1ers lauréat du grand prix Stratégie Prothétique 2020 avec le soutien institutionnel de Bredent
A. Rabiey, F. Chamieh, Chirurgiens-dentistes
A. Valadares, Prothésiste dentaire
La réussite des thérapeutiques ayant recours à la mise en charge immédiate repose sur une communication précise entre le patient, le praticien prothésiste, le prothésiste de laboratoire et le chirurgien. Les outils numériques peuvent faciliter cette communication entre les différents acteurs du traitement. Une planification prothétique adaptée et validée cliniquement par le patient permet ainsi de guider la chirurgie et d’optimiser les résultats de la thérapeutique, notamment en prothèse complète.
Objectif thérapeutique
Madame B. se présente à la consultation avec une demande esthétique fonctionnelle suite à des pertes dentaires multiples non compensées. La patiente de 71 ans se révèle être en bonne santé générale (ASA1), non fumeuse, sans traitement chronique ni antécédents médico-chirurgicaux.
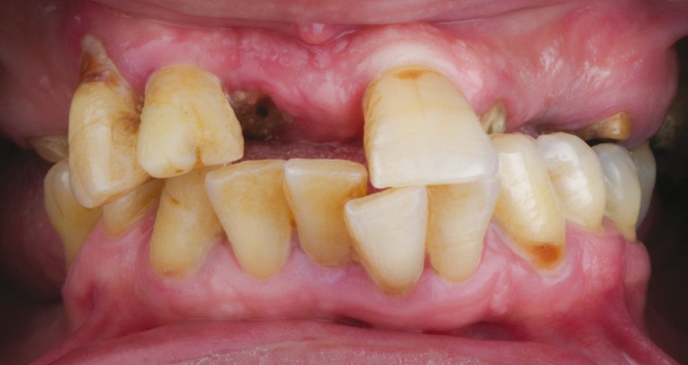
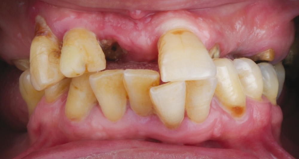
L’examen exobuccal montre une perte de dimension verticale d’occlusion (DVO) associée à un profil convexe et une biprochélie avec éversion de la lèvre inférieure (fig. 1).
À l’examen endobuccal, le sondage parodontal révèle une parodontite généralisée stade 4 grade A [1] caractérisée par des pertes d’attaches ≥ 5 mm, une alvéolyse au niveau radiographique > 50 % de la hauteur radiculaire, des pertes dentaires en raison de la maladie parodontale et des migrations secondaires dentaires.
L’analyse orthognatique crânio-faciale issue de la téléradiographie de profil confirme l’absence de décalage des bases osseuses (classe I squelettique), mais révèle une biproalvéolie aggravée par une forte vestibuloversion des dents antérieures conséquente aux pertes dentaires non compensées, à une déglutition dysfonctionnelle et à une hypotonie labiale.
Le pronostic dentaire général est mauvais [2], et la conservation des dents résiduelles n’est donc pas retenue (fig. 2).
Séquence clinique
Après thérapeutique parodontale initiale, et validation de la maîtrise du contrôle de plaque, la virtualisation complète statique et cinématique de la patiente est réalisée. Les données extra- et intraorales sont enregistrées. Pour cela, des empreintes optiques, une tomographie à faisceau conique (cone beam CT), un enregistrement numérique de la cinématique mandibulaire par le dispositif Modjaw, un scanner facial à l’aide de Bellus3D Pro et enfin un bilan photographique complet sont effectués (fig. 3).
Afin de proposer un projet prothétique esthétique idéal pour la patiente, une simulation du sourire est réalisée à l’aide du logiciel Smilecloud en se basant sur le bilan photographique : celui-ci établira l’esthétique idéale en 2D du sourire sans tenir compte des contraintes chirurgicales et anatomiques. Ce projet en deux dimensions servira de modèle pour établir un projet prothétique maxillaire 3D qui permettra de positionner, virtuellement puis cliniquement, le futur plan d’occlusion.
À partir de la position planifiée du plan d’occlusion, les futurs rapports intermaxillaires sont ensuite choisis à la fois cliniquement et à l’aide de l’enregistrement issu du modjaw : afin d’obtenir un équilibre des étages de la face après validation clinique, il est décidé d’augmenter la DVO de 5 mm en prenant comme référence l’enregistrement de la relation centrée, correspondant à une rotation pure des condyles selon l’axe charnière. Une maquette est alors réalisée afin de valider cliniquement l’augmentation envisagée.
Une fois l’esthétique et les nouveaux rapports intermaxillaires validés, le laboratoire conçoit par CAO (conception assistée par ordinateur) le projet prothétique idéal sur le patient virtualisé grâce à la superposition dans le logiciel Exocad des différents fichiers obtenus. Le scanner facial et l’arcade maxillaire sont superposés par technique de point dans le logiciel Bellus 3D Pro. Le rapport intermaxillaire, fixé à DVO augmentée de 5 mm, est importé depuis le logiciel modjaw (fig. 4).
Le projet prothétique idéal correspond, au maxillaire, à la planification virtuelle du sourire et est fonctionnalisé à l’aide de l’enregistrement issu de Modjaw ; bien qu’enregistrée, la cinématique mandibulaire de la patiente n’est cependant pas réutilisable en l’état car elle n’est pas physiologique : il est nécessaire d’effectuer une mise en articulateur virtuel entièrement personnalisé en reprenant les données anatomiques axiographiques enregistrées à l’aide du Modjaw (angle de Bennet, pente condylienne et distance du modèle par rapport à l’axe charnière) afin d’obtenir une simulation de la future cinématique mandibulaire la plus précise possible permettant de réaliser un projet prothétique dont l’occlusion est bilatéralement équilibrée.
La confrontation du projet prothétique idéal sur plan esthétique et fonctionnel et des volumes osseux révèle qu’une résection osseuse est nécessaire au maxillaire et à la mandibule, dans le but de masquer les lignes de transition prothétiques.
À ce stade, il est décidé à ce stade de réaliser en premier lieu la pose de quatre implants maxillaire combinés à une mise en charge immédiate ainsi qu’une temporisation type prothèse amovible résine à la mandibule avec coronoplastie de 45 et 35.
La planification implantaire est réalisée de façon à placer les implants selon le projet prothétique conçu conformément au protocole de « all-on-four » décrit par Malo et coll. [3-5]. Des piliers coniques angulés de 30° sont planifiés sur les implants 15 et 25 et 17° sur les implants 12 et 22.
Afin de s’assurer un maximum de concordance entre la planification et la mise en place des implants, des guides chirurgicaux de résection osseuse, de forage et de positionnement des implants sont réalisés ainsi qu’une prothèse provisoire totalement usinée dans un disque Zirkonzahn résine premium, choisi pour sa rigidité et évidée en regard des futurs implants. Le choix de la conception du guide chirurgical est imposé par la nécessité de résection osseuse.
Pour optimiser la précision chirurgico-prothétique, et faciliter les étapes de traitement, un guide à appuis osseux avec plusieurs étages est conçu : le premier étage constitue la base, à ancrage osseux sur lequel les différents éléments du guide, ainsi que la prothèse pourront reposer précisément (fig. 5).
Cette base permet également une résection osseuse précise. L’utilisation d’aimants au sein de sa structure permet d’assurer un bon maintien des différents éléments chirurgico-prothétiques.
Une fois la résection osseuse effectuée, un deuxième élément vient s’apposer sur celui-ci afin de guider le protocole de forage et la mise en place des implants.
Des marquages spécifiques au niveau du guide permettent d’indexer la position des implants au niveau des sites de 15 et de 25 pour assurer une mise en place précise des piliers coniques angulés correspondants à la planification.
La stabilité primaire des implants est évaluée à l’aide de résonnance magnétique. Le quotient de stabilité implantaire (ISQ) mesuré avoisine 70 en moyenne. Les piliers coniques sont alors vissés à un torque de 25N selon les données du constructeur et des piliers provisoires non indexés sont positionnés. La prothèse, évidée en regard des piliers provisoires en amont de la chirurgie, vient alors s’apposer sur le premier guide toujours en place, puis solidarisée aux piliers provisoires à l’aide la résine Bredent Qu-Resin dentin.
Une fois la prothèse solidarisée aux piliers provisoires, celle-ci est confiée au prothésiste pour affiner les profils d’émergence et polir l’intrados afin de limiter l’adhésion bactérienne (fig. 6).
Des sutures en U horizontaux permettent d’immobiliser les tissus au niveau des piliers coniques. Puis, des sutures en croix à l’aide de fils 6.0 monofilament résorbables autorisent une fermeture des berges en première intention.
Les extractions des dents résiduelles mandibulaires sont réalisées sans lambeau, de manière à optimiser la stabilité de la prothèse immédiate.
Les prothèses provisoires sont alors mises en place et une brève équilibration occlusale est réalisée, confirmant la bonne planification du projet prothétique et chirurgical. Les consignes postopératoires sont données à la patiente, en insistant sur la nécessité d’adapter la consistance des aliments afin de limiter les contraintes mécaniques sur la reconstruction prothétique.
La cicatrisation à deux semaines montre des tissus sains et une intégration optimale au niveau du sourire et du visage de la patiente. Une cicatrisation de quatre mois est prévue avant de réaliser une implantation avec mise en charge immédiate mandibulaire et prothèse d’usage maxillaire (fig. 7).
Conclusion
Lors de reconstructions complètes, le praticien prothésiste a un rôle prépondérant dans la compréhension des attentes du patient et la planification du projet prothétique.
La mise en charge immédiate, lorsqu’elle est possible, est un atout majeur facilitant l’acceptation, par le patient, de son édentation totale. Le recours aux prothèses fixes immédiates permet ainsi de valider la planification prothétique mais aussi d’éviter des contraintes mécaniques non maitrisées par prothèse amovible complète pouvant mener à des résorptions péri-implantaires.
Bien que la littérature scientifique ne révèle pas de différence en termes de taux de survie [6] par rapport aux techniques conventionnelles, la coopération active du patient est indispensable à la bonne conduite du traitement.








Commentaires