Diagnostic
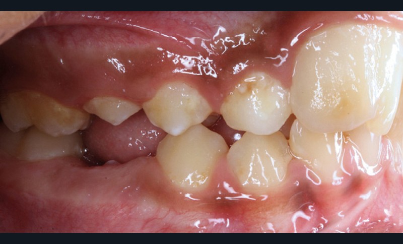
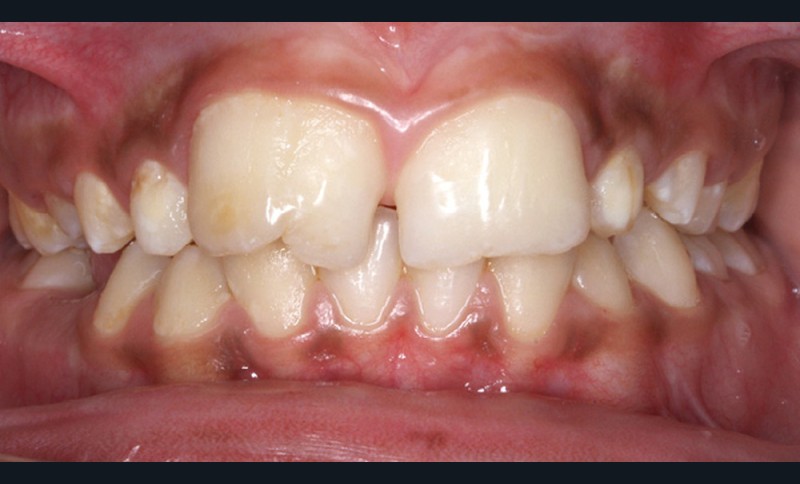
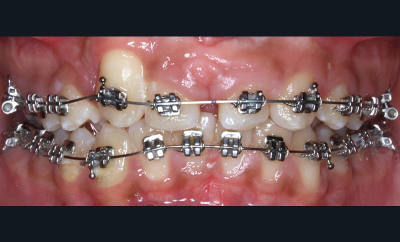
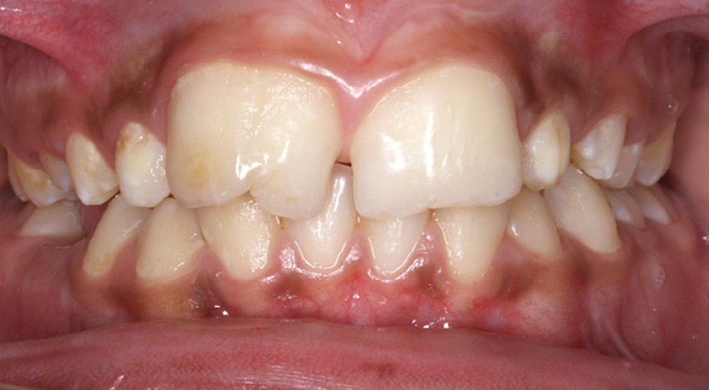
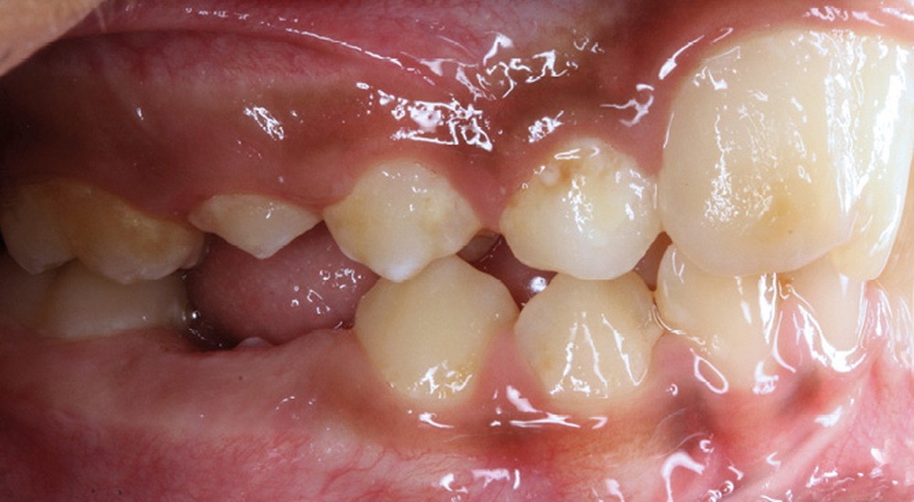
Antony, 11 ans se présente initialement pour une demande esthétique concernant ses deux incisives centrales qu’il trouve trop grosses (fig. 1a-c).
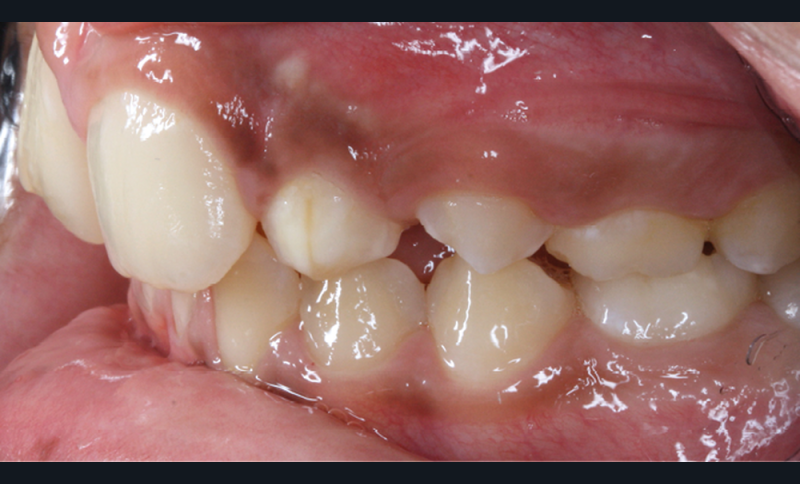
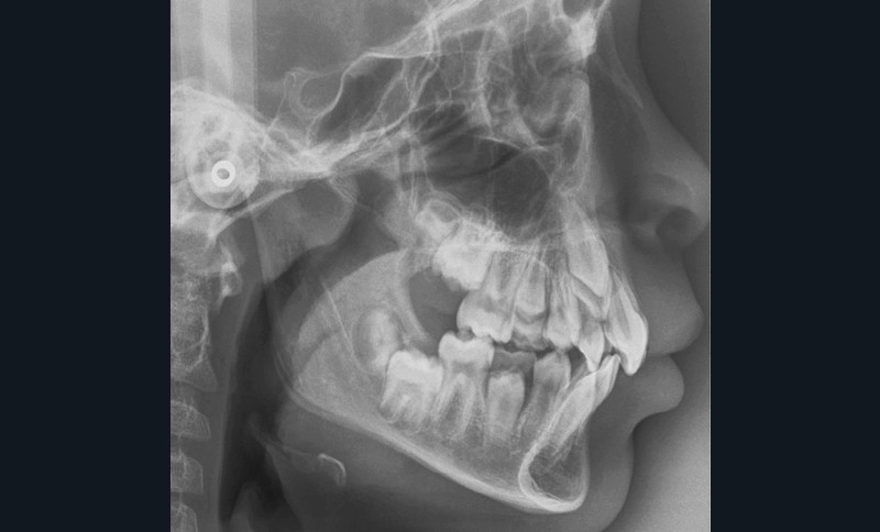
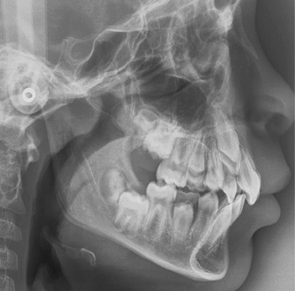
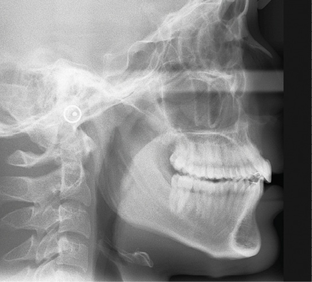
Le profil est convexe et associé à une inocclusion labiale au repos. Il s’agit d’une classe II squelettique sur un schéma facial normodivergent. Les rapports occlusaux sont de classe II bilatérale (complète au niveau molaire) avec des incisives inférieures vestibulo-versées. La 21 est géminée et la 11 vraisemblablement fusionnée avec un germe surnuméraire, sans altération de la formule dentaire. Du fait du diamètre mésiodistal fortement augmenté des incisives centrales, et du manque de place à l’arcade maxillaire qui en découle, les 12 et 22 sont en inversé d’occlusion en palato position. Les 53 et 63 sont persistantes sur l’arcade avec une inclusion en transposition incomplète de la 13, dont la cuspide se situe entre la racine de la 12 et celle de la 11 résorbée (fig. 1d-g).
Solutions thérapeutiques
L’aspect inesthétique des incisives maxillaires (avec une impossibilité de réduction amélaire suffisante du fait des diamètres mésio-distaux radiculaires augmentés) et le pronostic réservé de la 11 (résorption radiculaire marquée) conduisent à la décision d’extraire les deux incisives centrales [1].
Des alternatives thérapeutiques sont exclues pour différentes raisons [2] :
• Le remplacement de ces dents prothétiquement comporte plusieurs écueils :
– volume osseux diminué suite aux extractions ;
– délai avant la pose d’éventuels implants, du fait de l’âge du patient ;
– solution de temporisation prothétique complexe (bridge à portée trop importante ou prothèse amovible) ;
– gestion de la classe II dentaire nécessaire à l’issue de la désinclusion de la canine et de l’alignement de 12 et 22 qui allongerait d’autant le plan de traitement.
• La transposition n’étant qu’unilatérale, une substitution des centrales par les canines pourrait engendrer une résorption de la latérale lors du passage de la canine du côté non transposé.
• La proximité de la cuspide de la 13 du site futur de la 11 empêche une transplantation dentaire de prémolaire en début de traitement. De plus, ces gestes thérapeutiques peuvent se solder par des résorptions radiculaires et des nécroses des dents transplantées, alors que 11 et 21 sont déjà perdues.
Nous optons pour une fermeture des espaces d’extraction (12/22 en place de 11/21, 13/23 en place de 12/22). Cette solution se soldant par une classe II molaire thérapeutique en fin de traitement limite les corrections à apporter dans les secteurs latéraux, rendant le traitement moins chronophage qu’un traitement ayant cherché à solliciter la croissance mandibulaire et/ou à distaler les secteurs latéraux maxillaires. L’inconvénient principal de ce choix est la gestion esthétique post thérapeutique des substitutions au niveau prothétique et parodontal.
À l’arcade mandibulaire, une réduction amélaire proximale est décidée afin de limiter la version des incisives inférieures lors de l’alignement.
Traitement multi-attaches
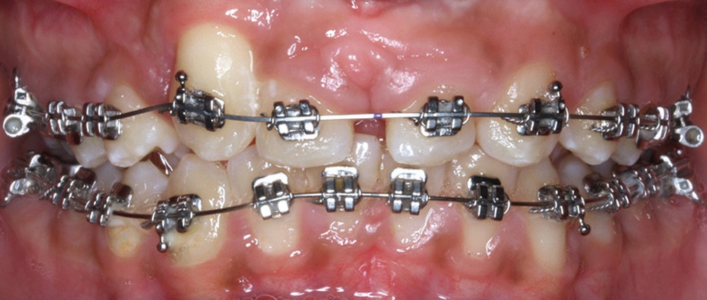
Dans un premier temps, l’extraction des 11 et 21 est réalisée. Un bouton est collé sur la 13, visible dans l’alvéole de la 11 afin de permettre sa désinclusion (fig. 2). La traction se fait à l’aide d’un arc TMA .016 x .022 en overlay afin d’avoir un axe de traction horizontal et vestibulaire évitant une résorption de la 12 à cette étape (fig. 3a,b) [3]. Ne pouvant pas mettre d’arc de Nance du fait de la position palatine des incisives latérales, il est convenu que des minivis d’ancrage peuvent être nécessaires si une perte d’ancrage postérieure est constatée (ce qui n’est pas le cas).
Une fois la 13 à l’aplomb de son alvéole, une traction verticale de cette dent peut être réalisée. La 12 n’est pas prise en charge avant la correction de la transposition afin de limiter le risque de résorption de cette dent. La difficulté est alors la gestion des torques antérieurs perturbés, liés aux déplacements réalisés.
Après avoir ménagé des espaces suffisants pour maquiller 12 et 22 en 11 et 21, des restaurations composites sont réalisées au sein du cabinet d’orthodontie sans tenir compte précisément des axes radiculaires, afin de rétablir le plus rapidement possible une esthétique acceptable.
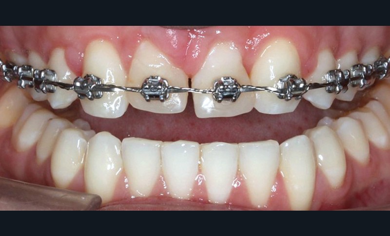
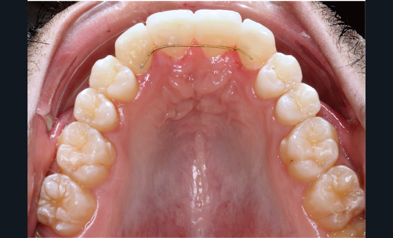
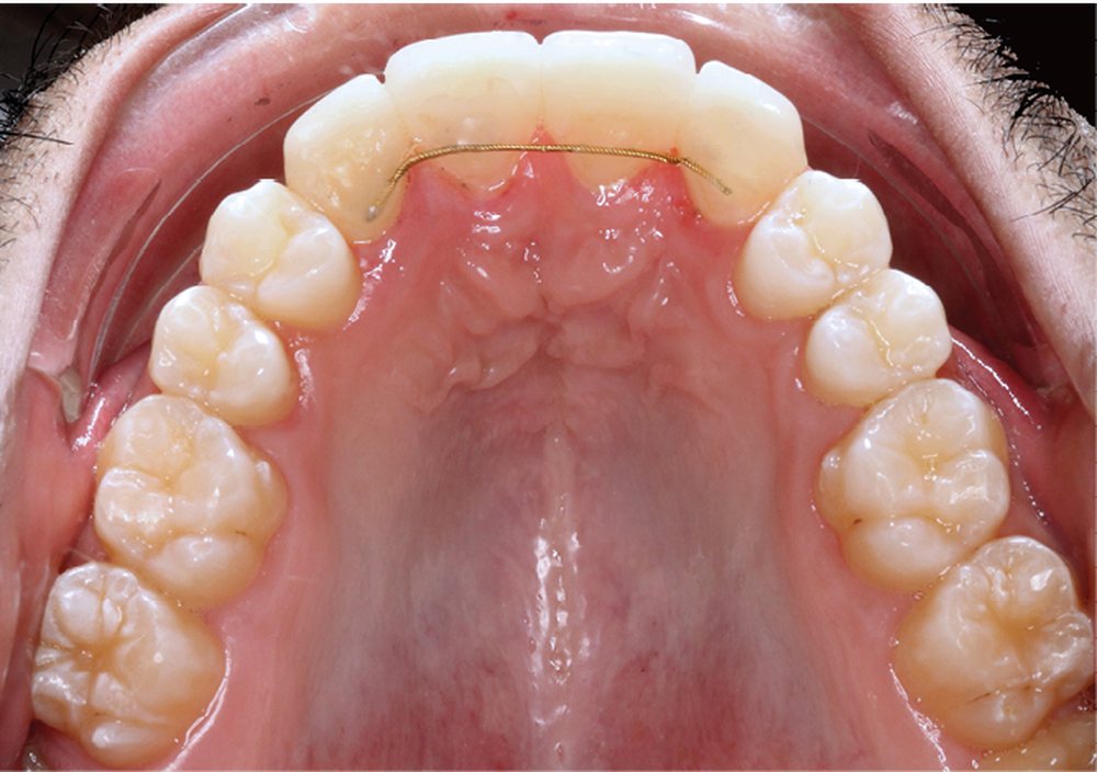
Le débaguage est réalisé au bout de 22 mois. Pour harmoniser la position des collets et redonner une hauteur coronaire acceptable aux nouvelles incisives centrales, une gingivectomie est effectuée, en accord avec le dentiste en charge des réalisations prothétiques. La croissance alvéolaire n’étant pas terminée, le rendu parodontal et esthétique évoluera. Ceci impose de différer la réalisation prothétique d’usage pour avoir un résultat stable dans le temps. Il est donc convenu de reprendre le traitement juste avant de réaliser les étapes prothétiques. Le traitement orthodontique comportant deux phases, les objectifs de finitions de la première phase sont abaissés pour réduire la durée globale de traitement.
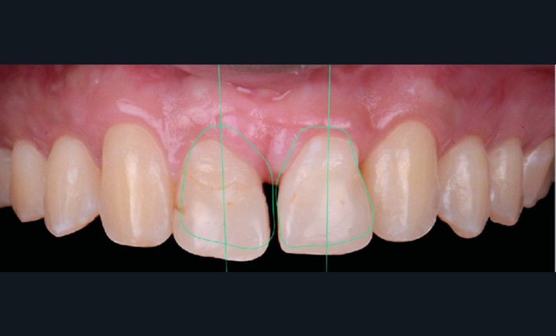
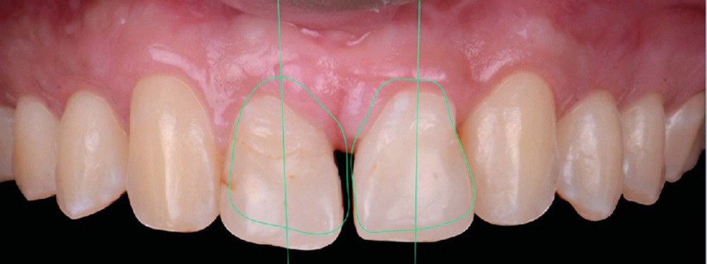
Une fois la croissance alvéolaire terminée, le patient est réadressé à son chirurgien-dentiste pour définir précisément, à l’aide d’une prévisualisation informatique (Digital Smile Design), quelle position dentaire et gingivale est recherchée pour les quatre dents antérieures (fig. 4 a,b) [4]. Le torque et le tip sont particulièrement importants à corriger dans cette phase de reprise de traitement (de quelques mois) car la position des collets et la conservation tissulaire en dépendent fortement.
Les restaurations composites transitoires réalisées au cours du premier traitement cherchant à restaurer l’esthétique de 12 et 22 masquent l’asymétrie de correction des axes radiculaires. La lecture des informations du deuxième et du troisième ordre est ainsi faussée par l’anatomie coronaire perturbée. Une individualisation par plicature est donc nécessaire pour s’approcher au mieux de la prévisualisation, avec pour seuls guides les axes radiculaires radiologiques et la position des collets souhaités (fig. 4a,b).
Discussion
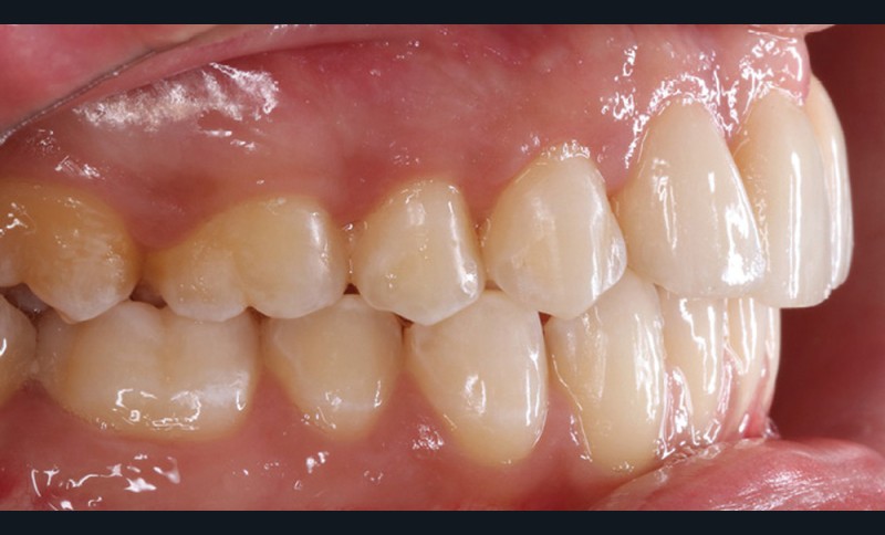
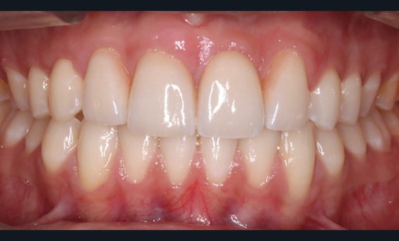
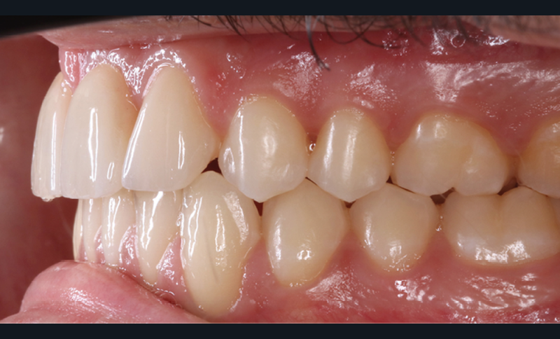
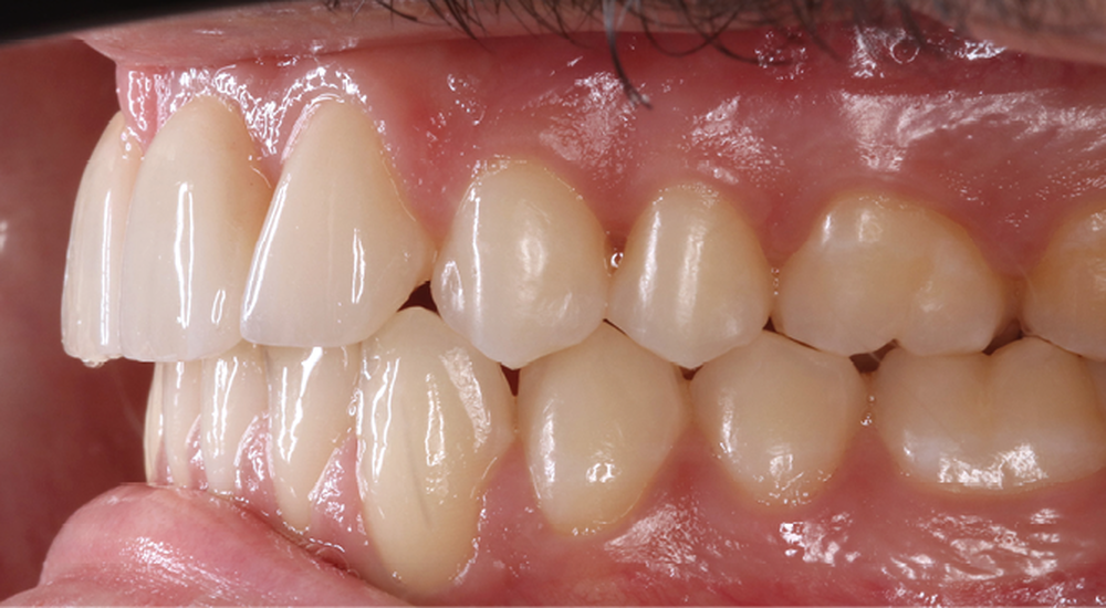
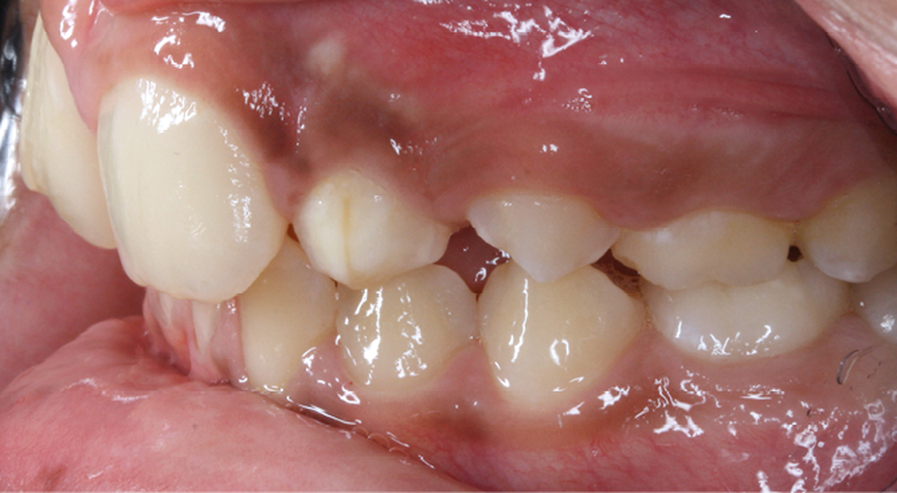
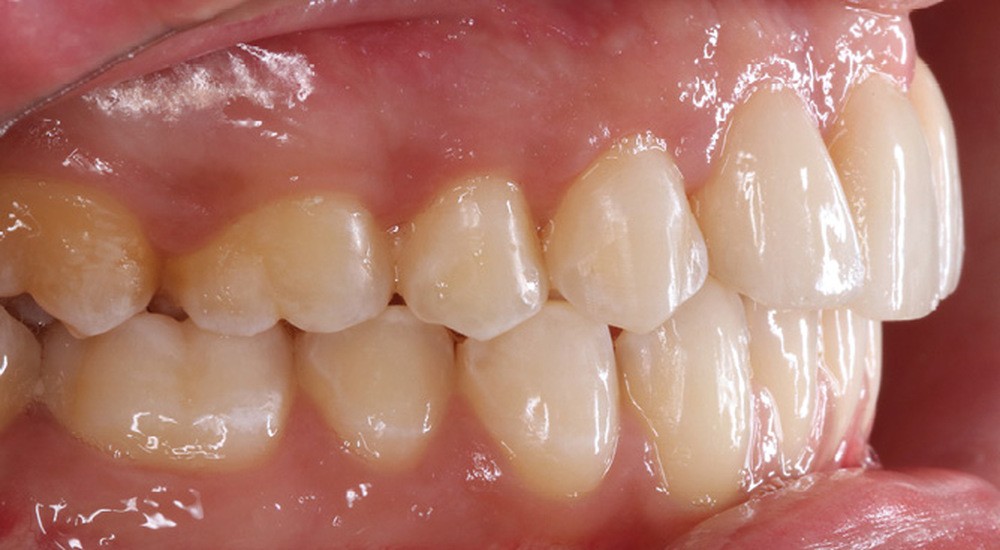
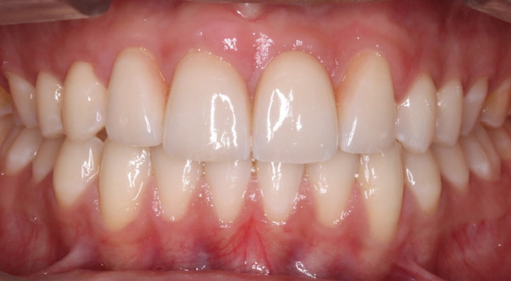
Plusieurs difficultés ont été rencontrées durant le traitement. L’impact psychologique des extractions d’incisives centrales a été lourd pour le patient, dont la promesse d’un sourire harmonisé a permis de surmonter cette épreuve. Ensuite, la gestion de la transposition était délicate. Il a fallu également accepter un rendu esthétique perfectible jusqu’à la fin de la croissance. La gestion de la dysharmonie dento-parodontale au niveau des incisives latérales et des canines était essentielle ; une correction parodontale et orthodontique, en jouant sur les informations de deuxième et troisième ordres, a permis une transition esthétique optimisée. L’outil de prévisualisation Digital Smile Design s’est en ce sens avéré très utile pour définir les impératifs propres à la prothèse (fig. 4a,b). Des frais pour la parodontie et la prothèse se sont enfin ajoutés aux dépenses orthodontiques (deux phases de traitement). Le rendu esthétique est satisfaisant en fin de traitement, avec une harmonisation du sourire et du profil (fig. 5 et 6). Les extractions n’ont pas appauvri le sourire. La qualité des réalisations prothétiques, l’environnement parodontal remanié et l’occlusion de fin de traitement font espérer un bon devenir dans le temps.
Conclusion
La situation initiale étant rare et complexe, la décision thérapeutique difficile et anxiogène. La communication entre les différents intervenants a été essentielle au bon déroulement du traitement, pour fixer les possibilités et les limites de chacun. La récompense dans ce traitement est l’obtention d’une esthétique naturelle associée à une occlusion fonctionnelle. Ce type de cas confirme, s’il en était besoin, l’intérêt et la pertinence médicale de l’orthodontie, spécialité au carrefour des autres spécialités odontologiques.



















Commentaires