Grand Prix éditorial ID 2023, L’implantologie numérique, maintenant et demain
1er cas lauréat 2023
Objectif thérapeutique
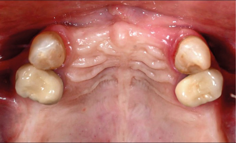
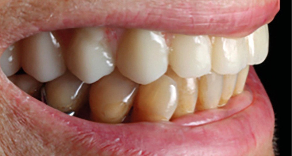
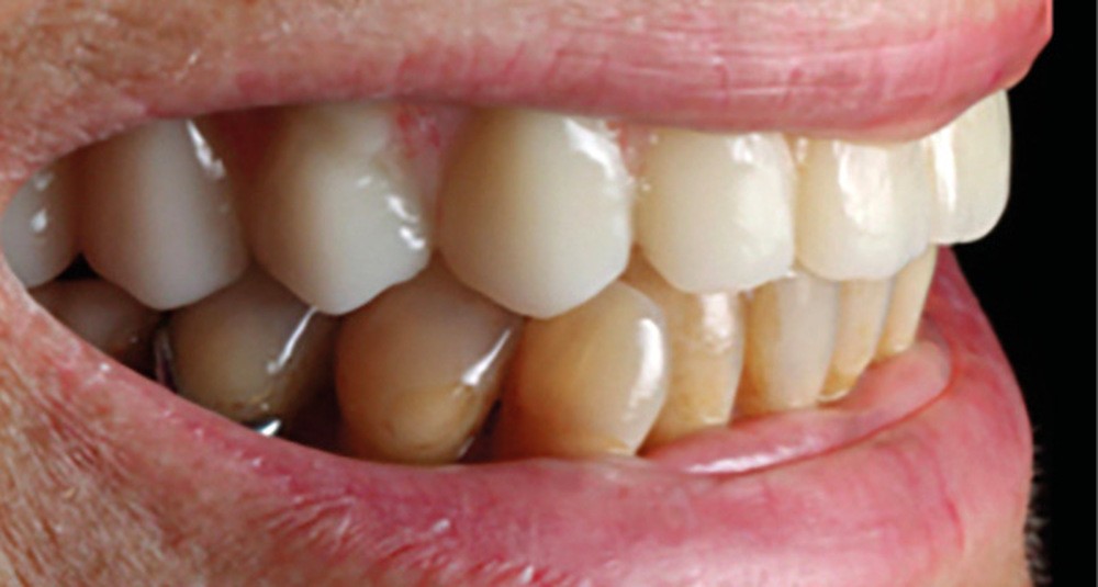
Une patiente de 62 ans, non fumeuse Asa1, porteuse d’une prothèse amovible partielle (PAP) mandibulaire et maxillaire, souhaite bénéficier d’une solution fixée. Il persiste au maxillaire 13, 23, 14 et 24, associées à une forte résorption type FP3 [1, 2] (fig. 1).
Dans un premier temps, un double sinus lift et une nouvelle PAP maxillaire ont été réalisés afin de valider le futur point interincisif et de stabiliser l’occlusion. Les dents restantes ont été conservées afin d’optimiser la stabilité de la PAP pendant la période de cicatrisation et de les utiliser dans un protocole d’extraction-implantation avec mise en charge immédiate en utilisant des guides à étages. Cela permet d’éviter une greffe antérieure 3D complexe associée à un Nasal lift.
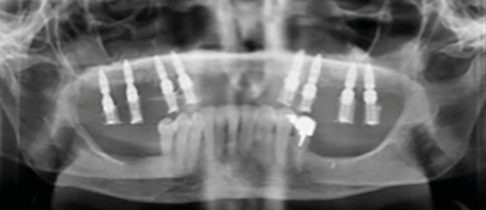
Le matching classique avec les fichiers STL et Dicom fut imprécis. La technique inspirée du « double scan » à l’aide de points radio-opaques sur la PAP provisoire maxillaire et d’un double CBCT a permis d’obtenir un matching extrêmement précis et la conception d’un projet prothétique numérique (Nemotec) associé à un Smile design (fig. 2). La modélisation 3D et le CBCT ont permis d’élaborer une planification implantaire, des guides à étages et un bridge complet provisoire en PMMA usiné (Biotech). La planification de 8 implants au niveau des 7/6/4/3 en fonction du volume osseux disponible et du projet prothétique virtuel a confirmé la possibilité de proposer un traitement sans greffe antérieure (fig. 3).
Séquences cliniques
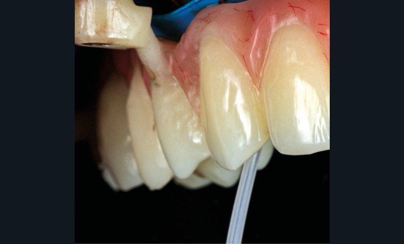
La première étape du protocole des guides à étages (Your3DGuide) est la connexion du guide de positionnement à appui dentaire à la base crâniale métallique hors de la bouche (fig. 4). Cette dernière sera fixée à l’aide de vis transmuqueuses vestibulaires et palatines (fig. 5). Nous avons choisi ce système car la base titane est frittée par laser, ce qui lui conférerait une précision d’adaptation et une rigidité supérieure à une base résine tout en conservant une faible épaisseur. Sur cette base vont se visser les autres étages assurant une stabilisation et évitant un éventuel mouvement lors du forage (et lors de la solidarisation du provisoire).
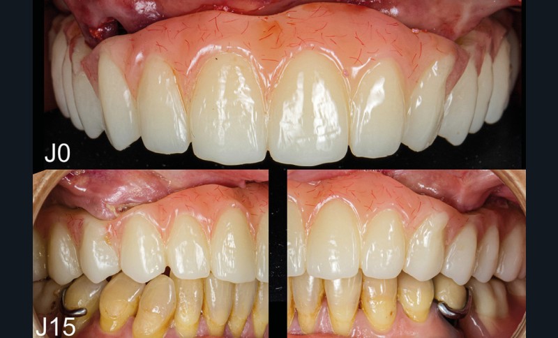
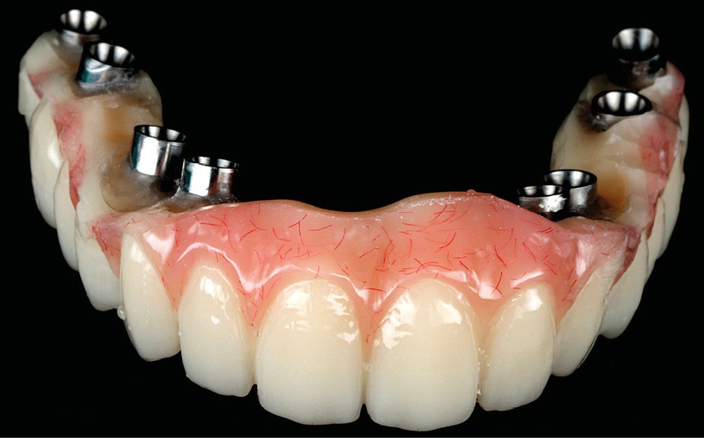
Après une extraction atraumatique des dents résiduelles, nous passons au 3e étage qui est le guide de forage stéréolithographique. La séquence de chirurgie Full guided est passée et les implants ont été torqués entre 40 et 50N.cm2 (fig. 6, 7, 8). Cette stabilité primaire dans les sites d’extraction et des sites greffés a permis la mise en charge immédiate du bridge complet provisoire. Des études cliniques [3, 4, 5] ont montré que la mise en charge immédiate dans les sinus greffés ne pose aucune contre-indication. Le 4e étage est donc celui du bridge provisoire transvissé à l’étage de base et solidarisé en bouche par l’intermédiaire de cylindres provisoires sur piliers MUA, avec une colle duale (GC-LinkForce). L’espace entre les implants et l’alvéole a été comblé par une xénogreffe (Bio-Oss Geistlich). Les profils d’émergence sont travaillés et parfaitement polis. Enfin, le bridge est mis en place, torqué à 20.cm2, équilibré et les consignes postopératoires ont été rappelées à la patiente (fig. 9 et 10).
Conclusion
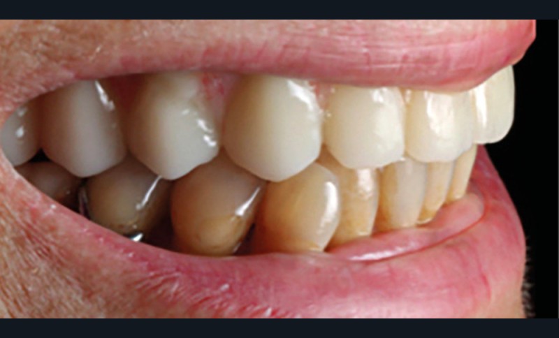
Notre approche globale dans la gestion de ce cas clinique avec l’aide du flux numérique et l’utilisation des guides à étages nous a permis de traiter cette patiente avec succès, sérénité et de rendre son traitement prévisible.























Commentaires