2es lauréat du grand prix Stratégie Prothétique 2020 avec le soutien institutionnel de Bredent
Y. Gastard, Prothésiste dentaire
W. Goubin, P. Limbour, Chirurgiens-dentistes
La mise en charge immédiate pour l’édenté total requiert une planification protocolaire implanto prothétique rigoureuse. La communication au sein de l’équipe thérapeutique (chirurgie implantaire, clinique prothétique et laboratoire de prothèse) est primordiale. Elle permet une approche pré opératoire impérative globalisée et optimisée par l’apport du numérique. Cet outil de dernière génération, aux nombreux atouts, fédère tous les acteurs de cette prise en charge. Les fichiers numériques multidisciplinaires, inhérents au plan de traitement, tissent de véritables liens entre les protagonistes. Il en résulte davantage d’ergonomie et d’efficience.
La réhabilitation complète présentée ci-dessous s’inscrit dans un flux numérique, démontrant ces avantages. Elle puise son originalité, d’une part dans le concept Trefoil NobelBiocare (barre en Titane préfabriquée sur trois implants [1] autorisant une mise en charge immédiate d’un pilotis d’usage) nécessitant de cibler le patient présentant une configuration clinique en adéquation avec ce matériel implantaire, et d’autre part dans l’optimisation du protocole grâce au numérique. Cone beam, scans faciaux, montage directeur digital, copie virtuelle de l’armature, présentent de nombreuses cartes numériques qui, « superposées » les unes aux autres (matching), actent une étude virtuelle de faisabilité très ergonomique. Ainsi, chaque acteur de l’équipe contribue à la construction numérique de cet édifice thérapeutique, facilitant les échanges pluridisciplinaires.
Présentation du cas clinique
Le patient, édenté total, souhaite une réhabilitation maxillomandibulaire avec une forte demande de fixité pour sa prothèse inférieure. La topographie symphysaire [2], validée par un cliché numérique, nous ouvre l’opportunité d’une mise en charge immédiate d’un bridge sur pilotis type Trefoil, confirmée ultérieurement par le montage directeur (fig. 1) [3].
Une prothèse amovible complète ostéo- muco-portée est prescrite au maxillaire.
Séquences numériques pré opératoires
Empreintes primaires numériques [4] suivies d’empreintes secondaires anatomo fonctionnelles physiques autorisent la confection de bases d’occlusion, permettant les enregistrements de la DVO et relation maxillo-mandibulaire. Le flux numérique complet peut être lancé [5] ! Transfert sur articulateur virtuel et scans faciaux permettent la conception personnalisée assistée par ordinateur de l’incontournable montage directeur (Digital Denture, Ivoclar Vivadent) afin de répondre aux exigences esthétiques et fonctionnelles du patient.
Point fort : le montage virtuel peut être transposé in situ dans la bouche virtuelle du patient, permettant une approche esthétique plus pertinente (fig. 2). Des gabarits (ProArt Cad Try in), ébauches des futures prothèses, sont usinés pour validation clinique du projet prothétique.
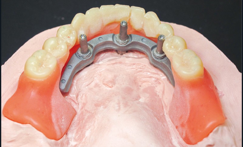
La planification virtuelle implantaire s’ensuit. Une fois encore, le numérique conforte ses atouts. Les matchings, sous réserve d’une parfaite correspondance, offrent une multitude d’informations optimisant la parfaite concordance entre anatomie osseuse, implants (3 CC RP 5×11,5mm), barre Trefoil et montage directeur (fig. 3). Cette somme d’informations permet alors de visualiser la barre Trefoil au travers du montage directeur.
La prothèse mandibulaire virtuelle recouvre parfaitement la barre digitale et les puits de vissage se trouvent en lingual des dents prothétiques. Cette prothèse pourra donc être conservée en tant que bridge d’usage, ce dernier étant dupliqué en guide radio-chirurgical implantaire de première intention. Turbine, contre-angle et cheville sont connectés en haut débit !
Séquences physiques pré opératoires
La fabrication assistée par ordinateur (Zenotec Select, Ivoclar Digital) des prothèses amovibles complètes est assurée par un usinage des bases monochromiques (Ivobase Cad) associées à des arcades polychromiques (SR Vivodent Cad Multi). La notion de travail sans plâtre prend toute sa dimension.
Un maquillage par stratification photopolymérisée finalise la prothèse maxillaire muco-portée.
La prothèse mandibulaire, futur bridge d’usage [6], est évidée en lingual afin de visualiser et contrôler le positionnement de la barre. Temporairement, le volet vestibulaire et les trigones sont conservés, ainsi que les 7, pour assurer une sustentation et occlusion optimales lors de la solidarisation clinique.
Séquence chirurgicale
La phase chirurgicale démarre avec une levée de lambeau puis une régularisation crestale afin d’offrir un « large » plateau osseux. Les forages sont assurés par le guide de première intention suivi des différents guides de la trousse Trefoil (fig. 4). Un premier essai est concrétisé : la barre est vissée puis la prothèse est insérée pour contrôle d’absences de contraintes entre les parties. Des meulages sélectifs sont possibles.
Mise en charge immédiate
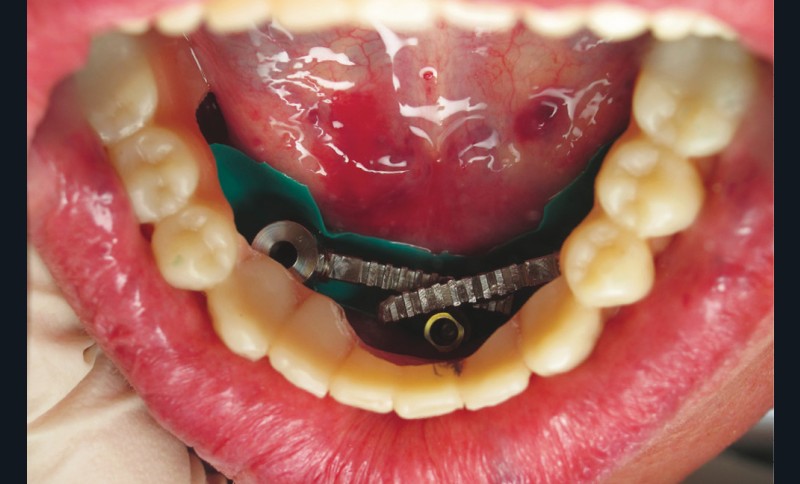
Après sutures, une digue de protection est positionnée à la base des transferts d’empreinte, qui sont ensuite indexés avec une résine type PiKu Plast. La prothèse est replacée puis solidarisée à la clé d’indexation implantaire, après vérification de l’occlusion (fig. 5). Une injection en silicone parfait l’enregistrement des tissus mous. L’ensemble est dévissé et transmis au laboratoire pour finition. Vissage des analogues et coulée de l’empreinte procurent une réplique au laboratoire de la situation clinique.
Après démontage et nettoyage du dispositif implantoporté, la barre Trefoil est vissée passivement [7] sur ses analogues grâce à un mécanisme judicieux de rotules compensatrices. Un dernier contrôle de coaptation barre/prothèse est réalisé (fig. 6). L’ensemble est sablé et solidarisé par une résine chémopolymérisable. Après polymérisation, suppression des extensions, aménagement des accès prophylactiques et maquillage composite par addition acté, le bridge d’usage est mis en charge immédiatement (fig. 7).
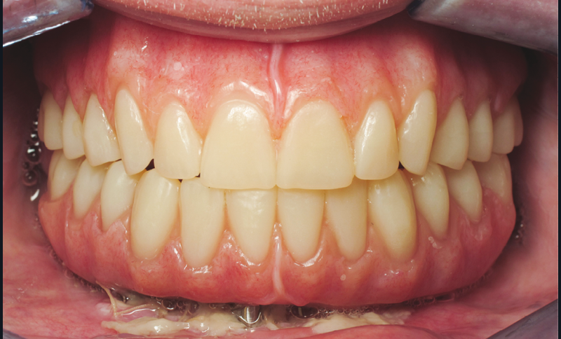
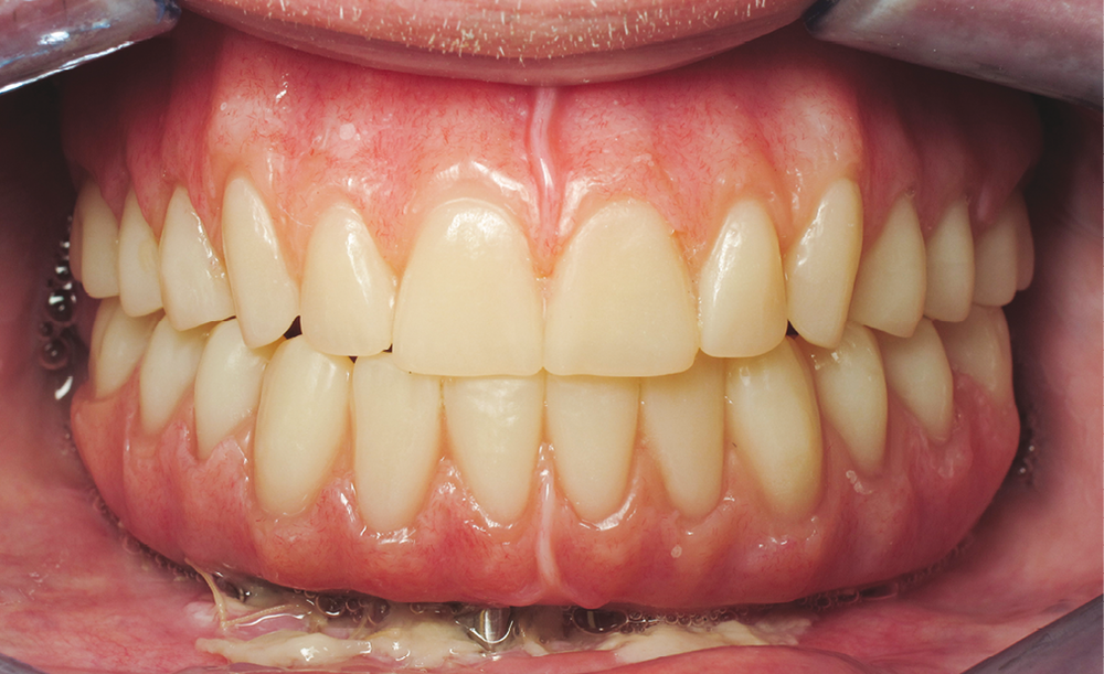
L’occlusion et les accès prophylactiques sont de nouveau contrôlés. S’ensuivent les séquences de maintenance classiques. Un contrôle radiographique (fig. 8) ainsi qu’une surveillance annuelle sont mis en place.
Conclusion
La « greffe du numérique » au sein de ce protocole optimise le déroulement. Le montage directeur demeure une séquence impérative. Après validation, sa duplication en guide permet une préparation symbiotique pré opératoire entre la prothèse et la chirurgie. Le concept Trefoil autorise une mise en charge immédiate d’un bridge sur pilotis d’usage avec un nombre réduit de séquences cliniques et laboratoires, pour le plus grand confort du patient. Néanmoins, le gabarit unique de la barre préfabriquée implantoportée impose une prédisposition anatomique de l’édenté total.








Commentaires