La transformation numérique ou transition digitale est le phénomène de mutation lié à l’essor des technologies numériques et d’internet. Elle touche aujourd’hui presque tous les corps de métiers et s’accompagne d’interfaces et d’outils facilitant les tâches à effectuer, la communication et l’évaluation des pratiques. La chirurgie dentaire est une discipline parfaitement intégrée dans cette e-transformation et ce depuis de nombreuses années. Que ce soient les logiciels de gestion, les systèmes de radiographie, les praticiens transforment l’information en la dématérialisant et en la rendant plus accessible. L’empreinte optique mérite une place de choix dans cette mutation de nos activités. En effet, invention du Dr François Duret dans les années 1970 [1], elle tend à s’imposer depuis quelques années dans les cabinets dentaires. Son principe repose sur l’émission d’un signal lumineux sur les surfaces dentaires dont la déformation permet après recapture de déterminer des coordonnées spatiales et la création d’un fichier 3D.
Aujourd’hui, les interfaces logicielles sont devenues simples et didactiques, et le chirurgien-dentiste a un large choix de systèmes disponibles sur le marché.
Les propriétés de l’empreinte optique
La prise d’empreinte constitue une étape cruciale de l’exercice prothétique. La technique conventionnelle semble aujourd’hui pour le patient, comme pour le clinicien, pesante. De nombreuses erreurs peuvent survenir lors de l’empreinte réalisée au silicone polyvinylsiloxane ou au polyéther, rendant le modèle, donc la prothèse également, inadaptés : mauvais contrôle du saignement, temps de travail, mouvements du patient, tirage, bulles, déchirure et déformation de l’empreinte lors du retrait, stabilité dimensionnelle de l’empreinte, désinfection, mauvaise coulée du plâtre… [2]. Les empreintes numériques éliminent de nombreuses étapes requises avec les empreintes conventionnelles et présentent une meilleure acceptation par le patient, une distorsion réduite du matériau d’empreinte, une précision supérieure, une prévisualisation 3D de la préparation et des économies potentielles de temps et de coût [3-16].
Les enjeux
Pour le praticien
Comme pour une empreinte traditionnelle, le chirurgien-dentiste doit transférer la situation clinique de la manière la plus exacte possible au laboratoire de prothèse. Pour ce faire, il doit respecter un protocole au même titre qu’il le ferait avec son matériau à empreinte. Ce protocole est néanmoins plus simple car il consiste principalement au respect du chemin de scannage, c’est-à-dire à la manière dont les informations vont être enregistrées. Si ce protocole est respecté, il ne reste qu’à contrôler que l’ensemble des éléments nécessaire à la réussite de la conception prothétique sont bien enregistrés.
À tout moment, le praticien peut contrôler et zoomer sur son empreinte ; et s’il constate le moindre manque, il peut compléter l’information manquante. L’ensemble des éléments est consulté en positif contrairement à l’empreinte traditionnelle qui elle est en négatif. Il est plus aisé de contrôler les informations. De plus, le zoom permet une meilleure lecture des préparations ainsi que la lecture des limites prothétiques. Ces dernières peuvent d’ailleurs être renseignées et envoyées directement au laboratoire. Enfin, la couleur permet de donner des informations sur la nature et la couleur des dents préparées, ce qui est un apport non négligeable pour le prothésiste dans le choix de l’opacité du matériau de reconstitution.
Pour le prothésiste
La transition numérique a commencé dans le laboratoire il y a une vingtaine d’années avec l’utilisation massive des scanners de table et des logiciels de modélisation. Aujourd’hui, la grande majorité des laboratoires de prothèses possèdent les équipements nécessaires à la réception et au traitement des données issues des empreintes optiques. La nouveauté pour eux vient de la possibilité de travailler sans modèle physique pour tous les éléments monolithiques. Pour ces derniers, il n’y a plus nécessité de créer un modèle support, le logiciel et les modes de productions ayant un niveau de précision suffisant. Cependant, tout comme les praticiens, ils avaient jusqu’alors l’habitude de valider ce qu’il y avait à l’écran sur un modèle. Au même titre, la réception des prothèses sans modèle peut perturber le praticien qui se met au numérique et, pour le conforter sur l’ajustage des prothèses produites, il est possible d’imprimer un modèle qui servira de support de validation et d’aide au positionnement des éléments dans le cas d’une réalisation plurale.
Les habitudes, qui semblent perturbées au début, vont très rapidement se modifier, et ce nouveau mode de fonctionnement sera facilement accepté.
Pour le patient
Il est l’acteur central du traitement. L’objectif est de répondre au mieux à ses demandes. L’empreinte optique est un excellent outil de communication avec lui. Il sera possible de lui expliquer la nécessité du traitement, ses différentes étapes, de lui montrer les préparations. Son consentement ne sera que plus éclairé. À cela s’ajoute un confort supérieur : l’absence de matériau à empreinte et la possibilité d’arrêter le scan autant que nécessaire va diminuer le côté anxiogène de l’empreinte [17, 18].
Les possibilités
L’empreinte optique permet de positionner des points dans l’espace et l’ensemble de ses points crée le fichier 3D de l’empreinte. Ce référencement offre la possibilité d’enregistrer les arcades sans mordus ou cire d’occlusion dans les cas où le calage postérieur est absent (fig. 1).
Autre avantage, l’enregistrement d’une situation préopératoire dans le même fichier que celle après préparation. Cette information est très intéressante pour le laboratoire dans le cas où la dent, initialement, présentait une absence de délabrement, ou dans les cas esthétiques où le mock-up pourra avoir été travaillé au fauteuil avec le patient.
Enfin, des outils d’analyse sont de plus en plus présents avec les systèmes d’empreinte, notamment pour analyser les épaisseurs préparées (avec des outils de coupe) ou pour étudier le parallélisme entre des dents dans les cas de bridge (fig. 2).
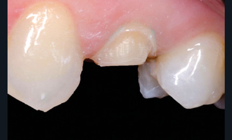
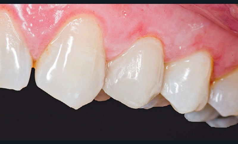
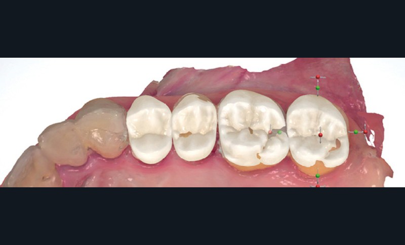
La corrélation de fichiers est un vrai facilitateur pour les plans de traitement prothétique ; que ce soit pour le suivi des cas, ou dans des cas particuliers comme celui de la couronne sous châssis. Cette situation est toujours préjudiciable pour le patient en empreinte conventionnelle, car elle oblige à priver ce dernier de sa prothèse adjointe le temps que le laboratoire conçoive la couronne. Avec l’empreinte optique, il suffit d’enregistrer le crochet et sa position par rapport à la préparation pour que le prothésiste puisse concevoir une prothèse adaptée à la cavité buccale et à la prothèse amovible. Autre cas particulier, lors de la réalisation d’inlay-core, les logiciels de laboratoire ont des algorithmes qui autorisent la conception en seul temps de l’inlay-core et de la couronne avec un calcul des morphologies des éléments pour qu’ils respectent à la fois l’homothétie et les épaisseurs minimales de matériau (fig. 3 et 4).
Enfin, un des derniers atouts de l’empreinte optique est la possibilité de réaliser des empreintes des préparations sous digue, ce qui diminue encore les risques d’infiltration des préparations (fig. 5).
En fonction des systèmes, de nombreuses options s’ajoutent à l’empreinte elle-même, comme la détermination des limites par le praticien ou le relevé de la couleur intégrée dans le scanner. Toutes les informations vont transiter vers le laboratoire avec l’empreinte sous forme de fichiers. Cela a pour avantage de centraliser les éléments et de faciliter la gestion au sein du laboratoire (fig. 6).
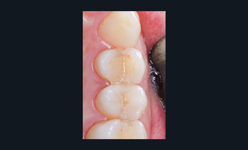
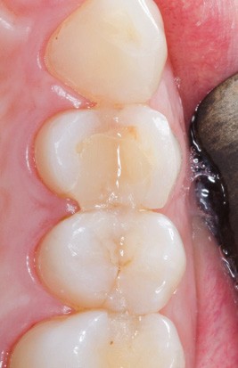
D’un point de vue clinique, il est possible de répondre à l’ensemble du panel prothétique fixe avec les empreintes optiques. La précision des systèmes et la lecture agrandie favorisent la qualité des préparations. Le chirurgien-dentiste peut aisément contrôler la lecture des limites de sa préparation et corriger en gommant l’empreinte et en enregistrant à nouveau la zone (fig. 7).
Lors de la préparation de piliers de bridge, la difficulté principale est de réussir à paralléliser correctement les piliers pour trouver un axe d’insertion pour la future prothèse. Là encore, l’empreinte optique facilite l’évaluation du parallélisme avec des outils très visuels et simples d’utilisation (fig. 8).
Au sein même des systèmes de caméras, il se trouve aujourd’hui de plus en plus d’applications qui viennent se greffer autour du fichier numérique créé. Ces outils jouent à la fois un rôle de communication avec le patient et le laboratoire, d’évaluation, de simulation ou encore de suivi pour les patients. Il est possible de citer, entre autres, des outils de comparaison des empreintes optiques pour le suivi des usures ou après traitement orthodontique, ou le Smile Design qui permet de guider le prothésiste sur les morphologies des futures restaurations (fig. 9 et 10).
Mise en œuvre clinique
Cas unitaire
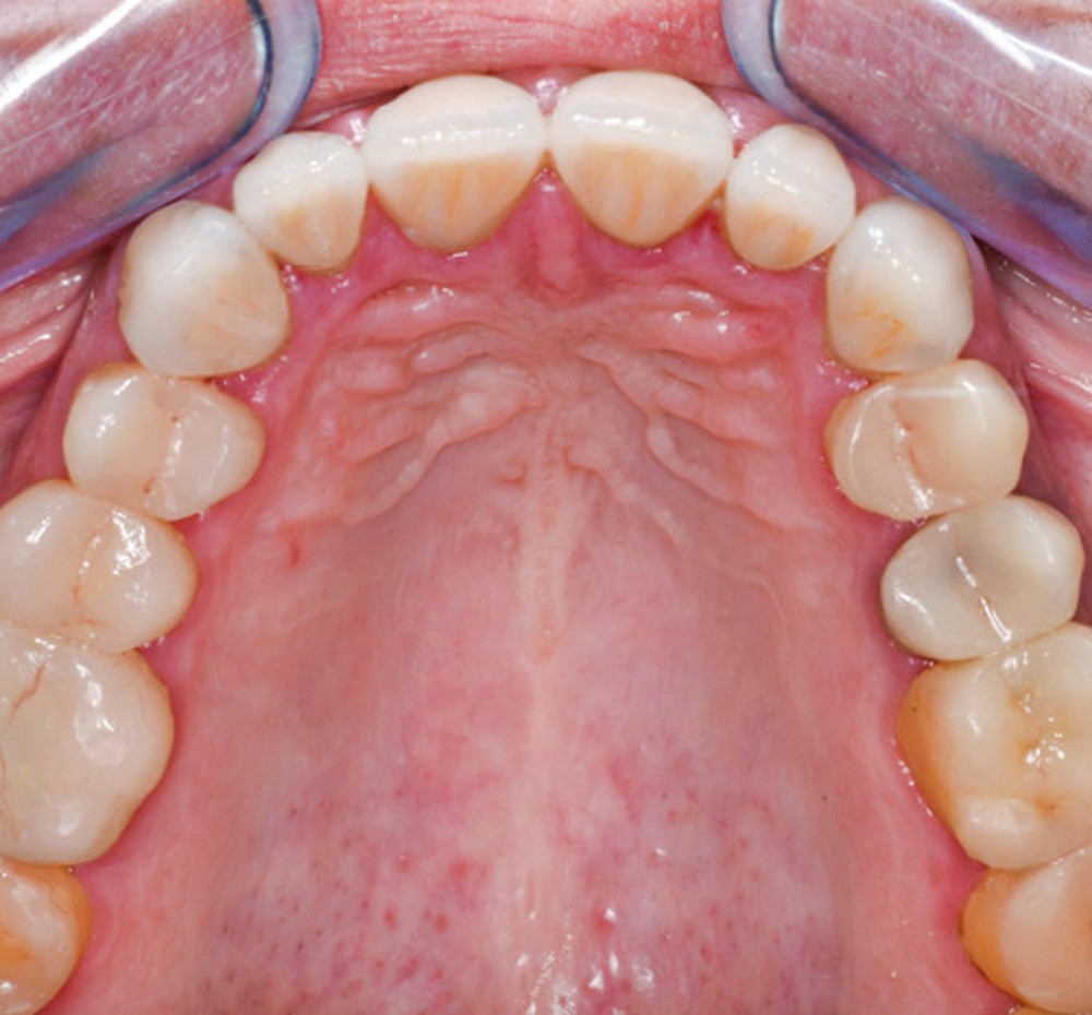
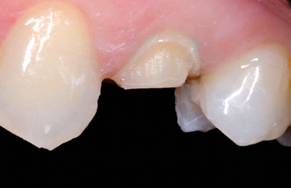
Mme B. se présente au cabinet pour une douleur au niveau de la 24. La dent présente une ancienne restauration avec une lésion carieuse, ainsi qu’une fêlure en mésial avec une pulpite irréversible. La décision est prise de dévitaliser la dent puis de la restaurer par un veneerlay (fig. 11).
Une empreinte optique de l’arcade, de l’antagoniste, ainsi qu’une empreinte de l’occlusion sont réalisées avant la préparation. Tous ces éléments vont aider le prothésiste dans le dessein de sa restauration. Le fichier est ensuite gommé au niveau de la dent préparée, puis enregistré (fig. 12 et 13).
La pièce prothétique est dessinée sur un logiciel de modélisation dentaire, puis elle est imprimée en résine calcinable et transformée en céramique (disilicate de lithium) par technique pressée (fig. 14).
Après essayage, le veneerlay est conditionné, puis l’assemblage est réalisé à l’aide d’une colle universelle sous champ opératoire (fig. 15 et 16).
Cas complexe
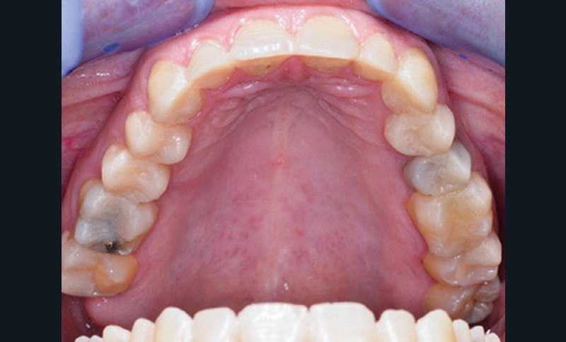
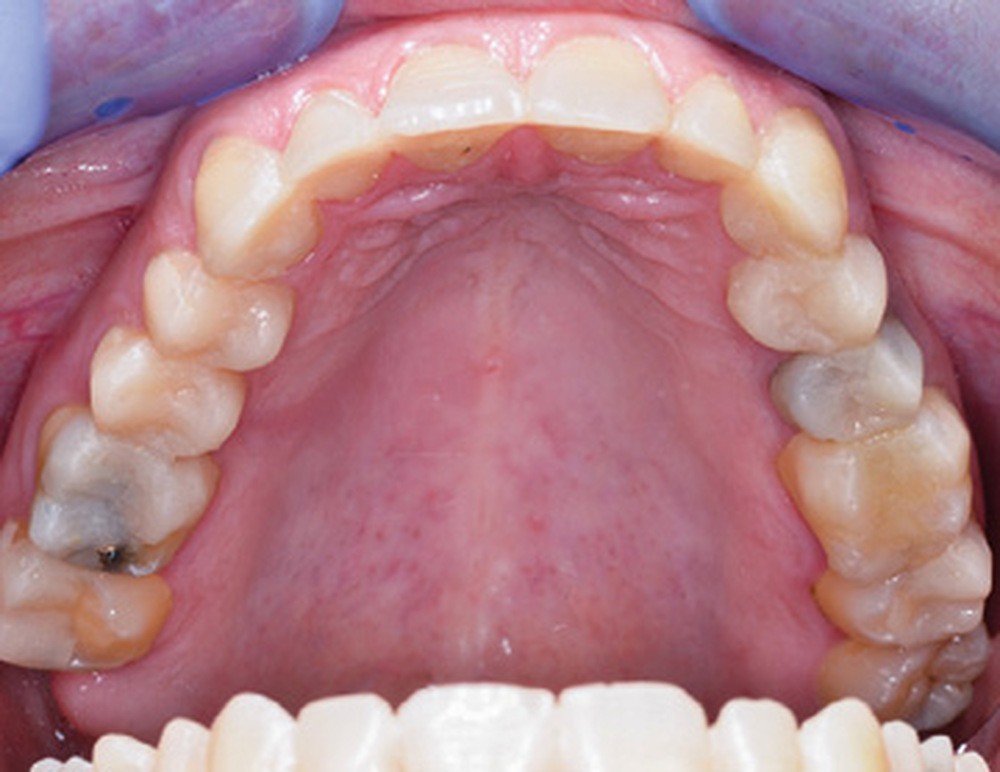
Mme V. est adressée au cabinet dentaire pour une réhabilitation de son sourire. À l’examen clinique, elle présente des usures sur l’ensemble de son maxillaire (fig. 17 et 18). Après évaluation du décalage OIM-ORC, une position de référence en relation centrée avec une dimension verticale augmentée est enregistrée. Pour valider cette position, il est demandé au laboratoire de réaliser un wax-up virtuel. Ce dernier est validé puis transféré en bouche pour essayage (fig. 19 et 20).
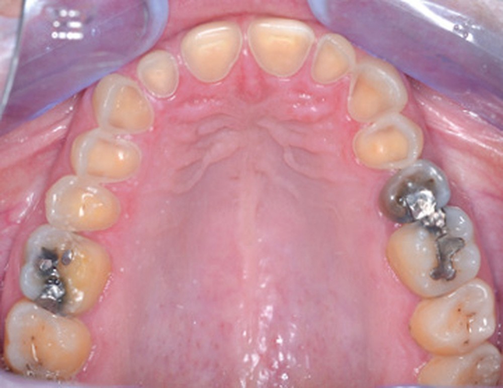
Ce mock-up est équilibré puis transformé en projet provisoire pour trois mois afin de s’assurer de la stabilité, du confort masticatoire et de l’esthétique. Au terme de ces trois mois, une empreinte de la situation est réalisée ainsi que l’enregistrement de l’occlusion ; enfin les secteurs postérieurs sont préparés pour recevoir des overlays. L’ensemble des informations (position et forme) est repris au sein du laboratoire pour dessiner les prothèses d’usage. Ces dernières seront produites par usinage, puis maquillées avant d’être envoyées au cabinet pour assemblage par collage sous champ opératoire (fig. 21 à 23).
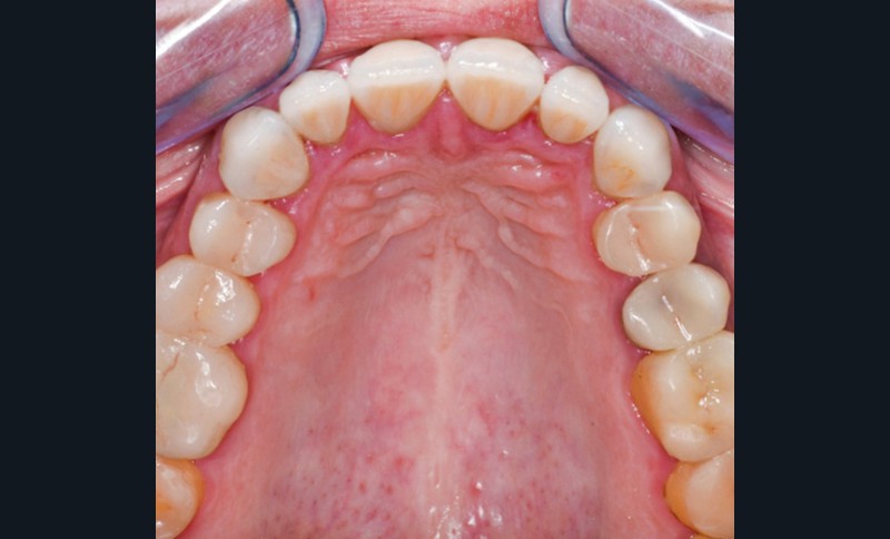
Une fois les secteurs postérieurs et l’assise occlusale rétablis, le bloc incisivo-canin antérieur est préparé pour des restaurations adhésives. Là encore, l’assemblage se fait par collage sous champ opératoire. Le suivi est assuré pour contrôler la pérennité du traitement et une éventuelle reprise des usures. Pour ce faire, des rendez-vous cliniques avec réalisation d’une empreinte optique semestrielle sont programmés. La précision de l’empreinte permet ainsi de dépister le moindre phénomène d’usure (fig. 24 à 27).
Conclusion
L’empreinte optique est aujourd’hui une solution tout à fait valable en prothèse fixée, elle permet de concentrer un grand nombre d’informations au sein d’une même empreinte et de faciliter la gestion des cas avec des outils diagnostiques ou d’accompagnement pour le chirurgien-dentiste. De nouveaux protocoles sont réalisés très régulièrement et autorisent un accès à la prothèse implantaire, mais aussi à la prothèse amovible. La pertinence de l’outil numérique est bien réelle et n’est pas une opposition aux techniques traditionnelles ; elle signe l’évolution et la simplification de ces dernières.
Remerciements au laboratoire de prothèse Digital Labs (La Roche-sur-Yon).
|
Auto-évaluation |
|
|
|
|
1 |
La corrélation de fichiers facilite les plans de traitement prothétiques. |
||
|
2 |
Les prothésistes dentaires ont la possibilité de travailler sans modèle physique. |
||
|
3 |
L’empreinte optique ne permet pas de scanner des préparations sous digue. |
||
|
4 |
Lors de la réalisation d’un inlay-core, la conception en seul temps de l’inlay-core et de la couronne n’est pas encore possible. |
||
|
5 |
L’empreinte optique facilite l’évaluation du parallélisme des piliers d’un bridge. |
||



























Commentaires