La sévérité des usures, comme leur étiologie (attrition, abrasion, érosion ou, plus fréquemment, une combinaison de ces dernières [1]), est variable et nécessite une prise en charge spécifique en fonction du degré d’atteinte [2].
La prévention et les restaurations directes de type composite ou phospho-calciques doivent être privilégiées en première intention, a fortiori si le patient est jeune [3-5]. Celles-ci présentent l’avantage d’un faible coût biologique. Pour autant, leur vieillissement prématuré limite leur intérêt dans les cas sévères.
En effet, certaines situations cliniques (perte de dimension verticale et des fonctions masticatoires ou esthétiques) requièrent l’utilisation de matériaux dont la résistance mécanique permet d’envisager une prise en charge globale et pérenne du patient [6]. Ces matériaux (céramiques renforcées ou polymères hybrides) imposent des préparations plus invasives pour répondre aux exigences de résistance mécanique propre à chacun d’eux [7]. Toutefois, afin de minimiser la perte tissulaire, le concept de préparation à travers un mock-up postérieur s’est imposé comme l’option la plus judicieuse [8, 9]. Si la réalisation de ce mock-up peut paraître simple face à une denture naturelle usée de façon homogène, il en est tout autrement lorsque l’usure est irrégulière. Ces situations se rencontrent fréquemment quand le patient est partiellement équipé de restaurations périphériques anciennes ayant engendré des phénomènes d’usure par abrasivité différentielle entre la céramique et l’émail antagoniste.
Nous allons ici décrire la prise en charge spécifique de ces situations, en tenant compte de l’analyse clinique préalable et du plan de traitement global du patient.
Analyse clinique initiale
L’analyse clinique initiale doit être systématique. En effet, elle permet de préciser l’étiologie de l’usure grâce à un examen clinique des lésions, associé à une anamnèse minutieuse (antécédents, habitudes alimentaires, prise de médicaments, etc.). Une fois cette ou ces étiologies définies, il convient de les corriger avant même la prise en charge thérapeutique dentaire.
Ainsi, les patients atteints d’usure par érosion doivent bénéficier de mesures de prévention et de traitements contre l’acidité avant de débuter le traitement prothétique car, sans cela, la céramique sera sujette à des dégâts au même titre que le support dentaire [10].
En cas d’usure par attrition, la coopération et la prise de conscience du patient sont indispensables, en particulier à travers l’observance du port d’une gouttière rigide nocturne.
En outre, l’analyse clinique initiale permet d’appréhender deux situations cliniques très distinctes : la perte de dimension verticale (DVO) ou, au contraire, le maintien de celle-ci par égression compensatrice des dents. De façon très schématique, une usure rapide, de type érosive, entraîne plus facilement une perte de dimension verticale, alors qu’une usure lente permet souvent à l’organisme d’effectuer une égression compensatrice [11].
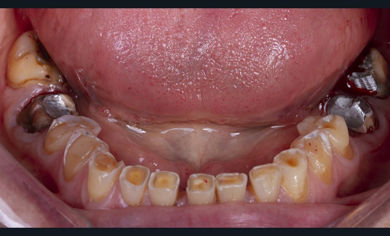
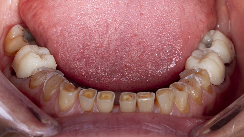
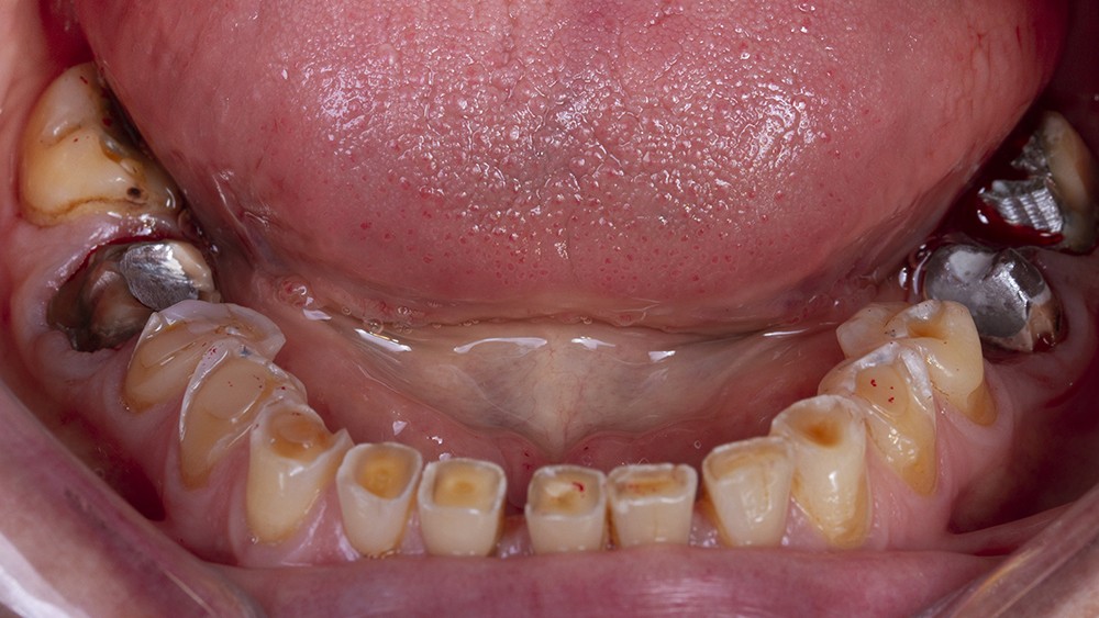
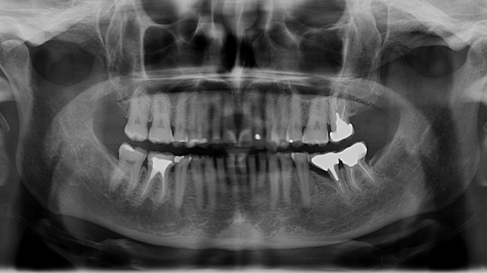
Enfin, une analyse attentive des courbes d’occlusion est menée, notamment dans les cas d’édentements non compensés ou lorsque des restaurations en céramique sont déjà présentes [12] (fig. 1). En effet, la présence de ces dernières peut entraîner une usure différenciée de la dent naturelle antagoniste.
Ainsi, les usures engendrent, dans la majorité des cas, des perturbations au niveau des courbes d’occlusion, lesquelles devront être corrigées lors de la réalisation du wax-up [13].
Réévaluation de la dimension verticale d’occlusion
La perte de dimension verticale est sans doute la situation la plus complexe à gérer pour le praticien, obligeant à reconsidérer toutes les données fonctionnelles et esthétiques [14]. Il convient dès lors de déterminer la valeur du rehaussement et de choisir, le cas échéant, la position d’occlusion (occlusion d’intercuspidie maximale, OIM, ou occlusion en relation centrée, ORC).
Il est fortement recommandé de valider ces choix par une période de temporisation à l’issue de laquelle la finalisation prothétique pourra seulement être entamée. Cette temporisation peut prendre la forme de couronnes ou de bridges temporaires lorsque le délabrement est sévère [15]. En revanche, les usures limitées peuvent bénéficier de techniques moins invasives.
Montage en articulateur et réalisation du wax-up
Dans un premier temps, une butée antérieure (JIG) est réalisée puis un silicone d’occlusion permet d’enregistrer les données occlusales postérieures afin d’effectuer le montage en articulateur [16]. Le réglage de l’épaisseur de cette butée doit être progressif afin de répondre simultanément aux besoins de gain de hauteur pour la résistance des restaurations céramiques et à des notions plus subjectives telles que la coaptation des lèvres ou l’équilibre des étages du visage.
Cette butée est systématiquement complétée d’un arc facial.
Le wax-up est préférentiellement élaboré en deux temps [17] : un wax-up dit esthétique, concernant uniquement les faces vestibulaires des dents de 15 à 25 puis un wax-up complet.
La première étape est facilitée par l’élaboration d’un smile design préalable, associé aux photographies extra/intra-buccales. Le prothésiste aura de ce fait une base de travail lui permettant de gérer l’allongement des bords libres d’un point de vue esthétique [18].
En clinique, le mock-up est ensuite réalisé en résine bis-acryl pour valider ce projet esthétique. Si nécessaire, des corrections peuvent y être apportées et retransmises, le cas échéant, au laboratoire [19].
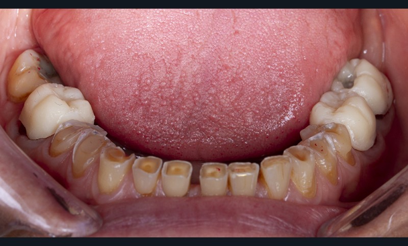
Dans un deuxième temps, un wax-up global permet de restaurer les courbes d’occlusion. Il est à noter que la présence d’égressions dentaires, faute d’antagoniste ou d’anciennes restaurations prothétiques inadaptées, crée des usures inégales au sein de la cavité buccale. Aussi, la présence de zones non recouvertes par le wax-up dans les secteurs postérieurs est courante, permettant ainsi la préservation de zones amélaires majeures pour le collage (fig. 2).
Dans les cas de délabrement modéré avec des courbes d’occlusions conservées, un wax-up en un temps pourra être envisagé ; le terme de full mock-up est alors utilisé pour la mise en fonction de la réhabilitation transitoire [20].
Le wax-up est le point de départ pour la réalisation de temporisations en technique d’isomoulage. Pour cela, le repositionnement de la clé en silicone s’effectue grâce à la réalisation de butées d’enfoncement sur des zones non waxées ou volontairement déwaxées (fig. 3).
La temporisation mixte
Cette étape de temporisation permet de tester et de valider la nouvelle dimension verticale, obtenue précédemment. Chez les patients jeunes, aux dysfonctions occlusales et articulaires moins marquées, l’étape de temporisation peut être éludée pour finaliser directement les restaurations céramiques. Cette solution, envisageable dans ce cas précis, se montre en revanche moins appropriée dans les phénomènes d’usure progressive avec une OIM instable. Dans cette situation, une temporisation sera systématiquement indiquée durant un à trois mois au minimum.
Dans le premier cas de figure, lorsque les préparations peuvent être envisagées de manière immédiate, un masque en résine bis-acryl (Luxatemp Star, DMG), issu d’un isomoulage du wax-up, sert de guide aux préparations et assure la temporisation le temps de réaliser les éléments prothétiques d’usage.
Dans le second cas de figure, quand la temporisation doit être plus longue, des résines composites chargées, habituellement destinées aux restaurations directes, sont nécessaires. Ces matériaux, de par leurs qualités, soutiennent la stabilité dimensionnelle et assurent la résistance mécanique nécessaire à la mastication fonctionnelle du patient pendant le long délai de temporisation.
Les composites recommandés pour limiter les fractures de matériaux pendant la temporisation sont les composites micro/nano-hybrides à fort taux de charges.
Enfin, la situation clinique peut imposer la dépose de restaurations prothétiques anciennes ; la reprise de traitements endodontiques ou encore la dépose de reconstitutions corono-radiculaires. Les résines chargées sont alors utilisées avec un scellement temporaire pour permettre la dépose régulière de celles-ci. Afin de faciliter la réalisation de ces éléments provisoires indépendants du reste du mock-up, un aménagement des espaces inter-dentaires jouxtant les restaurations sur le wax-up est recommandé. Cela est réalisé grâce à des outils permettant de marquer les embrasures occlusales et vestibulaires/linguales (ContactEZ, PRED) (fig. 4). Ces restaurations provisoires sont réalisées en tout premier lieu l ; e reste du mock-up est collé dans un deuxième temps. Ainsi, elles se révèlent être une référence supplémentaire pour le bon positionnement de la clé en silicone.
Lors de la fabrication de cette temporisation collée, une clé en silicone transparent (Exaclear, GC) est réalisée à partir du wax-up, avec un porte-empreinte sans rebords et lui-même translucide (système TempSilic, Bisico). Cette clé tient compte des zones d’appui créées sur le wax-up pour permettre le parfait repositionnement de celle-ci.
La temporisation au composite doit se faire sous champ opératoire lorsqu’elle est indiquée pour un délai important. Elle s’effectue sur des dents exemptes de caries ; cependant, les anciennes restaurations peuvent être conservées temporairement avant d’être reprises lors des séances de préparation.
Un déplaquage est nécessaire avant d’initier les étapes de collage.
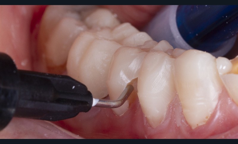
Un sablage à l’oxyde d’alumine est recommandé lorsque les usures sont marquées afin de préparer la surface de collage. Après rinçage, un mordançage à l’acide orthophosphorique est réalisé pendant 30 secondes sur l’émail et 15 secondes sur la dentine. Après un rinçage scrupuleux, un adhésif est étalé sur l’ensemble des surfaces mordancées, soufflé puis photopolymérisé (fig. 5).
L’option utilisant des composites nano-hybrides nécessite, au préalable, de les déposer en quantité suffisante dans la clé transparente (fig. 6). Celle-ci est ensuite repositionnée sur les dents et les composites sont photopolymérisés à travers la clé.
Une résine de faible viscosité (flow), mais très chargée, peut faire office d’alternative à ces composites hybrides (par exemple, Grandioso Heavy Flow (Voco) ou Gaenial Universal Injectable (GC)). En effet, ces résines très fluides contiennent entre 78% et 83% de charges en poids [21], équivalent de ce fait aux composites hybrides précédemment cités. En effet, a contrario des autres résines dites flow (qui ne contiennent qu’environ 60% de charges [22]), ces dernières assurent une résistance et une dureté efficace, dans le temps requis. De plus, leur mise en pratique est simplifiée et nécessite moins de matériel.
Le remplissage du moule au composite doit se faire a minima ; il est en effet plus simple de compléter les quelques manques de matériaux en bénéficiant de la pellicule d’inhibition à l’oxygène que de retirer des excès conséquents. Il est aussi recommandé de procéder à une double enduction en injectant directement le composite flow dans les cavités érosives en parallèle du remplissage de la clé. Les excès relatifs de composites seront éliminés après polymérisation complète à l’aide d’une lame froide de bistouri ou d’une fraise adaptée de faible granulométrie.
Un polissage des surfaces résineuses est nécessaire pour finaliser la temporisation (fig. 7).
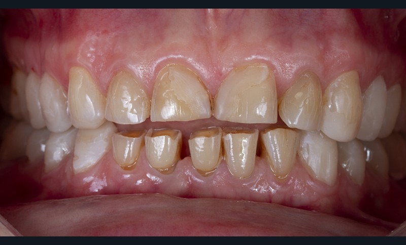
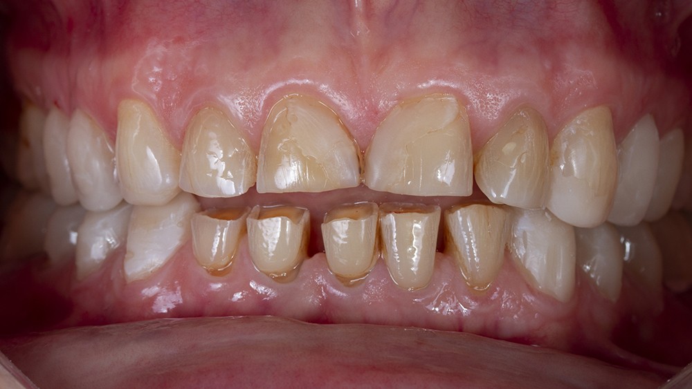
Le calage postérieur obtenu assure l’augmentation de la DVO et entraîne très souvent une béance antérieure avec une perte du guidage antérieur (fig. 8). Le traitement du groupe incisivo-canin est alors nécessaire.
La forme clinique des restaurations d’usage dépend de l’étendue de la perte tissulaire. Lorsque cette dernière est modérée, la réalisation de facettes vestibulaires permet le rallongement des bords libres usés dans le prolongement du rehaussement postérieur.
Dans les cas d’usure des faces palatines, la restauration du guide antérieur suppose une reconstruction grâce à la technique 3-step ou par des facettes en céramique dites à 360°. Dans cette dernière option, les faces palatines usées ne nécessitent qu’un congé fixant la limite prothétique, maximisant ainsi la préservation tissulaire et optimisant le collage à venir.
Une temporisation en résine bis-acryl peut être envisagée sur les préparations à 360° des secteurs antérieurs pour passer le délai d’attente de l’augmentation de DVO. Cette solution limite les retouches occlusales éventuelles et ultérieures des céramiques.
Les restaurations esthétiques collées sont facilitées lorsqu’elles sont segmentées par secteur.
Le secteur incisivo-canin maxillaire débute la séquence thérapeutique selon la technique de pénétration contrôlée décrite par Galip Gurel [23].
Les restaurations postérieures bénéficient également de cette technique de préparation à pénétration contrôlée grâce à l’usage de fraises spécifiques. Elles s’effectuent à travers les composites collés. Ces derniers seront intégralement éliminés ainsi que toutes les anciennes restaurations sous-jacentes afin d’assurer un collage sur des tissus optimaux.
Le collage des pièces prothétiques est conditionné dans la majorité des situations cliniques par la présence d’une grande quantité de dentine et la persistance d’un bandeau amélaire. Ce contexte requiert l’utilisation d’adhésif de type MR3.
La préparation de l’intrados céramique répond au protocole déjà décrit associant un mordançage à l’acide fluorhydrique (20 secondes pour le disilicate de lithium) suivi d’une silanisation d’une minute [24].
Les secteurs postérieurs peuvent être envisagés cadran par cadran.
Une équilibration occlusale finale est souvent recommandée après la finalisation des collages. Elle s’effectue préférentiellement à une semaine. Elle est complétée par la réalisation d’une gouttière occlusale nocturne.





















Commentaires