Grand Prix l’orthodontiste – Orthoplus
Premier lauréat ex aequo
Catégorie adultes
Capucine Luca, Spécialiste qualifiée en orthopédie dento-faciale, Rennes
La prise en charge des récidives d’encombrement chez l’adulte est un sujet récurrent dans nos cabinets. Ces traitements nécessitent parfois d’extraire une ou plusieurs dents. La gestion de l’extraction d’une incisive mandibulaire peut s’avérer compliquée car elle entraîne une dysharmonie dento-dentaire.
La gestion d’une dysharmonie dento-dentaire (DDD) est facilitée par l’utilisation d’appareil lingual individualisé grâce au set-up initial. Celui-ci permet de déterminer la quantité de stripping à réaliser dans des cas de DDD par excès.
Présentation du cas
Charline, 23 ans, se présente en consultation car elle est gênée par une récidive de son encombrement antérieur mandibulaire. Étant jeune, elle a déjà eu un traitement orthodontique sans contention.
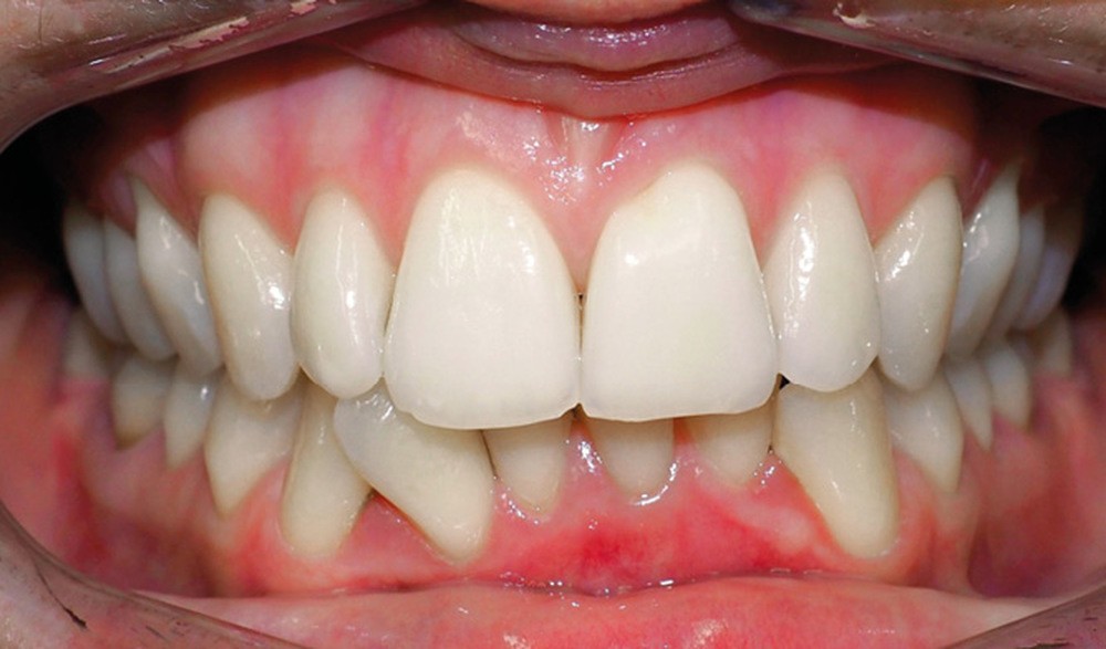
Examen exo-buccal (fig. 1a-c)
De face, elle présente un visage ovalaire et des étages équilibrés. Le sourire est juxta-gingival avec une déviation du milieu maxillaire à droite.
Le profil est droit, avec un angle naso-labial ouvert et la coaptation labiale est obtenue par contraction des muscles mentonniers.
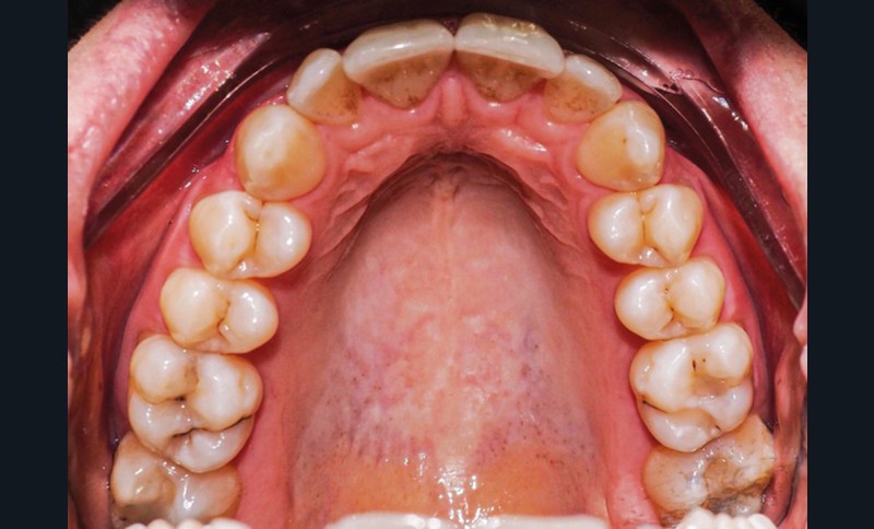
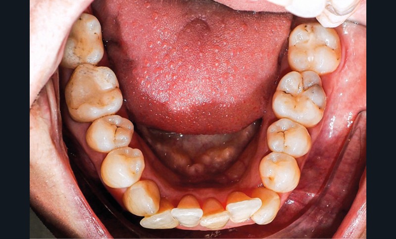
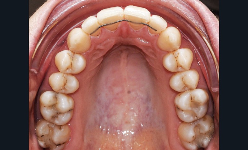
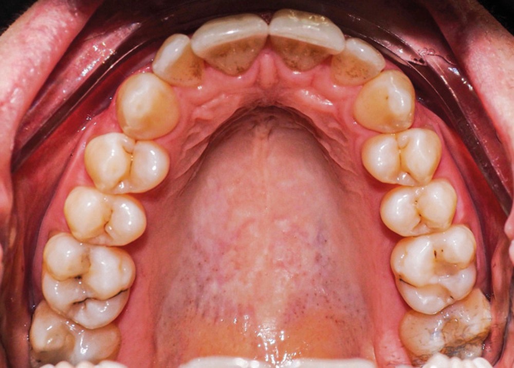
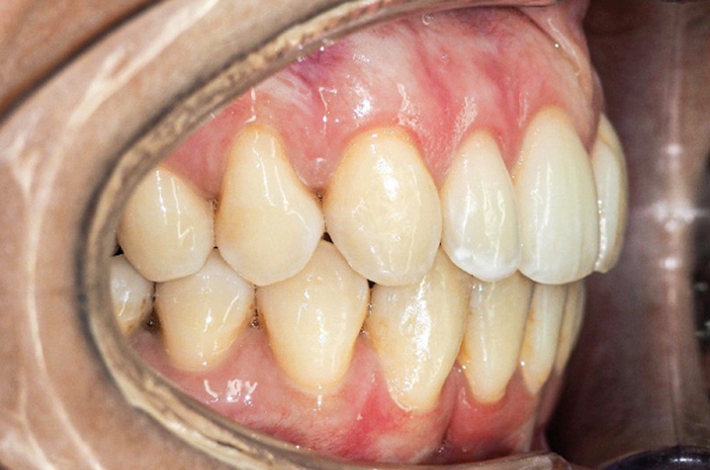
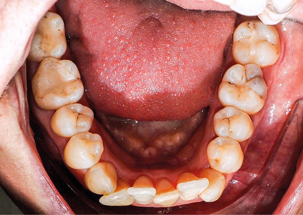
Examen endo-buccal (fig. 2a-e)
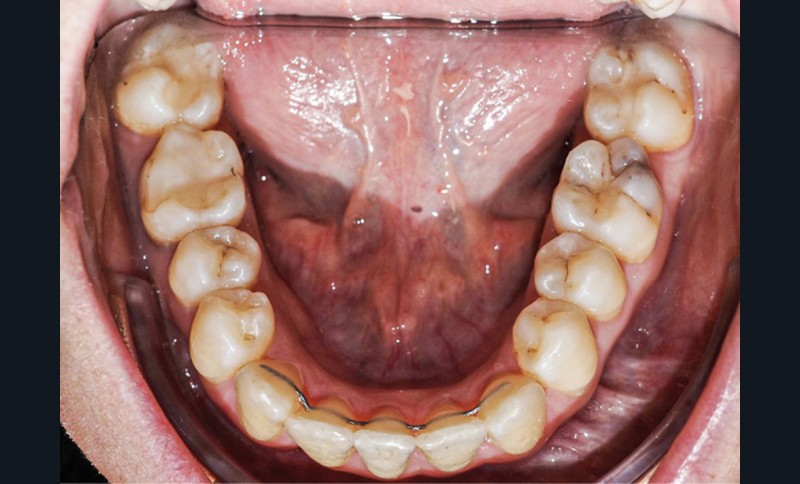
L’arcade maxillaire est parabolique, la 12 présente une légère mésio-rotation. L’arcade mandibulaire est également parabolique avec un encombrement antérieur estimé à 6 mm. On note une dyschromie de la 31, dont le test de vitalité est négatif. Le parodonte est fin.
En occlusion, on note une relation de Classe I molaire bilatérale avec un surplomb normal et une supraclusion. Les médianes incisives sont concordantes.
Les incisives maxillaires sont de forme triangulaire [1] et l’indice de Bolton est de 97 % qui traduit la présence d’une DDD par excès mandibulaire.
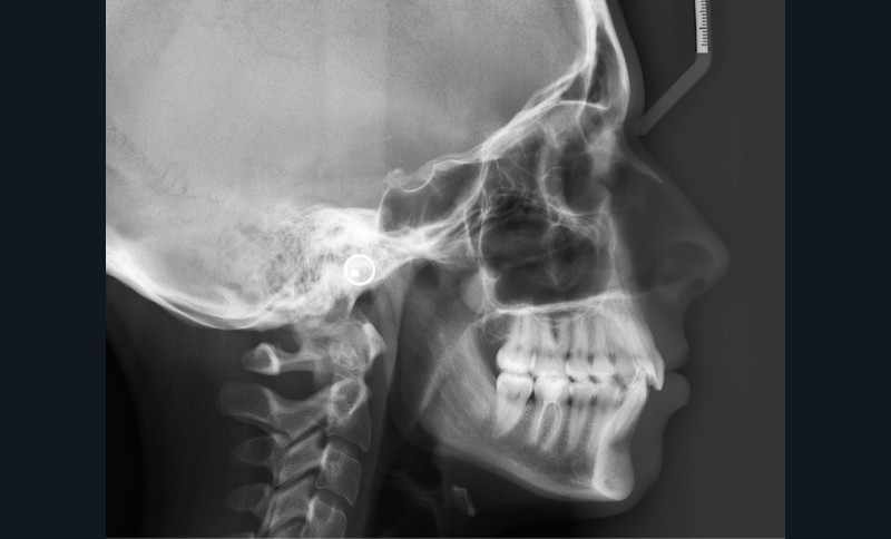
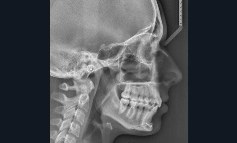
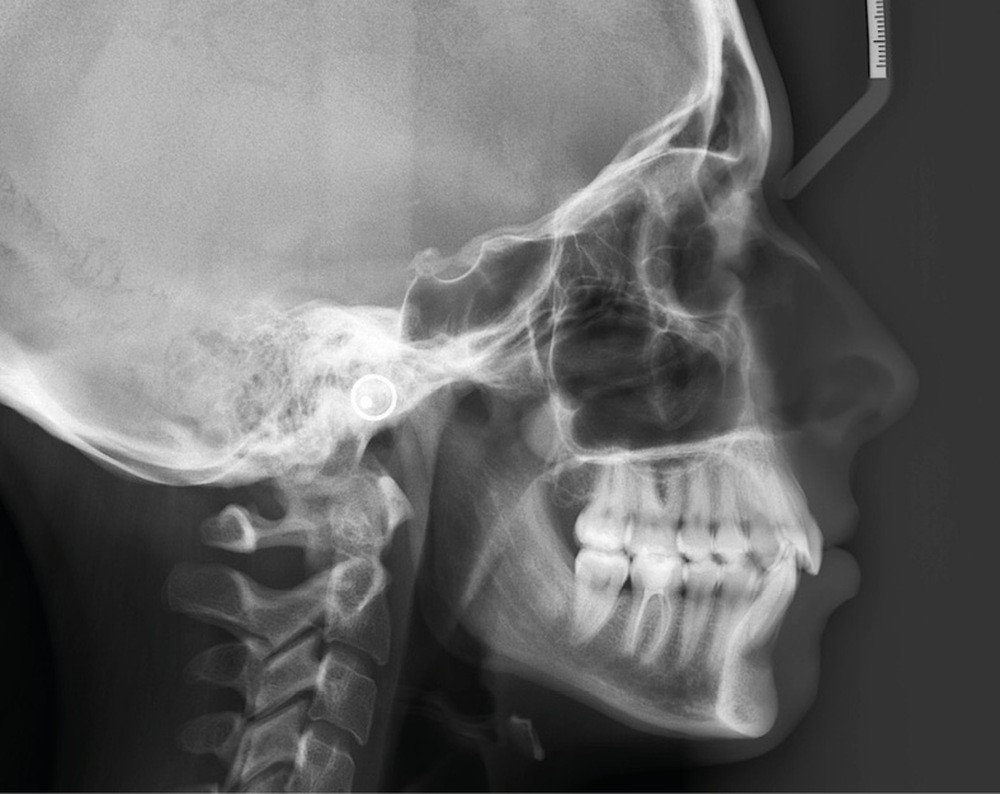
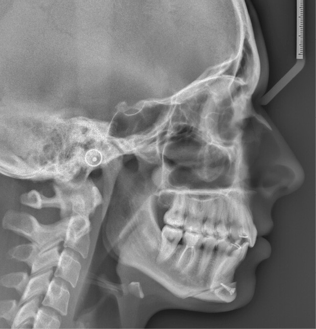
Examens complémentaires (fig. 3a,b)
À la radiographie panoramique, 31 présente une importante image apicale, confirmée par une radiographie rétroalvéolaire et également visible sur la téléradiographie de profil.
Cette dernière montre un schéma squelettique de Classe I et une typologie verticale normodivergente. Les rapports incisifs sont normaux et l’épaisseur des tissus mentonniers est insuffisante pour obtenir la fermeture buccale sans contraction. La symphyse est fine et l’incisive est centrée sur celle-ci.
Plan de traitement
Plusieurs traitements ont été évoqués. Les extractions de prémolaires ont été écartées d’emblée : l’encombrement était trop faible, les troisièmes molaires étaient absentes et la 46 présente un soin volumineux. Une résolution de l’encombrement par stripping a été évoquée puis refusée devant l’incertitude du pronostic à long terme de la 31.
Le choix final s’est donc porté sur l’extraction de la 31 avec stripping maxillaire. Ce stripping avait deux objectifs : corriger la DDD créée par l’extraction de 31 (indice de Bolton de 90,8 % post extraction, soit une DDD par excès maxillaire) et éviter l’apparition de triangles noirs entre les incisives maxillaires liée à leur forme triangulaire [1]. Le set-up réalisé en début de traitement lingual est un avantage car il permet de prévisualiser la correction de la DDD créée et la quantité de stripping nécessaire.
Afin de corriger la contraction des muscles mentonniers, une génioplastie a été proposée et réalisée.
Traitement multi-attaches
Le traitement a été réalisé à l’aide d’un multi-attaches bimaxillaire WIN (attaches linguales .018 x .025 individualisées en arc ribbon-wise).
Après extraction de 31, la fermeture d’espace a été réalisée par mésialisation de 41 sur arc NiTi rond .014. Une fois la 42 accessible, une prise en charge de la dent s’est faite à l’aide d’une attache 2D (Forestadent) puis l’attache WIN a été collée quand la face linguale a été accessible. Une ingression des incisives mandibulaires a permis de corriger la supraclusion. Cette ingression a été réalisée seulement à l’aide des arcs [2].
Du stripping a été effectué de 13 à 23, à l’aide de fines fraises diamantées.
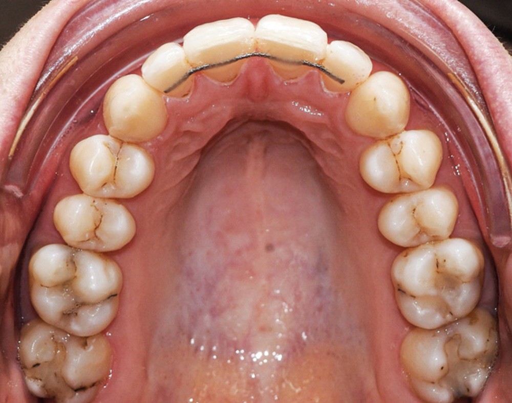
Après dépose du multi-attaches, des contentions collées ont été posées de 12 à 22 et de 33 à 43 et des gouttières thermoformées ont été ajoutées en complément en cas de problème avec les fils de contention.
Discussion (fig. 4 à 7)
La durée du traitement a été de vingt-trois mois. Des mouvements lents ont permis un contrôle des axes incisifs mandibulaires.
Le stripping maxillaire a permis :
- de rééquilibrer les dimensions entre les incisives centrales et latérales (DDD initiale par insuffisance maxillaire) ;
- d’éviter l’apparition de triangles noirs entre les incisives [3] ;
- d’éviter la présence d’un surplomb résiduel.
Des triangles noirs sont apparus à la mandibule suite à l’extraction de 31 : ils ne sont pas exposés lors du sourire, ce qui n’entraîne pas de défaut esthétique.
La génioplastie discrète apporte un équilibre facial et une fermeture labiale non forcée, ce qui limite le risque de récidive liée à la pression musculaire.
La superposition des structures anatomiques nous montre une ingression de l’incisive mandibulaire et un maintien de l’axe ainsi qu’une distalisation en gression de l’incisive maxillaire.
Conclusion
L’extraction d’une incisive mandibulaire, pouvant être perçue comme un traitement de compromis, reste un traitement de choix pour des situations d’encombrement mandibulaire sans encombrement maxillaire. L’utilisation d’une technique linguale individualisée a permis un contrôle des axes et des torques incisifs et un stripping anticipé à l’aide du set-up initial.
















Commentaires