La réalisation d’une prothèse fait concourir trois acteurs de soins, à savoir le patient, le prothésiste et le praticien. Il est rare que tous les acteurs soient amenés à se retrouver et échanger leurs points de vue. Il paraît pourtant évident que la communication aura une conséquence directe sur la qualité de la restauration finale. Le travail, une fois fini, devra satisfaire les besoins et attentes de ce trio.
L’objectif de cet article est de mettre en avant les points de communication essentiels du praticien et du prothésiste à travers un cas clinique. La première partie abordera la réalisation d’une prothèse transitoire immédiate bi-maxillaire. Une seconde partie sera consacrée à la réalisation d’une prothèse d’usage bi-maxillaire dans un prochain article.
Recueil des données
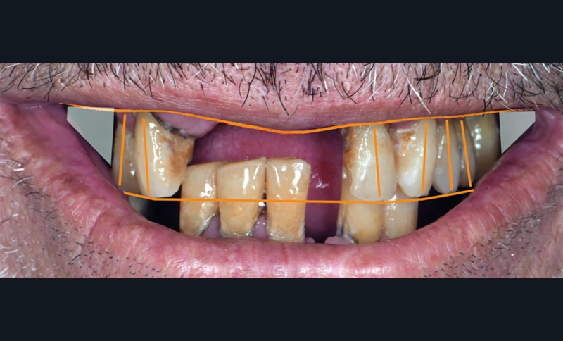
L’examen clinique montre un patient de 67 ans, fumeur de 1,5 paquet de cigarettes par jour depuis 35 ans et n’ayant aucun problème de santé général, souhaitant une réhabilitation de son sourire.
Les dents 15, 16, 17 et 12 ont été extraites en urgence en raison d’un abcès alvéolaire aigu ou d’une mobilité 4 gênant l’alimentation du patient.
Ce dernier présente une maladie parodontale chronique sévère avec une atteinte de furcation de classe 2 (Nyman) et des égressions compensatrices.
Le choix se porte donc vers la réalisation d’une prothèse complète immédiate suivie d’une prothèse complète d’usage à quatre mois postopératoires.
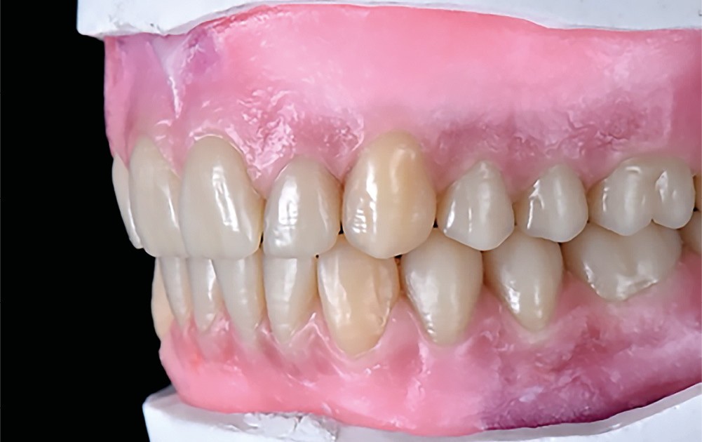
À ce stade, la photographie préopératoire est le premier point clé de la communication avec le laboratoire (fig. 1 à 3). Cela permet au prothésiste, ainsi qu’au praticien, d’avoir une première analyse de la typologie du patient ; ce qui aidera par la suite le choix de la forme des dents et des éventuelles animations du montage [1].
Le patient appartient au morphotype digestif (classification de Sigaud) avec un visage carré (fig. 4 et 5). La photographie pré-extractionnelle met en évidence, malgré un sourire discret, une ligne de sourire haute laissant visible une partie de la gencive (fig. 3) [2].
Afin de positionner les dents en harmonie avec la personnalité du patient, quelques traits de personnalité sont également partagés au laboratoire, ce qui permettra au prothésiste d’entamer son travail en étant directement investi dans le projet.
Prothèse immédiate
Empreinte primaire
L’empreinte primaire est probablement l’empreinte la plus importante : les erreurs ayant tendance à s’accumuler au fil des étapes, il est illusoire de penser que les erreurs de l’empreinte primaire seront corrigées par l’empreinte secondaire (fig. 6). L’obtention de surfaces d’appui cicatrisées et suffisamment étendues est un prérequis nécessaire afin de garantir une sustentation et une stabilisation suffisantes des prothèses transitoires [3].
Objectifs :
- enregistrer fidèlement les surfaces d’appui dentaire et muqueuses ;
- être peu compressive afin d’éviter une surextension majeure du futur porte‑empreinte individuel (PEI).
Une mise en évidence des futures limites du PEI à l’aide d’un crayon aquarelle peut permettre d’apporter une information supplémentaire au prothésiste (fig. 7 et 8).
Porte-empreinte individuel
Le choix d’un porte-empreinte fenêtré est une alternative intéressante afin d’optimiser l’enregistrement de la limite fonctionnelle en regard des zones dentées (fig. 9).
Contrairement à un porte-empreinte plein dont les limites dans les secteurs dentés sont stoppées à la ligne de plus grand contour, le PEI fenêtré est lui ajusté à 1 mm de la ligne de réflexion muqueuse (LRM) [4].
Objectifs :
- des limites respectant au mieux les tracés du praticien ;
- un design comprenant des bourrelets qui préfigurent l’encombrement dentaire de la future prothèse dans les zones édentées ;
- une facilité d’utilisation ;
- un ajournement des zones dentées sur la partie primaire ;
- l’espacement et la perforation des parties secondaires ;
- une rigidité et un ajustage de la résine sur les surfaces d’appui.
- Le porte-empreinte est réalisé sur l’empreinte primaire en respectant les limites déterminées et tracées sur l’alginate. Le moulage est espacé uniquement autour des dents résiduelles. Le reste du porte-empreinte est traité de la même façon qu’un porte-empreinte classique de prothèse complète. Il est ajusté et les contre-dépouilles rendant impossible la désinsertion des porte‑empreintes sur les modèles de travail imposent de fractionner les modèles afin de rendre possible cette réalisation.
Le porte-empreinte est réalisé avec une résine transparente en créant des encoches de repositionnement sur les bourrelets simulant les arcades dentaires. La partie secondaire est alors espacée et vient s’ajuster sur les encoches de la partie primaire. Elle est réalisée avec une résine photopolymérisable perforée pour permettre l’échappement des excès de matériaux.
Empreinte secondaire
De la même manière que des porte-empreintes de prothèse complète, les PEI sont réglés en bouche en vérifiant leur stabilité après mobilisation des joues et des lèvres [5]. Le joint périphérique et l’empreinte de surfaçage peuvent être enregistrés de manière traditionnelle. Après élimination des excès ayant fusé dans les zones ajourées, l’empreinte est repositionnée en bouche et les cloches chargées d’alginate sont repositionnées précisément à l’aide des encoches prévues à cet effet. L’ensemble est retiré d’un bloc.
Objectifs :
- mobilisation du jeu labial sans interférence du PEI ;
- enregistrement précis du jeu des organes paraprothétiques ;
- repositionnement reproductible et précis des contreparties.
Les empreintes secondaires sont alors traitées en réalisant un coffrage afin de respecter les joints périphériques enregistrés et sont coulées avec un plâtre de classe 3 (fig. 10 et 11).
Rapport intermaxillaire, choix de la teinte et transfert des données
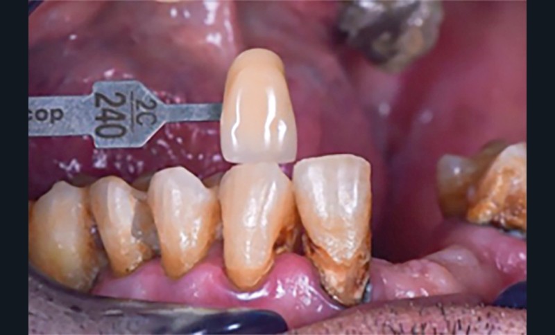
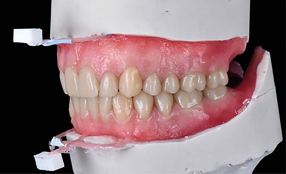
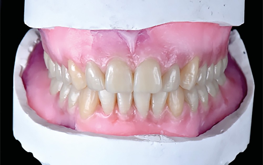
Des maquettes d’occlusion base dure sont réalisées afin de permettre un transfert du modèle maxillaire sur articulateur et d’enregistrer le rapport intermaxillaire (RIM). Des photographies de l’indice de Lee avec un repère millimétré et de la prise de teinte sont transmises au prothésiste pour qu’il effectue un choix de dents adapté. Une forme carrée et une teinte saturée semblent appropriées. Une photographie de profil permettra de valider le réglage du soutien de lèvre ; il faudra alors prendre en compte ce nouveau repère lors du montage (fig. 12 à 16) [6].
Objectifs :
- transmettre les réglages du soutien labial, de la ligne du sourire, de la teinte cible et de la distance interallaire grâce à l’envoi d’une photographie ;
- régler une RIM fiable reproductible en bouche et sur les modèles.
Une radiographie panoramique peut également être utile dans la programmation des pentes condyliennes du patient sur l’articulateur, sans pour autant remplacer une axiographie. La valeur de la pente condylienne mesurée est alors arrondie au nombre supérieur en prothèse amovible afin de pallier les erreurs d’approximation [7].
Montage sur simulateur
Le modèle maxillaire est positionné sur simulateur à l’aide d’une table de transfert se basant sur le plan d’occlusion naturel qui passe par les encoches hamulaires (H) et le foramen rétro-incisif, dont la projection muqueuse est représentée par la papille rétro-incisive (IP), il s’agit du plan de Cooperman. Ces repères sont considérés comme stables dans le temps avec peu de modifications post-extractionnelles. Sur le plateau, s’aimantent une tige postérieure pour mettre en place les encoches hamulaires du modèle en plâtre et une pointe en antérieur pour la papille rétro-incisive [7-10]. Dans ce cas, le choix de montage s’est tourné vers l’utilisation d’une table HIP, suite à une erreur de communication pour un montage plus classique (fig. 17 et 18).
Dans le secteur postérieur, l’inclinaison possible de la table de montage permet de positionner les dents parallèles au plan de transfert réglé parallèlement au plan de Camper.
En l’absence d’enregistrement par arc facial, cette technique de repositionnement reste très efficace. De plus, sa fonction de table de montage orientée parallèlement au plan bi-pupillaire permet une gestion esthétique simplifiée.
Malgré cela, l’utilisation de ce type de table en vue de la réalisation d’une prothèse immédiate reste peu documentée et mériterait d’être davantage étudiée.
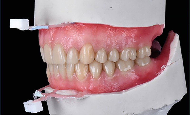
Montage dents/cire/polymérisation (fig. 19 à 24)
Une fois les modèles montés sur simulateur et toutes les informations préalablement communiquées pour mener à bien l’étape du montage, le montage des dents antérieures maxillaires est effectué. Les dents ont été choisies selon la morphologie du patient. Une teinte plus saturée a été choisie pour les canines (en rappel à ses anciennes dents), le milieu interincisif ainsi que la position du bord libre sont respectés, la taille du bloc incisivo-canin correspond aux repères tracés. Des animations du bloc incisif sont réalisées en corrélation avec les informations partagées sur le visage et la personnalité du patient [11-14].
Les dents postérieures sont positionnées sur la table, elle-même orientée sur le plan d’occlusion réglé par le praticien, en créant des courbes de compensation nécessaires au concept d’occlusion bilatéralement équilibré.
Ensuite, les dents postérieures mandibulaires sont positionnées en commençant par les 6 qui sont considérées comme les dents clé du montage. Leur bon positionnement est obligatoire pour favoriser le bon maintien des prothèses par l’occlusion. En antérieur, un espace (over-bite et over-jet) est nécessaire en prothèse complète afin de compenser les mouvements de latéralité et de propulsion sans déstabilisation des prothèses (schéma occlusal bilatéralement équilibré).
La sculpture de la fausse gencive est ensuite entreprise en investissant les joints périphériques et en prenant en compte les surfaces polies stabilisatrices pour assurer un bon maintien des prothèses.
Les montages sont ensuite polymérisés. Toutes les parties en cire sont recouvertes avec un silicone fluide pour protéger les dents et enregistrer avec précision les états de surface des finitions de cires réalisées en amont. La contrepartie est coulée en plâtre de type III malaxé sous vide.
Après un ébouillantage conventionnel, les différentes couches de vernis peuvent être appliquées en suivant les prescriptions du fabricant. Pour optimiser la liaison entre les dents prothétiques et la résine, des rétentions mécaniques sont créées à l’aide de fraises spécifiques et les talons des dents sont sablés. Une fois l’opération terminée, le moufle est prêt à être injecté.
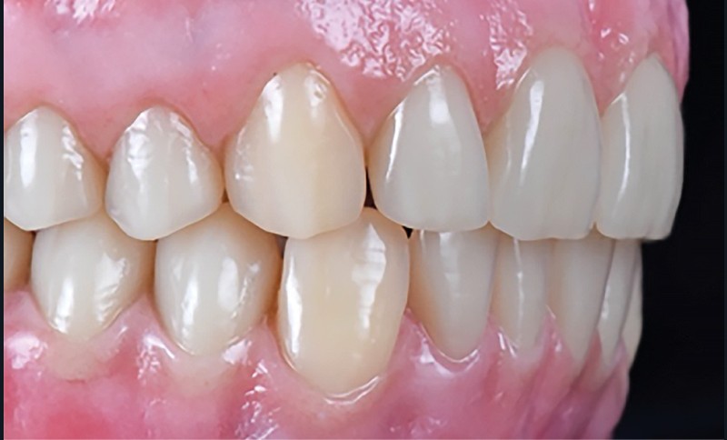
Il est alors possible de personnaliser cette base prothétique dans la masse avec différentes techniques. Le procédé énoncé est celui de la technique « poivre et sel ». Il consiste à saupoudrer des polymères de différentes teintes directement dans le moufle, où se situent les dents et les reliefs de fausse gencive sculptés dans le silicone. Ces poudres teintées personnalisées sont versées à l’aide de récipients aux endroits qui leur sont dédiés, de manière à reproduire dans ses couleurs la muqueuse buccale naturelle. Elles sont ensuite figées avec du monomère appliqué à l’aide d’un pinceau.
L’équipe travaille alors en négatif en reproduisant les tissus à l’envers. L’opération est répétée jusqu’à obtention du résultat souhaité [15-17].
L’appareil d’injection ici utilisé possède la précieuse fonction « réduction du monomère résiduel » (RMR), ainsi qu’une injection continue lors de la polymérisation, réduisant ainsi considérablement les déformations dimensionnelles.
En sortie de moufle et après refroidissement, il ne reste plus qu’à repositionner les modèles sur articulateur pour procéder à une vérification de la dimension verticale d’occlusion (DVO) et de la relation inter-maxillaire (RIM), ainsi qu’à une équilibration immédiate et à d’éventuelles rectifications. Les prothèses transitoires sont alors polies et envoyées pour l’insertion prothétique.
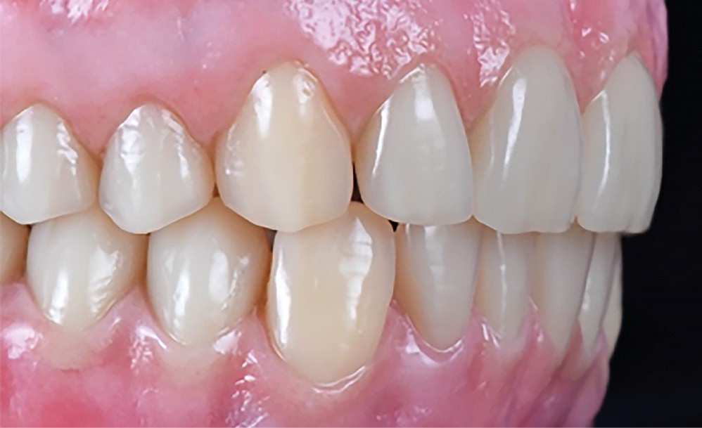
Extractions et mise en place des prothèses immédiates (fig. 25 à 27)
Le jour des extractions, aucune correction prothétique visant à améliorer l’ajustage de l’intrados n’est nécessaire. La moindre porosité de la résine par rapport à un matériau de rebasage amène de meilleures conditions de cicatrisation postextractionnelle. De la même manière, la maintenance des prothèses par le patient est plus aisée. Un rebasage de l’intrados prothétique à l’aide d’un silicone de rebasage sera réalisé à deux mois postopératoires afin de favoriser l’ajustage de l’intrados prothétique au niveau des sites d’extraction. Le joint périphérique, lui, reste le même que celui enregistré lors de l’empreinte secondaire.
Conclusion
Le passage à la prothèse immédiate est une situation souvent délicate qui revêt un aspect psychologique complexe pour le patient et un défi diagnostique et technique pour l’équipe praticien-prothésiste. La maîtrise de cet exercice est d’autant plus importante car, en plus de favoriser le maintien d’un volume osseux maximum, la prothèse permet de servir de guide esthétique et fonctionnel pour la restauration finale, qu’elle soit fixe ou amovible.
|
Auto-évaluation |
VRAI |
FAUX |
|
|
1 |
Une erreur d’enregistrement au stade de l’empreinte primaire pourra être corrigée au stade de l’empreinte secondaire |
X | |
|
2 |
Un ajustage du porte-empreinte du commerce est quasi systématique afin de garantir une empreinte primaire de qualité |
X | |
|
3 |
Le porte-empreinte fenêtré s’arrête à la ligne de plus grand contour. |
X | |
|
4 |
La table HIP utilise comme plan de référence le plan de Camper. |
X | |
|
5 |
La polychromie est un travail de stratification de poudre en négatif pour reproduire les effets naturels de la muqueuse buccale. |
X | |

























Commentaires