1ers lauréat du grand prix Id : Utilisation des techniques de collage en omnipratique 2020 avec le soutien institutionnel de Voco
Yannis Génique I Ancien interne en MBD des hôpitaux de Bordeaux. Service d’odontologie et santé buccale, CHU de Bordeaux. Exercice libéral, Bordeaux
A. Valadares, Prothésiste dentaire
Romain Alarcon I Prothésiste dentaire. Laboratoire « Entre 2 mer », Créon
Thomas Ambille I Prothésiste dentaire. Laboratoire « Entre 2 mer », Créon
Cas clinique
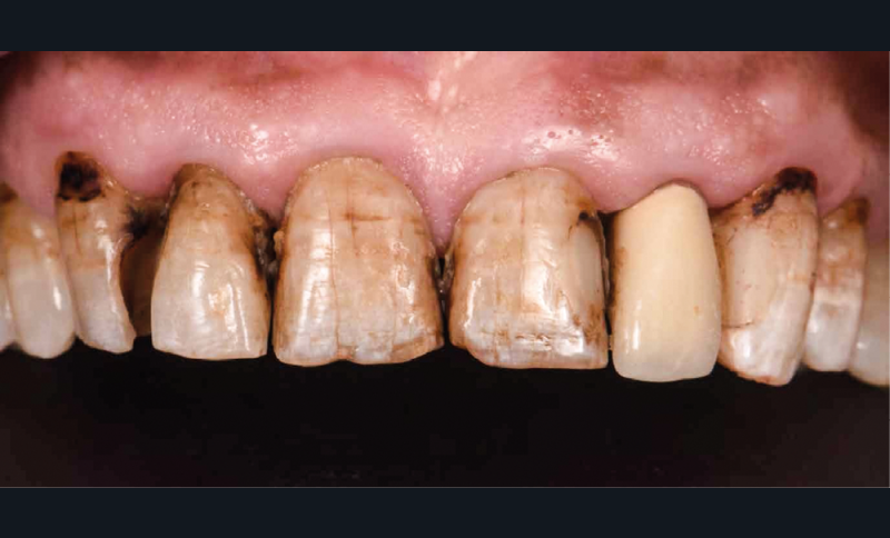
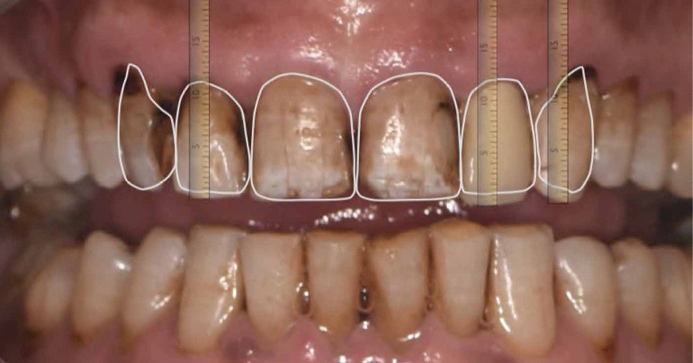
Un patient, âgé de 62 ans, nous consulte pour la réhabilitation de son sourire qu’il trouve disgracieux. Il est gêné par la longueur et l’aspect opaque de son incisive latérale supérieure gauche et, de manière générale, par la couleur et les fêlures présentes sur ses dents antérieures maxillaires.
On note la présence d’anciennes restaurations composites, de lésions carieuses actives et de pertes de substances amélo-dentinaires (fig. 1).
Avant toute proposition thérapeutique, une éducation à l’hygiène ainsi qu’une modification des comportements alimentaires et nocifs (grignotages, apports sucrés, tabac) sont entreprises et validées lors des trois premiers rendez-vous.
Objectif prothétique
Le plan de traitement consiste à effectuer six restaurations adhésives céramiques collées (RACC) au niveau du secteur incisivo-canin maxillaire.
Le principal objectif sera de raisonner le patient sur ses attentes ; trouver un compromis entre son souhait de rajeunir son sourire et la nécessité d’avoir un résultat naturel en lien avec l’usure physiologique des dents.
Matériel et méthodes
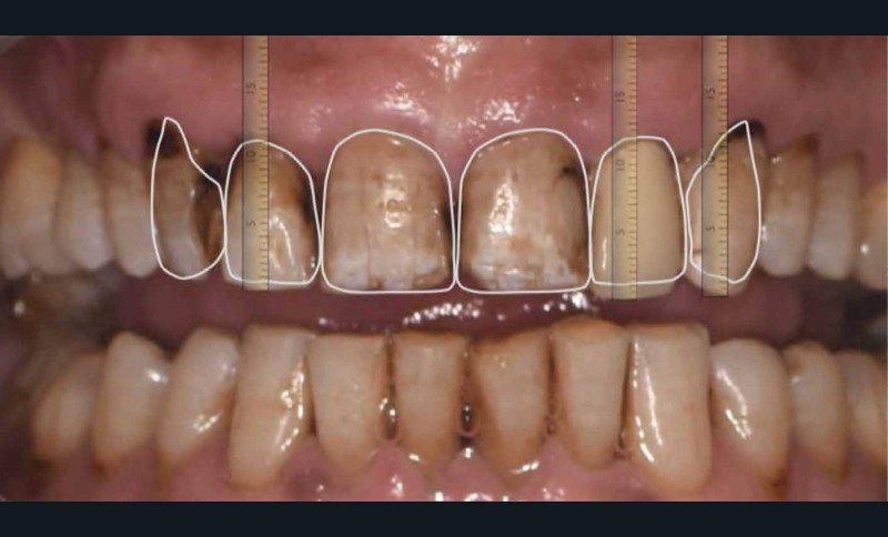
La première étape prothétique consiste en la réalisation de photographies intra/exo buccale et d’une empreinte numérique initiale. Cela permettra la réalisation d’une analyse esthétique (fig. 2) par la technique du Digital Smile Design (DSD) dans l’objectif :
- d’une meilleure communication avec le patient ;
- d’une meilleure communication avec le technicien de laboratoire. L’artisan céramiste doit avoir les références faciales pour travailler dans les meilleures conditions : lignes bi-pupillaires et bi-commissurales, axe médian, forme du visage pour intégrer la notion de « visagisme » ;
- de valider la position des bords incisifs et de la ligne des collets ;
- de réaliser une céraplastie prospective (wax-up) et un masque (mock-up) qui guideront nos préparations.
Dans notre cas, il faudra diminuer le bord libre de 12, 22 et 23. Les autres dents ne subiront aucun changement dimensionnel.
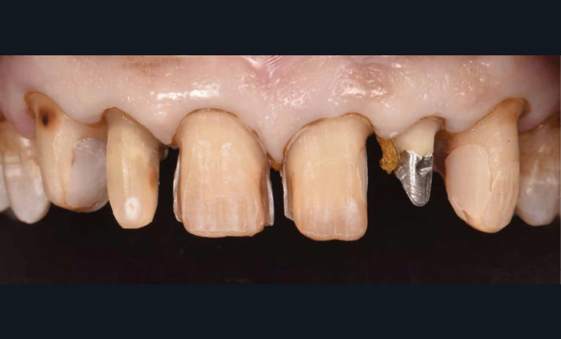
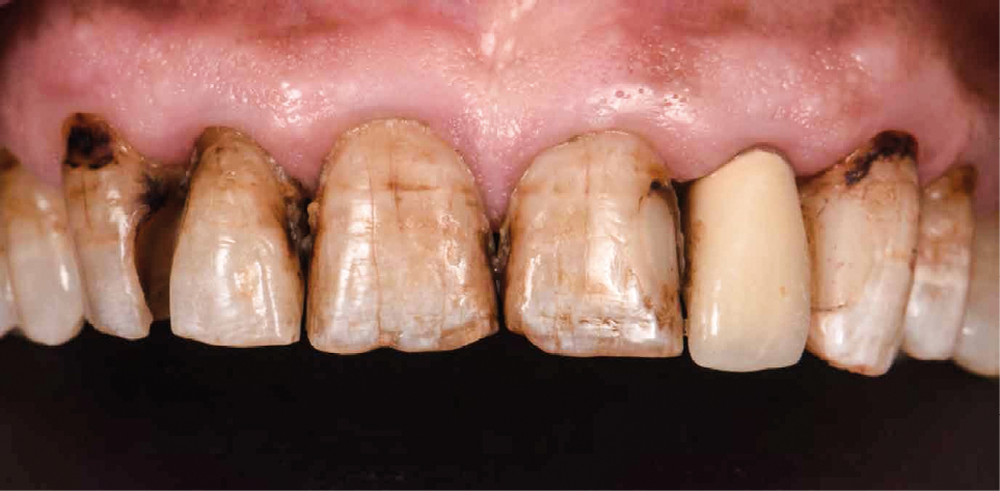
La deuxième étape comprend la préparation dentaire et la réalisation de restaurations provisoires (Voco Structur®) issues du wax-up. On traitera les lésions carieuses et les composites déjà présents seront remplacés. Les préparations sont donc guidées par ces restaurations de manière à n’avoir qu’une seule interface « céramique/dent » (fig. 3). On note donc des facettes à retour palatin, une couronne périphérique, et des couronnes ¾. La restauration corono-radiculaire sur 22 n’est pas déposée pour deux raisons : aucune lésion apicale n’est présente sur la dent et le patient est porteur d’une prothèse valvulaire aortique contre-indiquant tout retraitement endodontique (haut risque d’endocardite infectieuse).
Les restaurations provisoires sont ensuite positionnées par la technique d’isomoulage : des points de mordançages permettront la tenue de ces dernières (fig. 4).
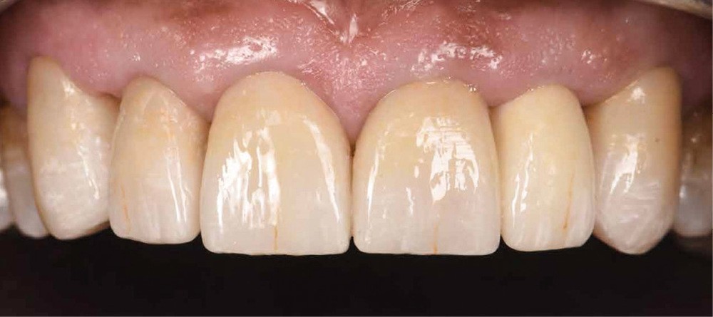
Le prothésiste réalise six RACCs en vitrocéramique renforcée au disilicate de lithium en technique pressée. Des caractérisations sont présentes pour mimer l’usure physiologique (fig. 5). Une chape « Haute Opacité » (HO) permettra de masquer l’effet grisâtre de l’inlay-core (fig. 6).
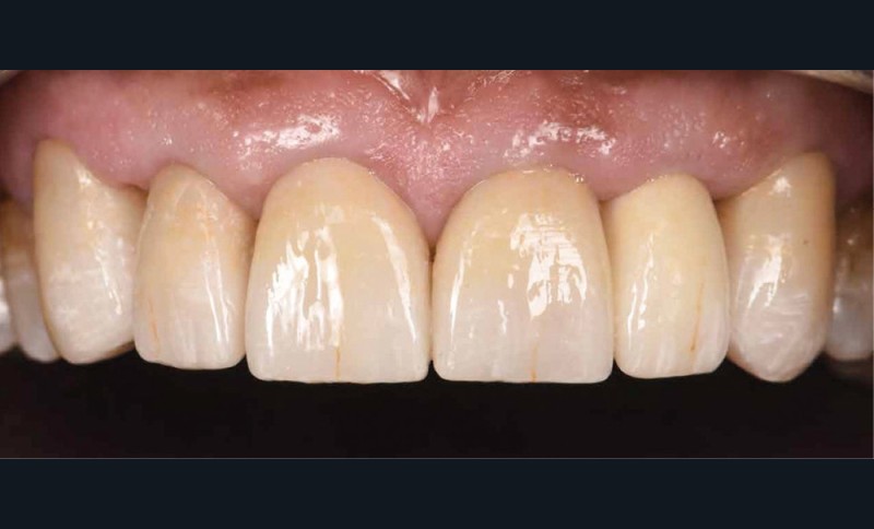
La troisième et dernière étape consiste en la réalisation du collage des RACCs via un protocole de collage strict, précédée par la vérification de l’ajustage des pièces (fig. 7) : l’isolation est primordiale via l’utilisation d’un champ opératoire médium, de ligatures et bandes en téflon (fig. 8 et 9) ainsi que de crampons B4 (fig. 10) pour exposer les limites de préparations. La validation de l’occlusion statique et dynamique est réalisée, suivie par un polissage soigneux des limites (fig. 11).
Conclusion
Le rapport de ce cas clinique permet d’illustrer certaines techniques modernes (planification esthétique informatisée, mock up) qui, couplées au progrès des matériaux et des techniques de collage, assurent un bon pronostic aux restaurations. La communication est au centre de nos thérapeutiques : que ce soit entre le praticien et le patient ou entre le praticien et le prothésiste. Ces derniers sont de véritables artistes céramistes à qui il faut donner tous les outils nécessaires. Nous devons également raisonner nos patients. « Envisager l’équilibre harmonieux comme la somme de déséquilibres. »











Commentaires