« Un enfant une dent », un vieil adage
« Un enfant, une dent » est une croyance qui repose sur l’idée que le futur enfant puiserait dans les réserves en calcium de la mère, entraînant une carence et une décalcification des dents de cette dernière, provoquant la perte d’une ou plusieurs dents.
On sait aujourd’hui que le calcium des dents ne fait pas partie des réserves mobilisables. Cependant, il existe d’importants changements physiologiques et hormonaux durant la grossesse. Si l’imprégnation œstro-progestative ne fragilise pas la structure de la dent en elle-même, elle a néanmoins un impact sur l’ensemble la sphère bucco-dentaire, pouvant avoir des effets délétères chez la femme enceinte, et pour son futur enfant. L’American Academy of Pediatric Dentistry (AAPD) montre un lien direct entre le risque d’accouchement prématuré, de naissance d’enfant de faible poids et de prééclampsie, et une mauvaise santé bucco-dentaire de la future maman [1].
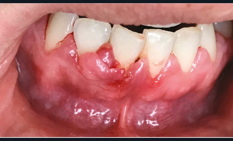
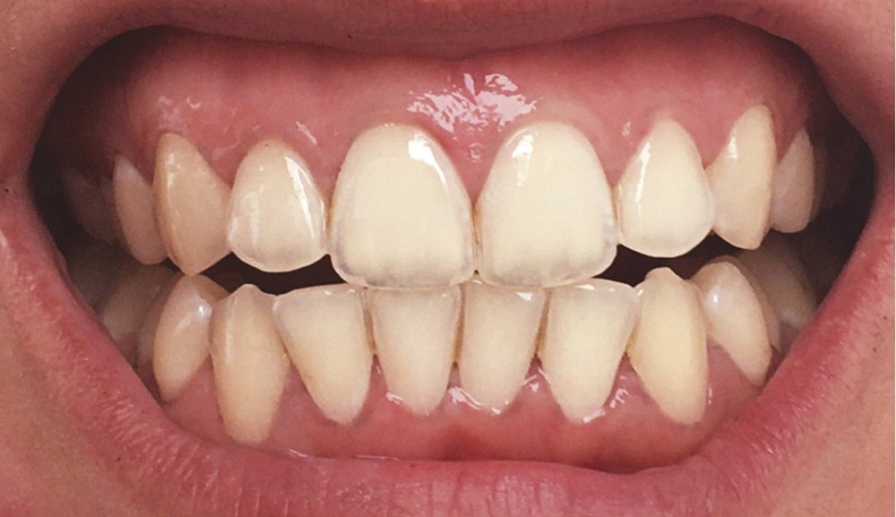
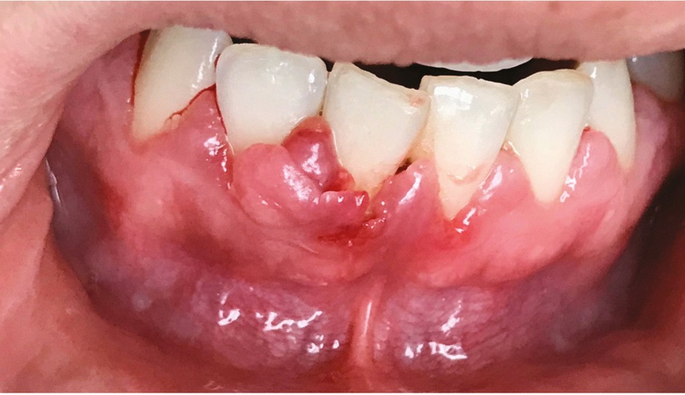
Les modifications hormonales à mettre en relation avec l’hygiène bucco-dentaire, les paramètres socio-économiques, l’âge précoce de la grossesse ainsi que l’augmentation du grignotage pourraient augmenter la prévalence des caries dentaires chez la femme enceinte. Ces patientes sont régulièrement sujettes à des envies multipliant le nombre de prises alimentaires souvent très riches en sucre. Ces apports sucrés, associés à la baisse du pH salivaire lors de la grossesse, entraînent un déséquilibre du cycle déminéralisation et de reminéralisation. Le risque carieux peut être augmenté, ainsi que la susceptibilité à l’érosion dentaire accrue par les vomissements et/ou les reflux gastro-œsophagiens [2]. L’action hormonale peut également avoir des répercussions sur les tissus parodontaux. La gingivite gravidique observée sur plus d’une femme enceinte sur deux, constitue une réponse inflammatoire de la gencive exacerbée par la présence de plaque bactérienne, et favorisée par l’augmentation des taux d’œstrogène et de progestérone [3] (fig. 1). 5 % des futures mères développeront un épulis, dont l’étiologie reste méconnue (fig. 2) [4].
Une étude française [5] révélait que plus de la moitié des femmes enceintes avaient souffert d’un problème dentaire pendant leur grossesse : douleurs dentaires, et/ou gingivales (saignements…). Cependant, moins de la moitié d’entre elles avaient consulté son chirurgien-dentiste. Elles étaient convaincues, à tort, de la dangerosité des radiographies, des produits d’anesthésie, et/ou de certains matériaux utilisés par leur praticien et craignaient de mettre en danger leur futur enfant. Pour les inciter à consulter, l’Assurance Maladie propose aux futures mamans, depuis 2014, un bilan bucco-dentaire pris en charge à 100 % et sans avance de frais. Actuellement, très peu de femmes enceintes font cette démarche préventive. Moins de 15 % d’entre elles consultent un chirurgien-dentiste pour un examen prophylactique pendant leur grossesse.
Si l’adage « Un enfant une dent » n’a pas de fondements, la grossesse est une période à risque pour la santé bucco-dentaire de la future maman. De peur de nuire au bon déroulement de la grossesse, les patientes, et parfois même les professionnels de santé, ont tendance à repousser les soins dentaires après l’accouchement. L’éducation des patientes enceintes est donc essentielle, et la grossesse doit être un moment opportun pour le chirurgien-dentiste de leur apporter les recommandations et les soins nécessaires au maintien de leur bonne santé et de celle de leur futur enfant.
Le mythe du collier d’ambre
L’ambre est une résine fossilisée autrefois issue de pins ; elle est aujourd’hui extraite des fonds de la mer Baltique. Les colliers d’ambre sont des bijoux constitués d’un assemblage de perles de cette résine de différentes formes et couleurs allant du jaune citron au brun sombre, polies ou non.
Jusqu’à la fin du XIXe siècle, la mortalité infantile était élevée et, face à des moyens médicaux encore limités, il était alors légitime d’avoir recours à des pratiques religieuses ou ésotériques : le port de colliers de dentition, notamment d’ambre, était utilisé pour traiter les poussées dentaires et l’ensemble des symptômes associés (douleurs, fièvre, etc.). Encore aujourd’hui, le port de colliers d’ambre (fig. 3) reste une tradition populaire, ses vertus alléguées, principalement antalgiques lors de l’éruption des dents temporaires, se transmettent encore de génération en génération.
Si ses différents bienfaits sont totalement infondés scientifiquement, les risques qu’ils peuvent engendrer sont bien réels [6] ! Depuis le début des années 90, les professionnels de santé mettent en garde contre le port de colliers chez les enfants de moins de 3 ans, principalement ceux en ambre, à la suite du report de plusieurs accidents d’asphyxie dus à une strangulation ou à une inhalation des perles. En 2000 aux États-Unis, les étranglements par collier étaient la première cause de mortalité traumatisante chez les enfants de moins d’un an [7]. En 2003, l’hôpital Necker recensait trente décès d’enfants par étranglement mettant en cause, entre autres, colliers et chaînettes. La Société Française de Pédiatrie (SFP), alertée, avait alors vivement déconseillé le port de tout collier chez les enfants de moins de 3 ans [8]. Et de nouvelles règles de fabrication ont été exigées [9] :
- dans le but d’éviter l’ingestion ou l’inhalation des perles, un nœud entre chacune d’elles est obligatoire ;
- le fermoir doit pouvoir s’ouvrir en cas de traction supérieure à 2,5 kg ; ainsi, si le collier s’accroche, l’ouverture évitera la strangulation du bébé ;
- enfin, chaque collier doit être vendu avec sa notice de sécurité.
En 2011, la Direction Générale de la Concurrence, de la Consommation et de la Répression des Fraudes (DGCCRF), à la suite d’une série de contrôles, a montré que 9 colliers d’ambre sur 10 n’étaient pas conformes aux normes de sécurité. En 2015, elle a renouvelé son enquête : 28 de ces produits sur 32 présentaient des signes de dangerosité pour l’enfant, principalement par manquement aux règles en vigueur.
Aujourd’hui, aucune réglementation n’interdit la vente de ces bijoux. Si les fabricants et les sites internet sont désormais plus prudents, certains continuent à mettre en avant les fausses vertus des colliers d’ambre, allant à l’encontre de l’article L.5122-15 du Code de la santé publique qui stipule l’interdiction de vanter des propriétés médicales en l’absence de preuve scientifique et d’en faire la publicité [10].
Les prétendues vertus thérapeutiques des colliers en ambre sont totalement infondées. Pire : faire porter de tels bijoux à un bébé lui fait courir un risque mortel par strangulation ou étouffement !
« Blanchir » ses dents à la maison
Avoir des dents parfaitement blanches est aujourd’hui synonyme de beauté, de jeunesse, de séduction, de santé, et véhicule également l’idée de réussite sociale. De nombreuses techniques existent en dentisterie pour améliorer l’esthétique dentaire : détartrage-polissage, aéropolissage, blanchiment interne ou externe, facettes… Cependant, les patients, et principalement les jeunes patients, souvent refroidis par le prix d’un blanchiment dentaire, réputé coûteux, se tournent facilement vers des « recettes de grand-mère » ou certains produits très populaires actuellement. Leurs effets miracles sont largement relayés par les publicités, de nombreux sites internet et les réseaux sociaux. Si l’utilisation de ces remèdes est difficilement chiffrable du fait de leur usage domestique, près de 40 % des Français y auraient recours. Hormis les avantages économiques, les patients y voient également un avantage écologique relatif à l’utilisation de produits « naturels », « sans risques » permettant de préserver la planète…
Le citron
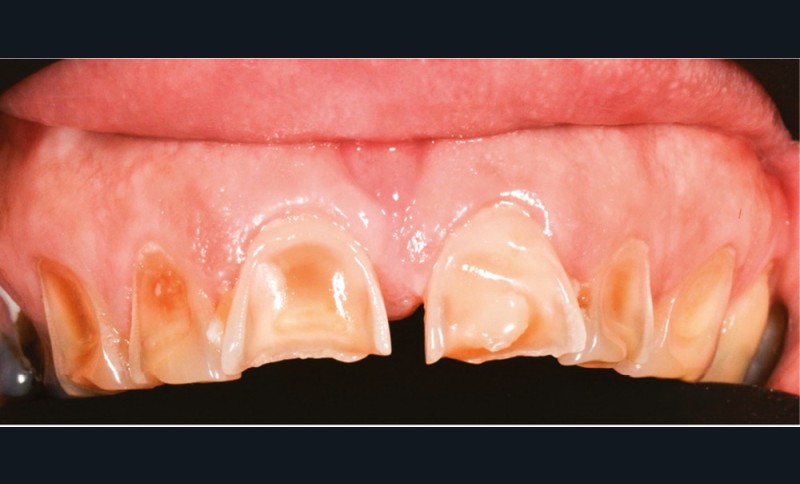
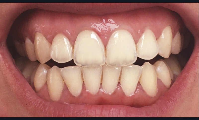
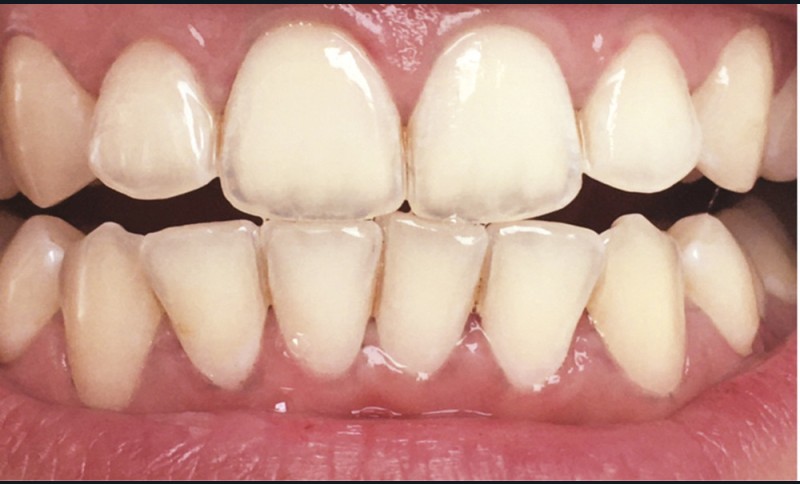
Lorsque l’on consulte les sites internet, il n’existe pas de consensus quant à la technique de son utilisation. Il est généralement conseillé de frotter du citron directement sur les dents (fig. 4), ou de tremper sa brosse à dents dans du jus de citron pur et d’effectuer son brossage. Certains « tutoriels » préconisent d’utiliser ce jus ou de l’eau citronnée comme bains de bouche ! Toutes ces stratégies pour « blanchir » les dents font appel à l’acide citrique contenu dans le citron. Cet acide est l’un des composants les plus présents dans les sodas et autres boissons acides. Si les consommateurs connaissent l’effet néfaste de ces boissons sur leurs dents, ils ne font malheureusement pas le rapprochement avec le citron, un fruit, forcément bon pour la santé. Malgré un grand nombre d’études démontrant les effets nocifs érosifs du citron sur les dents définitives comme sur les dents temporaires, ces pratiques continuent à être couramment utilisées [11].
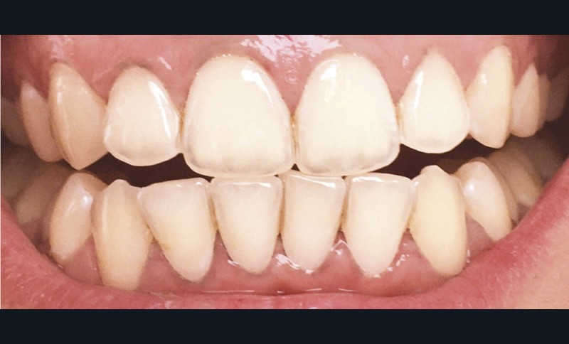
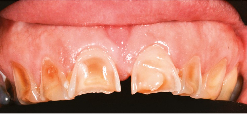
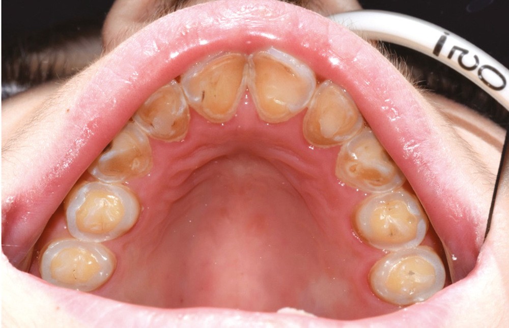
Le processus d’érosion peut être divisé en deux étapes. La première est une déminéralisation partielle. À ce stade, une reminéralisation reste possible car de l’émail déminéralisé subsiste et des ions, calciums, phosphates ou du fluor, peuvent encore s’y fixer. Quand l’utilisation d’un acide devient trop fréquente par rapport aux processus de reminéralisation, les couches superficielles d’émail fragilisées à l’occasion de la première étape sont éliminées. La perte de substance est alors irréversible (fig. 5). Après la perte de l’émail, celle de la dentine sera plus rapide du fait de sa moindre minéralisation [12]. Ces lésions peuvent entraîner des sensibilités difficiles à éradiquer et créer un déficit esthétique, à l’opposé de l’effet recherché initialement. Les effets déminéralisants de l’acide citrique, rendraient la dent plus sensible aux lésions d’abrasion et d’attrition, augmentant d’autant plus la perte de substance [14].
Le biofilm qui se reforme en quelques minutes après le brossage, protège contre l’érosion en agissant comme une barrière de diffusion ou une membrane à perméabilité sélective limitant le contact direct entre et la surface de la dent et les acides [13]. L’action de frotter du citron ou d’en imbiber sa brosse à dents réduit ou supprime l’épaisseur de la pellicule, compromettant ainsi ses propriétés protectrices. Un brossage réalisé juste avant l’application d’acide citrique est donc délétère. Il en est de même immédiatement après, car cela va éliminer l’émail préalablement déminéralisé par le citron.
Des études [15, 16] de l’état de santé bucco-dentaire tendent à montrer que la prévalence de l’érosion dentaire a augmenté dans les pays industrialisés, alors que celle des lésions carieuses a diminué de façon constante au cours de ces quarante dernières années. Ces érosions, que nous diagnostiquons de plus en plus souvent chez nos jeunes patients, pourraient devenir un problème de santé publique.
Le charbon
Le charbon est connu pour ses propriétés d’adsorption. Pour cette raison, l’Organisation Mondiale de la Santé (OMS), dans les années 90, l’avait listé comme traitement contre les empoisonnements et les overdoses [17].
Si le charbon était initialement grossièrement moulu, on l’utilise aujourd’hui sous forme d’une fine poudre de charbon dit activé. Son processus de fabrication se déroule en deux étapes. La première est la calcination à ultra-haute température de bois tendres comme le tilleul et le peuplier ou de coques de noix coco. Une première porosité est ainsi créée. Le charbon est ensuite activé par une action physique et/ou chimique, ce qui le rend hautement poreux et augmente son pouvoir d’adsorption. Selon la nature de la substance organique utilisée, sa méthode de préparation et la taille des particules, le potentiel d’abrasivité du charbon est très variable.
À l’heure où les ingrédients naturels sont en vogue, les produits à base de charbon végétal se sont fait une place dans les rayons cosmétiques et ceux des parapharmacies (masques, shampoings…). Et les dentifrices n’ont pas échappé à cette nouvelle tendance ! Tous ces produits vantent l’effet « blanchissant » et leurs avantages pour l’hygiène dentaire en général. Cependant, la capacité blanchissante et autres propriétés des dentifrices au charbon sont scientifiquement largement mises en doute. Au contraire, ces produits favoriseraient les caries dentaires et, à long terme, pourraient induire des effets nocifs sur les dents et les tissus parodontaux (colorations, abrasion…) [18].
Brooks et al. en 2017 [19] ont publié une revue de la littérature à partir de 118 articles et d’une base de données de cinquante dentifrices au charbon sur l’efficacité et la sûreté de ces produits. Leur première conclusion est alarmante : seulement 8 % de ces dentifrices contenaient du fluor. Et parmi ces derniers, les fluorures étaient peu ou pas efficaces pour lutter contre l’apparition de lésions carieuses. Le charbon, en raison de son fort pouvoir adsorbant, pourrait, au moins en partie, adsorber le fluor et réduire son action carioprotectrice. Les dentifrices au charbon végétal testés se voulaient « détoxifiants », « antibactériens » et « antifongiques » ; aucun de ces effets n’a pu être démontré dans la littérature, ne s’agissant que d’arguments marketing sans preuves scientifiques. 96 % des dentifrices promouvaient un effet blanchissant tout en étant peu abrasifs. Les dentifrices dits blanchissants, incluant ceux à base de charbon, possèdent uniquement un effet sur les colorations extrinsèques dues aux habitudes quotidiennes (tabac, café, thé…) par action de polissage grâce aux substances abrasives qu’ils contiennent [20]. Plus un dentifrice est abrasif, plus il est efficace pour éliminer les taches extrinsèques, mais son utilisation peut aussi engendrer des lésions d’abrasion. Le degré d’abrasivité des pâtes de dentifrice doit conserver au maximum l’intégrité des tissus dentaires tout en gardant une action nettoyante. Les fabricants doivent choisir le meilleur compromis pouvoir polissant/abrasivité.
L’abrasivité d’un dentifrice est quantifiée par l’indice relatif d’abrasion de la dentine, ou RDA (Relative Dentin Abrasivity). Cet indice renseigne sur le pouvoir abrasif d’un dentifrice en le comparant, en laboratoire, avec un témoin de référence dont l’indice est fixé à 100. Selon la norme ISO 11609, la RDA d’un dentifrice ne doit pas dépasser 250 (tableau 1). Entre 70 et 100, il est considéré comme moyennement abrasif, et dangereux pour la dentine et le cément. La réglementation en vigueur n’oblige pas les fabricants à mentionner la RDA sur les emballages des dentifrices. 96 % des dentifrices testés dans l’étude de Brooks et al. vantaient un effet peu abrasif, or un seul possédait un indice RDA faible [20].
Les auteurs concluent à une insuffisance de preuves scientifiques pour justifier les bénéfices sur la santé bucco-dentaire (action antibactérienne, antifongique, antivirale, détoxifiante, cario-prophylactique et blanchiment dentaire) et pour confirmer les allégations marketing de sécurité des dentifrices à base de charbon pour l’utilisateur [20].
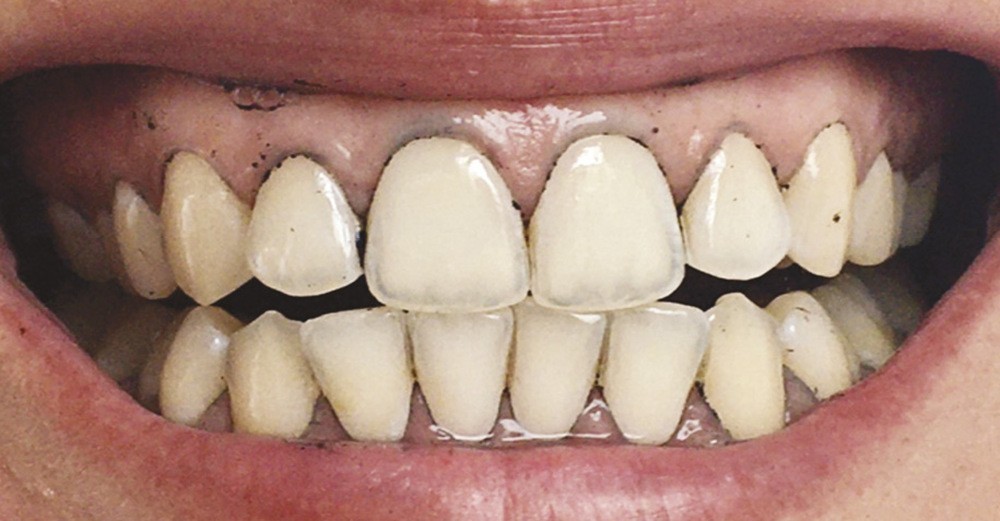
Lors du brossage avec un dentifrice ou une poudre à base de charbon actif, il se crée une mousse gris noire, parfois difficile à éliminer. Des particules noires se déposent, et s’accumulent dans les sillons et anfractuosités des dents, au niveau des zones de jonctions des restaurations et au niveau de la gencive, laissant ainsi un liseré noir inesthétique (fig. 6). Pour supprimer ces colorations, un brossage plus long, plus actif, voire répétitif est souvent nécessaire (fig. 7 et 8).
Ainsi, en recherchant l’effet blanchissant, les utilisateurs de ces produits auraient également tendance à multiplier le nombre de brossages quotidien. Par conséquent, les lésions d’abrasion pourraient apparaître plus rapidement et/ou être accentuées. En effet, l’abrasivité ne dépend pas uniquement de l’agent abrasif, mais également de la technique et du nombre de brossages, de la dureté des poils de la brosse à dents, et de la fréquence d’utilisation des dentifrices dits « blanchissants ».
Les données actuelles sont insuffisantes pour affirmer l’innocuité et l’efficacité des dentifrices à base de charbon. Dans l’attente de nouvelles études, et de preuves scientifiques, l’utilisation quotidienne d’un dentifrice à base de fluorures reste recommandée.
|
Tableau 1. Échelle de la Relative Dentin Abrasivity. |
|
|
Score RDA |
Niveau |
|
0 à 70 |
Peu abrasif : sans dansger pour le cément, la dentine et l’émail |
|
70 à 100 |
Moyennement abrasif : sans danger pour l’émail, dangereux pour le cément et la dentine |
|
100 à 150 |
Très abrasif : dangereux pour le cément, la dentine et l’émail |
|
150 à 250 |
Très fortement abrasif : à la limite du nocif, dommageable pour la dent |
|
Plus de 250 |
Non recommandé |
Conclusion
Un certain nombre de croyances restent bien ancrées chez nos patients. Aujourd’hui, beaucoup d’idées reçues, pourtant démenties scientifiquement, persistent. Certains mythes, comme le port de colliers d’ambre, peuvent avoir des conséquences désastreuses. Certaines « recettes de grand-mère » ou l’utilisation de produits promus sur les réseaux sociaux pourraient sérieusement compromettre les progrès faits au cours des dernières années en santé dentaire ! Il est de notre devoir de rétablir les faits, pour combattre les fausses idées et transmettre un vrai message scientifique !
Remerciements au Pr H. Boutigny-Vella, et aux Drs C. Framery et L. Clappe











Commentaires