Les astuces « communes » à toutes les empreintes
La mise en évidence des limites et du profil d’émergence
Cette région du profil d’émergence est certainement la plus difficile à appréhender cliniquement. Pourtant, il s’agit d’une zone cruciale qui permet au prothésiste de lire correctement la limite de la préparation, pour peu que celle-ci soit respectueuse d’un congé, même fin (0,2 mm par exemple pour les facettes). Les préparations de dépouille, aujourd’hui rebaptisées « BOPT » ou « verti-prep », n’offrant aucune lecture précise, hélas, relèvent plus de « l’inspiration » que de la maîtrise technique pour définir ces limites, à notre humble avis.
L’évasement sulculaire nécessaire à la reproduction de cette région peut être obtenu de différentes façons [3]. Nous allons illustrer ici une méthode simple, rapide et souvent suffisante lorsque les préparations restent juxta-gingivales ou faiblement infra-gingivales : le fil de rétraction imprégné et placé en mono-fil.
Bien « voir » ce que l’on fait
Ce premier « truc » est universel. La bonne visibilité de la zone de travail permet un meilleur contrôle des gestes cliniques, du positionnement du fil jusqu’au contrôle du rinçage et de la bonne élimination des résidus ou coagulas sur les limites. S’équiper d’aides optiques est donc indispensable (fig. 1a).
Le grossissement recherché dépend de chacun et notre seul « truc » ici consiste à recommander de tester ces loupes lors de travaux pratiques, par exemple, avant d’investir. Bien voir, c’est aussi dégager la vue sur la zone de travail. Pour cela, dans le secteur antérieur, le recours à un écarteur souple et confortable est aussi une astuce (fig. 1b).
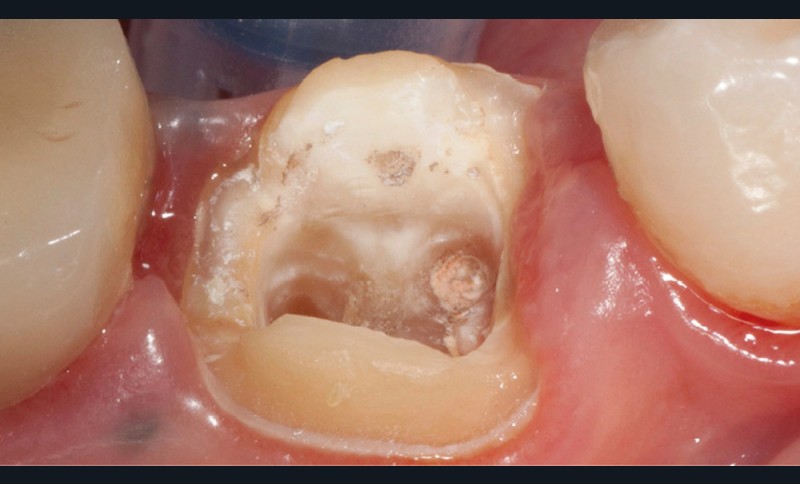
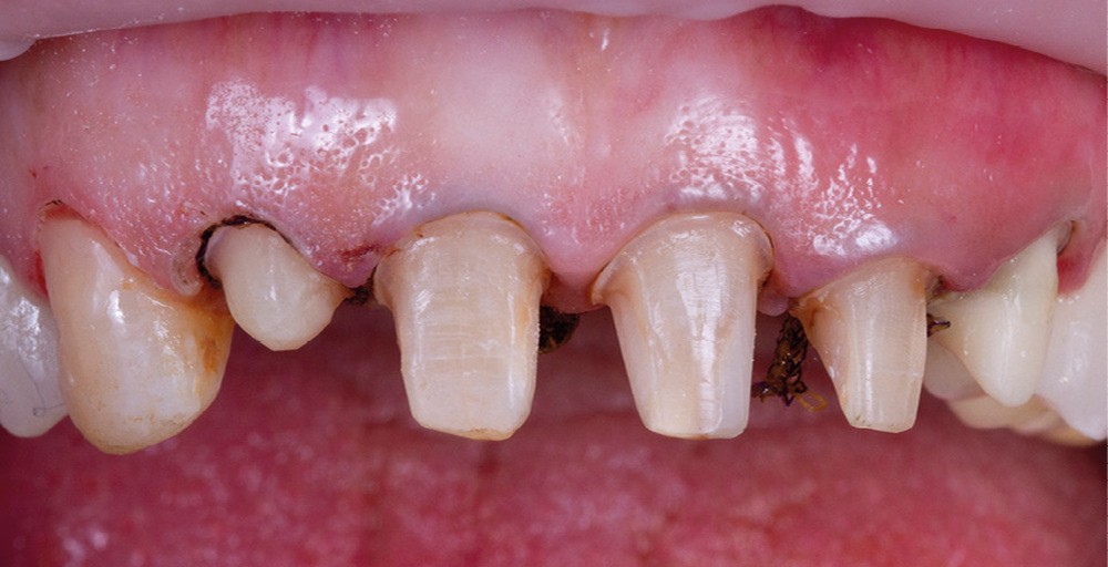
Bien préparer le « terrain »
La difficulté première d’une empreinte conventionnelle est de mettre en évidence les limites prothétiques sans engendrer de saignements mal venus. Pour ce faire, la temporisation doit être de qualité, c’est-à-dire bien adaptée aux limites et surtout bien polie [4]. C’est un prérequis qui contribue à la réussite en assurant un parodonte sain et apte à supporter les techniques d’évasement sulculaire (fig. 2).
Bien choisir son fil
Parmi les différentes propositions commerciales, la première astuce consiste à opter pour des fils tricotés plutôt que tressés. En effet, contrairement à ces derniers, les fils tricotés se déforment à notre avantage clinique. Lors de l’insertion, le fil s’amincit puis, à la relâche, il se gonfle à nouveau (fig. 3).
Bien imprégner son fil
Les fils peuvent être pré-imprégnés ou non. Dans le cas des fils tricotés, ceux-ci ne le sont généralement pas. Or, il est démontré qu’un délai de vingt minutes, minimum, est nécessaire pour qu’un fil s’imprègne en son sein du liquide dans lequel il est trempé. L’astuce consiste ici à préparer à l’avance une série de fils coupés à deux mesures : 5 cm pour les dents monoradiculées et 7 cm pour les dents pluri-radiculées, puis à les tremper dans des flacons de liquide astringent et hémostatique.
Bien insérer son fil
L’insertion du fil est certainement le geste clinique le plus mal maîtrisé lors de l’empreinte conventionnelle. Il rebute, effraie à tel point que nombreux sont les praticiens qui se résignent à ne pas placer de fil, espérant que le silicone de dernière génération fera le miracle attendu.
Pourtant, cette étape peut être simplifiée dès lors que l’on s’équipe des bons outils et de la bonne méthode (fig. 4).
Bien éliminer le liquide astringent/hémostatique
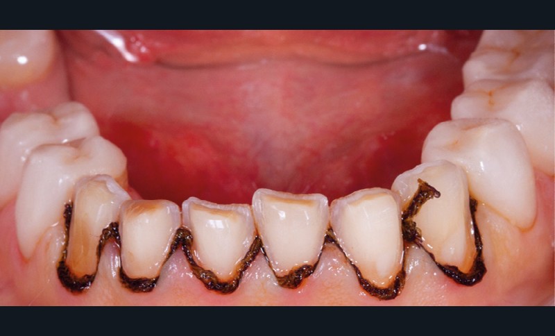
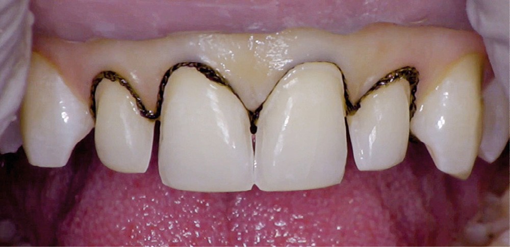
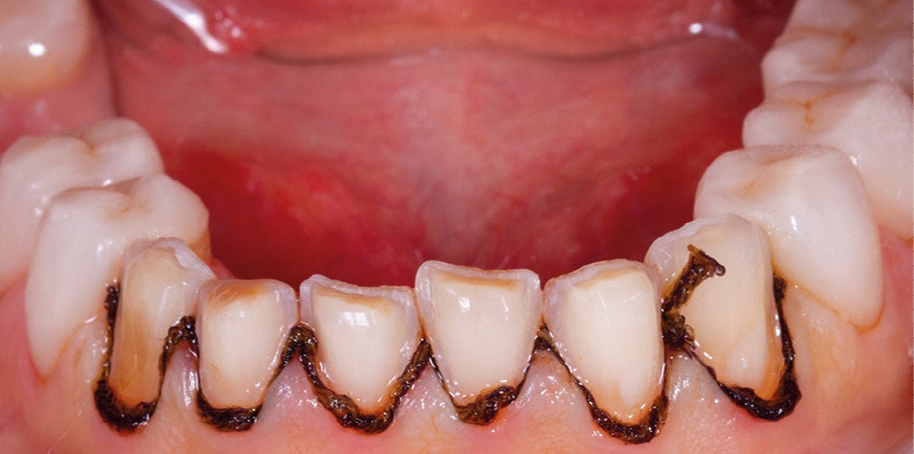
Le rinçage du sulcus évasé doit se faire après le retrait du fil, sans quoi la polymérisation du silicone risque d’être perturbée et celui-ci se déchirera alors plus facilement encore (fig. 5). Pour bien faire, le rinçage est de type eau et air, mais doit être limité en pression. Pour cela, il est facile de reculer tout simplement l’embout de la seringue : moins d’intensité et moins d’éclaboussures au final !
Les astuces spécifiques à certaines situations spécifiques
Les préparations pour facettes
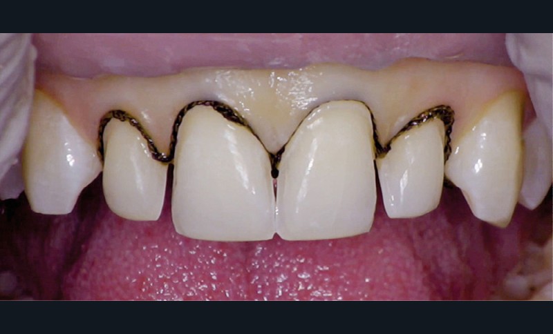
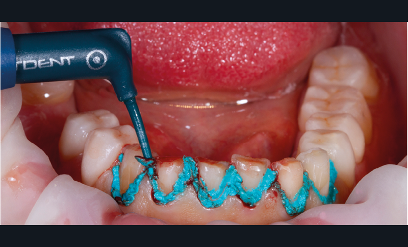
Les préparations de facettes ou de veneerlays (leurs déclinaisons postérieures avec tables occlusales) peuvent profiter d’astuces spécifiques [5, 6]. Tout d’abord, dans ces cas particuliers, l’évasement sulculaire n’est nécessaire que sur la zone vestibulaire cervicale de chaque dent. Lorsque l’empreinte concerne six ou huit facettes, il peut être judicieux, afin de gagner du temps lors de sa dépose, de placer un seul fil continu (fig. 6). En effet, contrairement à la mise en place de fils individuels, le temps de retrait diminué assure un évasement maximal de toutes les préparations lors de l’injection du silicone.
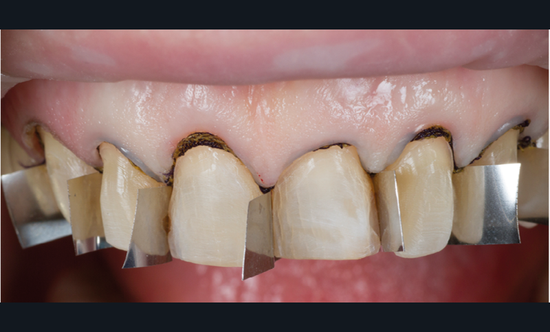
Ensuite, lorsque les points de contacts entre dents préparées sont fort serrés, le silicone ne peut s’infiltrer à ce niveau. Il en découle une empreinte imprécise et surtout une séparation des dies sur le modèle de travail en plâtre qui doit se faire à la scie [7]. Cela entraîne une imprécision évidente. Dans ces cas particuliers, l’astuce consiste à découper de petits morceaux de bande matrice (1 cm de large), d’une épaisseur de 0,045 mm, qui sont glissés entre chaque préparation (fig. 7). Un pli ou une perforation à chaque extrémité de la bande assure son emprisonnement dans le silicone de l’empreinte. Ainsi, lors de la coulée, l’espace de la bande matrice, tout comme les limites des préparations à ce niveau, sont reproduits avec précision.
Les préparations avec pertes papillaires et risque de déchirure
Ces situations particulières se rencontrent aussi bien en secteur postérieur, par exemple pour l’empreinte d’un inlay/onlay ou d’un overlay, qu’en secteur antérieur. L’absence de papille gingivale engendre une continuité vestibulo-linguale du silicone qui déchire inévitablement lors de la désinsertion de l’empreinte [8].
La reproduction de cette zone devient dès lors imprécise et risque d’entraîner des réalisations inadaptées, voire fragiles. Pour éviter cela, une simple astuce consiste à placer un obstacle physique, avant l’insertion du fil, afin d’éviter ce passage vestibulo-lingual (fig. 8).
Le saignement inopiné
Malgré toutes les précautions, un saignement peut apparaître après les préparations ou même après la dépose des éléments provisoires. Le fil imprégné de liquide astringent et hémostatique peut se révéler insuffisant à contenir ce saignement lorsque celui-ci est important. Il est alors indispensable d’avoir recours à des pâtes de rétraction gingivale à base de Kaolin. En une minute en moyenne, celles-ci assurent une hémostase de qualité et durable. Après un rinçage attentif, leur effet astringent peut être jugé suffisant (lorsque les préparations sont juxta-gingivales par exeloke), ou peut être jugé insuffisant et, dans ce cas, l’évasement est complété par un fil placé secondairement (fig. 9).
Conclusion
Réussir ses empreintes conventionnelles suppose une bonne maîtrise de la chaîne complète de travail. Au cours de celle-ci, plusieurs étapes bénéficient d’astuces cliniques qui les rendent plus accessibles à tous. Ces instruments, ou ces gestes, sont parfois adaptés à toutes les variétés d’empreintes, ou parfois à certaines empreintes spécifiques.
Il n’en reste pas moins que « la meilleure technique reste celle que l’on maîtrise le mieux », comme le disait en son temps R. Bugugnani.

























Commentaires