La population française vieillit et cela conduit à une augmentation continue des personnes traitées pour une ou plusieurs maladies chroniques. Ainsi, plus de 11 millions de Français bénéficient du dispositif des affections de longue durée (ALD), chiffre en constante augmentation, principalement pour des tumeurs malignes, diabète, maladies psychiatriques et maladie coronaire. La présence de plusieurs maladies chroniques chez un même patient est fréquente et augmente avec l’âge. Dès 50 ans, la moitié de la population a au moins une morbidité et, à partir de 65 ans, la plupart est multimorbide [1].
Plus de trois millions de Français sont traités pour un diabète de type 2 (DT2), avec une moyenne d’âge d’environ 70 ans [2]. Cela représente plus d’une personne sur 10 chez les plus de 45 ans et la prévalence continue d’augmenter. Certaines comorbidités sont fréquentes : obésité, hypertension artérielle (HTA), dyslipidémie, maladies cardio-vasculaires, apnée du sommeil et arthrose.
La prise en charge parodontale d’un individu présentant un diabète constitue déjà le quotidien du chirurgien-dentiste et la part de ces patients dans notre activité augmentera certainement dans les années à venir. Le diabète a un impact fort sur la santé orale et le défi chez ces patients consiste à concilier et atteindre trois objectifs : assurer la sécurité du patient, améliorer sa santé parodontale et améliorer sa santé générale.
Objectif 1 : assurer la sécurité du patient
Chez tous les patients, la prise en charge bucco-dentaire, et notamment parodontale, intègre un impératif de sécurité et de prévention des complications. La présence d’une maladie chronique peut modifier la probabilité de survenue d’un incident et créer ainsi un risque. On distingue les risques infectieux, hémorragique, d’interactions médicamenteuses et d’anesthésie [3]. Au cours du traitement parodontal, il est indispensable d’évaluer ces risques et d’adapter la prise en charge en fonction.
Chez le patient diabétique, il faut, par l’interrogatoire, déterminer le type de diabète (1 ou 2), son contrôle (glycémie et hémoglobine glyquée HbA1C), les médicaments pris (insuline, sulfamides, biguanides et autres) et le régime observé avant de débuter le traitement parodontal. Il faut aussi savoir si d’autres problèmes systémiques sont associés (cardiovasculaires, rénaux) et leurs médications.
Quand le diabète n’est pas équilibré (HbA1C > 7 %), le risque infectieux augmente, en particulier si l’inflammation gingivale n’est pas contrôlée : l’antibioprophylaxie est nécessaire si l’acte est sanglant et la réalisation d’un traitement parodontal chirurgical peut être contre-indiquée.
Objectif 2 : améliorer la santé parodontale du patient
La dernière classification des maladies parodontales [4] a introduit la notion de stade et de grade pour les parodontites. L’objectif est d’identifier les patients qui exigent des soins et un suivi spécifique pour prévenir ou contrôler leur parodontite. Le diabète non équilibré, tout comme le tabac, est considéré dans cette classification comme un facteur de risque modifiant le grade de la parodontite, c’est-à-dire modifiant le risque de progression de la maladie.
Il est bien établi que le diabète non équilibré aggrave la sévérité et la progression de la maladie parodontale et augmente le risque de perte dentaire [5]. Pour cette raison, un grand nombre de diabétiques présentent une parodontite [6]. Une augmentation de l’hémoglobine glyquée de 1 % est associée à une hausse moyenne de la perte d’attache de 0,7 mm. La progression de la parodontite sera particulièrement aggravée dans le cas des poches les plus profondes. Le risque de perdre une dent est 36 % plus élevé que chez un non diabétique [7].
Un bilan parodontal doit être proposé à tous les patients diabétiques. Le patient doit être informé des répercussions du diabète sur le parodonte et des complications de la parodontite sur son diabète [8]. Une prise en charge non chirurgicale, qui débutera par l’apprentissage des techniques d’hygiène orale et la prescription du matériel adapté, doit ensuite être instituée chez tous les patients diabétiques atteints de maladie parodontale, quel que soit le contrôle de la glycémie. Les modalités du traitement doivent cependant être adaptées selon le taux d’HbA1C puisque la réponse au traitement est moins favorable si le diabète n’est pas équilibré. La prise en charge des patients présentant un taux d’HbA1C < 7 % équilibré et stable est identique à celle d’un patient non diabétique. En présence d’un patient diabétique non contrôlé avec un taux de HBA1C > 7 %, la prescription d’une antibiothérapie dans l’heure qui précède le débridement et poursuivie 6 jours permet d’obtenir une réduction de la profondeur de poche, mais peu de gain d’attache clinique. En présence d’un taux d’HbA1C > 7 %, la phase chirurgicale est le plus souvent contre-indiquée et les patients suivent alors une thérapeutique parodontale de soutien jusqu’à ce qu’ils atteignent un taux compatible avec une chirurgie parodontale. Par la suite, il est recommandé de suivre les patients diabétiques tous les 3 mois en moyenne selon le statut glycémique et le risque parodontal. Les patients dont le diabète est mal contrôlé présentent un risque de récidive de la parodontite élevé [4].
Objectif 3 : améliorer la santé générale du patient
Le rôle du chirurgien-dentiste dans la prise en charge du diabète s’articule autour de deux axes.
Améliorer le contrôle du diabète
S’il est bien établi qu’un diabète déséquilibré est associé à un risque accru de parodontite, cette relation entre diabète et parodontite est bidirectionnelle. Plusieurs études ont montré que la présence d’une parodontite sévère augmente le risque de : 1) développer un diabète de type 2 [9] ; 2) présenter des complications du diabète telles que les rétinopathies [10] ; 3) mourir d’une maladie cardiovasculaire, en particulier chez les patients comorbides diabétiques et insuffisants rénaux chroniques. Plus encourageant, plusieurs méta-analyses incluant des essais contrôlés randomisés confirment l’amélioration du contrôle de la glycémie après une thérapeutique parodontale menée avec succès chez les patients présentant un diabète de type 2. La diminution de l’HbA1C varie de 0,27 à 0,48 % à 3 mois, ce qui est comparable en termes d’amélioration à l’ajout d’un second antidiabétique oral. Pour autant, les données manquent pour démontrer le maintien de cet effet à long terme [11]. À ce jour, il n’a pas été démontré d’effet similaire concernant le diabète de type 1 ou le diabète gestationnel. Il semble pourtant que les femmes enceintes présentant une parodontite aient une incidence du diabète gestationnel plus élevée [12].
Dépister un diabète en consultation de parodontie
La prévalence d’un prédiabète ou diabète non diagnostiqué est encore très élevée dans les pays développés, dont la France. Près de 25 % des adultes diabétiques ne sont pas diagnostiqués, en particulier chez les moins de 60 ans. L’absence de diagnostic (et donc de prise en charge) augmente le risque de complications du diabète. Cela complique également le traitement parodontal puisqu’un facteur de risque majeur n’est pas pris en compte dans le traitement. Il existe donc un besoin de dépistage dans les populations à risque : plus de 45 ans, obésité, hypertension artérielle, antécédents familiaux de diabète, antécédent de diabète gestationnel, maladie cardiovasculaire ou encore dyslipidémie. Chez ces patients, une recherche systématique au cabinet dentaire par un bilan biologique (glycémie à jeun et HbA1C) identifie, selon les études entre 1 et 14 % de diabétiques et entre 20 et 90 % de prédiabétiques [13]. Un dépistage plus spécifique, en ciblant les individus qui ont une parodontite sévère, permet d’identifier encore plus de prédiabétiques et diabétiques [14]. Une échelle d’évaluation du risque, comme le FindRisc Questionnaire disponible en ligne (https://www.diabeclic.com/findrisc), peut être un outil utile dans la pratique quotidienne pour indiquer la réalisation d’un bilan biologique [15].
Conclusion
Le rôle que joue le chirurgien-dentiste vis-à-vis de son patient évolue : il dépasse maintenant la santé orale et participe, avec d’autres professionnels de santé, à l’amélioration de la santé générale. Il est tout à fait possible que la proximité du chirurgien-dentiste avec ses patients et la fréquence des visites l’implique de plus en plus dans le dépistage de maladies chroniques ou le suivi de constantes biologiques comme l’HbA1C. Les maladies parodontales et les autres maladies chroniques ont également des déterminants communs et la prise en charge bucco-dentaire et générale se rejoignent pour les améliorer conjointement.
Remboursement des soins parodontaux par la CPAM
Depuis le 1er avril 2019, la Sécurité sociale prend en charge les actes suivant pour les patients en ALD pour diabète :
– HBQD001 ou Bilan parodontal facturé 50 € (Exploration du parodonte par sondage pour dépistage d’une maladie parodontale, étude de l’indice de plaque) ;
– HBJA003 ou Assainissement parodontal [détartrage-surfaçage radiculaire] [DSR] sur 1 sextant facturé 80 € ;
– HBJA171 ou Assainissement parodontal [détartrage-surfaçage radiculaire] [DSR] sur 2 sextants facturé 160 € ;
– HBJA634 ou Assainissement parodontal [détartrage-surfaçage radiculaire] [DSR] sur 3 sextants facturé 240 €.
Quels que soient la technique et le nombre de sextants, la prise en charge est limitée par période de 3 ans à un traitement initial et à un traitement complémentaire en cas de persistance des lésions.
Le détartrage (HBJD001), facturé 28,92 €, est pris en charge dans la limite de deux actes par période de 6 mois comme pour tous les patients.
Cas clinique
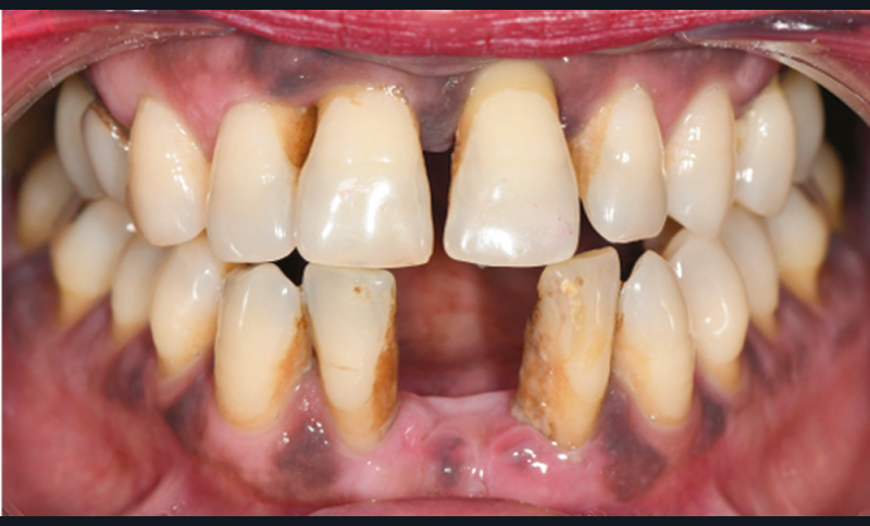
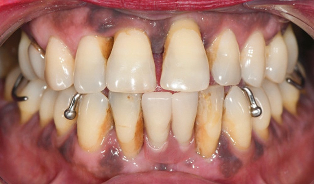
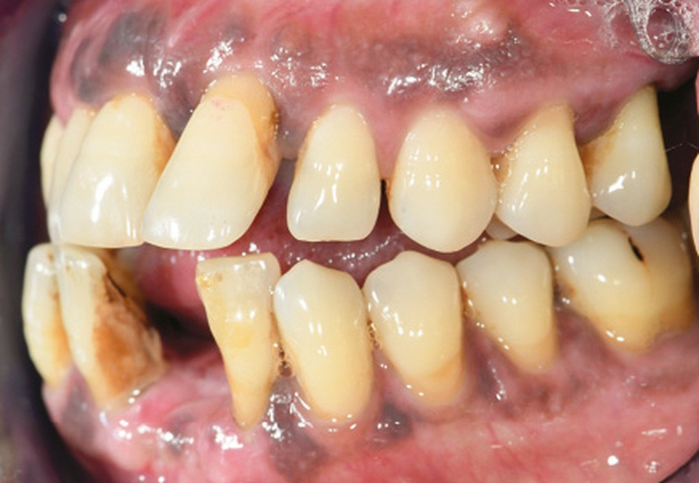
Une patiente de 49 ans consulte en parodontie après la perte spontanée de plusieurs dents au cours des deux années écoulées, dont deux incisives mandibulaires. Elle est fumeuse (15 paquets/années), mais se déclare en bonne santé et ne suit pas de traitements médicamenteux. Son suivi bucco-dentaire et médical est irrégulier. Elle n’a pas vu de chirurgien-dentiste ou de médecin depuis plusieurs années. Elle ne présente pas d’obésité. Il n’y pas d’antécédents de diabète connu dans sa famille.
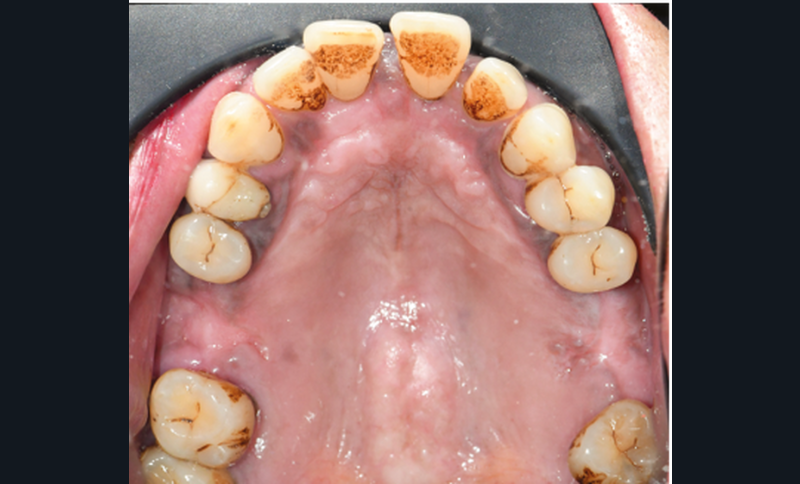
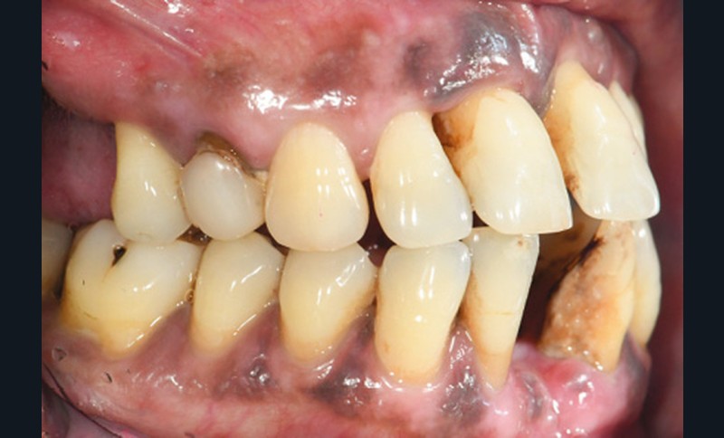
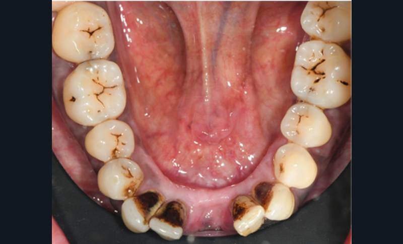
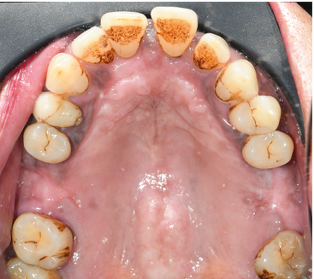
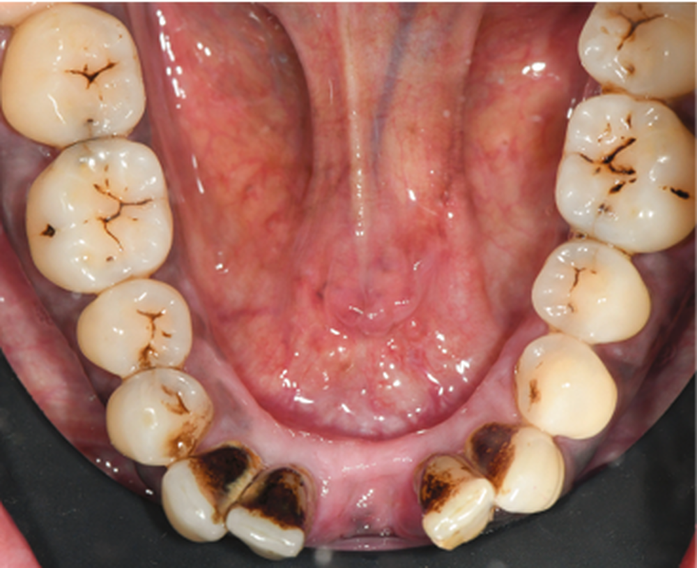
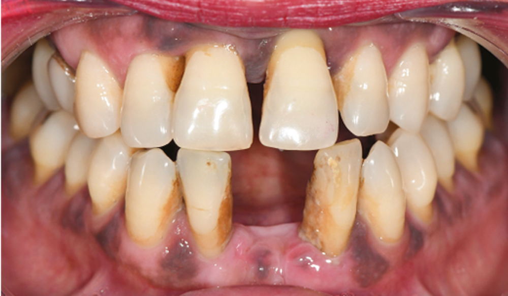
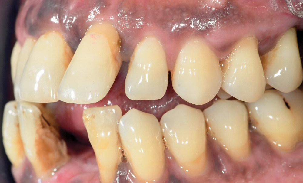
L’examen clinique (fig. 1) et le charting parodontal (fig. 2) montrent une inflammation gingivale et une perte d’attache généralisée, avec la présence de récessions et de poches parodontales profondes. La profondeur de sondage moyenne et le niveau d’attache moyen sont respectivement de 4,3 mm et – 4,9 mm, associés à un indice de plaque et un indice de saignement de 59 et 30 %. On note des migrations secondaires avec une égression et une vestibuloversion des incisives maxillaires.
Les 16, 26, 27, 31 et 41 ont été perdues spontanément après avoir été mobiles. Le bilan radiologique (fig. 3) montre une alvéolyse généralisée sévère, dépassant la moitié de la hauteur radiculaire. La patiente rapporte avoir consulté en parodontie cinq ans auparavant. Un bilan long cône avait alors été réalisé (fig. 4).
La comparaison des deux bilans radio montre une progression importante de la parodontite pendant cette période et confirme l’origine parodontale des pertes dentaires. Cette constatation, associée à la sévérité de la maladie, à l’âge de la patiente et à l’absence de suivi médical, nous incite à demander un bilan biologique pour rechercher un diabète ou prédiabète non diagnostiqué. La glycémie à jeun est alors mesurée à 1,30 g/l (normes 0,7-1,1) et l’hémoglobine glyquée à 7,3 % (cible < 6,5 %), associées à un cholestérol HDL bas (1,21 mmol/l, norme sup 1,30), indiquant une forte suspicion de diabète de type 2 qui sera confirmé par un médecin.
Le diagnostic retenu est celui d’une parodontite généralisée de stade IV, grade C, compliquée par un DT2 non traité et un tabagisme actif.
La prise en charge parodontale comprend une phase initiale non chirurgicale avec des débridements des poches parodontales accompagnés, pour chaque séance, d’une antibioprophylaxie. De nombreuses poches persistent à l’issue de cette phase et nécessiteront des chirurgies parodontales. Il est décidé de ne pas procéder à ces chirurgies tant que le diabète n’est pas équilibré, mais plutôt de réinstrumenter les poches et d’assurer un suivi très rapproché (3 mois). La patiente suit actuellement un traitement médicamenteux pour le diabète.
| Évaluation |
Vrai |
Faux |
|
|
1 |
La prise en charge parodontale est contre-indiquée chez un diabétique de type 2 non équilibré. |
||
|
2 |
Une consultation en parodontie est propice au dépistage d’un diabète ou prédiabète non diagnostiqué. |
||
|
3 |
Le contrôle de la glycémie est amélioré par le traitement d’une parodontite sévère. |
||
|
4 |
Le risque de complications du diabète est augmenté s’il y a une parodontite sévère. |
||
Réponses en ligne sur notre site : www.information-dentaire.fr
Points clés
- Il est indispensable de connaître le taux d’HbA1c du patient sur la dernière année.
- Un diabète non équilibré ne doit pas faire repousser le début de la phase initiale du traitement parodontal s’il y a un besoin.
- La prise en charge parodontale varie en fonction du taux d’HbA1c qui peut créer un risque infectieux et contre-indiquer la phase chirurgicale.
- Si le diabète n’est pas équilibré, la prescription d’une antibioprophylaxie est indiquée en cas de geste sanglant.
- Il est difficile de stabiliser la maladie parodontale des patients non équilibrés.
- Le suivi parodontal du patient diabétique est le plus souvent rapproché, avec des rendez-vous rarement espacés de plus de 6 mois.
- Un diabète non diagnostiqué doit être envisagé en cas de parodontite sévère chez un patient présentant des facteurs de risques du diabète.









Commentaires