La prothèse scellée
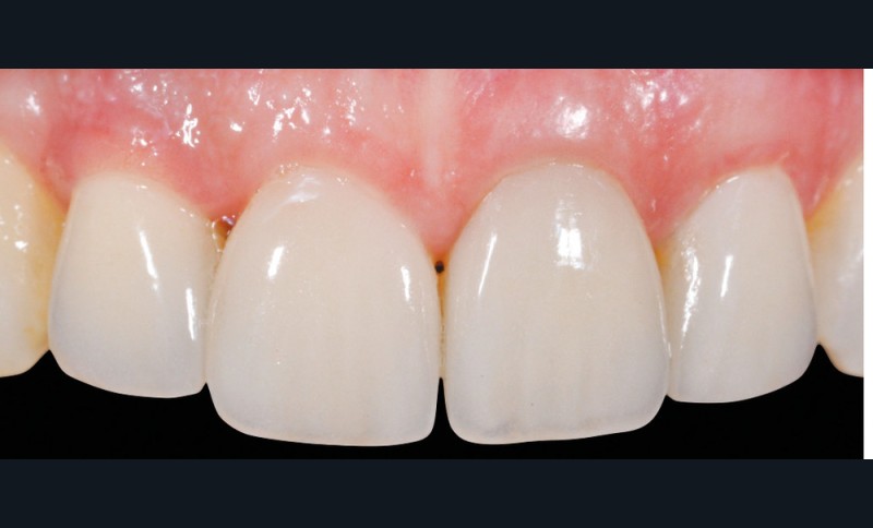
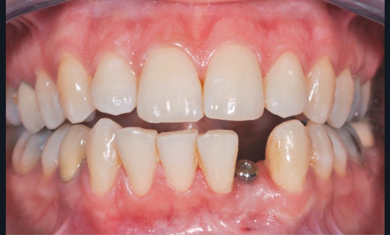
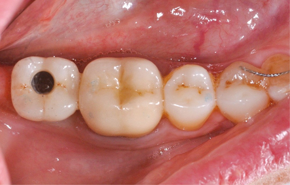
Le scellement de restaurations sur des piliers implantaires demeure une solution très intéressante (fig. 1). Cette technique reprend en effet les standards de la prothèse sur dent naturelle, à savoir un pilier implantaire (faux-moignon) vissé dans l’implant sur lequel est scellée une coiffe prothétique. Ses principaux atouts sont de corriger facilement les axes implantaires s’ils sont divergents par rapport à ceux des couronnes, tout en masquant l’émergence de la vis du pilier et conservant ainsi les faces occlusales intactes.
Ces dernières sont donc aptes à remplir correctement leur rôle d’occlusion, et à préserver la solidité de la céramique en limitant les risques de fracture.
Il existe un risque (faible) de dévissage du pilier. La vis est alors enfouie sous la couronne collée et l’ensemble de la restauration bouge. Pour gérer cette complication, il est nécessaire de percer la face occlusale de la couronne pour la transformer en couronne transvissée. Elle pourra alors être replacée et vissée à l’aide d’une vis neuve. À ce titre, il est intéressant, au moins pour les cas où l’émergence implantaire n’est pas centrée sur la face occlusale, de faire une photographie archivée dans le dossier du patient pour savoir où chercher la tête de vis.
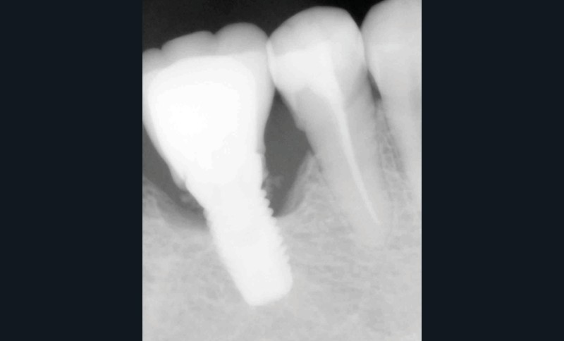
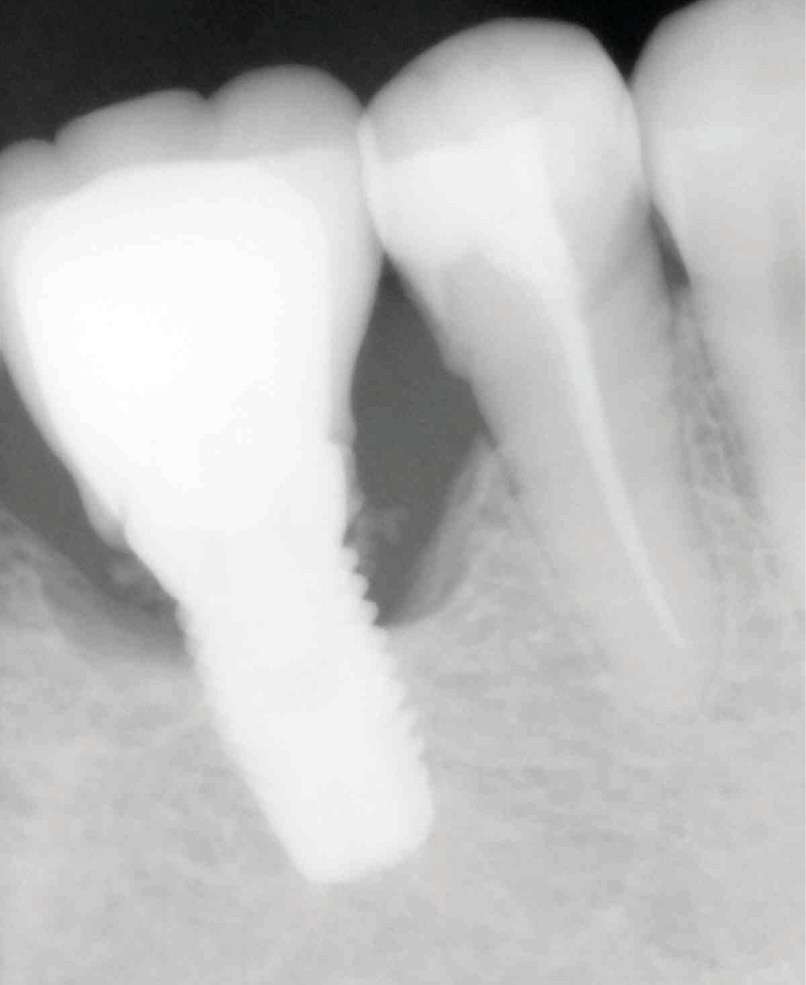
La seconde complication, plus grave, est le risque d’oublier des excès de ciment au niveau sous gingival. Ces derniers sont la cause principale avérée des péri-implantites et des pertes osseuses (fig. 2). Il est donc nécessaire de prendre toutes les précautions pour limiter au maximum ce risque.
Alors, comment limiter les risques d’excès de colle ?
Il existe plusieurs méthodes, astuces pratiques, pour optimiser le scellement sur les piliers implantaires [1].
Piliers anatomiques personnalisés
Il faut impérativement modérer l’enfouissement de limite de la couronne, particulièrement en proximal. Une limite juxta-gingivale facilite l’élimination des excès de colle. L’emploi de piliers conçus par CAO, et fabriqués par usinage en titane ou en zircone, est devenu courant et toutes les marques la proposent à l’heure actuelle.
Le prothésiste définit les formes de contour grâce à un logiciel de CFAO et usine la pièce lui-même, ou la commande à un tiers.
Piliers retouchés pour ménager de l’espace
On peut réaliser des évents dans les piliers métalliques : rainures non reproduites dans l’intrados de la coiffe (elles ont alors un rôle d’espacement pour laisser s’écouler le ciment et non un rôle anti-rotationnel puisque non reproduites à l’identique dans l’intrados prothétique), trous dans la partie supérieure, cavités concaves pleines. Cependant, il faut veiller à ne pas fragiliser le pilier mécaniquement. On peut également, lors de la protection de la tête de vis avec un matériau (comme du téflon par exemple), ne pas combler tout l’espace du puits afin de laisser une place libre pour les excès de ciment au niveau occlusal.
Pré-scellement sur analogue [2]
La méthode la plus efficace est probablement le pré-scellement de la suprastructure sur un duplicata du pilier. Ce dernier peut être livré par le laboratoire en même temps que les pièces prothétiques, réalisé alors le plus souvent en résine.
Une autre méthode, réalisable au cabinet, consiste à utiliser du silicone light en pistolet pour remplir l’intrados et, après la prise, désinsérer pour obtenir un duplicata rapide et économique (fig. 3).
Au moment du scellement, la suprastructure est remplie du matériau d’assemblage, puis positionnée entièrement, mais sans pression, sur ce duplicata, et immédiatement retirée pour être positionnée sur le pilier implantaire en bouche (fig. 4).
On peut citer également l’emploi d’un pinceau très fin pour badigeonner seulement les parois axiales en fine épaisseur, mais pas le fond de la couronne.
Lors de cette étape cruciale, la synergie praticien/assistant(e) dentaire est primordiale. Le rôle de chacun doit être déterminé de façon précise, et le timing respecté scrupuleusement.
Élimination attentive des excès
Les moyens habituels de nettoyage interdentaire doivent être utilisés dès que le ciment devient pâteux, avant sa prise : fil dentaire, brossettes interdentaires, picks proximaux.
Enfin, certains praticiens préconisent de placer un cordonnet de déflection gingivale. C’est possible, mais si l’épaisseur gingivale est importante, il est parfois compliqué de le retirer une fois la coiffe mise en place ; d’autant que le profil d’émergence définitif provoque très fréquemment une compression gingivale marginale les premières minutes… Prudence donc !
Contrôle radiographique après la pose
Il est indispensable de faire un contrôle radiographique pour vérifier l’absence de ciment au-delà du joint. Cependant, la radiographie ne permet pas de mettre en évidence les excès vestibulaires ou linguaux, cachés par l’implant ou le pilier.
Cela implique d’utiliser un matériau suffisamment radio-opaque. La littérature préconise sur ce point l’emploi de ciments au carboxylate ou à l’oxyde de zinc. Ils présenteraient la meilleure radio-opacité [3].
La prothèse vissée
Compte tenu des risques biologiques accrus de la prothèse scellée (péri-implantites, pertes osseuses crestales, etc.), certains favorisent la prothèse vissée. Naturellement, en l’absence de ciment, les risques biologiques sont nettement limités.
Il s’agit cette fois de visser un pilier implantaire sur l’implant, sur lequel se fixe une coiffe prothétique transvissée. Il y a donc plusieurs étages dévissables et un trou d’accès à la vis (puits) dans la face occlusale de la couronne.
Les risques mécaniques sont évidemment plus importants [4].
Il n’est en effet pas rare que l’on observe un dévissage des bridges/couronnes implantaires.
Fréquents aux débuts de l’implantologie, ils sont limités actuellement, car les vis sont toutes usinées et non plus coulées, généralement en titane et non plus en or. Les fractures n’existent pratiquement plus.
Le pilier et la vis doivent être naturellement parfaitement propres et sans salive.
Cette dernière joue en effet le rôle de lubrifiant. Les différentes manipulations au laboratoire se font avec une vis de laboratoire et non la vis définitive, réservée au vissage en bouche en clinique.
Il est indispensable d’utiliser une clé dynamométrique (fig. 5) au couple préconisé par le fabricant (qui n’est pas toujours le même en fonction des diamètres et des marques) [5].
Il faut veiller à éviter tout contact entre le tournevis et les parois du puits de vissage.
Le vissage débute toujours par un serrage manuel afin d’éviter un mauvais positionnement et une détérioration du puits de vissage. Ensuite, il s’effectue à la clé dynamométrique. Après quelques minutes de mise en place, il convient de revérifier à l’aide de la clé le couple de serrage. Il n’est pas rare de pouvoir progresser légèrement après action du phénomène d’élasticité.
Lors de toute réintervention sur la prothèse, il faut renouveler la vis par une neuve, systématiquement. Les vis, de petite dimension, ne sont pas adaptées pour recevoir des contraintes répétées.
Le trou de vissage dans la céramique représente-t-il un risque de fracture ?
Les études montrent que si le puits est proche du centre, en ménageant 2 mm au moins de céramique autour, le risque de fracture est faible. D’où l’intérêt d’un excellent positionnement implantaire (fig. 6).
Le risque d’écaille de céramique sur une restauration céramo-métallique ou céramo-céramique stratifiée est conséquent avec la présence d’une cavité au milieu.
Mais depuis plusieurs années, la prothèse évolue pour les secteurs postérieurs vers des restaurations monoblocs usinées en céramique, collées ensuite au laboratoire à une embase en titane. Cet élément massif d’un seul matériau aux propriétés mécaniques élevées (disilicate de lithium ou zircone) est en train de faire quasiment disparaître les fractures de céramique.
On peut observer que les inconvénients de la prothèse vissée, encore nombreux il y a dix ans, se réduisent fortement grâce aux évolutions technologiques désormais présentes dans les laboratoires.
L’assistant(e) dentaire joue ici encore un rôle fondamental dans le contrôle des pièces reçues du laboratoire (utilisation de vis neuves stériles), la vérification des couples de serrage de chacun des éléments implantaires, et leur archivage. Il/elle consigne toutes ces données dans le passeport implantaire remis au patient en fin de traitement (fig. 7).
Critères de choix en fonction de la situation clinique
Alors, comment choisir entre ces solutions ?
Si elles sont la plupart du temps réalisables toutes les deux, certains critères de choix peuvent préconiser plutôt l’une ou l’autre.
La prothèse implantaire complète
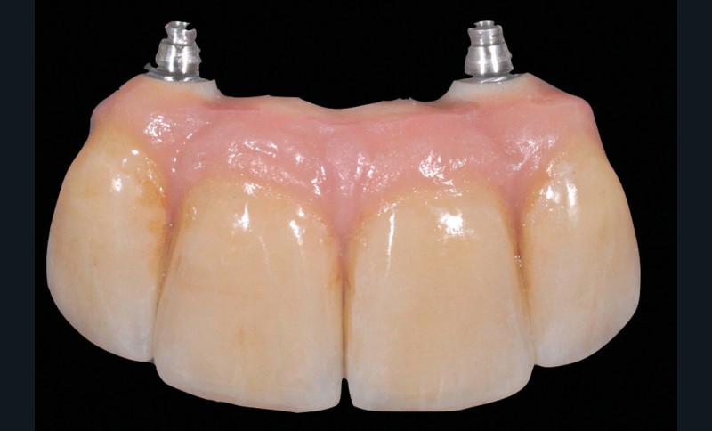
Pour des raisons ergonomiques liées en particulier au nombre de piliers, il est préférable de réaliser une prothèse vissée. Généralement sur des piliers intermédiaires de type multi-unit pour placer la limite prothétique juxta-gingivale et simplifier ainsi les étapes d’empreinte, d’essayage et de vissage, ainsi que la maintenance ultérieure. L’atout principal de la prothèse vissée est la dépose très simple si une réintervention est nécessaire.
La prothèse implantaire plurale
Si les axes implantaires sont compatibles entre eux et esthétiquement, la solution vissée est préférable. Il est en effet plus compliqué d’éliminer les résidus de ciment lorsque le nombre de piliers augmente. Le fil dentaire ne peut être utilisé et le temps de travail reste identique à un seul pilier, ce qui s’avère parfois un peu court (fig. 8).
La prothèse unitaire
La plupart du temps, les deux sont possibles ; cependant, il existe des critères de choix pour orienter l’équipe thérapeutique.
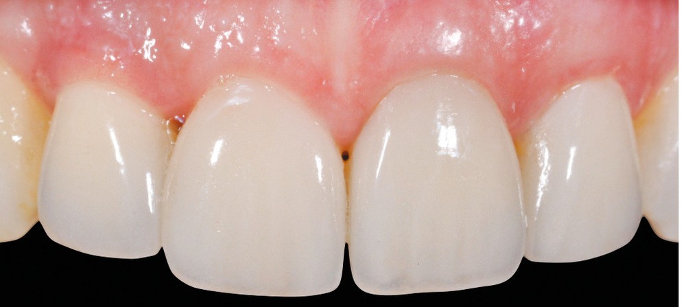
Ainsi, une dent présentant une très petite face occlusale ou palatine/linguale peut indiquer une prothèse scellée pour des raisons mécaniques (voir fig. 9 page suivante).
Un axe trop divergent, même après système de correction d’axe, peut imposer la réalisation d’une coiffe scellée pour éviter un puits de vis sur un bord libre, par exemple (voir fig. 10, page suivante).
Lorsque les deux sont possibles, il faut plutôt privilégier la solution vissée.
Conclusion
Comme toujours, tout n’est pas noir ou blanc… La plupart des études ne permettent pas de dégager une supériorité de l’une ou de l’autre technique [6]. Les praticiens sont souvent plus expérimentés ou à l’aise avec l’une des deux. Néanmoins, il est essentiel de connaître les atouts de chaque technique pour choisir la plus adaptée à la situation clinique. Ensuite, la réussite et la pérennité sont entre les mains du duo praticien/assistant(e), et dans l’optimisation des protocoles cliniques.























Commentaires