L’usure est la détérioration que produit l’usage. Elle est physiologique dans la majorité des cas car elle n’engendre pas de douleur, ne perturbe pas la fonction et/ou l’esthétique, et est corrélée à l’âge des individus. Dans tous les autres cas, elle doit être considérée comme pathologique et l’étiologie des lésions doit être recherchée pour limiter la destruction des structures dentaires. L’objectif principal de cet article est de faciliter cette démarche afin de favoriser les mesures de prévention et d’améliorer le pronostic des restaurations lorsqu’elles sont indiquées. Dans un but didactique, quatre modes d’usure sont successivement présentés, mais il est important de garder à l’esprit qu’ils interagissent le plus souvent, ce qui potentialise leur effet et complique leur diagnostic différentiel.
Attrition
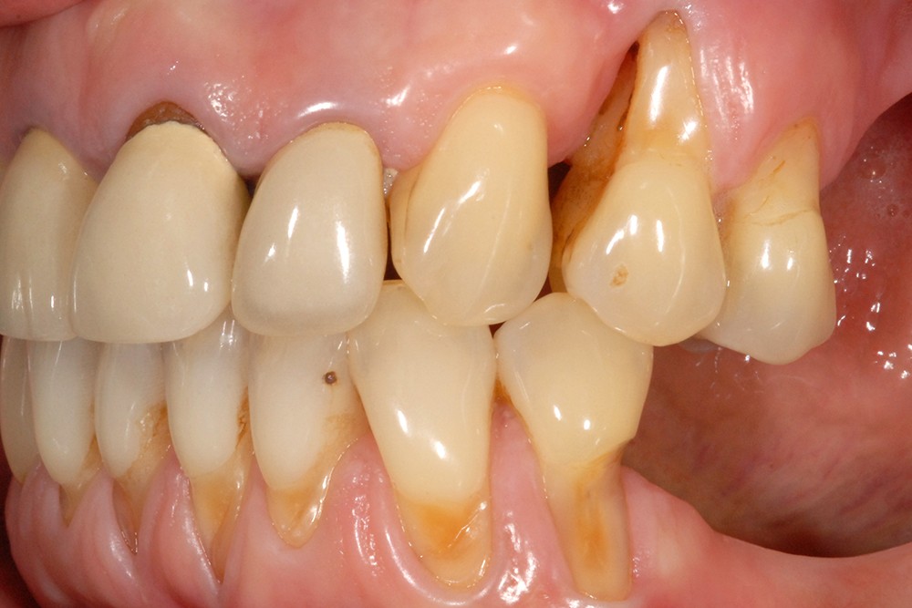
Elle correspond à la friction de deux corps solides en mouvement dont les surfaces sont en contact direct. Au niveau occlusal, lorsqu’elle prévaut sur les autres modes d’usure, l’attrition produit des surfaces planes, bien délimitées, à angles aigus, et parfois brillantes. Lorsque la dentine est exposée, elle se situe au même niveau que l’émail, sans aucune marge. Qu’elles soient localisées sur des tissus dentaires, des matériaux restaurateurs ou les deux simultanément, les facettes d’usure de dents antagonistes se correspondent en occlusion d’intercuspidie maximale (OIM) ou lors de faibles mouvements mandibulaires (fig. 1). Ces traces spécifiques, qui peuvent être locales ou globales, sont fondamentales pour mettre en évidence ce mode d’usure. L’origine de l’attrition est multifactorielle. Elle peut être liée aux contacts dento-dentaires furtifs et inconstants qui s’établissent lors de la déglutition et de la mastication, à des conditions occlusales particulières (édentation non compensée, malposition, malocclusion), à certaines parafonctions de l’éveil et, surtout, à un bruxisme du sommeil (fig. 2).
Abrasion
Elle correspond au déplacement de deux corps solides l’un contre l’autre avec interposition de particules abrasives qui constituent le troisième corps. Lorsqu’elle est généralisée à l’ensemble de la denture, elle est essentiellement liée à la charge abrasive du bol alimentaire qui affecte physiologiquement l’ensemble des faces dentaires lors de la mastication. Les surfaces d’usure sont émoussées, satinées, brossées, avec des limites de contour arrondies.
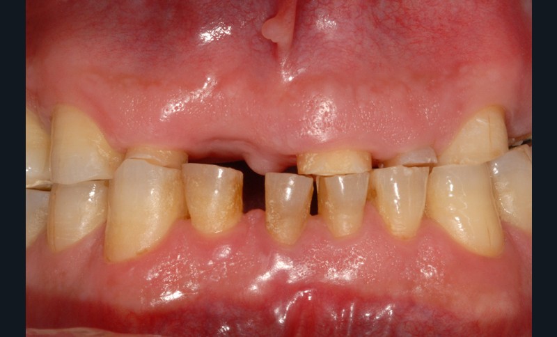
Lorsque l’abrasion est focalisée, en général au niveau cervico-vestibulaire, elle est essentiellement liée au brossage dentaire. Les particules abrasives contenues dans le dentifrice constituent le troisième corps qui s’interpose entre la brosse et les dents. Dans certains cas pathologiques favorisés par un environnement acide, la dentine radiculaire plus ou moins dénudée s’abrase fortement en cas de brossage iatrogène. D’importantes lésions cervicales non carieuses peuvent alors apparaître en peu de temps (fig. 3).
Abfraction
Lorsqu’une surface est soumise à de fortes pressions et qu’elle glisse le long d’une autre, des micro-cracks peuvent s’initier en subsurface puis se propager avec la répétition des cycles. Lorsque la propagation atteint la surface, des fragments de matériel assez important peuvent se détacher, ce qui se concrétise cliniquement par des lésions d’aspect cunéiforme, plus profondes que larges, encore appelées lésions d’abfraction (fig. 4). Bien que divers arguments cliniques et théoriques soient évoqués pour la justifier indirectement, la relation de causalité reste cependant spéculative. L’initiation et/ou l’élargissement de ces lésions seraient plutôt multifactoriels, liés à la combinaison des contraintes occlusales et du brossage dentaire, le tout dans un environnement acide.
Érosion
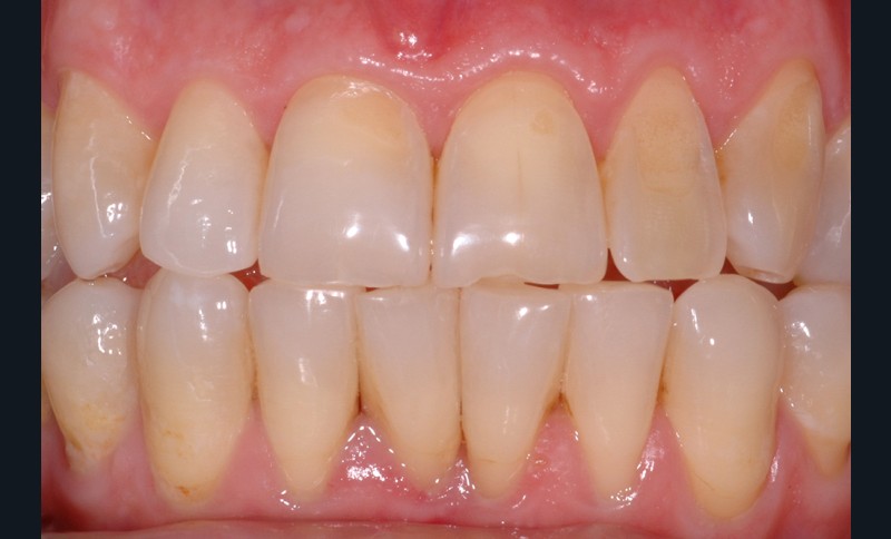
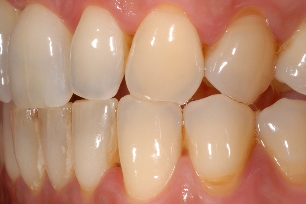
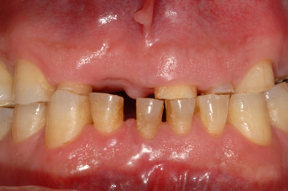
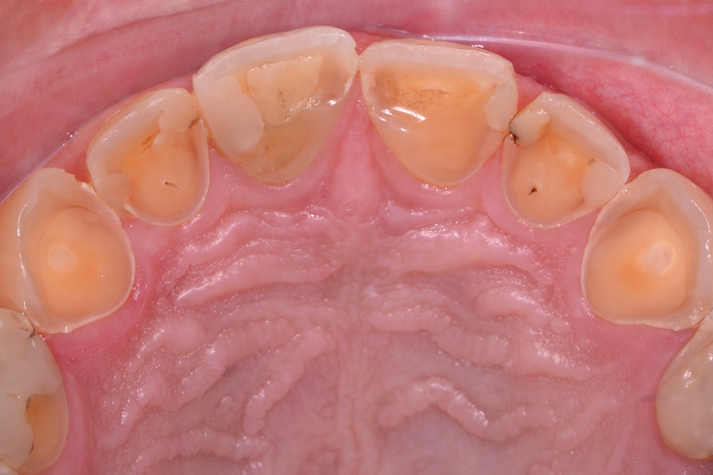
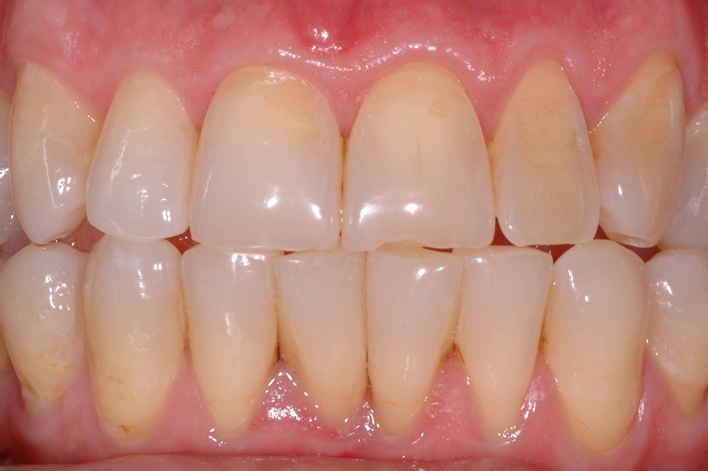
L’érosion survient lorsqu’une attaque chimique (solution acide, chélatant) rompt les liaisons intermoléculaires des tissus dentaires, potentialisant les différents autres modes d’usure mécanique (attrition, abrasion, abfraction) (fig. 5). L’aspect clinique des lésions érosives est polymorphe, mais, d’une manière générale, les surfaces sont lisses, en forme de cupules sur les sommets cuspidiens (fig. 6), de couleur satinée à terne. Les restaurations non affectées par l’environnement corrosif (amalgames, composites, alliages métalliques) surplombent généralement les surfaces amélaires et dentinaires adjacentes, alors que la morphologie dentaire est affectée. Les faces vestibulaires (fig. 7) et palatines (fig. 8) peuvent également présenter des lésions plus ou moins importantes, selon l’origine et le temps d’application de la source acide qui peut être d’origine extrinsèque (sodas, aliments acides) ou intrinsèque (sucs gastriques).
L’usure dentaire dépend de nombreux mécanismes complexes qui interagissent le plus souvent. Lorsqu’elle est considérée comme pathologique, la forme, la localisation, l’étendue, la couleur et l’éventuelle congruence des lésions sont autant d’indices qui doivent être couplés à certaines données anamnestiques pour tenter d’établir un diagnostic et, par-delà, prévenir leur évolution. Le recueil des données doit chercher à mettre en évidence une éventuelle surconsommation d’aliments acides et/ou abrasifs, un brossage dentaire iatrogène, un reflux gastro-œsophagien, un trouble du comportement alimentaire de type anorexie-boulimie, une parafonction de l’éveil et/ou un bruxisme du sommeil. Une fois que l’étiologie principale est identifiée, certaines mesures de restauration sont parfois indiquées. Dans tous les cas, elles doivent être le moins invasif possible et être couplées à certaines mesures de prévention.








Commentaires