La perte de tissus dentaires est fréquemment associée aux lésions carieuses. Or les bactéries ne sont pas toujours impliquées dans ces pertes de substance. En effet, les lésions d’usure résultent de l’agression chronique des tissus calcifiés sans intervention des bactéries. Il peut s’agir de l’alternance de forces de compression et de tension sur une dent (abfraction), de phénomènes mécaniques avec frottements d’un élément extérieur (abrasion), de contacts dento-dentaires entre les surfaces occlusales ou proximales (attrition) ou d’attaques chimiques par des acides (érosions) [1] (fig. 1).
Nous allons ici nous intéresser plus spécifiquement aux lésions d’usure à deux corps : dents-matériaux. En effet, les propriétés mécaniques des matériaux de restauration (directs-indirects) et prothétiques vont avoir des répercussions sur les faces occlusales et l’état de surface des dents antagonistes.
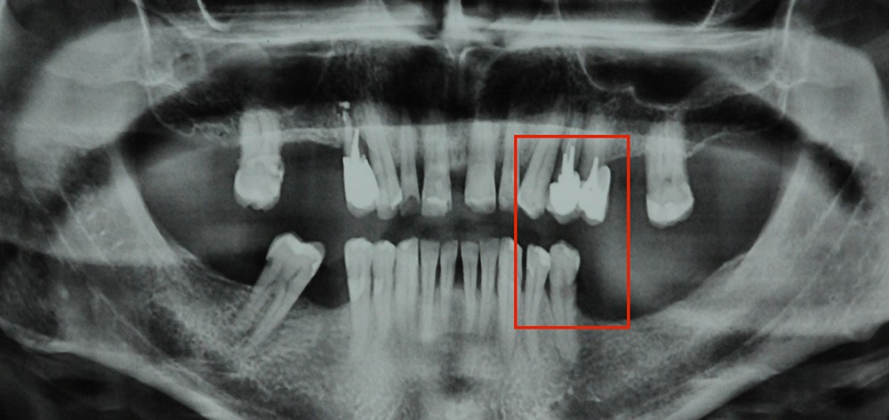
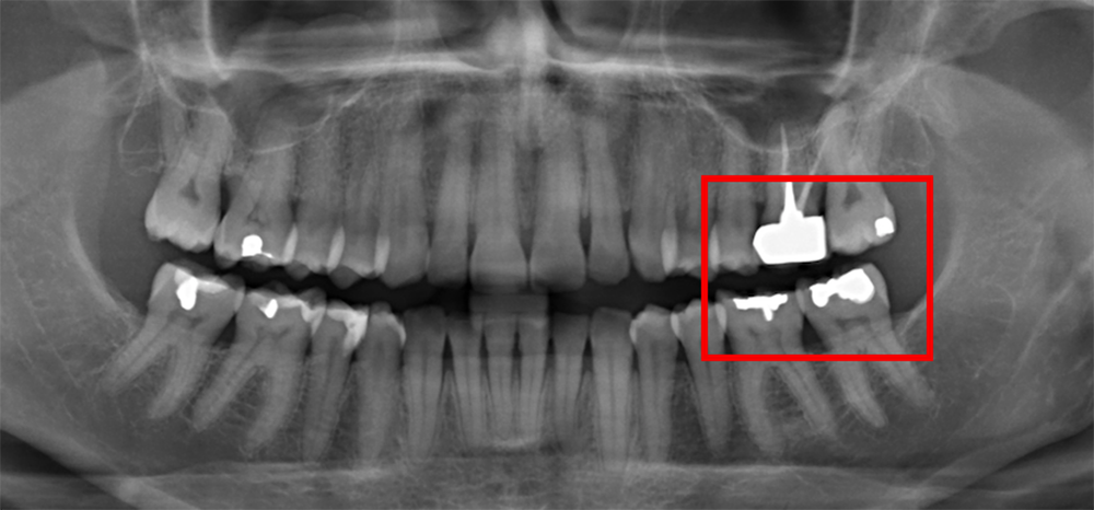
Aspect clinique et radiographique des lésions d’abrasion
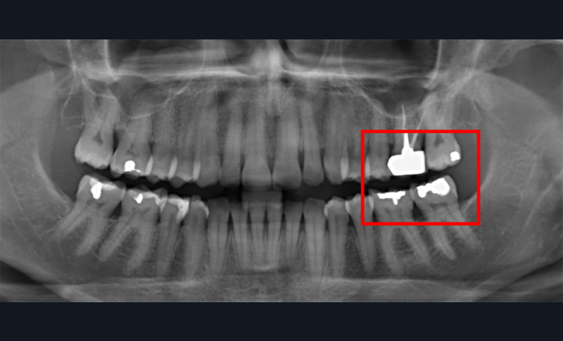
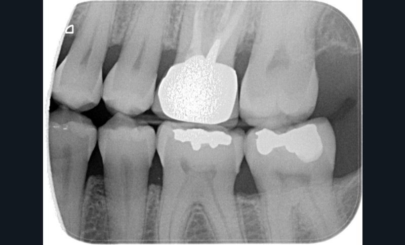
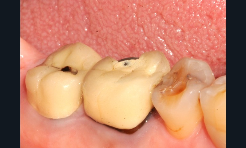
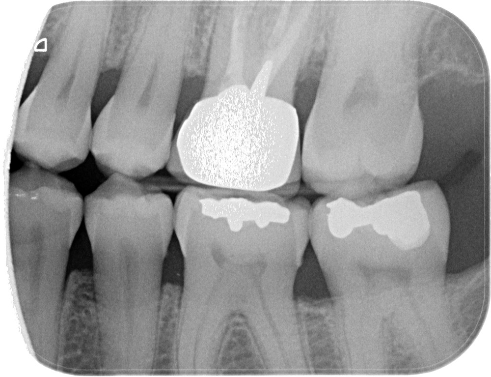
Cliniquement, les lésions d’abrasion sont caractérisées par des facettes lisses, une absence de convexité et des bords à angles vifs. La flexibilité du ligament alvéolo-dentaire va entrainer un frottement au niveau des points de contact, qui peuvent se transformer en surfaces de contact (fig. 2c-d, 3 et 4b-c).
Radiographiquement, on observe une perte des cuspides et un aspect plan des faces occlusales (fig. 2a-b et 4a).
Evaluation préalable des facteurs de risque
L’entretien clinique (questionnaire et interrogatoire) ainsi que l’examen clinique (extra et endo-oral) sont indispensables afin de détecter les facteurs de risque, tels que :
- des parafonctions, comme le bruxisme d’éveil ou de sommeil. Le bruxisme se caractérise par des affrontements occlusaux résultant d’activités motrices manducatrices non nutritives, répétitives, involontaires, le plus souvent inconscientes [2] ;
- la nature du pilier sous-jacent. En effet, la perte de l’organe pulpaire va entrainer une perte de proprioception. Ainsi, une pression occlusale plus importante sera déclenchée avant d’atteindre le même seuil de détection qu’une dent pulpée. Pour un pilier implantaire, la proprioception sera également diminuée du fait de la perte supplémentaire des récepteurs desmodontaux [3].
La localisation des dents sur l’arcade est aussi un paramètre à prendre en compte car les intensités de contrainte occlusale sont variables [3].
Stratégie thérapeutique des lésions d’usure
Lorsqu’un patient présentant des lésions d’usure est reçu au cabinet, un gradient thérapeutique adapté devra être suivi pour prendre en charge ces lésions.
La recherche de facteurs de risque est primordiale. En cas de bruxisme, la prise en charge cognitivo-comportementale est un élément clé [4]. Si le patient grince des dents la nuit, le port d’une gouttière lisse en regard des faces occlusales peut être indiqué. En effet, les facettes d’abrasion sont des facteurs d’entretien du bruxisme. La gouttière ne va pas arrêter le bruxisme mais va limiter les effets dévastateurs des contractions musculaires incontrôlées et ainsi protéger les structures dentaires et/ou les restaurations prothétiques [5]. Cependant, le port d’une gouttière occlusale ne doit pas être considéré comme une finalité mais doit être indiqué si l’auto-rééducation est jugée insuffisante [4].
La prescription d’outils thérapeutiques adaptés, en ambulatoire et au fauteuil, permettra de prévenir ou de diminuer les sensibilités dentaires dues à l’usure, ainsi que de renforcer les tissus dentaires calcifiés par la précipitation de nouveaux cristaux d’apatite :
- en ambulatoire :
- recommandations de dentifrices fluorés et/ou contenant de nouveaux principes actifs, comme la technologie NR-5™ (Regenerate). Le dentifrice Regenerate va, par exemple, permettre de reminéraliser l’émail grâce au silicate de calcium et au phosphate de sodium. Ces deux principes actifs vont former une structure cristalline identique à celle d’hydroxyapatite, minéral composant l’émail dentaire [6, 7] ;
- si les sensibilités persistent ou en cas d’usure généralisée, un gel à appliquer manuellement ou via des gouttières pourra être prescrit comme le Sérum expert Regenerate ;
- au fauteuil, l’application de vernis peut parfois être indiquée.
L’indication de la dépose de la restauration prothétique ou la reconstitution de la dent usée, doit être posée en fonction de l’analyse de l’occlusion et l’évaluation du contexte global : Bruxisme ? Sensibilités persistant après utilisation d’outils thérapeutiques adaptés en ambulatoire et/ou au fauteuil ? Usure de la céramique ? Perte de substance de la dent antagoniste ? Perte de la dimension verticale ?
Choix des matériaux : dureté et abrasivité
La dureté peut être définie comme la résistance qu’un corps opposé à une déformation locale, sous charge [8]. Il est important pour le praticien de connaître la dureté des différentes céramiques. En effet, cette propriété va influencer la finition et le polissage du matériau et donne une indication de la résistance du matériau à l’abrasion (fig. 5).
Un deuxième paramètre à prendre en compte est l’abrasivité des matériaux, c’est-à-dire leur aptitude à user la dent antagoniste. L’abrasivité est essentiellement liée à l’état de surface [3].
L’usure des tissus dentaires face à des matériaux de restauration existe principalement avec les prothèses céramiques. En effet, le composite en technique directe ayant une dureté inférieure à l’émail, il s’abrasera plus que la dent antagoniste [9]. Concernant les composites usinables, ils s’usent dans des valeurs proches de celles de l’émail [10] (fig. 5).
Les céramiques d’émaillage (feldspathiques) entraînent une perte de substance importante de l’émail antagoniste. Cette abrasivité serait due à la perte de la glassure (fine couche vitreuse et lustrée) et à la microstructure hétérogène de la céramique sous-jacente [3].
Cependant, l’e.max® (disilicate de lithium) non stratifiée à l’aide de céramique d’émaillage occasionnerait également une usure importante de l’émail. Cette usure de l’antagoniste dépend principalement de l’état de surface initial de l’e.max®, mais aussi de son évolution dans le temps.
Bien que présentant une dureté supérieure aux autres catégories de céramiques (fig. 5), les céramiques monolithiques en zircone ne causent pas plus d’usure amélaire que les couronnes feldspathiques ou en disilisate de lithium, d’après les études in vitro [11, 12]. En effet, une couronne « full-zircone », sans céramique d’émaillage, use peu la dent antagoniste. La zircone monolithique glacée entraîne plus d’usure que celle qui est simplement polie car sa rugosité, une fois la glassure disparue, est supérieure à sa version polie [3, 13].
Il est primordial de repolir régulièrement les surfaces de contact occlusales afin de minimiser la rugosité et l’abrasivité. Les étapes de finition et de polissage sont des facteurs déterminant pour éviter l’usure de la dent antagoniste [11, 14] :
- pour les céramiques stratifiées, il est recommandé d’utiliser dans un premier temps une fraise diamantée à granulométrie fine (bague rouge), puis une série de polissoirs en silicone incrustés de particules de diamant [15] ;
- dans le cas des prothèses monobloc, le protocole de polissage doit être adapté au type de céramique (feldspathique, renforcée ou non à la leucite, au disilicate de lithium…) [15]. L’utilisation de coffrets spécifiques, les recommandations du prothésiste ou la notice du fabricant sont indispensables ;
- concernant plus spécifiquement les couronnes monolithiques en zircone, la procédure de polissage pourra être réalisée manuellement ou mécaniquement en utilisant des fraises diamantées, des meulettes en caoutchouc et des pâtes abrasives [13].
Le réglage de l’occlusion des pièces prothétiques tout céramiques ne devra s’effectuer qu’après le collage, hormis pour les zircones monolithiques [15]. En cas de retouches importantes, il semble préférable de retourner la pièce prothétique au prothésiste afin de réaliser de nouveaux traitements de surface.
Lorsque deux dents antagonistes doivent être restaurées, il est recommandé d’utiliser le même matériau afin qu’ils aient les mêmes propriétés mécaniques et ainsi éviter l’usure d’une dent par rapport à l’autre.
Le choix d’une céramique est un élément déterminant lors de la pose d’une nouvelle prothèse. Ce choix ne doit pas être fait en tenant compte uniquement des propriétés intrinsèques de la céramique, mais dans un projet de prise en charge globale. Lors de la détection de lésions d’usure, le gradient thérapeutique doit être appliqué afin de commencer par la thérapeutique la moins invasive, permettant une intervention minimale et la préservation tissulaire [16].











Commentaires