Causes de l’absence dentaire [3, 4]
Il existe plusieurs explications à l’absence d’une ou plusieurs dents sur l’arcade :
- l’agénésie ;
- l’expulsion ;
- les extractions dentaires pilotées, pour raison orthodontiques (même si le débat est ouvert) [5] ;
- les extractions dentaires pour raison traumatique, carieuse, infectieuse ou parodontale.
Ce manque a des répercussions générales, sur les autres dents des deux arcades, sur les tissus mous environnants et sur l’articulation.
Conséquences
Conséquences générales [6-8]
La première conséquence est esthétique, en fonction de la position de la dent dans la ligne du sourire, la seconde est fonctionnelle, avec une diminution du coefficient masticatoire.
La perte ou l’absence de dents affecte aussi la qualité de vie et l’estime de soi des patients (cela augmente avec le nombre de dents concernées).
Conséquences dentaires intra-arcade [8]
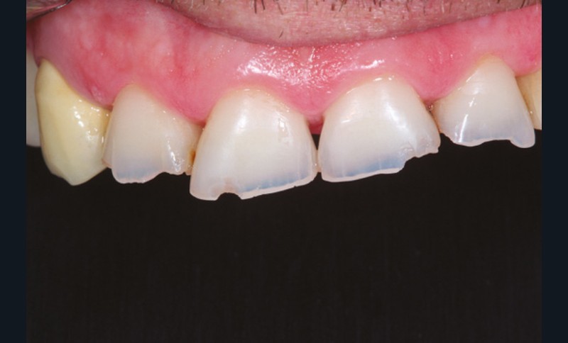
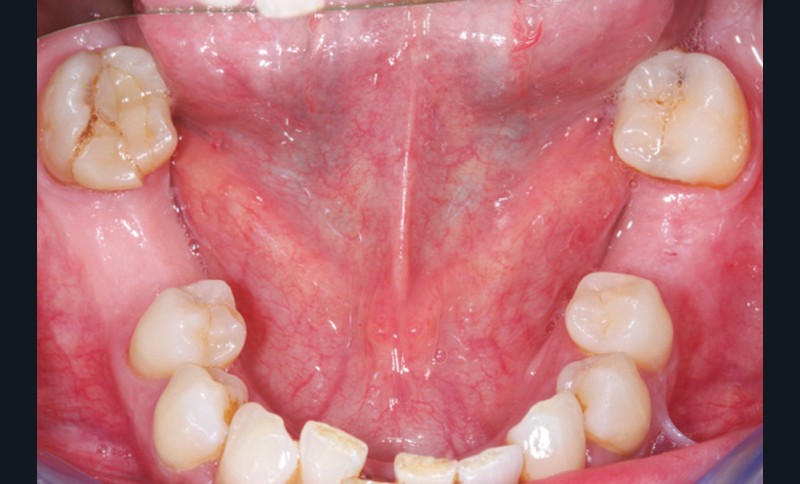
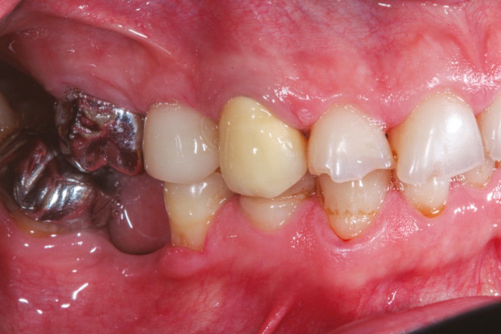
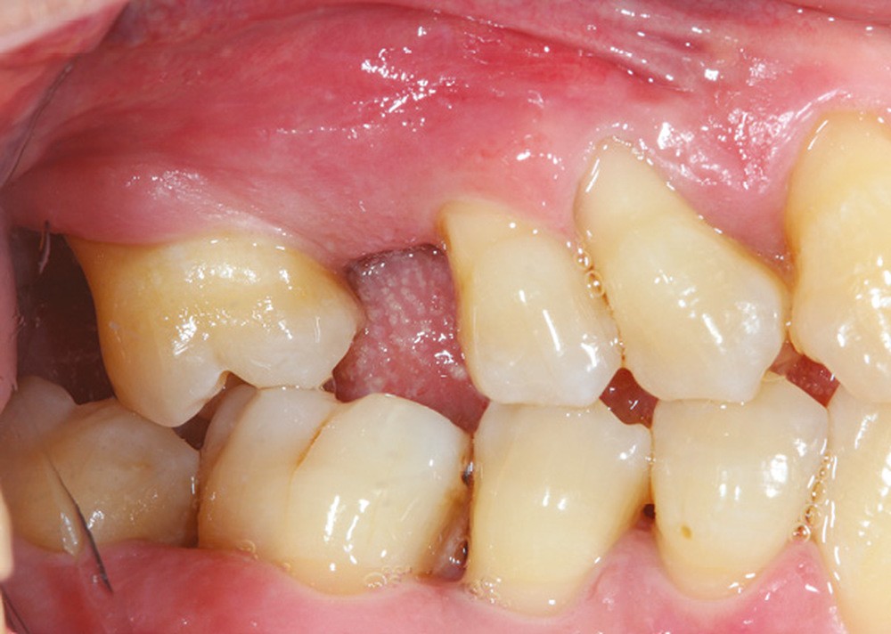
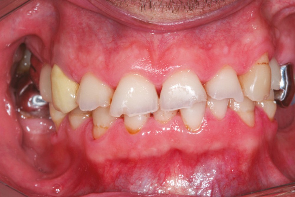
La perte d’une ou plusieurs dents entraîne la perte des points de contact, responsables de la stabilité et de la continuité de l’arcade. Par conséquent, une avulsion a pour première conséquence la migration ou la version d’une ou plusieurs dents distales (fig. 1 et 2). Cela est vrai en antérieur comme en postérieur.
L’âge de survenue de l’extraction semble avoir une importance sur l’apparition des migrations et des versions : si l’édentement intervient après 26 ans, les conséquences sont moins fréquentes [9].
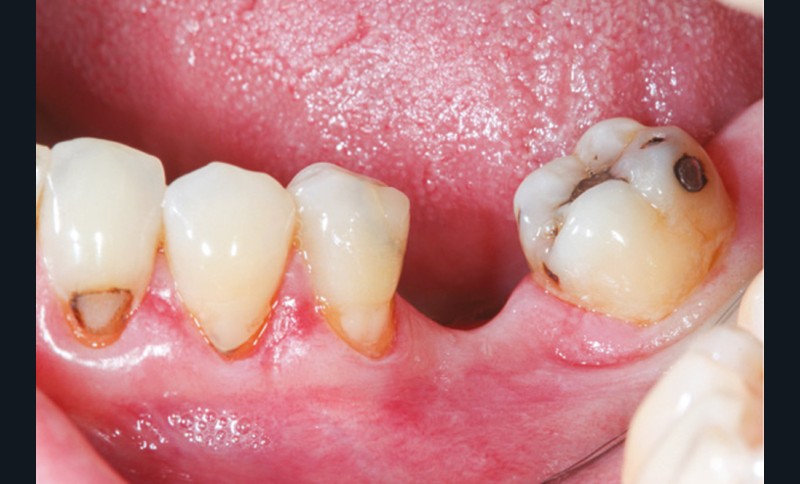
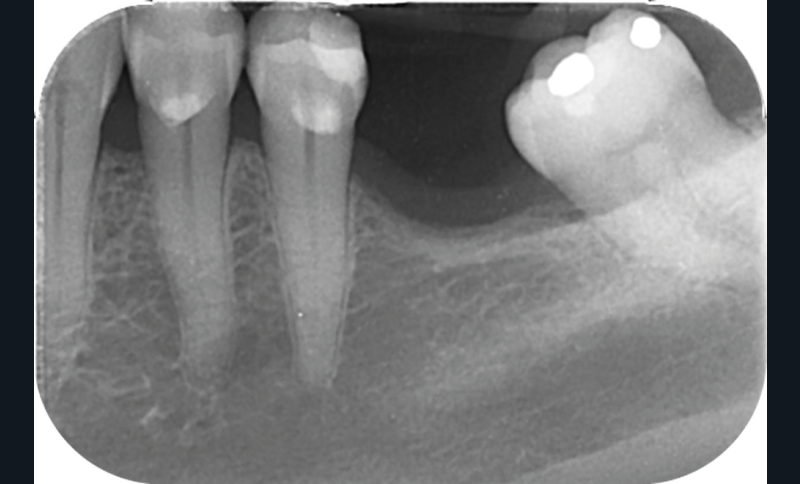
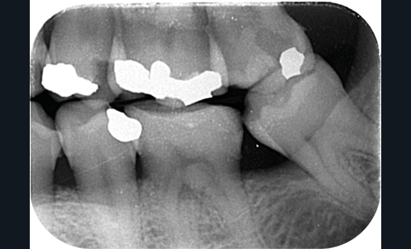
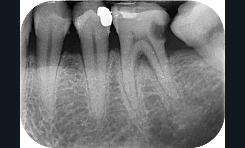
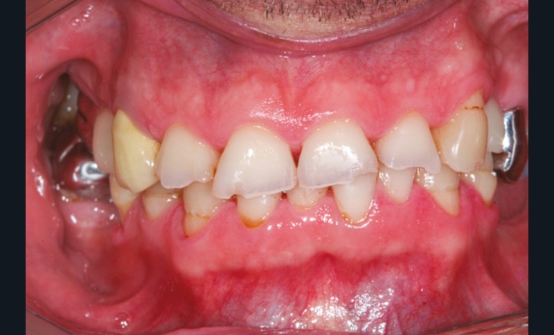
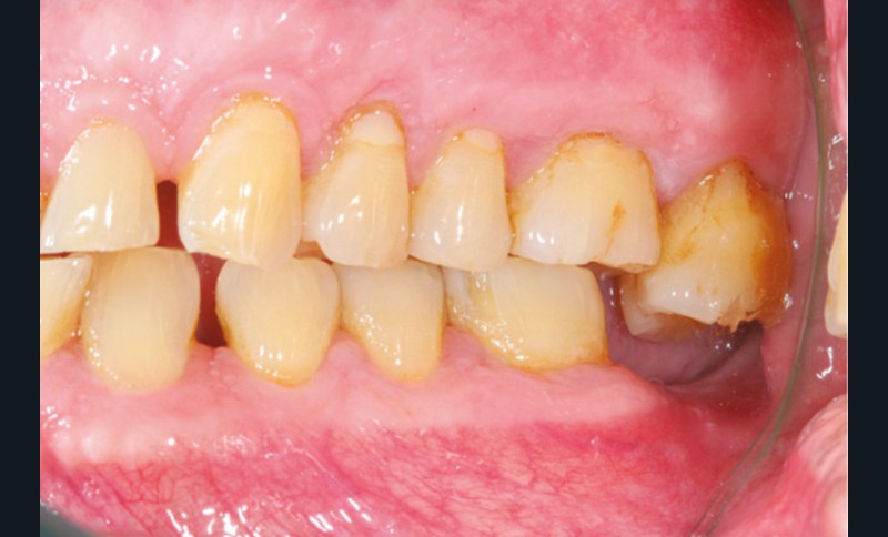
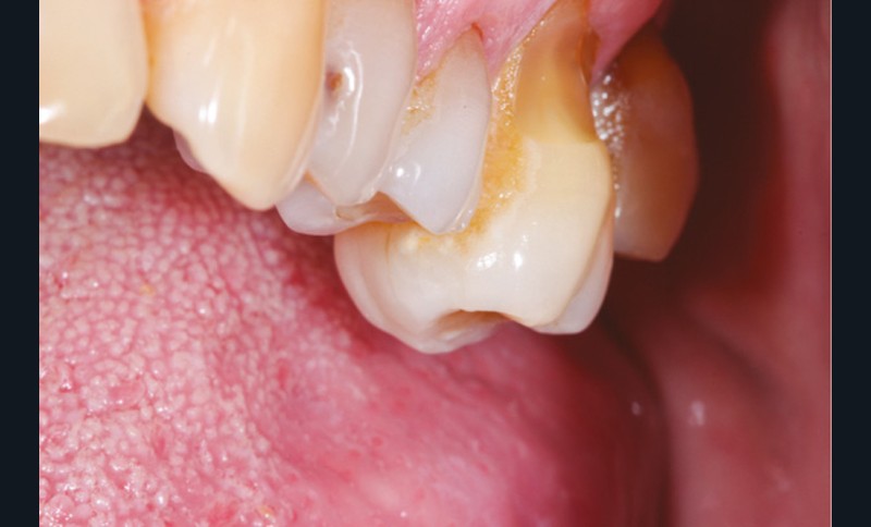
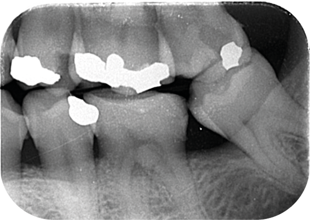
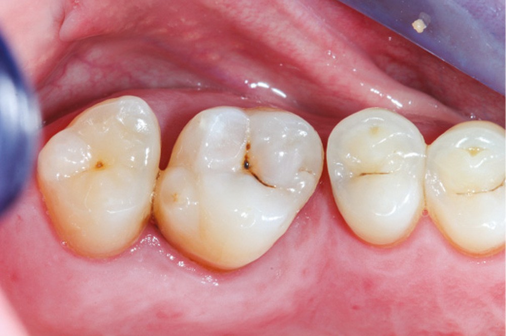
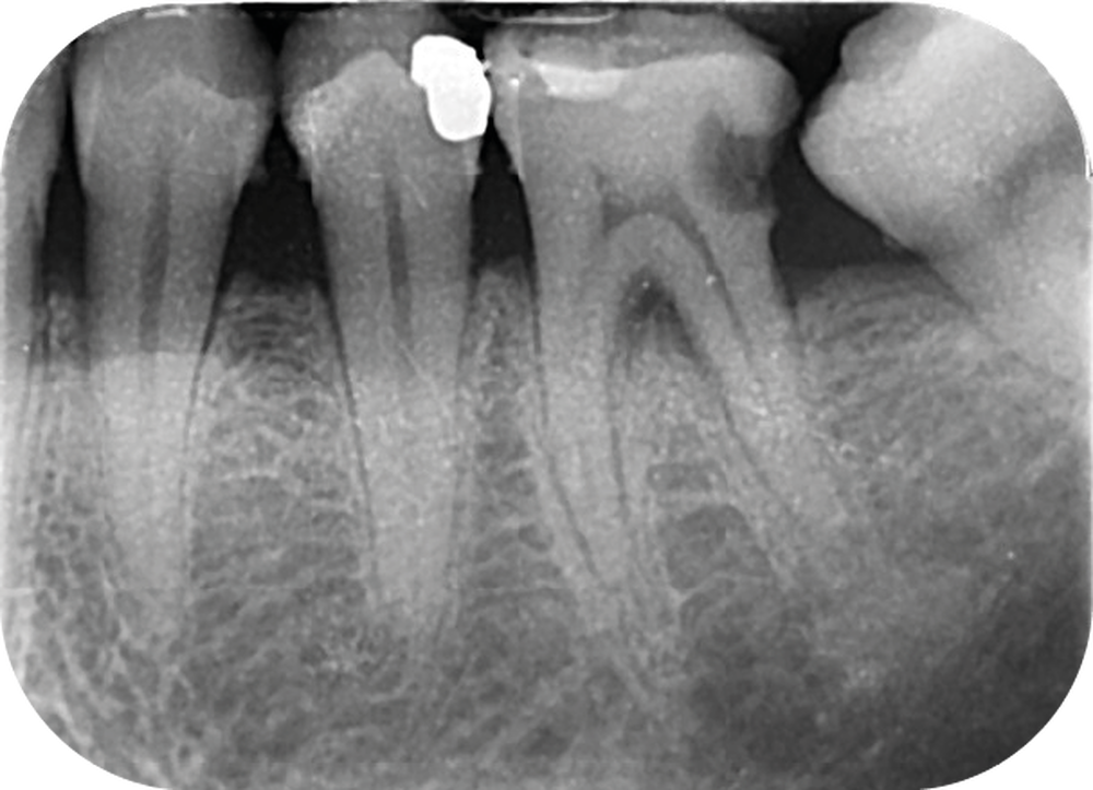
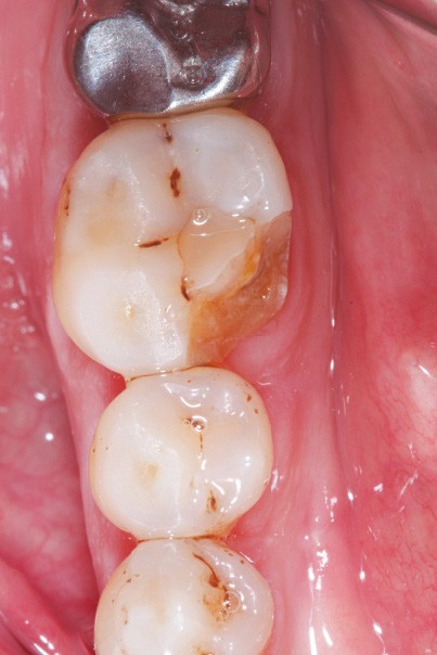
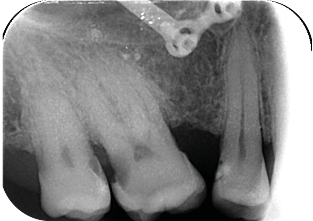
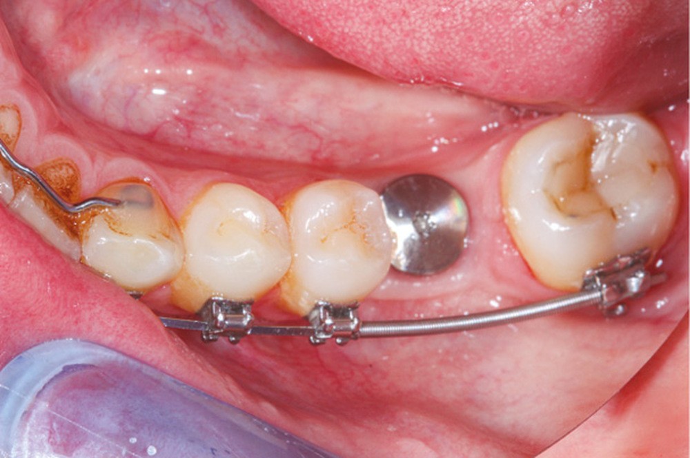
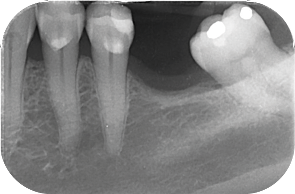
Cette version, quand elle se produit, modifie les espaces interdentaires et complique l’hygiène proximale des patients. Des caries peuvent alors se développer en interproximal sans que cela soit forcément visible à l’examen visuel (fig. 3 et 4). Les radios de type bite-wing (rétro-coronaires) prennent alors tout leur sens (fig. 5 et 6).
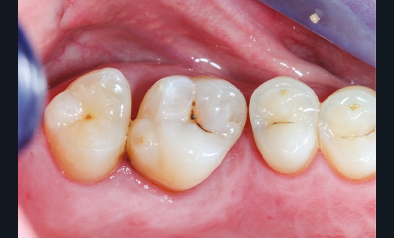
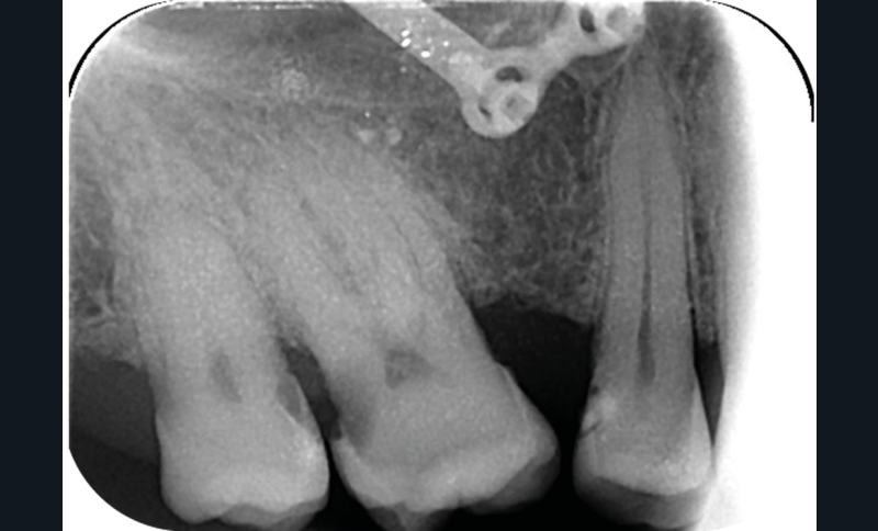
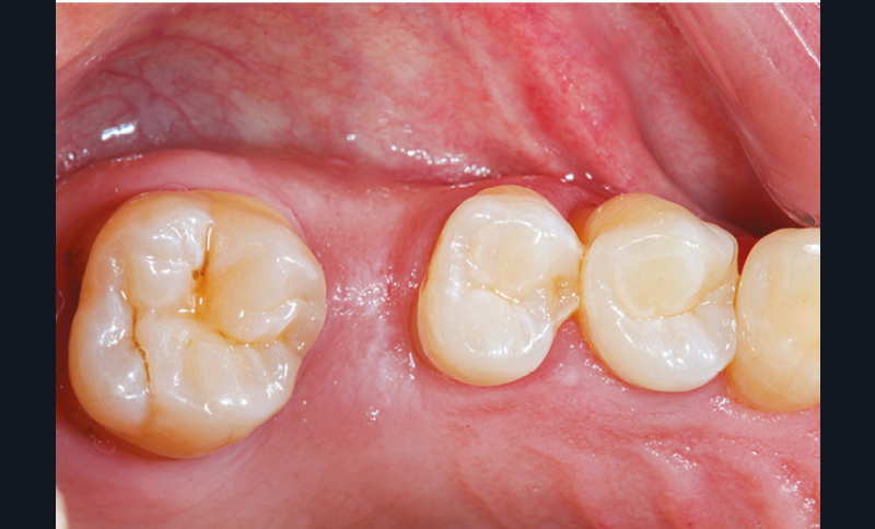
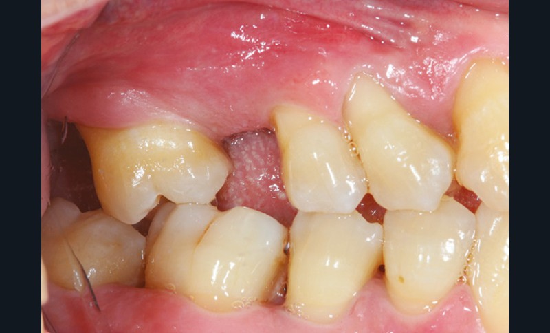
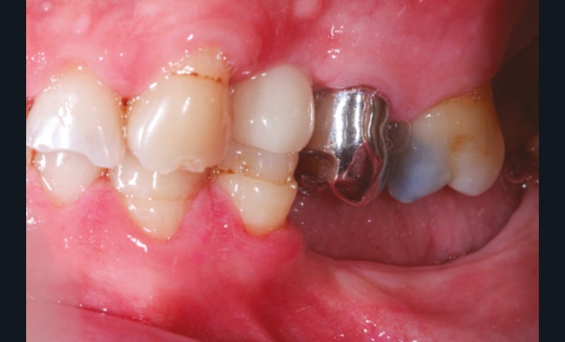
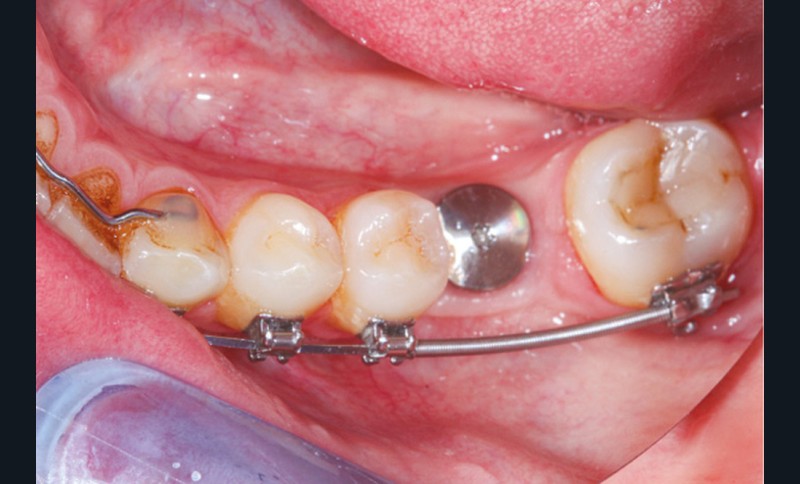
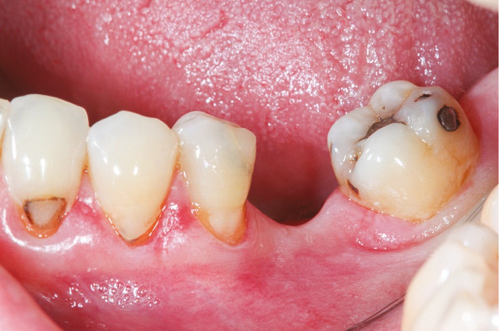
La version des dents distales peut aussi avoir des conséquences parodontales désastreuses : sur un parodonte réduit, une hypermobilité peut se développer, une poche parodontale peut aussi apparaître. Chez un patient parodontal, un « effet domino » est possible, des extractions non compensées diminueront donc le pronostic des dents restantes (fig. 7 à 9).
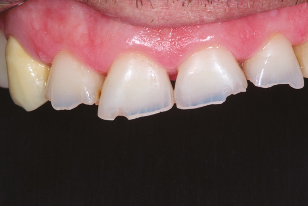
Le principe de protection mutuelle implique que les dents postérieures protègent les antérieures lors de la mastication. Des extractions non compensées de molaires, par exemple, entraîneront une hypersollicitation des antérieures et une usure importante du fait du principe de calage ainsi qu’un risque de perte de dimension verticale (fig. 10 à 13).
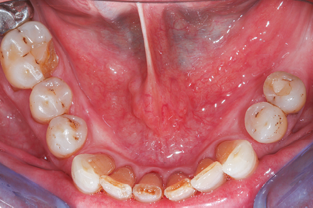
La répartition de la charge occlusale sur l’ensemble d’une arcade est aussi perturbée après une ou plusieurs extractions, ce qui peut occasionner des surcharges occlusales pour les dents restantes. Selon le délabrement coronaire de la dent [10], une fracture coronaire amélo-dentinaire ou corono-radiculaire peut intervenir sous cette surcharge occlusale et engager le pronostic de la dent concernée (fig. 14 à 17).
Conséquences dentaires inter-arcade [8]
Des conséquences sur l’arcade antagoniste s’ajoutent à toutes les perturbations de l’arcade concernée. La dent antagoniste à l’édentement n’est plus calée et peut par conséquent s’égresser. Cette égression modifie les points de contact et les espaces interdentaires, pouvant conduire à des tassements alimentaires et des caries secondaires [18, 19].
Conséquences muqueuses [11, 12]
Une extraction non compensée entraîne une vacuité de l’arcade par laquelle la muqueuse peut être « aspirée ». Il en résulte une excroissance de la joue ou de la lèvre par exemple, de forme sphérique le plus souvent. Il s’agit d’une tumeur bénigne correspondant à une hyperplasie fibro-épithéliale. Cette hyperplasie peut être retirée, mais il y aura récidive jusqu’au rétablissement de la continuité de l’arcade. Cela peut être gênant esthétiquement, mais peut aussi être à l’origine de morsures lors de la phonation ou de la mastication (fig. 20 et 21).
Conséquences articulaires
Les versions, migrations et égressions des dents à la suite d’une extraction modifient le schéma occlusal et peuvent entraîner des interférences travaillantes et non travaillantes, ainsi que des prématurités.
Même si une seule extraction non compensée n’entraîne a priori aucun trouble de l’articulation temporo-mandibulaire (ATM) [8], la répétition pourrait nuire à sa santé et générer des douleurs articulaires.
Ces conséquences articulaires sont heureusement assez rares et bien moins fréquentes que celles précédemment citées [13, 14].
Conséquences en cas d’extraction multiples
Des extractions multiples, simultanées ou graduelles, auront des répercussions sur les dents restantes et sur les tissus mous.
En effet, en cas d’extractions multiples, il est fréquent de constater une diminution de la dimension verticale et une perlèche labiale. Il s’agit d’une chéilite angulaire, liée à des perturbations de la coaptation labiale. Elle est un peu similaire à celle retrouvée chez les patients édentés complets chez qui la dimension verticale est sur- ou sous-évaluée [15].
Des extractions multiples non compensées peuvent aussi occasionner une usure excessive des dents restantes, en raison de leur sollicitation occlusale trop importante.
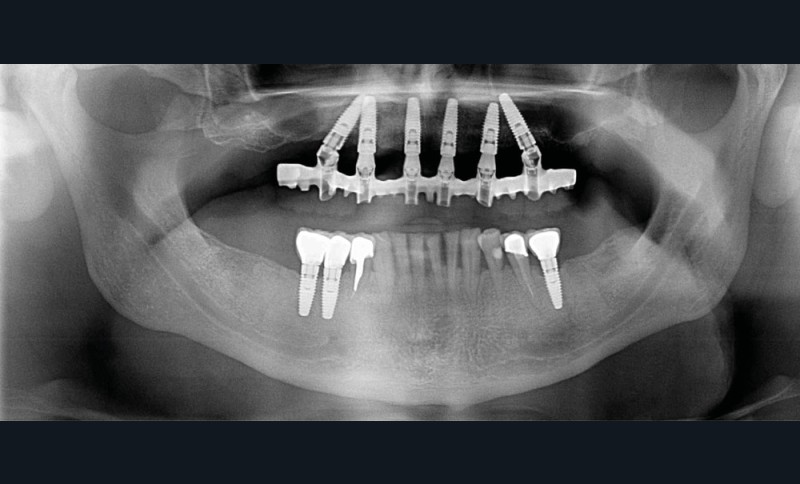
La prise en charge de ces édentements nécessite un examen complet du site implantaire et de l’environnement [16]. Les conséquences du non-remplacement rapide que nous venons d’énumérer sont à prendre en compte et à corriger pour une intégration optimale de la restauration prothétique implantaire. Ainsi, des corrections orthodontiques peuvent être nécessaires avant ou pendant la thérapeutique implantaire.
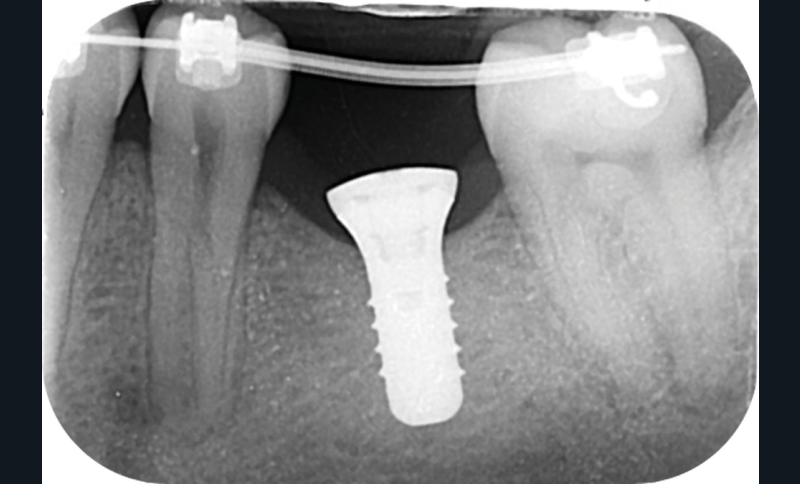
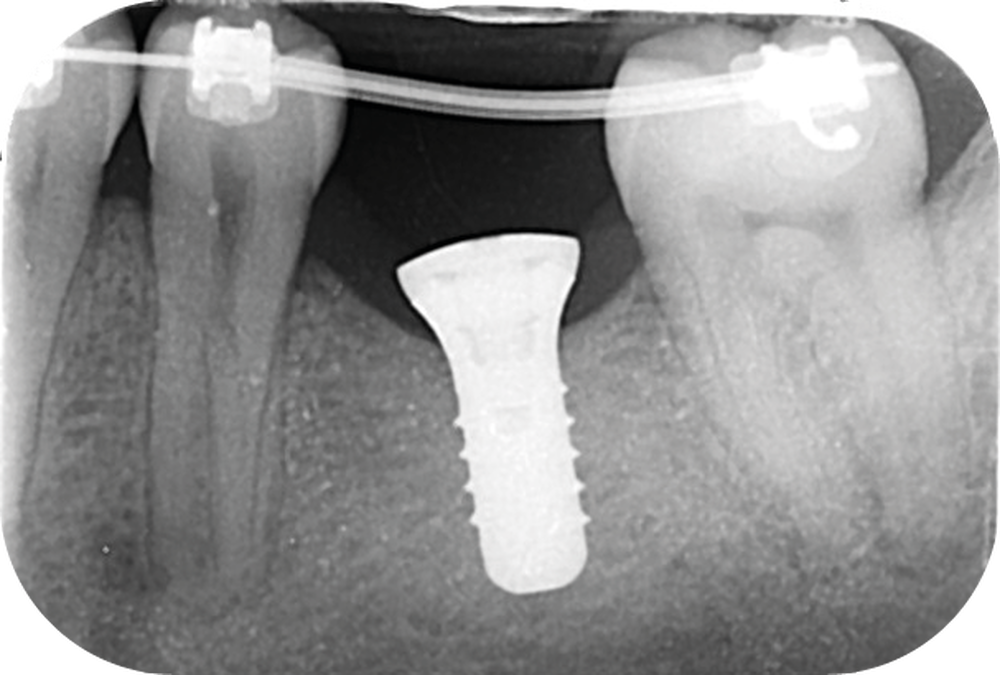
Le temps de l’ostéointégration, des versions ou migrations sont aussi possibles et le recours à des dispositifs de maintien de l’espace peut se révéler indispensable (fig. 22 et 23).
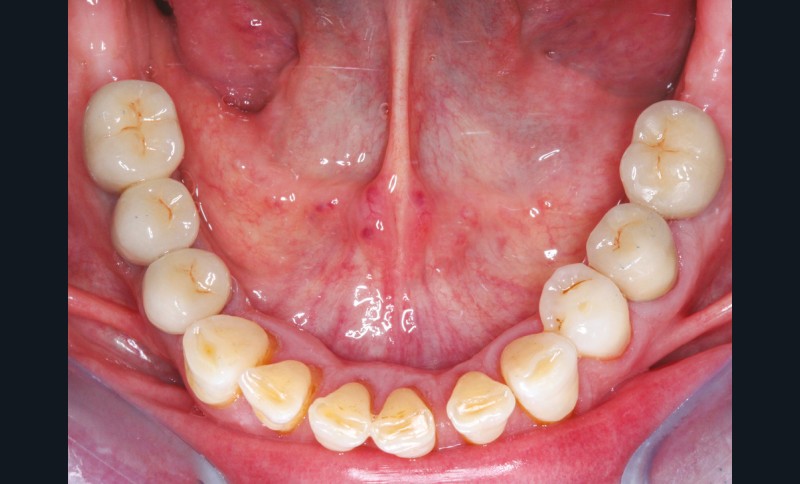
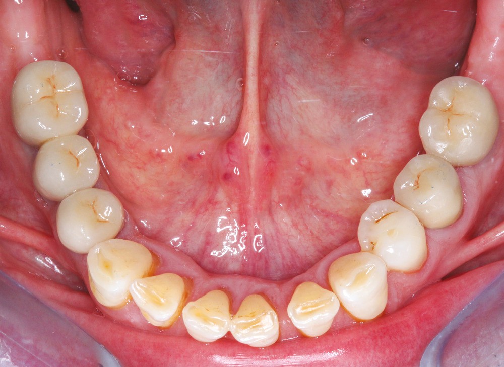
Particularité des « arcades courtes » [17-19]
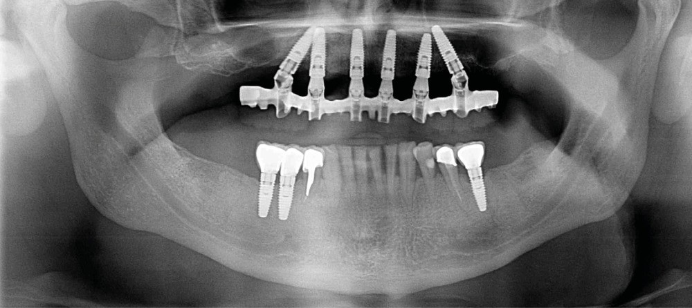
Lorsque les deux deuxièmes molaires sont extraites ou absentes chez un patient, l’arcade est dite courte. Selon la littérature, cette arcade courte (mais équilibrée : il y a autant de dents absentes de chaque côté) est compatible avec une préservation des dents restantes. Il est également établi que le parodonte des dents résiduelles se comportera mieux en absence de traitement qu’en présence de prothèse amovible. Le taux de survie des dents bordant l’édentement en présence de prothèses amovibles est plus faible que lors d’abstention thérapeutique [20].
L’abstention thérapeutique est une option envisageable lors d’extractions dentaires. Cependant, une surveillance est nécessaire et une analyse du cas clinique (âge du patient, position et nombre des dents absentes par exemple) est recommandée pour ne pas observer les conséquences évoquées ici. La réhabilitation de patient sur le modèle de l’arcade courte est une thérapeutique validée scientifiquement, et satisfaisante pour les patients (fig. 24 et 25).
Conclusion
L’intégrité d’une arcade dentaire est un équilibre qu’il faut savoir évaluer et maintenir, et cela est d’autant plus vrai après une ou plusieurs avulsions. Le praticien a pour devoir d’expliquer à son patient toutes les conséquences dentaires, muqueuses, occlusales, parodontales et articulaires potentielles d’un non-remplacement des organes dentaires retirés. Ces modifications ne sont pas forcément systématiques et immédiates et le patient ne prend pas toujours conscience des perturbations à venir, surtout sur le long terme.
L’implant dentaire est un bon moyen de remplacement. Cependant, l’abstention thérapeutique [9, 21] avec une surveillance est également possible.
Bien entendu, le mieux serait de ne plus avoir à compenser des dents extraites, mais juste à prendre en charge des agénésies le plus tôt possible. Cependant, il y a fort à parier que cet acte invasif, si redouté des patients, sera encore pratiqué dans nos cabinets malgré les progrès des soins conservateurs et prothétiques et le développement de la prévention bucco-dentaire.

























Commentaires