1 / Il existe deux types de résines temporaires.
2 / La couche d’inhibition à l’oxygène améliore l’état de surface.
3 / Les retouches des résines acryliques s’effectuent avec les mêmes polissoirs que ceux utilisés pour les résines composite bisacryl.
4 / Des retouches à l’aide de composite flow peuvent être effectuées sur des provisoires en résine composite bisacryl.
1 / Les résines acryliques
Les résines acryliques sans charge sont le groupe le plus ancien de matériau temporaire, et correspondent à un mélange d’une poudre de micrograins de polyéthyl ou de polyméthyl métacrylate (PEMA/PMMA) obtenus par broyage de résine polymérisée avec un monomère liquide, le méthyl métacrylate (MMA) (exemple : Unifast Trad, GC). Les dernières nées des résines acryliques ont vu leur composition améliorée par l’incorporation de billes de monomères prépolymérisées (Unifast III, GC). Ces résines ont le désavantage de présenter une forte exothermie de prise avec contraction pouvant entraîner une perte d’adaptation au niveau des limites de la préparation et contre-indiquent de manière relative leur utilisation pour les dents vitales. Toutefois, elles présentent le net avantage de pouvoir être rebasées et leur stabilité chromatique ainsi que leur prix les rendent encore attractives.
2 / Les résines composites bisacryl
Les résines composites bisacryl sont, quant à elles, comparables aux résines composites utilisées en restauration. Ces résines sont un mélange de charges inorganiques constituées de particules de verre, de quartz et/ou de silice fondue, liées entre elles par un agent de couplage de type organo-silane à une matrice résineuse organique.
Cette résine matricielle est un système de « R-dimé-thacrylates » ou bisacryl qui rend toutes les résines composites compatibles entre elles.
Le passage de l’état visqueux à l’état rigide de ces deux catégories de résine se fait par autopolymérisation.
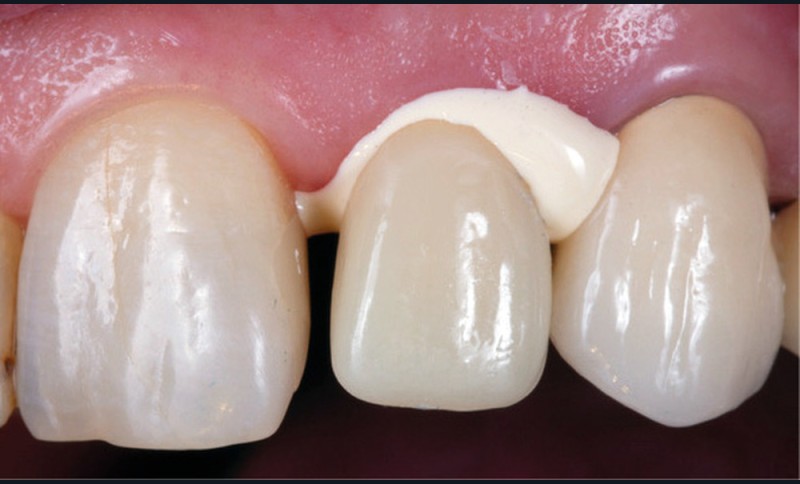
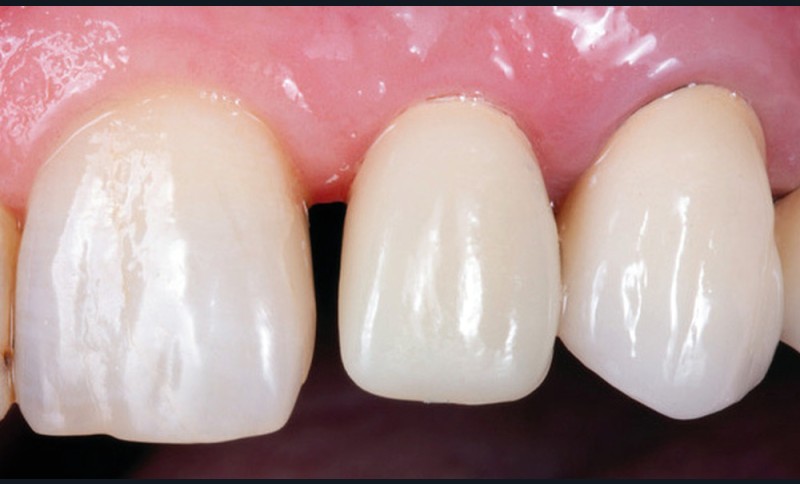
3 / L’état de surface
L’état de surface des résines temporaires est d’une grande importance clinique par son influence sur les propriétés esthétiques et biologiques qui conditionnent la stabilité chromatique, mais également parodontale, déterminant la réussite du traitement prothétique fixé. À l’issue de la polymérisation, la couche d’inhibition à l’oxygène qui existe à la surface des résines composites bisacryl doit être éliminée par un polissage soigneux, puisqu’elle contient une forte proportion de monomères non polymérisés, qui compromettent la qualité de l’état de surface (résistance à l’usure et stabilité chromatique) et peuvent entraîner un relargage de monomères dans la cavité buccale ou vers la pulpe dentaire.
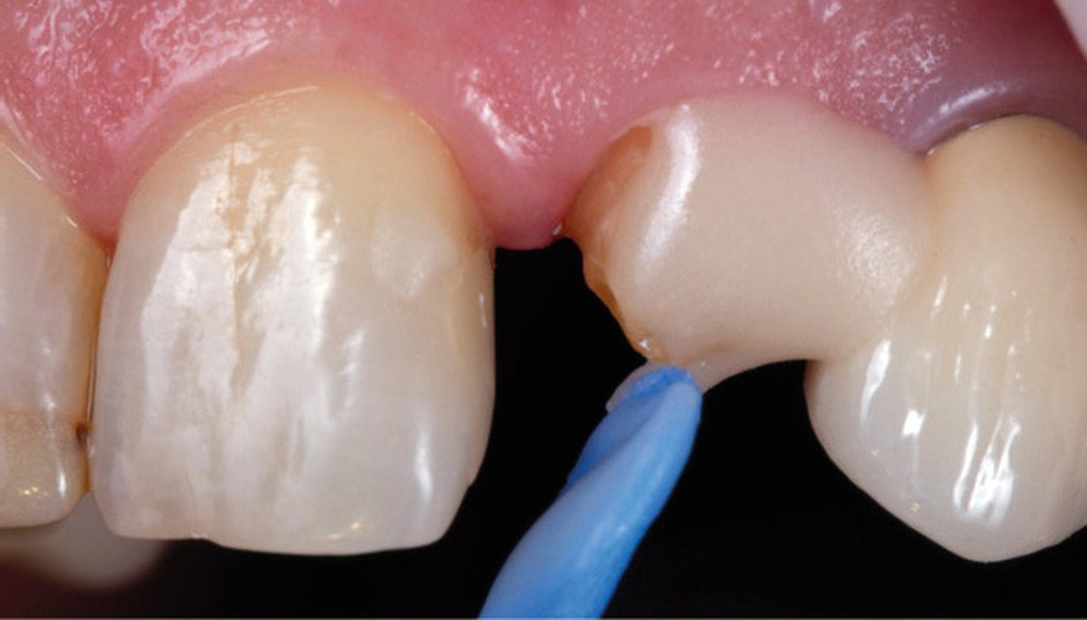
4 / L’élimination des excès
L’élimination des excès et les retouches des résines acryliques se font d’abord à l’aide de fraises en carbure de tungstène montées sur pièce à main, puis un polissage en trois étapes s’effectue à l’aide de polissoirs de granulométries décroissantes (gris, vert foncé, vert clair).
Dans le cas des résines composites bisacryl, leur composition hétérogène (charges inorganiques/matrice résineuse) rend l’obtention d’un état de surface lisse après polissage complexe. Des coffrets de polissage spécifiques ont ainsi été développés avec pour objectif d’obtenir une surface finale de rugosité inférieure au seuil d’adhésion bactérienne.
Ils se composent d’un disque diamanté permettant de travailler les embrasures, de trois fraises en carbure de tungstène, respectivement destinées à la mise en forme externe de la provisoire, ainsi qu’aux retouches de l’intrados et de l’occlusion, associés à des brossettes en poils naturels et feutrine, destinés au polissage et au brillantage.
Avec le soutien ![]()
institutionnel de

















Commentaires