Historique de la découverture du syndrome du fil (tableau 1)
En 2007, Katsaros et al. [1] publient le rapport d’un cas faisant état d’une complication, encore non répertoriée, associée à un fil de contention orthodontique collé sous le terme d’« unexpected complications of bonded mandibular lingual retainers ».
Par la suite, d’autres auteurs ont également observé cette même complication qu’ils ont nommée différemment.
À titre d’exemples, Abudiak et al. en 2011 [2] et Pazera et al. en 2012 [3] décrivaient respectivement « a complication with orthodontic fixed retainer » et « a severe complication of a bonded mandibular lingual retainer ». En France, Roussarie et al. [4, 5] furent les premiers, en 2015, à évoquer ce phénomène sous le terme de « syndrome du fil » (SF).
|
Tableau 1. Historique des différentes dénominations |
||
|
Auteurs |
Date de publication |
Dénomination |
|
Katsaros et al. [1] |
2007 |
Unexpected complications of bonded mandibular lingual retainers |
|
Abudiak et al. [2] |
2011 |
A complication with orthodontic fixed retainers |
|
Renkema et al. [6] |
2011 |
Unexpected posttreatment complications |
|
Alessandri Bonetti et al. [7] |
2012 |
Isolated-type recession defects with an abnormal buccolingual inclination |
|
Pazera et al. [3] |
2012 |
Severe complication of a bonded mandibular lingual retainer |
|
Farret et al. [8] |
2015 |
Extreme labial movement of the root |
|
Roussarie et al. [4, 5] |
2015 et 2018 |
Syndrome du fil |
|
Kučera et al. [9, 10] |
2016 |
Unexpected complications / X effect, Twist effect and non-specific complications |
|
Laursen et al. [11] |
2016 |
Complications after unintentional tooth displacement by active bonded retainers |
|
Shaughnessy et al. [12] |
2016 |
Inadvertent tooth movement with fixed lingual retainers |
|
Wolf et al. [13] |
2016 |
Undesired tooth movement |
|
Egli et al. [14] |
2017 |
Unexpected posttreatment changes |
|
Jacobs et al. [15] |
2017 |
Single tooth torque problems |
|
Beitlitum et al. [16] |
2020 |
Unwanted effects such as inadvertent tooth movement and torque changes |
|
Kim et al. [17] |
2020 |
Unexpected tooth movements |
|
Klaus et al. [18] |
2020 |
Unwanted tooth movements |
|
Knaup et al. [19] |
2021 |
Side effects of twistflex retainers |
|
Singh et al. [20] |
2021 |
Extreme complication of a fixed mandibular lingual retainer |
Revue systématique de la littérature sur le sujet (Charavet et al. 2022 [21])
Pour donner suite à plusieurs cas de SF pris en charge dans le cadre de notre activité hospitalière à l’hôpital St-Roch (CHU de Nice), ainsi que de la lecture de diverses publications sur le sujet, il nous a paru opportun de réaliser la première revue systématique de la littérature sur le sujet [21] afin d’établir la prévalence du SF et de définir ses caractéristiques associées. Cette revue comportait une stratégie de recherche électronique sur quatre bases de données complétée par une recherche manuelle. Toutes études cliniques, prospectives et rétrospectives, rapports ou séries de cas compris, rédigées en langue anglaise ou française, mentionnant clairement la description, la détection ou la prise en charge d’un SF, ont été incluses. La qualité des articles retenus a été évaluée à l’aide du Mixed Methods Appraisal Tool [22].
Sur 1 891 résultats, 20 articles ont été retenus. Ils ont été publiés entre 2007 et 2021 majoritairement sous la forme de séries ou de rapports de cas ; le risque de biais global étant estimé comme élevé. La prévalence du SF varie de 1,1 % (3 500 patients étudiés [10]) jusqu’à 27 % (163 patients étudiés [18]). Le fil de contention était retrouvé intact, sans fracture ni décollement, sauf pour les cas sévères où celui-ci était altéré en fin de processus. Le SF est retrouvé à tout âge, il ne dépend pas du genre du patient et se développe le plus souvent dans les cinq premières années qui suivent la pose de la contention fixe. Il est majoritairement décrit à la mandibule où les canines sont principalement affectées par rapport aux incisives. Bien que la plupart des fils de contention concernés par le SF soient des fils ronds multibrins torsadés en acier inoxydable, tous les types de fils peuvent être impliqués, y compris les chaînettes tressées plates. Quatre grandes familles de mouvements types ont été répertoriées, à savoir un différentiel de torque entre 2 incisives adjacentes (appelé « X effect » dans la littérature anglo-saxonne), une inclinaison opposée entre 2 canines controlatérales (ou « twist effect »), un torque exagéré sur une dent ou une complication non spécifique (ouverture d’espace…).
Ces mouvements peuvent également s’associer entre eux et une variété de manifestations cliniques peut alors s’observer. Les conséquences dentaires et parodontales du SF varient d’une problématique mineure (déplacement faible) jusqu’à l’exposition de la racine et de l’apex de la dent atteinte avec, à terme, perte de sa vitalité. Les facteurs de risque associés à l’apparition d’un SF ont été recherchés dans plusieurs études dont les résultats ne sont pas concordants, hormis la présence de parafonction de type onycophagie. Des hypothèses étiologiques ont également été évoquées comme étant liées au praticien (pose d’un fil de contention non passif, déformation du fil lors de la pose…) ou au fil de contention (déformation du fil, instabilité de ses propriétés mécaniques…) et des mesures préventives associées ont ainsi été proposées. Finalement, la complexité des traitements, souvent pluridisciplinaires, est proportionnelle à la sévérité des situations cliniques.
Proposition d’une définition du syndrome de fil
Les résultats de notre recherche bibliographique nous ont permis de proposer une définition clinique du SF. Celui-ci correspond à des déplacements dentaires, pouvant être qualifiés d’aberrants, d’inattendus, d’inexpliqués ou d’excessifs sur des dents toujours contenues par un fil de contention orthodontique intact, sans décollement ni fracture, entraînant des conséquences dentaires et parodontales, esthétiques et/ou fonctionnelles, évolutives. Toutefois, en présence de déplacements dentaires très importants, le fil de contention peut être décollé ou fracturé en fin de processus. Les mouvements dus au SF ne correspondent ni à une récidive ni à un processus physiologique : la situation des dents retrouvée dans un SF ne concorde ni à leur position avant le traitement orthodontique ni à celle du moment de la dépose l’appareillage orthodontique. Le SF peut donc être considéré comme une nouvelle malocclusion observée après la pose d’une contention, fixe collée, en postorthodontique. À partir du moment où un SF apparaît, les conséquences dentaires et parodontales, mineures au départ, s’aggravent progressivement au fil du temps (fig. 1). Or, dans le cas d’un SF débutant, il est très difficile de le repérer et/ou de le différencier à des mouvements liés à un phénomène de récidive classique. De ce fait, l’enjeu du praticien est bien de dépister le plus précocement possible un SF débutant afin de stopper le processus et de proposer une thérapeutique personnalisée en fonction de la sévérité des signes cliniques.
Cas cliniques
Afin d’illustrer le syndrome du fil, 3 cas cliniques, de sévérité croissante, sont proposés et décrits. La description des figures est principalement axée sur la détection d’un syndrome du fil ; les autres éléments ne sont pas décrits. Alors que la détection précoce peut se révéler difficile en raison du diagnostic différentiel avec un phénomène de récidive classique, le repérage des cas sévères est généralement plus aisé.
Syndrome du fil débutant
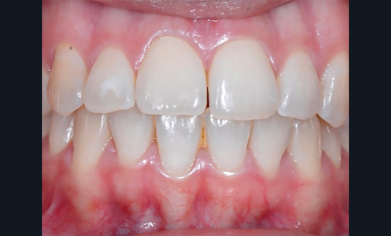
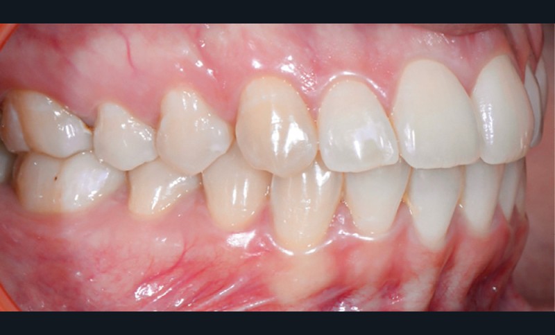
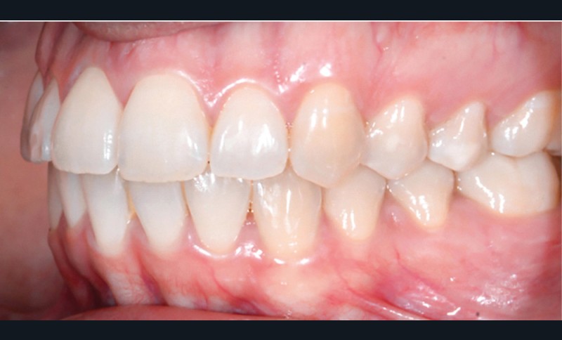
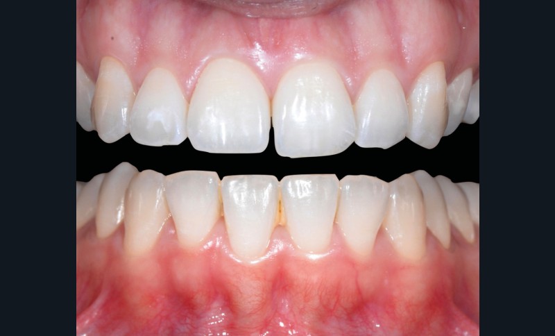
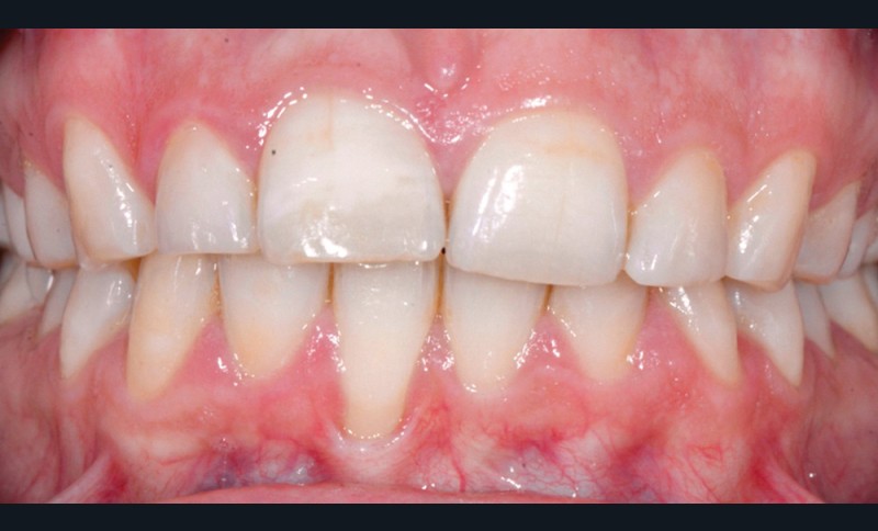
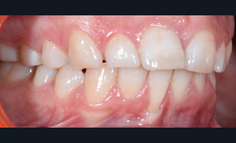
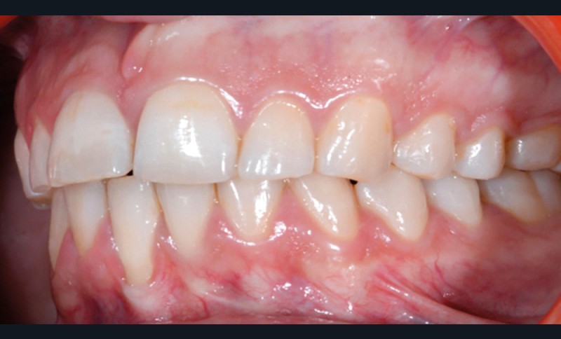
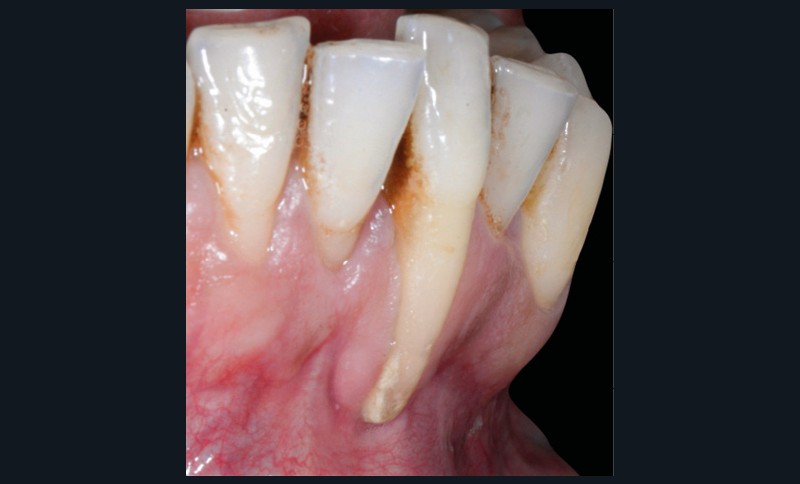
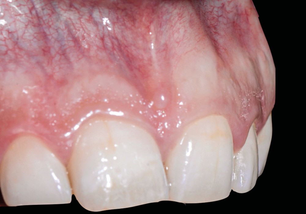
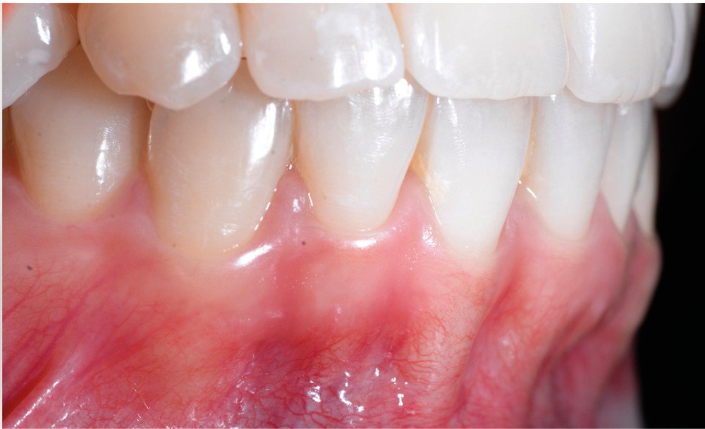
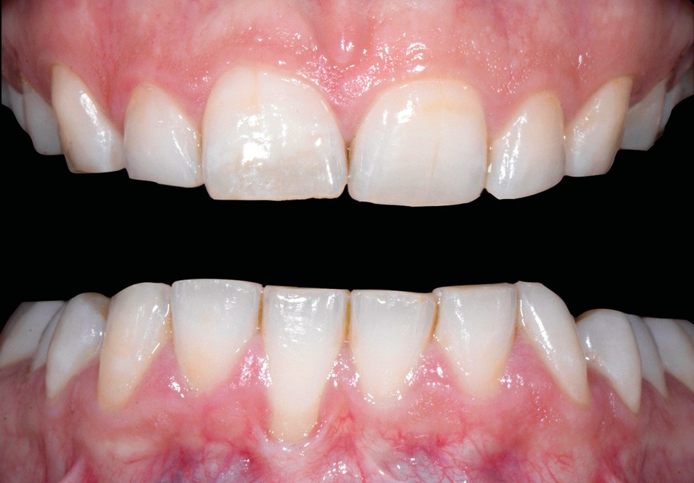
Une patiente de 22 ans, en bonne santé générale, consulte car elle s’inquiète de la « proéminence de la racine » de la dent 41. Un fil de contention mandibulaire a été posé lorsqu’elle avait 16 ans, à la fin de son traitement orthodontique. Elle présente une hygiène bucco-dentaire correcte, malgré la présence de tarte entre 31 et 41, et une classe I droite et gauche associée à une légère déviation des lignes médianes (fig. 2a). La figure 2b permet de constater une différence de hauteur des rebords gingivaux entre les 41 et 31, une différence de hauteur des bords libres de la 41 par rapport aux dents adjacentes, un début de récession gingivale sur la 41 associée à la visibilité d’une voussure vestibulaire correspondant à sa racine. En vue latérale (fig. 2c), la proéminence de la racine de la 41 est confirmée. Les vues occlusales (fig. 2d et d) confirment la présence d’une contention mandibulaire qui apparaît intacte, sans fracture ni décollement, sur toute sa longueur. De plus, la face vestibulaire de la 41 semble présenter une différence de visibilité par rapport aux dents adjacentes.
à partir de ces constatations cliniques, nous avons émis l’hypothèse d’un syndrome du fil débutant sur la 41, de type « X effect », et nous avons indiqué le remplacement de cette contention par une nouvelle 3 mois après la dépose de cette dernière – une amélioration spontanée de la situation clinique se produit généralement après la dépose de la contention – en tenant compte de toutes les précautions nécessaires à sa réalisation [21] (fil parfaitement passif, collage indirect de la contention réalisée au laboratoire de prothèse…).
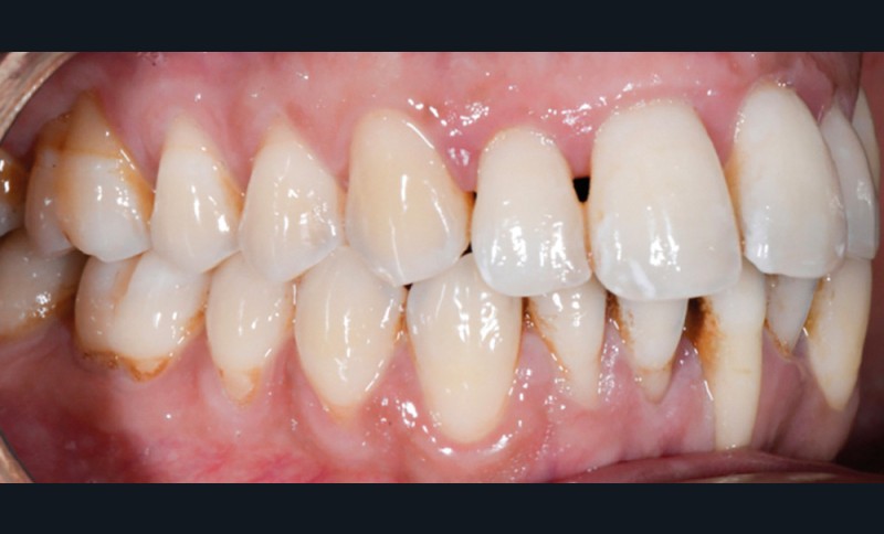
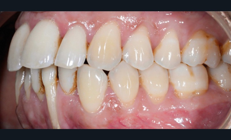
Syndrome du fil intermédiaire
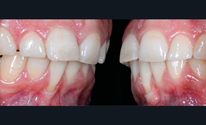
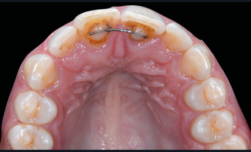
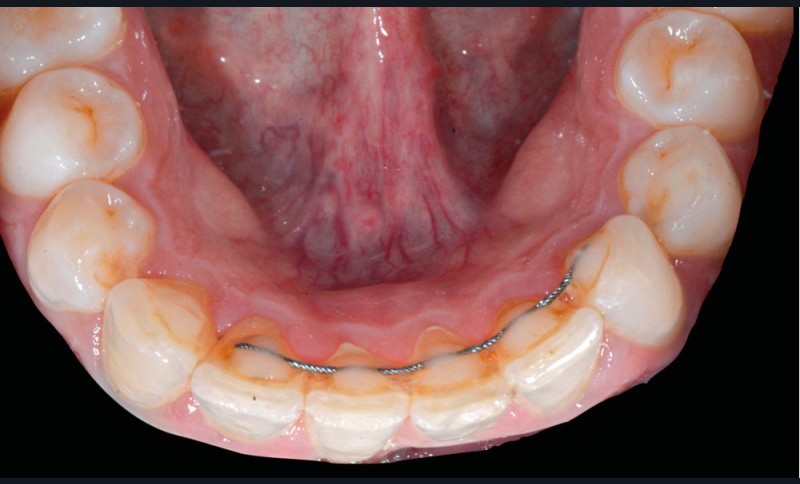
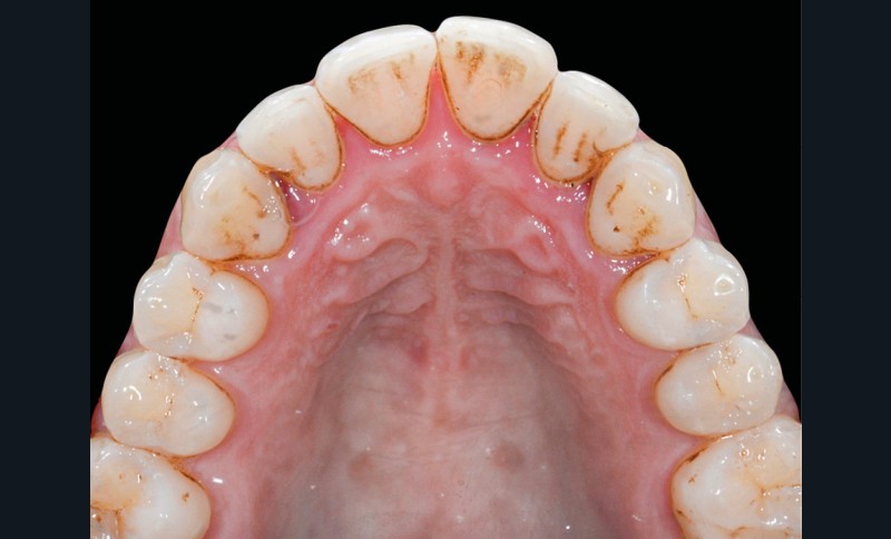
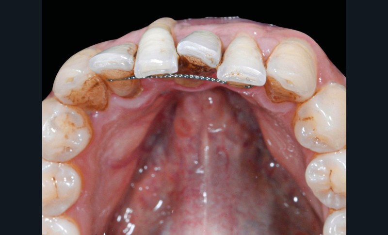
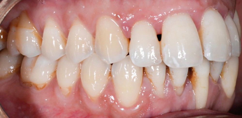
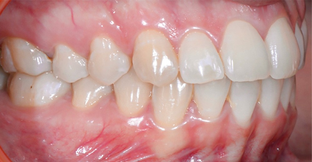
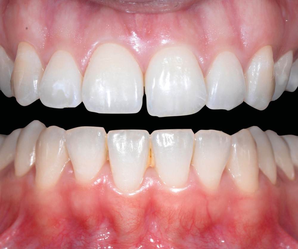
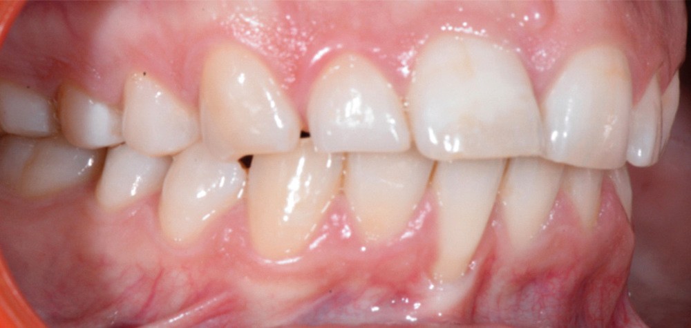
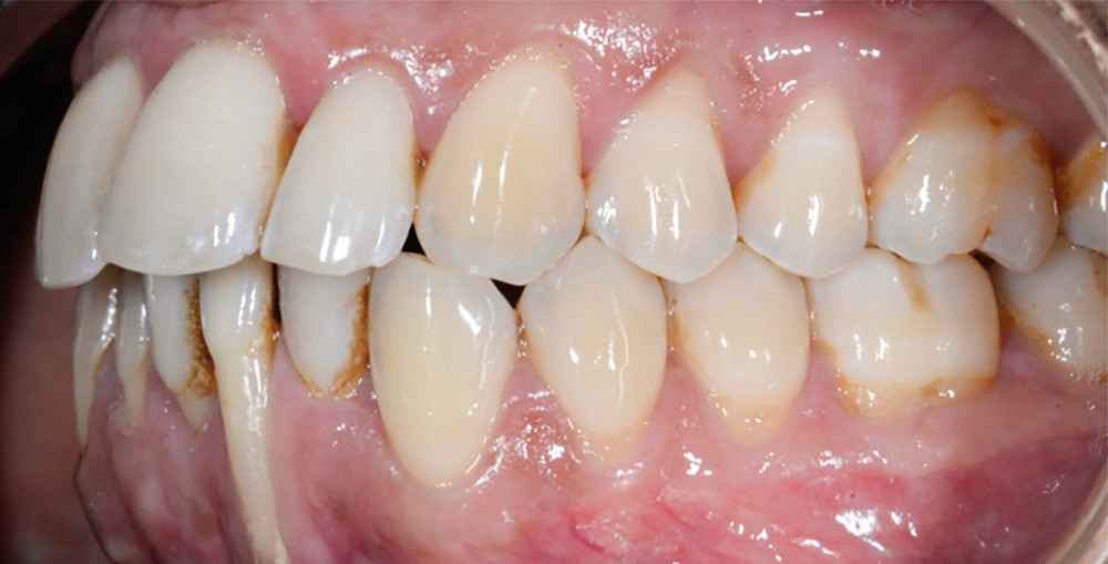
Une patiente de 26 ans est référée par son dentiste généraliste pour une suspicion de syndrome du fil. Un traitement orthodontique a été réalisé 10 ans auparavant et des contentions collées ont été placées à la fin du traitement. La patiente évoque plusieurs épisodes de casse/recollage, sans détails supplémentaires. Elle présente une hygiène bucco-dentaire correcte et une classe I droite et gauche (fig. 3a). En observant la figure 3b, les 11 et 21 présentent une différence de hauteur des bords libres ainsi qu’une différence des bords gingivaux. La 41 présente une récession gingivale jusqu’à la jonction muco-gingivale (RT1 de Cairo) avec visibilité radiculaire. La 33 présente une inclinaison linguale importante, non symétrique par rapport à la dent 43. La racine de la 21 est visible par transparence à travers la gencive (fig. 3c). La figure 3d permet d’objectiver l’importance de la récession gingivale au niveau de la 41. Les vues occlusales apportent des informations complémentaires, particulièrement pertinentes (fig. 3e et f). Une contention maxillaire est présente sur les 11 et 21 uniquement et une différence de visibilité des surfaces vestibulaires (torque différentiel) sur ces mêmes dents est constatée. à la mandibule, la contention est cassée en distal de la 42 et, malgré sa présence intacte sur 33, cette dent présente une visibilité accrue de sa face vestibulaire par rapport à sa controlatérale (torque différentiel). Finalement, les dents 31 et 41 présentent également une différence de visibilité de leur face vestibulaire.
En fin de compte, il s’agit d’un syndrome du fil sur la 21 de type « X effect », un syndrome du fil sur la 41 de type « X effect » ainsi qu’un syndrome du fil sur la 33 de type « twist effect ». Pour résoudre ces problématiques, nous avons préconisé de déposer les contentions, de réaliser un traitement orthodontique maxillo-mandibulaire correctif suivi d’une chirurgie muco-gingivale.
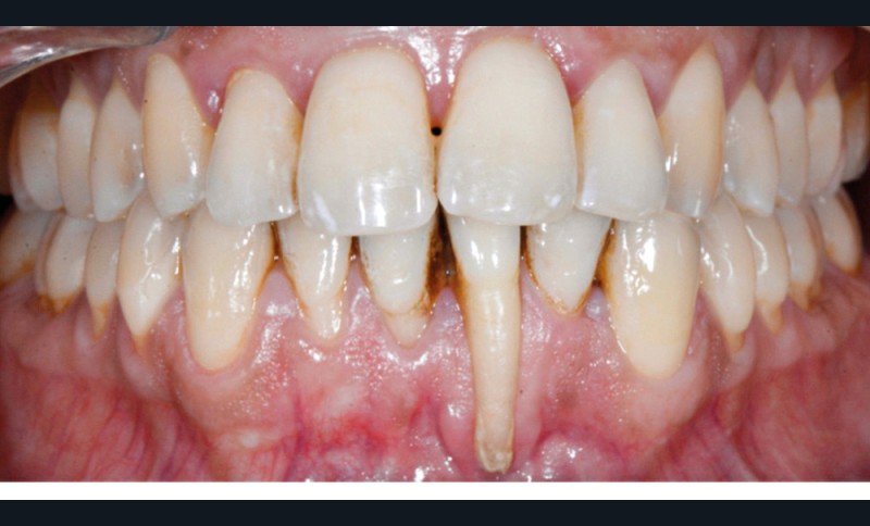
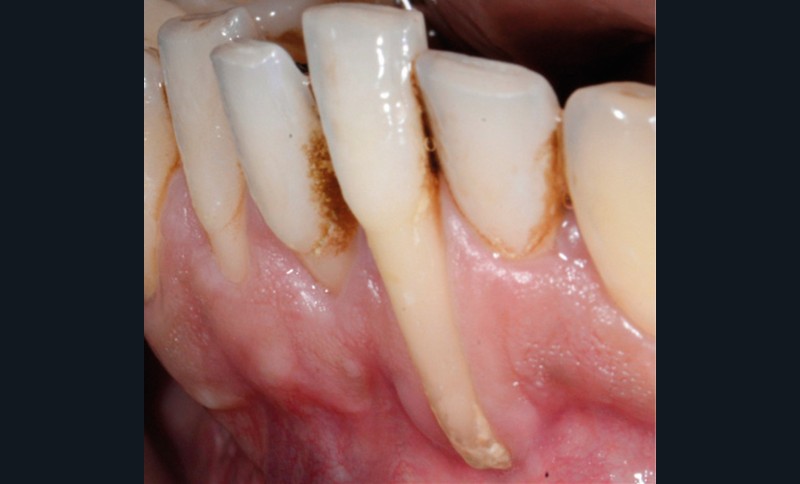
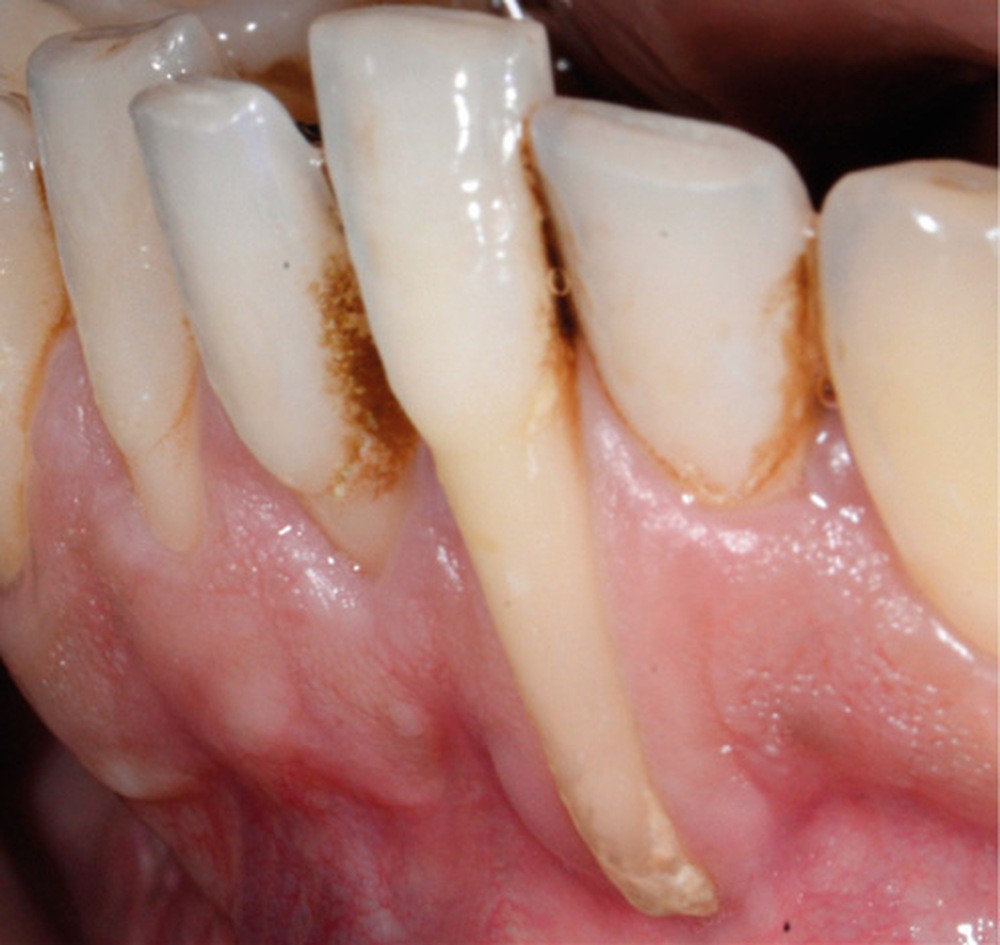
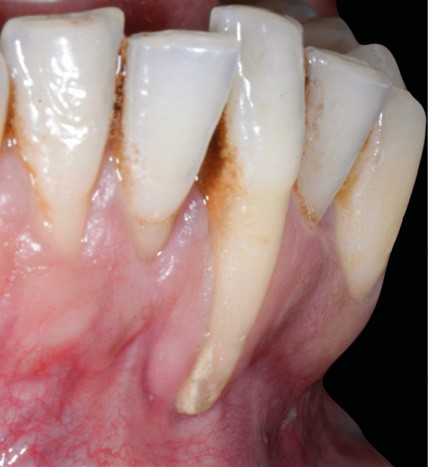
Syndrome du fil sévère
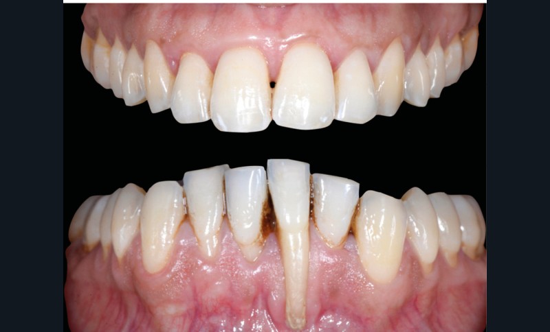
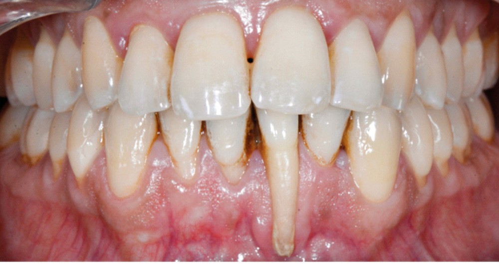
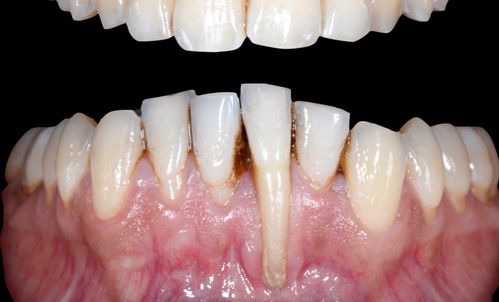
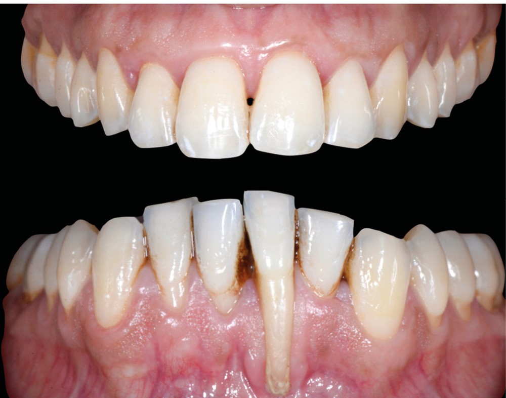
Un patient de 40 ans se présente pour une gêne sur la dent 31. Il évoque un traitement orthodontique réalisé dans le passé. Nous observons sur la figure 4a, que le patient est en classe I et présente une mauvaise hygiène bucco-dentaire associée à la présence de tartre dans la région incisivo-canine. La racine de la 31, visible jusqu’à son apex, est hors de l’os et est associée à une récession gingivale sévère (RT2 de Cairo). Les 41 et 42 présentent également une récession gingivale (RT2 et RT1 de Cairo). Les figures 4b et 4c montrent notamment une différence de hauteur des bords libres des incisives mandibulaires et l’importance de la visibilité de la racine de 31. Aucune contention n’est présente au maxillaire (fig. 4d), seul un résidu de contention mandibulaire, toujours collée sur 32 et 42, est visible (fig. 4e) ainsi qu’un encombrement incisif et une différence de visibilité de la face vestibulaire et radiculaire de la 31 par rapport aux controlatérales.
Dans cette situation clinique extrême, nous avons posé le diagnostic d’un syndrome du fil sévère et terminal sur la 31 de type « X effect » qui nous a amenés à poser l’indication d’extraction de la 31.
Conclusion
La mise en évidence du SF est récente et préoccupe de plus en plus de cliniciens, orthodontistes mais aussi omnipraticiens et parodontistes. La revue de la littérature que nous avons réalisée a permis de définir cliniquement ce phénomène pathologique et d’en préciser ses principales caractéristiques. Des études cliniques supplémentaires sont néanmoins nécessaires afin d’éclaircir ses mécanismes étiopathogéniques ce qui permettra, in fine, de proposer des thérapeutiques préventives efficaces.
























Commentaires