Face à une situation clinique mettant en évidence un état de délabrement plus ou moins important, le praticien doit quotidiennement faire le choix de réaliser une restauration soit directe, soit indirecte [2]. Avec l’évolution des matériaux et des techniques décrites, le praticien peut être en droit de douter des indications réelles de ces deux approches. Jusqu’à quel stade de délabrement coronaire est-il possible de réaliser une restauration directe en minimisant au maximum le risque de fracture de la restauration ou de la dent ? Les restaurations indirectes sont-elles à systématiser lors de la réalisation de soins occlusaux proximaux ? Qu’en est-il des sensibilités postopératoires ou de l’étanchéité de la restauration sur le long terme, qu’elle soit directe ou indirecte ? Comment gérer l’intégration esthétique du matériau choisi ? Quels matériaux choisir pour quelle situation clinique ? Bon nombre de questions face auxquelles le praticien doit pouvoir trouver des réponses en s’appuyant sur des critères décisionnels fiables lui permettant d’opter pour la solution la plus pérenne tout en maximisant la conservation tissulaire.
Cas clinique
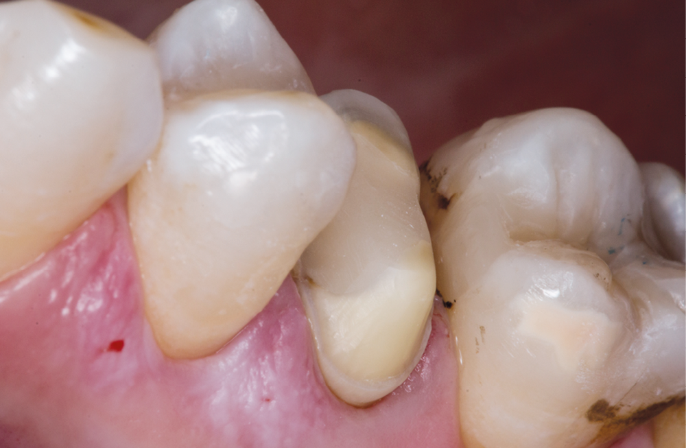
La réfection d’anciennes restaurations directes fait partie du quotidien de l’exercice du chirurgien-dentiste. Le cas présenté concerne un patient chez qui d’anciennes restaurations à l’amalgame sont présentes sur 24 et 26 ainsi qu’une volumineuse restauration mésio-occluso-distale au composite sur 25 (fig. 1).
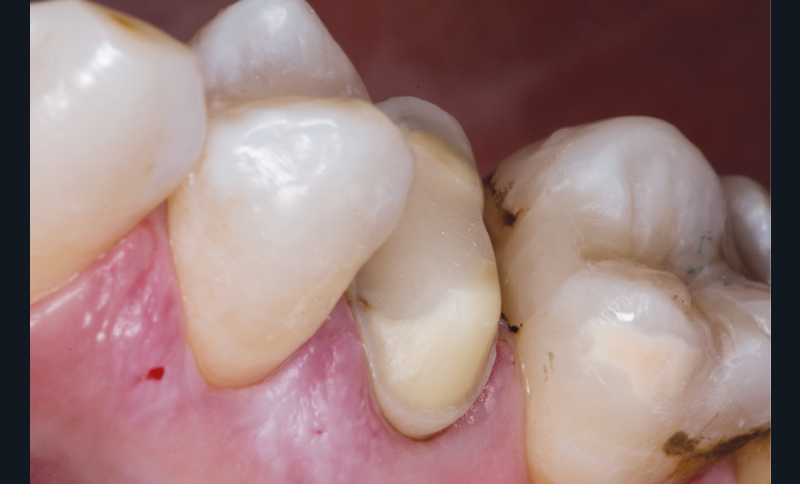
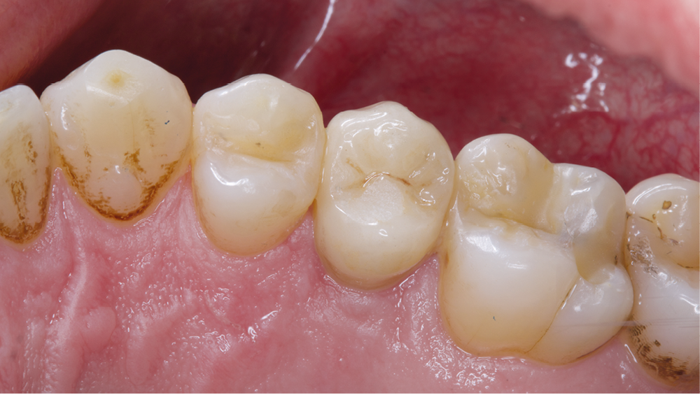
Différents critères peuvent indiquer la nécessité de renouveler d’anciennes restaurations. Ces critères peuvent répondre à des besoins biologiques, prophylactiques ou mécaniques. L’accumulation récurrente d’aliments dans les espaces interdentaires et le manque d’adaptation marginale des anciennes restaurations sont des facteurs qui ont motivé la réfection des restaurations dans cette situation clinique. La dépose des anciennes restaurations, sous champ opératoire, permet de visualiser la quantité et la qualité des tissus dentaires résiduels (fig. 2). Une exérèse fine des tissus cariés est réalisée en préservant au maximum les structures dentaires (fig. 3). La mise en place du champ opératoire favorise la rétraction gingivale et optimise le contraste visuel entre les tissus dentaires et leur environnement.
Ce n’est qu’après cette étape de nettoyage, qui devrait idéalement se faire à l’aide d’un révélateur de carie, que l’indication d’une restauration directe ou indirecte peut être posée avec plus de précision. Au vu de la situation, pour les 24 et 26, l’indication de composites directs est posée, alors que pour la 25, une restauration partielle collée de type overlay est proposée au patient. Pour ces trois dents, les préparations sont réalisées dans le respect des principes biologiques mais aussi mécaniques propres à la situation clinique et aux matériaux de restauration choisis.
Les restaurations directes sont réalisées en premier lieu et les faces proximales sont façonnées à l’aide de matrices fines prégalbées (fig. 4). Une fois les composites directs réalisés, les faces proximales sont polies grâce à l’accès direct permis par la cavité sur la 25 (fig. 5). Ces nouvelles références proximales vont permettre la réalisation d’un overlay avec une meilleure gestion des futurs points de contacts proximaux. La préparation de l’overlay est ensuite réalisée dans le respect des règles de biomimétisme tout en gardant le principe d’économie tissulaire toujours présent à l’esprit.
L’hybridation dentinaire immédiate (IDS pour Immediate Dentin Sealing), la géométrisation de la cavité par addition de matériaux (CDO pour Cavity Design Optimization) et l’éventuelle remontée de marge (CMR pour Cervical Margin Relocation) [3] fonctionnent comme un véritable trépied élargissant considérablement les indications des restaurations partielles collées dans cette approche plus contemporaine de la dentisterie. Dans la situation clinique exposée, l’IDS puis un CDO ont été effectués, mais aucune CMR ne s’est révélée nécessaire. Le comblement de la cavité d’accès et une substitution dentinaire sont faits à l’aide de l’association d’un composite fibré puis d’un composite microhybride ayant chacun un objectif particulier au vu de la situation clinique. L’objectif est ici d’obtenir une substitution avec un assemblage permettant une bonne répartition des contraintes et dont le module d’élasticité est proche de celui de la dentine. La réalisation d’un overlay permet de laisser les limites en supra gingivale, facilitant l’accès au nettoyage prophylactique du joint dento-prothétique (fig. 6).
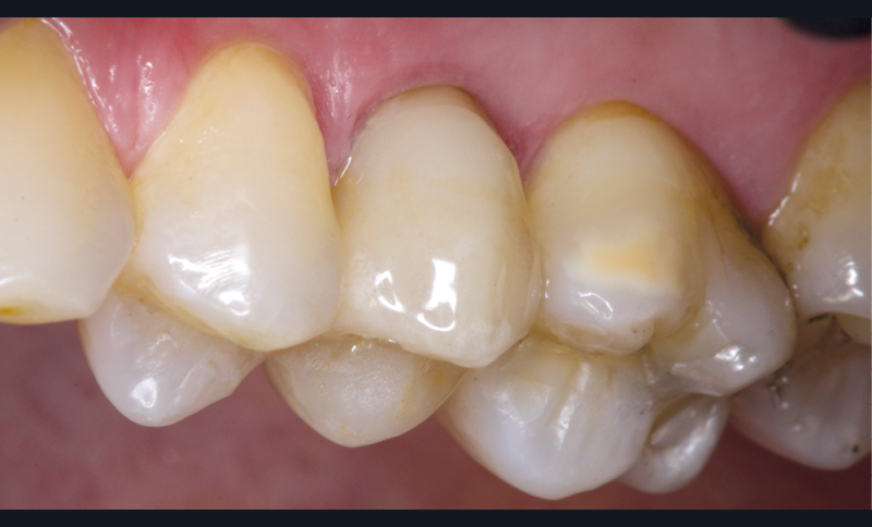
Avant la réalisation de l’empreinte, les critères de préparation sont validés et l’émail marginal réactivé afin de garantir un collage amélaire de la pièce la séance suivante. L’overlay a ici été réalisé en disilicate de lithium (fig. 7 et 8). L’adaptation de la pièce est validée sur modèle puis en bouche lors d’un essayage réalisé avant de poser le champ opératoire [4]. Le champ opératoire est ensuite posé en unitaire et les surfaces sont conditionnées afin de pouvoir recevoir la colle d’assemblage (fig. 9).
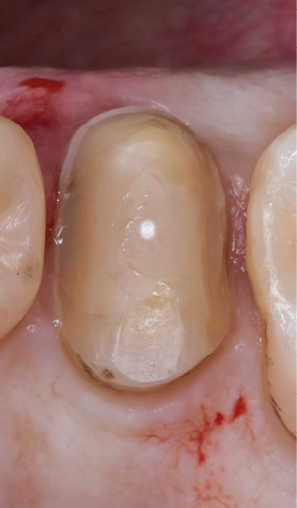
Une fois le collage réalisé, le joint de colle poli avec soin et le champ opératoire déposé, la gencive marginale est fréquemment lésée superficiellement (fig. 10) ; une prescription d’antalgique de niveau 1 peut être nécessaire pour diminuer les douleurs postopératoires.
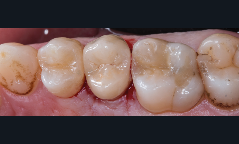
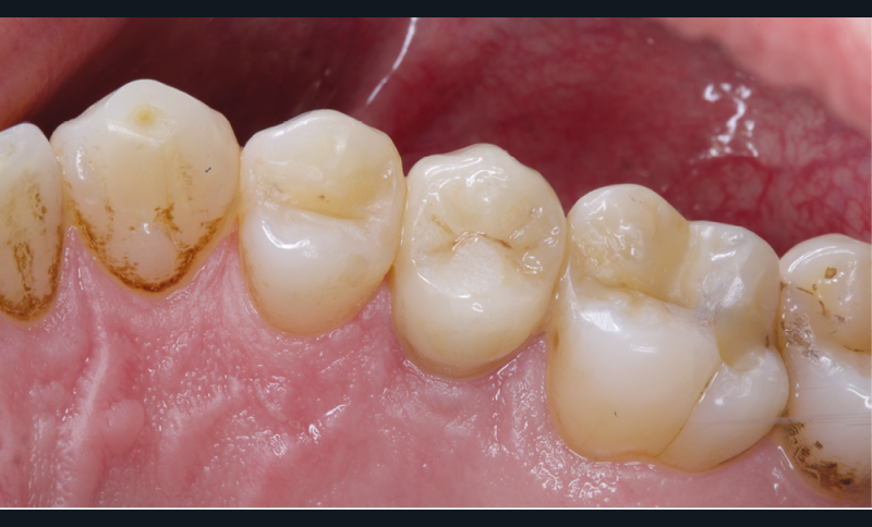
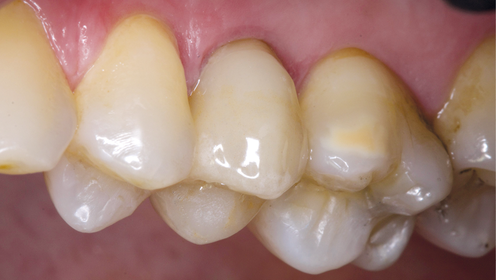
L’intégration esthétique finale n’est appréciable qu’à une semaine post-collage (fig. 11 et 12) une fois la dent réhydratée et la gencive complètement guérie. Le non-enfouissement des limites permet de contrôler plus facilement le joint dento-prothétique avec une élimination complète des excès en postopératoire immédiat, mais également dans le temps en mettant plus facilement en évidence toute perte d’intégrité ou coloration du joint de colle.
Conclusion
L’intégration d’une dentisterie adhésive s’appuyant plus que jamais sur les principes d’économie tissulaire et sur le respect strict du gradient thérapeutique permet de combiner des restaurations directes et indirectes en toute simplicité et efficacité. Le respect des principes biologiques ne doit pas se faire pour autant aux dépens des principes mécaniques, qui seront les garants de la pérennité des restaurations réalisées.


















Commentaires