Même si, en termes de résistance aux contraintes mécaniques, la supériorité des bridges cantilever sur les bridges conventionnels est maintenant parfaitement démontrée, la sélection d’un système de collage judicieux est un élément central pour la pérennité du traitement prothétique [3]. En effet, particulièrement dans le cadre de ces restaurations, les contraintes occlusales doivent être en partie absorbées par le matériau d’assemblage (fig. 1). Il convient donc de bien choisir le système de collage utilisé en considérant le niveau de ses propriétés adhésives et la nature du matériau constituant la restauration (tableau 1).
|
Tableau 1 – Niveau de la force d’adhérence obtenu par des tests de micro-traction (MPa) [4-6] |
||
|
Disilicate de lithium |
Zircone (3Y-TZP) |
|
|
Colle sans potentiel adhésif |
30 à 40 |
10 à 30 |
|
Colle avec potentiel adhésif |
/ |
12 à 40 |
Aujourd’hui, la composition des bridges cantilever antérieurs se résume à un choix binaire entre une structure monolithique en disilicate de lithium et une structure composée d’une armature en céramique polycristalline de type zircone, comme la 3Y-TZP, recouvert par une céramique cosmétique feldspathique. C’est à travers ces deux cas de figure que seront déclinés leurs protocoles de collage respectifs ainsi que les conseils pratiques permettant d’optimiser la performance du système adhésif.
Les bridges cantilever en disilicate de lithium
Les céramiques enrichie en disilicate de lithium présentent de très bonnes propriétés optiques avec une translucidité et une esthétique très semblables à celles des tissus dentaires et de très bonnes propriétés mécaniques, notamment en termes de résistance à la flexion, qui avoisine 470 MPa, qui en font la céramique vitreuse la plus résistante (module Young 95 GPa). Dans un contexte occlusal favorable, ces propriétés autorisent l’utilisation de ce matériau dans la composition des bridges cantilever [7, 8]. Par ailleurs, comme indiqué dans le tableau 1, ce matériau présente des propriétés particulières qui en font un excellent substrat aux systèmes adhésifs [9].
Le protocole le mieux adapté au disilicate de lithium est celui des colles sans potentiel adhésif [10]. La liaison micromécanique à la surface de l’intrados prothétique entre la céramique et le composite de collage est provoquée par la création d’une micro-rugosité de surface au moyen d’un mordançage. Aujourd’hui encore, ce traitement de surface par l’acide fluorhydrique est le procédé le mieux décrit dans la littérature [11]. Il s’agit donc d’une application, à la surface de l’intrados prothétique, d’un gel d’acide fluorhydrique à 5 % de concentration pendant strictement 20 secondes. Le respect de cette simple application permet une préparation optimale de la surface sans être trop agressif pour la structure du matériau [12]. Cependant, l’utilisation et l’élimination de l’acide fluorhydrique posent des problèmes. Son remplacement par d’autres agents comme des silanes automordançants fait toujours l’objet de plusieurs études de validation. La seconde étape de la préparation de la surface de l’intrados prothétique est l’application d’un agent de couplage responsable des liaisons chimiques. Les silanes sont des molécules bi-fonctionnelles réagissant d’un côté par leurs groupements silanols (Si-OH) avec la silice composant la surface de la céramique et, de l’autre, par leurs groupement organo-fonctionnels (OCH2) avec la matrice résineuse du composite de collage (fig. 2). Les liaisons covalentes induites par la présence du silane augmentent l’adhésion du composite de collage à la surface prothétique [13].
La préparation des surfaces dentaires est, elle aussi, composée de deux temps.
Le premier consiste dans le sablage des surfaces avec la pulvérisation d’une poudre comportant des grains d’alumine de 50 µm de diamètre, sous une pression de 2 à 4 bars, avec ou sans la présence d’eau. La surface dentaire est ensuite mordancée par l’application d’un gel d’acide orthophosphorique à 37 % pendant 30 secondes sur l’émail et 15 secondes sur la dentine. Un rinçage abondant et un séchage doux sont nécessaires. Le sablage et le mordançage des tissus supports de la restauration optimisent l’infiltration de la résine adhésive car ils éliminent diverses molécules polluantes et créent un état de surface rugueux augmentant la mouillabilité de celle-ci [14].
Le deuxième temps correspond à la pose de l’adhésif par un frottement prolongé de 20 à 45 secondes afin d’augmenter son infiltration au niveau de la dentine. Selon Rosa et al., les adhésifs de type MR3 ou Universels sont ici particulièrement indiqués car leur important potentiel adhésif garantit la pérennité de l’assemblage [15]. Dans le cadre du bridge cantilever, cette étape d’infiltration de l’adhésif est relativement raccourcie, car la préparation des tissus dentaires nécessaire à l’intégration de cette restauration sur la dent support ne concerne essentiellement que l’émail.
Après l’ensemble de ces étapes, rassemblées dans la fig. 3, il ne reste plus à réaliser que l’enduction d’un composite fluide sur la totalité de la surface de l’intrados prothétique avant le positionnement de la restauration sur la préparation dentaire.
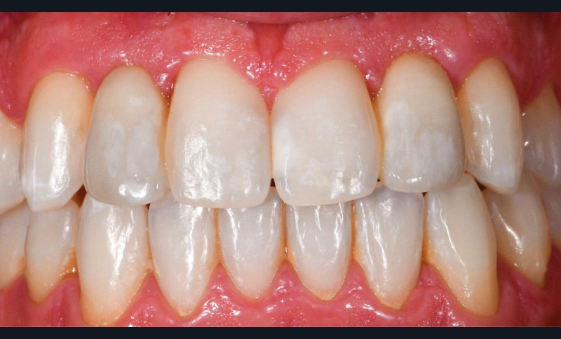
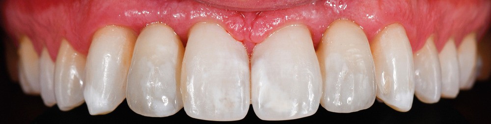
Le cas clinique illustré en fig. 4 présente les indications des bridges cantilever antérieurs. Deux bridges en disilicate de lithium ont été confectionnés au laboratoire de prothèse (Laboratoire Esthetic Oral, Cogolin) après la réalisation d’une empreinte physique en silicone en technique double mélange.
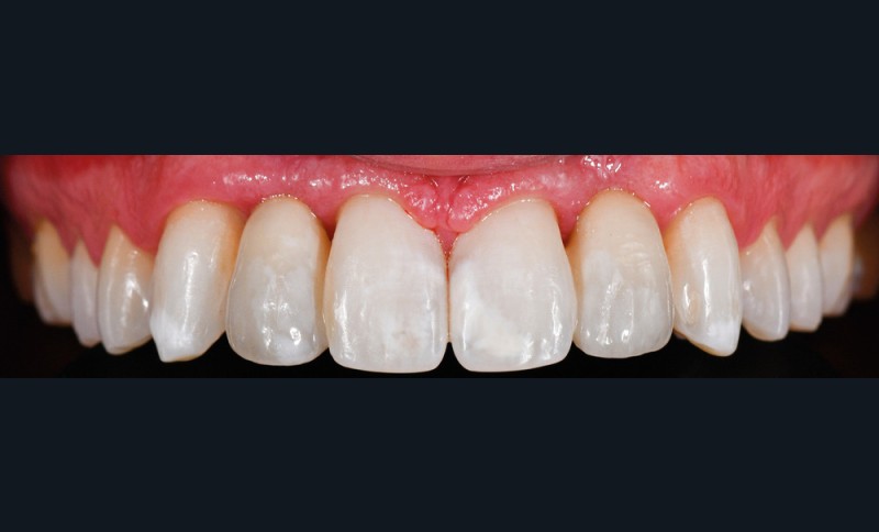
L’assemblage de ces bridges en disilicate de lithium a été réalisé avec une colle sans potentiel adhésif avec l’application d’acide fluorhydrique et de silane sur l’ailette du bridge et l’application, sous champ opératoire, d’un sablage, d’acide orthophosphorique puis de l’adhésif sur les surfaces dentaires préparées (fig. 5). Le résultat postopératoire est illustré en fig. 6.
Après la séance de pose des bridges, le suivi par des rendez-vous de contrôle doit être proposé au patient afin d’observer l’évolution de leur intégration parodontale et occlusale (fig. 7).
L’obtention et la pérennité de l’adhésion des restaurations collées sont une préoccupation première. Au cours du protocole de collage, un certain nombre d’actions peuvent influencer positivement le niveau de l’adhérence. Par exemple, la nécessité de chauffer la pièce prothétique après l’application du silane sur son intrados est régulièrement décrite. Cette opération vise à éliminer, par évaporation, les molécules d’eau formées par la réaction de silanisation et à favoriser l’application de la résine composite hydrophobe au contact de la surface prothétique. Selon la littérature, ce traitement thermique augmente significativement le niveau de l’adhérence [16]. Plusieurs sources de chaleur ont été proposées, mais l’utilisation d’un réchauffeur de carpule d’anesthésie ou de composite, adapté pour cette opération, semble la plus ergonomique. En ce qui concerne la partie du protocole dédiée à la préparation des tissus dentaires, la mise en place de la digue apparaît être nécessaire puisqu’elle contribue fortement à améliorer la survie de la restauration selon plusieurs méta-analyses disponibles dans la littérature récente [17, 18].
Le sablage des tissus et le frottement de la dentine avec la microbruch chargée de l’adhésif sont des éléments de forte influence sur la qualité du collage [14]. Le dernier élément d’amélioration est le choix du type d’adhésif et de la résine composite. En termes de niveau d’adhérence obtenu, les adhésifs MR3 ou universels, utilisés après sablage et mordançage de la surface des tissus dentaires, restent les meilleurs [15, 19]. Le choix de la résine composite se fait selon les capacités adhésives et de résistance mécanique. De nombreux systèmes proposent des matériaux sous forme fluide. Leur faible viscosité permet une enduction facilitée de la surface prothétique et une certaine assurance dans le bon positionnement du bridge cantilever. Toutefois, il est aujourd’hui possible d’utiliser des composites de restauration fluidifiés par un chauffage à 68°C. Cette technique est très intéressante dans le cadre d’un bridge cantilever puisqu’elle apporte une résistance mécanique supérieure à celle du composite fluide [20].
Les bridges cantilever avec une armature en zircone
Les céramiques polycristallines à base de zircone présentent des propriétés mécaniques très intéressantes (résistance à la flexion entre 500 et 1 200 MPa et module de Young de 210 GPa) [21, 22]. La résistance à la rupture des zircones de type 3Y-TZP indiquent leur utilisation dans les armatures des bridges cantilever. Les autres familles de zircone (5 à 8 Y-TZP), de plus faibles propriétés mécaniques, ne sont pas recommandées pour des éléments prothétiques comme les bridges. Une céramique cosmétique de recouvrement est positionnée sur l’extrados de cette armature en zircone afin d’obtenir une meilleure intégration esthétique de la restauration. L’intrados concerne donc l’armature et le protocole d’assemblage doit être adapté à la composition de celle-ci. Les études rapportent un faible nombre de cas de décollement (4,8 à 7,1 %), dont la plupart sont d’origine traumatique [23]. Une attention particulière doit être apportée à l’intégration occlusale de ces restaurations. La nature polycristalline dépourvue de silice de ces armatures en zircone demande un traitement de surface et un système adhésif spécifiques, comme illustré sur un bridge cantilever postérieur en fig. 8.
Selon la littérature récente, un sablage de particules d’alumine de 50 µm de diamètre sous une pression de 2 bars pendant 10 à 15 secondes, perpendiculairement à la surface de l’intrados prothétique, est préféré [2]. Ce traitement de surface vise, encore une fois, à augmenter la rugosité de cette dernière [3]. Enfin, le nettoyage de cette surface par un jet de vapeur favoriserait l’adhérence des molécules de 10-MDP. La surface des céramiques en zircone est entièrement constituée de cristaux peu propices à une réaction chimique avec les acides de mordançage ou avec les adhésifs classiques. Pourtant, le 10 MDP est capable d’être l’agent de couplage entre la surface de la restauration et le composite de collage [2]. Dans les protocoles de collage de la zircone, il est indispensable d’utiliser un apprêt et un composite de collage contenant des molécules de 10-MDP [2, 22]. Comme illustré en fig. 9, la molécule de 10-MDP est le monomère fonctionnel le plus fiable pour former une liaison chimique stable entre ses esters phosphates avec les groupes hydroxyles sur la surface passive de la zircone [24]. Compte tenu de la performance apportée par les molécules de 10 MDP, la pratique d’un sablage tribochimique et l’utilisation d’un silane conventionnel ne sont plus d’actualité. Les études cliniques à long terme montrent une grande durée de vie des bridges cantilever antérieurs avec une armature en zircone et, par voie de conséquence, une grande longévité de l’efficacité des composants de leur assemblage, surtout lorsqu’ils contiennent du 10 MDP comme le Panavia 21® ou Panavia F2.0® (Kuraray) [22].
Par ailleurs, il est relativement difficile pour la lumière UV de la lampe de photopolymérisation d’accéder à la couche de résine composite en raison de l’opacité des structures en zircone. Toutefois, dans le cadre des bridges cantilever, l’étendue de la partie en contact avec la dent support est réduite. Une transillumination du joint de colle est tout à fait possible par des expositions complémentaires au travers de la dent. L’évolution des systèmes de collage spécifiques à la zircone montre l’intégration, de plus en plus généralisée, de la molécule de 10 MDP dans la composition des résines composites et des adhésifs. Il semblerait que cette molécule soit capable de développer des liaisons chimiques relativement stables avec le collagène rendu accessible par le mordançage de la dentine. Ainsi, un certain nombre de systèmes de collage, dont le protocole serait simplifié, sont en cours de validation scientifique.
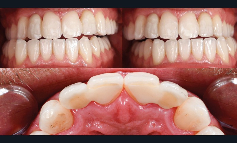
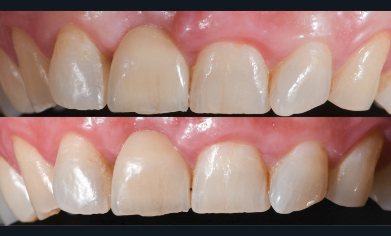
Le cas clinique illustré à partir de la fig. 10 rapporte encore une indication de bridge cantilever, mais cette fois avec un contexte occlusal de bruxomanie identifiable par des facettes d’abrasion et des écaillages de l’émail (fig. 10a et b). Un bridge présentant une armature en zircone (3Y-TZP) recouvert d’une céramique cosmétique a été choisi comme proposition thérapeutique (Laboratoire Esthetic Oral, Cogolin).
L’assemblage de ce bridge présentant une armature en zircone a été réalisé avec une colle avec potentiel adhésif (Panavia F2.0® (Kuraray)) et avec le concours d’un sablage à l’alumine sur l’intrados de l’ailette du bridge. Comme le montre la fig. 11b, l’intrados a été crayonné afin de visualiser les effets du sablage et ainsi s’assurer de sa bonne réalisation. L’apprêt a ensuite été posé sur toute la surface de l’intrados prothétique.
Le sablage et l’application de l’adhésif automordançant sur les surfaces dentaires préparées ont été effectués sous champ opératoire (fig. 12). Le résultat postopératoire est illustré en fig. 13. La technique d’assemblage et la nature de la prothèse nécessitent de recommander l’observance de contrôles réguliers. Les conseils pour optimiser la pérennité du collage sont d’abord de bien respecter le protocole décrit précédemment. Il est inutile de réaliser un sablage trop agressif avec une pression, une durée ou une granulométrie plus importante, car la structure du matériau serait endommagée, ce qui conduirait, sous contraintes occlusales, à des fractures de la restauration. Par ailleurs, au moment de l’application de l’apprêt, la surface de l’intrados prothétique doit être propre. Ainsi, après l’essayage en bouche de la pièce prothétique, il est possible d’appliquer de l’acide orthophosphorique qui élimine les glycoprotéines salivaires inhibitrices de la polymérisation des résines composites. Dans la littérature, il est largement conseillé d’utiliser un apprêt et une résine composite contenant du 10-MDP. La résine composite seule ne suffit pas à obtenir les niveaux d’adhérence souhaités.
Conclusion
Dans le contexte d’un bridge cantilever, le choix du protocole de collage est en grande partie orienté par la nature des matériaux constitutifs de la pièce prothétique et les conditions occlusales ou de sa situation sur l’arcade. Le tableau 2 détaille étape par étape la chronologie des protocoles cliniques qui devront être effectués. Le respect scrupuleux des étapes de ces protocoles est la clé du succès thérapeutique de ces restaurations dont les bénéfices biologiques et esthétiques ainsi que les bons taux de pérennité ne sont plus à démontrer.
|
Tableau 2 – Protocole de collage en fonction du matériau constitutif du bridge cantilever |
||
|
Protocole de collage du disilicate de lithium |
Protocole de collage de la zircone |
|
|
1 |
Essayage de la restauration |
Essayage de la restauration |
|
2 |
Mordançage 20 secondes à l’acide fluorhydrique Rinçage – Séchage |
Nettoyage 5 minutes dans un bain ultrasonique d’alcool |
|
3 |
Nettoyage 5 minutes dans un bain ultrasonique d’alcool |
Sablage de l’intrados prothétique avec une poudre d’alumine : 50 µm à ٢ bars de pression |
|
4 |
Application du silane et séchage dans un réchauffeur |
Application du primer spécifique à la zircone |
|
5 |
Isolation de la préparation |
Isolation de la préparation |
|
6 |
Sablage des tissus dentaires avec poudre d’alumine : 50 µm à ٤ bars de pression |
Sablage des tissus dentaires avec poudre d’alumine : 50 µm à ٤ bars de pression |
|
7 |
Mordançage des tissus dentaires |
Mordançage des tissus dentaires |
|
8 |
Application de l’adhésif sur les surfaces dentaires |
Application de l’adhésif sur les surfaces dentaires |
|
9 |
Enduction de l’intrados prothétique par la résine composite auto-photopolymérisable |
Enduction de l’intrados prothétique par la résine composite duale contenant la molécule MDP |

















Commentaires