu de la thèse d’exercice de G. Fuchs, soutenue le 2 novembre 2020 à l’université de Rennes 1.
|
Auto-évaluation |
VRAI |
FAUX |
|
1. Le bridge cantilever est une option thérapeutique pérenne. |
X | |
|
2. Un bridge collé antérieur ne doit avoir qu’un seul pilier support. |
X | |
|
3. La connexion d’une armature zircone est plus volumineuse que pour la vitrocéramique. |
X | |
|
4.Le risque d’échec principal pour un cantilever zircone est la fracture. |
X | |
|
5. Le sablage de la zircone est réalisé à faible pression. |
X |











































Commentaires