De la prévention au traitement, la micro dentisterie permet une prise en charge optimale des lésions carieuses. Elle est aujourd’hui accessible à l’ensemble des chirurgiens-dentistes et devrait être utilisée au quotidien en cabinet d’omnipratique.
La destruction tissulaire de la dent entraîne une perte de sa résistance. C’est pourquoi il est fondamental de préserver les structures anatomiques importantes de la dent telles que les crêtes marginales et le pont d’émail qui lui confèrent sa résistance naturelle.
Le chirurgien-dentiste, conscient de l’importance de la préservation des tissus durs de la dent (émail et dentine), de la préservation de la vitalité pulpaire et au fait d’une dentisterie a minima doit tout d’abord établir un diagnostic précoce des lésions carieuses. Ce diagnostic une fois établi, il doit pouvoir disposer d’instruments adaptés à une préservation maximale des tissus dentaires.
1. Le diagnostic précoce des lésions carieuses est uniquement visuel.
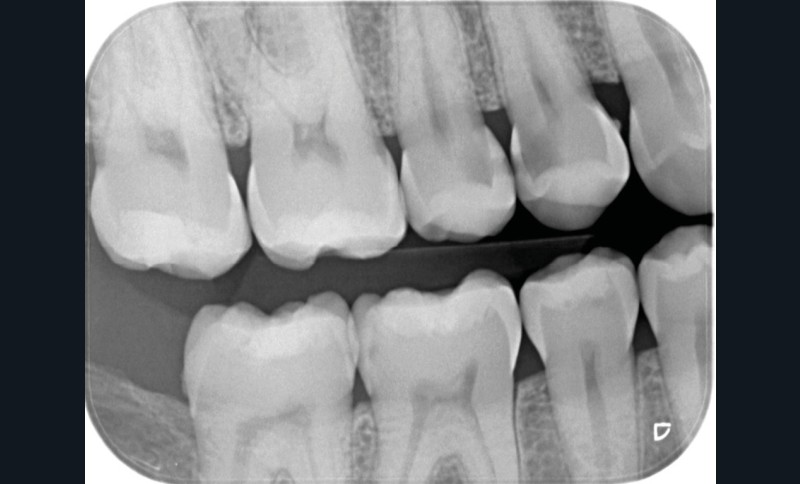
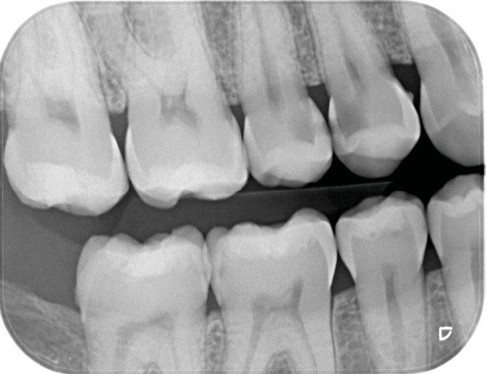
FAUX. Le diagnostic précoce des lésions carieuses se base sur un diagnostic clinique visuel précis à l’aide des classifications visuelles internationales (ICDAS ou ICCMS) et de l’utilisation d’aides optiques (loupes, microscope, caméra avec signal fluorescent ou non) et sur un diagnostic radiographique (à l’aide de deux bitewing, l’un à droite l’autre à gauche) (fig. 1).
Afin de réaliser le diagnostic visuel, il convient de :
- nettoyer les surfaces dentaires (aéropolisseurs et poudres prophylactiques) ;
- sécher les surfaces dentaires ;
- agrandir les surfaces dentaires (aides visuelles : loupes, microscope, caméra intrabuccale…) ;
- éclairer les surfaces dentaires.
2. La prise en charge la plus adaptée au patient et à la situation clinique se définit selon trois critères principaux.
VRAI. Après le diagnostic des lésions carieuses, il faut évaluer le risque carieux individuel (RCI) du patient. A l’aide du CAMBRA ou de l’application Mi Dentistry, accessible gratuitement à tous depuis un smartphone (Android : https://play.google.com/store/apps/details?id=com.benoitballester.gc.miapp.alpha, iOS:https://apps.apple.com/fr/app/mi-dentistry-cra/id1454421681), le praticien peut aisément déterminer le RCI. Il s’agit de déterminer si le patient est à faible risque carieux ou à haut risque carieux. Ainsi, la prise en charge sera personnalisée et mieux adaptée (fig. 2).
Le choix de la prise en charge de la lésion carieuse dépend de trois critères fondamentaux : l’activité de la lésion carieuse (active ou arrêtée), la présence ou non de cavitation et l’accessibilité (site proximal difficile d’accès) (fig. 3).
La prise en charge de la lésion carieuse se fait :
- soit de façon non invasive : motivation du patient à l’hygiène interdentaire et utilisation de techniques non invasives de reminéralisation ;
- soit de façon micro invasive en utilisant les techniques d’érosion/infiltration ;
- soit de façon invasive a minima. Cette économie tissulaire peut se faire notamment avec l’utilisation de fraises adaptées et minimalement invasives (fig. 4).
Dans tous les cas, un monitoring doit être mis en place.
3. Le traitement de micro-abrasion est une alternative à l’érosion-infiltration.
VRAI. Les indications des différents types de traitements disponibles sont développées ci-dessous.
• Traitement non invasif : après avoir réalisé un contrôle de plaque dentaire (révélateur de plaque, apprentissage et motivation à l’hygiène bucco-dentaire), ce traitement est mis en place lorsque la lésion carieuse est active mais non cavitaire (ICDAS 1 et 2). Dans ce cas, le chirurgien-dentiste utilise des thérapeutiques qui permettront de modifier le biofilm buccal du patient (par exemple, les probiotiques, l’arginine), et/ou des produits de reminéralisation (par exemple, Casein Phosphopeptide-Amorphous Calcium Phosphate) et/ou du Silver Diamine Fluoride (SDF).
• Traitement micro invasif : il s’agit essentiellement de l’érosion/infiltration (fig. 5), mais une alternative peut également être utilisée pour les mêmes indications : le traitement de micro abrasion (fig. 6). L’indication première de cette technique est d’arrêter la progression des lésions carieuses non cavitaires lors d’une déminéralisation de l’émail (ICDAS 2) ou cavitaires au niveau de l’émail sans déminéralisation de la dentine sous-jacente (ICDAS 3) d’un patient à faible risque carieux.
Le principe d’érosion infiltration consiste à infiltrer par capillarité l’émail déminéralisé avec de la résine. La surface dentaire doit être préalablement traitée par un acide afin d’ouvrir les porosités de surface de l’émail et permettre une meilleure pénétration de la résine. Le processus carieux sera stoppé en bloquant la pénétration des acides cariogènes et la structure dentaire sera préservée.
Cette technique est réalisée en une seule séance clinique, et présente l’avantage d’être peu invasive et indolore. Cependant, le problème de l’accessibilité dans les lésions proximales est un facteur qui limite l’utilisation de ces thérapeutiques. Le recours à un élastique orthodontique quelques jours avant la mise en place de la résine est une solution intéressante pour améliorer l’accessibilité et traiter les lésions de déminéralisation en proximal. Aujourd’hui, ces thérapeutiques sont également utilisées dans le traitement esthétique des taches blanches vestibulaires de l’émail, la mise en place du produit étant facilitée dans ces situations cliniques.
• Traitement invasif a minima : il concerne les lésions carieuses cavitaires ou non avec atteinte dentinaire (à partir du 1/3 moyen dentinaire), soit ICDAS 3 à 6. Dans ce cas, la priorité est de préserver la dent d’une effraction pulpaire éventuelle (recommandations de l’ESE) [4]. C’est pourquoi, lors du traitement de lésions carieuses profondes (ICDAS 4 à 6), il faut dans tous les cas réaliser une éviction sélective, réaliser une préparation a minima (favoriser les préparations de type fente (« slot ») ou tunnel lorsque l’indication se pose) et utiliser un matériau de restauration de choix, soit composite, soit un ciment verre ionomère (CVI), soit des matériaux à base de silicate de calcium ou encore les nouveaux composites enrichis en minéraux (fig. 7 à 9). Ces préparations a minima peuvent être réalisées avec des fraises de petits diamètres (fig. 10 et 11).
Conclusion
Le concept de micro-dentisterie peut se résumer en 7 points fondamentaux :
- Diagnostic précoce des lésions carieuses
- Evaluation du risque carieux individuel
- Traitement non invasif
- Traitement micro invasif
- Traitement invasif a minima
- Réparation plutôt que remplacement
- Surveillance active et suivi clinique
Il s’inscrit parfaitement dans une pratique quotidienne de chirurgien-dentiste et permet une prise en charge privilégiée adaptée au patient et plus pérenne dans le temps, souscieuse de l’économie tissulaire, du respect du gradient thérapeutique et de la pérénité de la dent sur l’arcade. Il s’agit de ne plus être dans une prise en charge chirurgicale invasive mais bien dans un modèle médical préventif.
Avec le soutien
institutionnel de ![]()

















Commentaires