Il y a plus de vingt ans maintenant, ces conceptions ont été révolutionnées par les propriétés améliorées des céramiques, notamment en termes de résistance. Grâce aux travaux du Pr Mathias Kern [4-6] sur le collage des céramiques polycristallines (zircones) et le concept de cantilever [7], de nouvelles perspectives ont vu le jour. Le bridge basé sur une seule ailette collée assurant l’ancrage de la dent manquante a fait ses preuves in vitro et en clinique [8-11], et a ainsi été reconnu par l’évaluation technologique de la HAS en 2016 [12]. Parmi les pionniers modernes de cette application clinique, citons Gil Tirlet et Jean-Pierre Attal qui furent les premiers à exposer les principes de préparation et de collage des différentes options de matériaux [13, 14].
L’indication clinique la plus fréquente des bridges cantilever en céramique collée (BCCC) est le traitement de l’agénésie de l’incisive latérale maxillaire. Il s’agit alors d’un traitement en soi ou d’un traitement de temporisation de longue durée, avant implantation par exemple. La situation antérieure et l’impact sur le sourire justifient en effet pleinement le recours à une ailette en céramique, plus esthétique que l’ailette métallique.
Cette ailette collée unitaire, caractéristique du BCCC, peut alors être envisagée sur l’une des deux dents voisines de l’incisive latérale absente. La plupart des travaux récents sur les BCCC suggèrent l’incisive centrale comme dent d’ancrage. Nous nous proposons ici de développer une alternative, à savoir la réalisation de l’ailette sur la face palatine de la canine, en précisant ses avantages et ses inconvénients.
Morphologie comparée des dents antérieures maxillaires
Les données anatomiques et morphologiques des incisives et canines maxillaires ont fait l’objet de nombreux travaux scientifiques [15]. Les mesures moyennes servent de repère pour essayer de raisonner sur les choix prothétiques à réaliser (fig. 1).
Avantages de l’option canine
La réflexion initiale sur le positionnement de l’ailette supportant le cantilever est liée à une règle, classiquement reconnue pour les bridges en extension, qui décrit un meilleur comportement biomécanique lorsque l’élément en extension est médial [12]. Cela s’explique aisément car les charges occlusales diminuent d’arrière en avant. À défaut d’être un critère majeur dans le cadre des cantilevers, cet argument incite au questionnement.
Plusieurs autres critères peuvent être analysés et certains sont plus volontiers en faveur d’une ailette canine, quand d’autres ne le sont pas.
Les critères esthétiques : l’embrasure vestibulaire et le rattrapage de symétrie
La particularité du bridge collé est de nécessiter une connexion ailette/intermédiaire de bridge qui soit assez résistante. Dans le cadre des cantilevers en céramique, cette notion est encore plus marquée. Or, un connecteur volumineux impose une préparation avancée en vestibulaire au plus loin possible. Cela diminue d’autant l’embrasure vestibulaire qui constitue un critère esthétique important. Ce manque d’embrasure est d’autant moins visible qu’il est situé entre l’incisive latérale et la canine (fig. 2).
Par ailleurs, certaines situations cliniques d’agénésie bilatérale se soldent par une asymétrie des espaces disponibles à droite et à gauche. Cela peut être rattrapé plus facilement à la faveur d’un élargissement mésial de la canine qui permettra de respecter une équité des largeurs des incisives latérales remplacées (fig. 3).
Les critères mécaniques : dimensions des faces proximales et géométrie occlusale
Le respect des dimensions recommandées pour le connecteur, variant de 9 mm2 pour la zircone à 16 mm2 pour l’e.max (selon les fabricants), nécessite un volume prothétique disponible en conséquence. Si l’on s’en tient aux données morphologiques moyennes, la surface proximale mésiale de la canine est supérieure à celle de la face proximale incisive (fig. 4) [15].
La géométrie occlusale de chacune des dents candidates à l’ailette unitaire est aussi un critère de choix. En effet, la face plane de l’incisive se prête mécaniquement plus au décollement sous contraintes postéro-antérieures de l’intermédiaire de bridge que ne s’y prête la forme incurvée de la canine (fig. 5).
Toutefois, cet aspect purement mécanique est à relativiser avec les valeurs d’adhésion obtenues par le collage. Par ailleurs, la réalisation d’un macropuits, opposé à la zone de connexion, permet de limiter ce mouvement rotationnel [14].
Les critères de collage : surface de collage et épaisseur d’émail
Selon Mathias Kern, il est essentiel d’avoir une surface d’émail supérieure ou égale à 30 mm² afin de réaliser un collage céramique pérenne [7]. Si une quantité insuffisante d’émail est une contre-indication au bridge collé cantilever, la surface développée de chaque dent candidate à l’ailette doit être évaluée. À nouveau, une évaluation objective basée sur des mesures tridimensionnelles permet de donner des valeurs équivalentes aux deux surfaces de collage (fig. 6). Ces surfaces sont dépendantes de chaque situation clinique et doivent être évaluées au mieux cliniquement, notamment selon la hauteur de la muqueuse palatine et le recouvrement plus ou moins important du cingulum de la dent.
L’épaisseur de l’émail disponible pour la préparation de l’ailette collée est dépendante du degré d’usure des faces palatines. Toutefois, les mesures moyennes des dents jeunes, principales indications des cantilevers en cas d’agénésie, sont en faveur de la canine [16] (fig. 7).
Les critères occlusaux : réglage des contacts en diduction et protrusion
Chaque groupe de dents possède un axe de mobilité préférentiel : les incisives se déplacent dans le plan sagittal et les canines dans un axe situé à la bissectrice du plan sagittal et du plan frontal. Cliniquement, cela signifie que les incisives subissent une déviation antérieure lors de la protrusion et les canines une déviation latérale lors des mouvements de diduction.
Le réglage occlusal de ces deux mouvements doit être réalisé de telle façon que l’élément en cantilever ne subisse pas de contraintes excessives, sans quoi sa fracture (pour l’e.max) ou son décollement (pour la zircone) serait inévitable. Pour autant, les autres dents impliquées dans les mouvements dynamiques doivent participer à ceux-ci. Le réglage d’une latéralité en fonction canine sur la face distale d’une ailette collée nous paraît plus aisé à réaliser que l’équilibration de la propulsion sur les faces palatines des incisives et des canines maxillaires (fig. 8).
Cela est d’autant plus vrai que l’agénésie est unilatérale : dans ce cas, les faces vestibulaires des deux incisives centrales étant au même niveau, il faut s’assurer que l’épaisseur de préparation palatine permette une restitution symétrique de la morphologie de cette face après collage de l’ailette. Si cela n’est pas réalisé, la protrusion portera inévitablement plus sur l’une des deux incisives centrales avec un risque accru de déplacement vestibulaire dans le temps.
Les critères anatomiques : ancrage ostéo-muqueux
En prothèse fixée plurale, le choix du ou des piliers est classiquement régi par la loi d’Ante qui précise que « la surface parodontale totale des piliers (surface ligamentaire) doit être égale ou supérieure à celle des dents remplacées ». En suivant cette logique, la canine présente une plus grande surface radiculaire que l’incisive centrale. Cet ancien dogme est à relativiser à l’ère de la dentisterie adhésive [17]. Toutefois, il existe des situations cliniques pour lesquelles ce critère est essentiel : c’est le cas notamment des agénésies rencontrées chez les patients porteurs de fentes labio-palatines. En effet, les malformations radiculaires (racines courtes), comme la relative instabilité du bourgeon osseux médian, entraînent souvent une mobilité cliniquement perceptible des incisives centrales, tandis que les canines présentent un ancrage plus fort.
Inconvénients de la canine
La canine présente plusieurs difficultés cliniques qui justifient que son recours ne soit pas plus systématique que celui de l’incisive centrale. En particulier, la préparation de l’ailette est compliquée par son indice de Le Huche plus élevé qui majore le risque de contre-dépouille.
Cependant, le risque majeur, rapporté par plusieurs auteurs, est lié à une possible rotation de la canine, et donc du cantilever, pour des raisons liées à une récidive orthodontique, ou à une dynamique occlusale délétère.
La récidive orthodontique
Elle constitue à notre humble avis la contre-indication première au choix de la canine comme support de l’ailette. En effet, la récidive d’une correction de rotation initiale est imprévisible. Certes, les possibilités de collage aux céramiques sont connues des orthodontistes et une contention par fil collé reste envisageable. Toutefois, son suivi doit être rigoureux car un décollement est toujours possible.
Il convient donc de demander systématiquement les vues occlusales du début de traitement orthodontique, et d’engager une communication à ce sujet avec nos consœurs et confrères orthodontistes.
L’appui occlusal inapproprié
Comme cela a été exposé plus avant, le réglage occlusal du guide antérieur en propulsion et de la fonction canine lors des mouvements de latéralité doit être effectué après le collage du(des) bridge(s) en cantilever. En particulier, il est recommandé de vérifier qu’aucun contact n’interfère avec l’incisive latérale remplacée dans ces deux mouvements, mais aussi que la latéralité soit portée sur la moitié distale, et non mésiale, de la canine. Sans ces précautions, qui doivent être contrôlées régulièrement dans le temps, il est possible d’observer un phénomène d’ouverture de diastème entre les deux incisives.
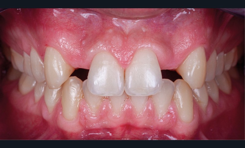
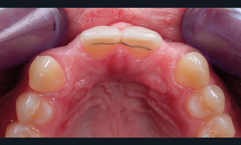
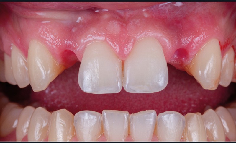
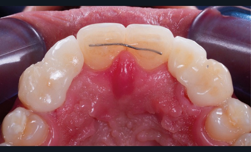
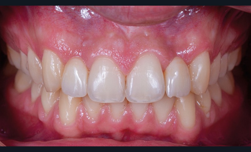
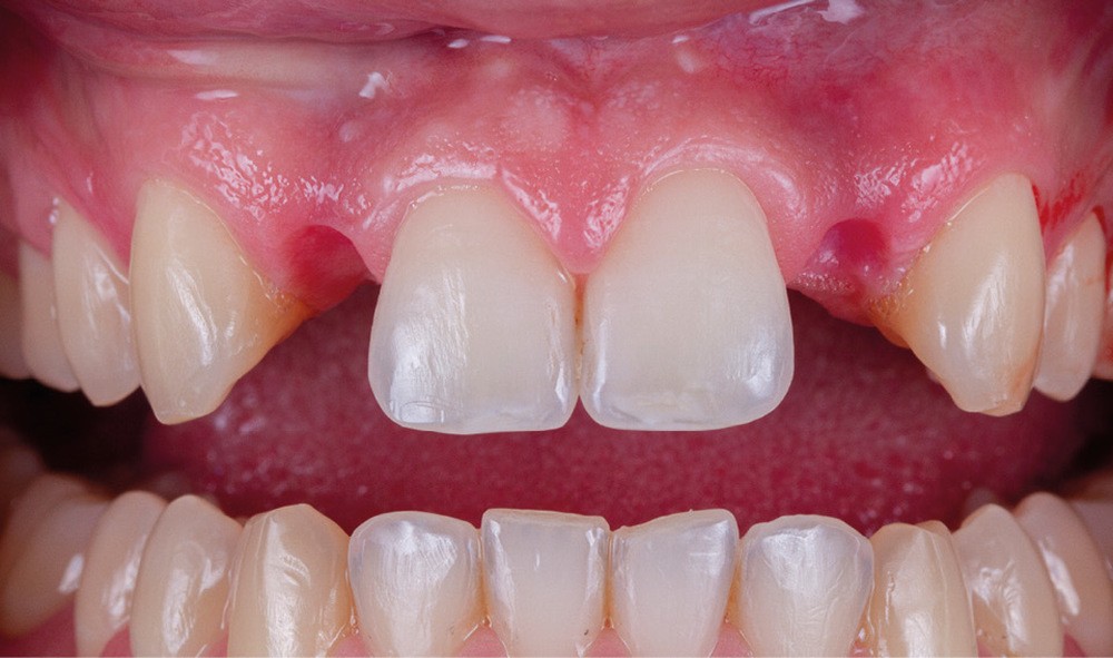
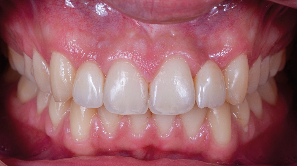
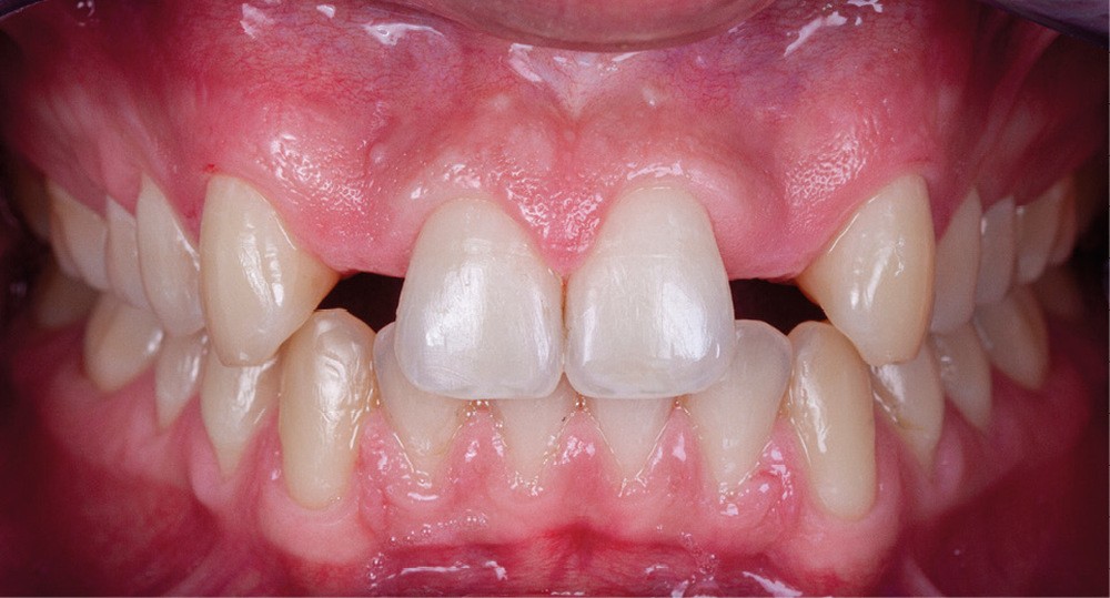
Cas clinique
Le cas clinique détaillé dans la figure 9 reprend les différents points théoriques développés dans cet article. Il s’agit du traitement d’une agénésie bilatérale chez un jeune patient âgé de 17 ans.
Conclusion
Le choix de la dent support de l’ailette collée doit être fait selon les critères cliniques observés et analysés, et non selon des dogmes ou des habitudes répétées. L’incisive centrale comme la canine font partie des options envisageables, même si la première est aujourd’hui beaucoup plus documentée dans les études fondamentales et cliniques. Pour autant, les arguments développés dans cet article nous semblent en mesure de remettre en cause cette systématique de choix. Le recul clinique sur plusieurs années et pour des dizaines de patients sera nécessaire pour conforter cliniquement cette approche théorique.


















Commentaires