3es lauréats du grand prix Id : Utilisation des techniques de collage en omnipratique 2020 avec le soutien institutionnel de Voco
Linda Martin I Praticienne libérale, Paimpol
Katleen Andrieux I Prothésiste dentaire, Plurien
Cas clinique
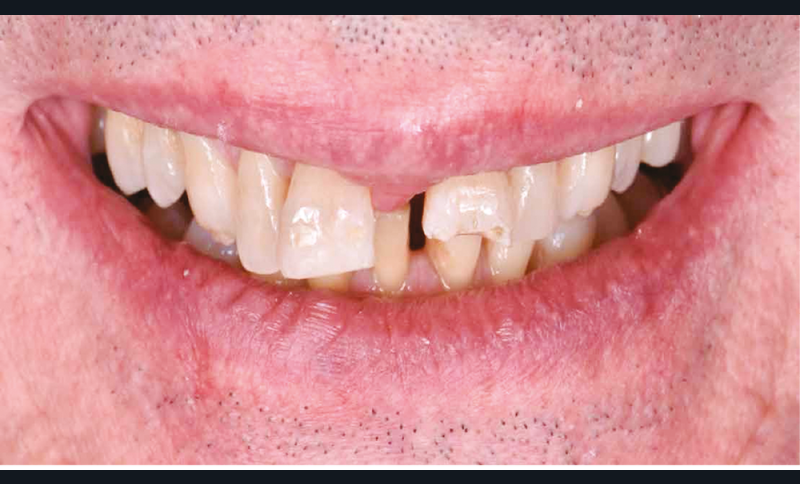
À la première consultation de contrôle, un patient de cinquante ans se présente avec, au maxillaire, une hypoplasie de l’émail modérée sur ses canines et son incisive centrale droite. L’hypoplasie amélaire de l’incisive centrale gauche a, quant à elle, abouti à un phénomène d’érosion usure avec la perte du bord incisal (fig. 1). Après discussion et explication de son problème, le patient reconnaît ne jamais avoir été inquiété par cette situation indolore puisqu’il ne sourit pas depuis qu’il est tout petit suite à des moqueries sur son diastème médian et sa classe II.
Propositions, discussion
Les empreintes globales en silicone double mélange (V-Posil Putty fast et X-light fast – Voco) sont réalisées pour le laboratoire. Le plâtre de classe IV y sera coulé puis dupliqué afin de simuler les formes des propositions par de la cire.
La première céraplastie, appelée aussi wax up, consiste en une reconstitution du bord incisal délabré et la seconde la complète par une fermeture modérée du diastème. Ces wax up permettront de modeler une clé pour un mock up (masques) et deux clés palatines destinées à guider la restauration en composite (fig. 2). Les clés sont durcies sous pression à deux bars.
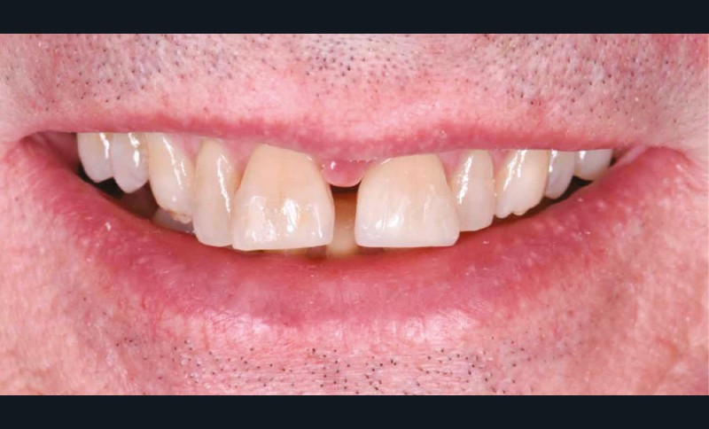
D’abord très sceptique, le patient est revu pour une explication des différentes propositions esthétiques à l’aide des modèles du laboratoire qui lui permettent de visualiser la dysharmonie. Dans la même séance, son approbation obtenue, les masques sont posés en bouche en injectant un matériau composite autopolymérisable (Structur 2 – Voco) dans la clé pour le mock up. Le patient change de regard : il commence à sourire plus naturellement (fig. 3).
Traitement Restauration directe au composite
La couleur de la restauration est choisie en début de rendez-vous puis, le champ opératoire posé, le bon positionnement de la clé est vérifié [1].
La préparation des surfaces amélaires ne nécessite pas le passage de fraises comme cela pourrait être le cas pour une restauration indirecte (chips ou facettes). Dans un premier temps, elles seront sablées à l’oxyde d’alumine et mordancées à l’acide orthophosphorique. Puis, l’adhésif universel (Futurabond U – Voco) est appliqué, frotté et soufflé activement avant d’être photopolymérisé pendant dix secondes en protégeant les dents adjacentes à l’aide d’une bandelette de Téflon (fig. 5).
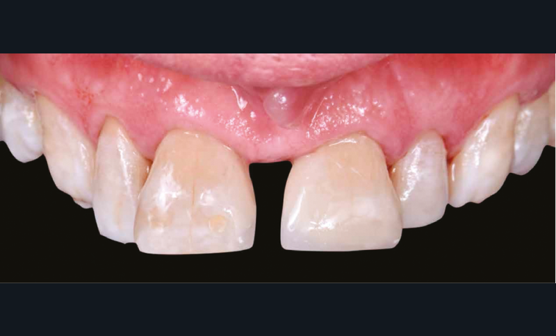
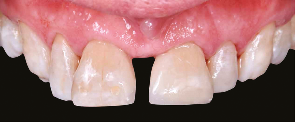
Le composite Ormocer nanohybride de teinte BL (Admira Fusion – Voco) est appliqué en couche fine directement hors bouche dans la clé et sculpté aux formes prévues initialement par la céraplastie (fig. 6). Cette clé est plaquée au contact des dents et le composite déposé est photopolymérisé en bouche pour adhérer aux surfaces dentaires. Pour renforcer cette paroi palatine, un lé du même composite dans sa version fluide et en teinte A2 est déposé à l’embout ultrafin contre cette paroi (fig. 7). La stratification commence par apport de petites masses de composite de teinte A2 photopolymérisé au fur et à mesure (fig. 8) et se termine par la teinte BL sur les 0,5 mm vestibulaires [2]. La restauration finale est longuement photopolymérisée sous gel de glycérine avant d’être polie et lustrée [3] (fig. 9).
Conclusion
Lorsque le protocole précis, décrit depuis quelques années, est bien respecté, les restaurations composites restituent les propriétés esthétiques acceptables et pérennes de la dent (fig. 10). Dans cette séquence clinique, l’écoute et la compréhension du patient, l’observation et le choix du matériau en collaboration avec le laboratoire de prothèse ont permis d’obtenir un résultat prévisible et satisfaisant pour le patient sans aucun délabrement tissulaire supplémentaire, en respectant le gradient thérapeutique [4].










Commentaires