2es lauréats du grand prix Id : Utilisation des techniques de collage en omnipratique 2020 avec le soutien institutionnel de Voco
Léa Massé I AHUO en prothèse, Université de Bordeaux. CHU de Bordeaux
Elsa Garot I MCU-PH en Odontologie pédiatrique, Université de Bordeaux. CHU de Bordeaux (Hôpital de Pellegrin)
Objectifs thérapeutiques
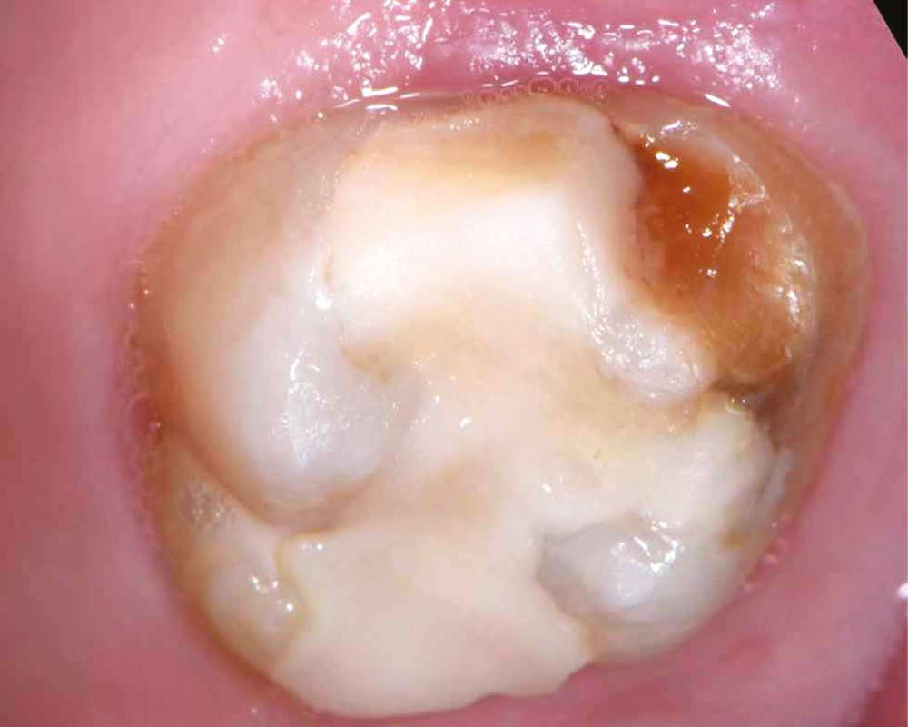
Kara (10 ans) se présente en consultation pour une sensibilité accrue au niveau de 26. L’examen clinique y révèle la présence d’une restauration de grande étendue ainsi qu’une fracture amélaire avec perte de l’hémi-cuspide mésio-vestibulaire. Cette dernière est touchée par la présence d’un défaut de structure coloré (fig. 1). Après examen des premières molaires, le diagnostic d’hypominéralisation molaire-incisive (MIH) est posé.
La problématique clinique de la MIH est triple : biologique, la minéralisation réduite de l’émail engendre une hypersensibilité, une susceptibilité à la carie ainsi que son développement rapide ; fonctionnelle, la faiblesse mécanique de ce même tissu cause sa détérioration rapide ; esthétique, au vu de la coloration des défauts [1, 2].
Nos objectifs thérapeutiques sont clairs :
- protéger la pulpe des attaques extérieures ;
- restaurer l’esthétique et la fonction de cette 26.
Des études avancent que l’ozonothérapie résoudrait la problématique biologique. Ajoutée à son pouvoir désinfectant élevé qui limiterait le risque de reprise carieuse, l’application d’O3 permettrait de potentialiser l’action reminéralisante des traitements préventifs indiqués dans la prise en charge des MIH [3-5]. La problématique fonctionnelle profiterait des progrès de la dentisterie adhésive. La porosité de l’émail hypominéralisé rend l’adhésion moins efficace et augmente les risques de fracture par rapport à l’émail sain ; l’infiltration de résine extrêmement fluide (Icon® DMG, Pred) augmenterait non seulement les liaisons des restaurations sus-jacentes aux tissus dentaires mais également la microdureté de ce tissu [6].
Le développement de la dentisterie adhésive a permis d’améliorer les approches peu invasives, intégrant de ce fait des aspects esthétiques et fonctionnels. Ici, notre choix s’est porté sur une restauration en vitrocéramique collée de type overlay.
Séquences cliniques
Le protocole de préparation de la dent ainsi que celui concernant l’assemblage de l’overlay céramique (fig. 2 à 7) suivent une séquence clinique habituelle [7, 8], à l’exception de deux étapes. Nous proposons ici, à la suite de l’éviction carieuse, d’intensifier la désinfection par l’utilisation d’O3 (fig. 3). Aussi, il nous paraissait intéressant, une fois la préparation prothétique effectuée, d’infiltrer cet « émail MIH » afin de potentialiser le collage et renforcer ses propriétés mécaniques ; l’infiltration résineuse agirait à l’échelle de l’émail comme le scellement dentinaire immédiat agit à l’échelle de la dentine (fig. 5). Une désinfection optimisée, un bandeau d’émail renforcé et le choix d’une restauration minimalement invasive qu’est l’overlay conduisent à un pronostic plus favorable pour l’avenir de cette dent, d’ailleurs incluse par la suite dans un traitement orthodontique (fig. 8).
Conclusion
La prise en charge délicate des MIH nous conduit à nous questionner sur l’amélioration de nos protocoles d’intervention. Les propositions cliniques exposées ici pourraient ouvrir de belles perspectives nécessitant toutefois de plus amples investigations.










Commentaires