Évolution du pilier standard vers l’embase titane
Le pilier standard
Jusque dans les années 2000, le pilier de référence utilisé pour la partie prothétique était un pilier standard en titane sur lequel était généralement scellée une couronne. Certaines parties prothétiques fortement sous-gingivales rendaient difficile l’élimination des excès de ciment, favorisaient les mucosites et les péri-implantites et apportaient des résultats esthétiques plus limités.
Le pilier anatomique par CFAO
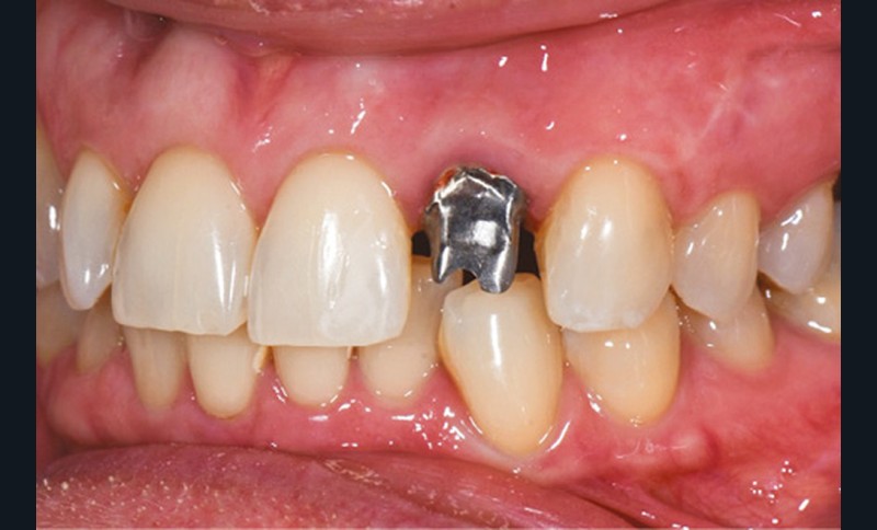
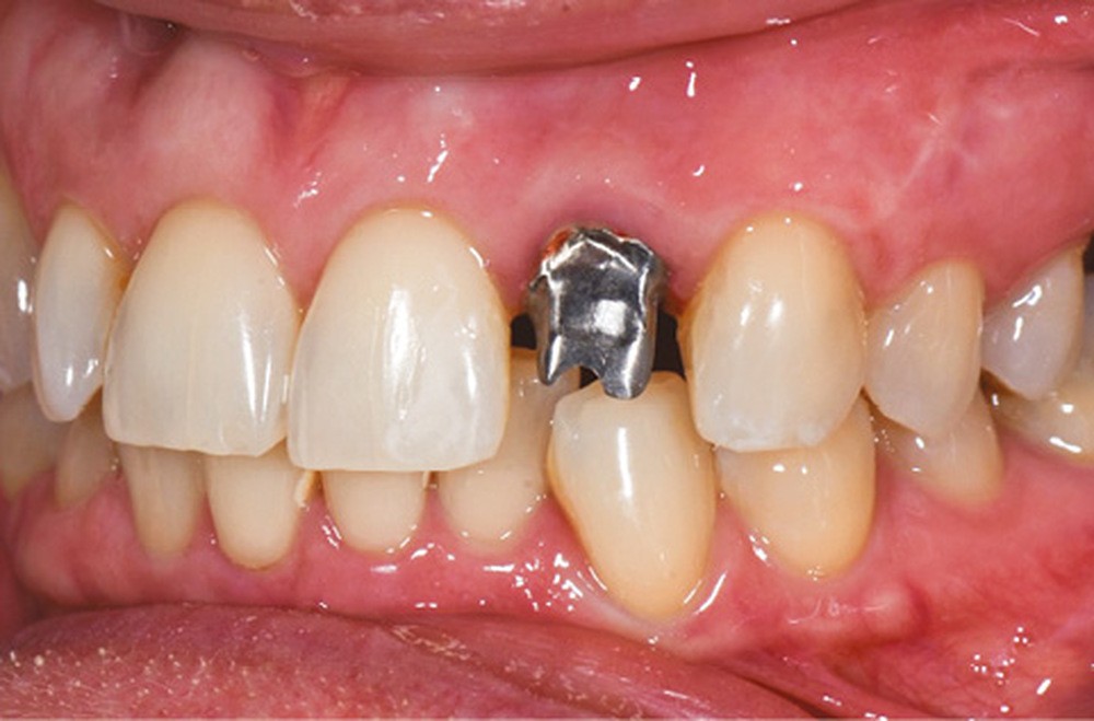
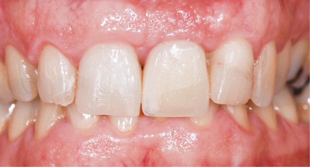
L’avènement de la CFAO permet de fabriquer des piliers sur mesure. Cette nouvelle technologie, associée à l’utilisation de matériaux biocompatibles en titane ou en zircone, permet d’enregistrer et de reproduire le profil d’émergence sous-gingival concave. Celui-ci est mis en forme initialement à l’aide de la prothèse implanto-portée provisoire ou du pilier de cicatrisation sur mesure. Les piliers en titane recouverts d’une couronne scellée sont les plus démocratisés. Bien qu’ils offrent la possibilité de définir la position des limites de restauration et facilitent ainsi l’élimination des excès de ciment, ils ne les excluent pas. L’alternative au scellement correspond à la stratification de la céramique directement sur le pilier afin de réaliser une prothèse esthétique transvissée directement sur l’implant. La mise en place d’un cosmétique sur du titane nécessite une maîtrise des céramiques à basse fusion de la part du prothésiste pour ne pas modifier les propriétés mécaniques du métal. De plus, le problème esthétique demeure, car ces restaurations peuvent avoir un aspect moins lumineux et présenter un aspect grisâtre à travers la gencive, particulièrement pour celles d’une épaisseur inférieure à 1,5 mm (fig. 1).
Les piliers anatomiques en zircone ont été proposés en parallèle afin de s’affranchir de ces inconvénients. La stratification peut se faire directement sur le pilier, et la prothèse peut être transvissée. Cependant, des fractures de connectique ainsi qu’une usure prématurée de la partie femelle implantaire par la zircone ont été rapportées dans la littérature, limitant les indications de ce concept.
Le pilier embase titane
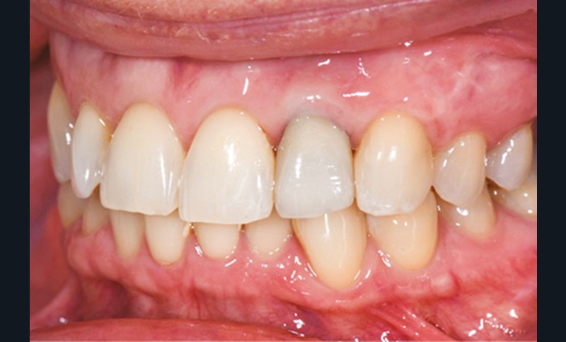
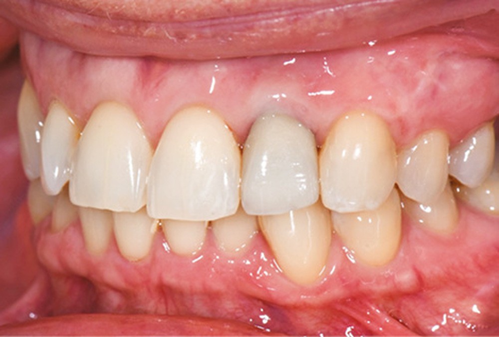
Afin d’associer les qualités du titane et de la zircone, les piliers à embase titane ont été développés (fig. 2). Ils limitent l’usure prématurée de la connectique implantaire décrite pour la zircone et permettent de réaliser des couronnes transvissées sans risquer de modifier les propriétés du titane. Une suprastructure en zircone est collée sur une embase en titane. La perception visuelle de ces piliers, au profil d’émergence personnalisé, est meilleure qu’avec les piliers anatomiques en titane ; la dent semble moins grise. Ces piliers visent à tirer bénéfice des deux matériaux. Plusieurs hauteurs d’embase sont proposées. L’embase la plus haute sera privilégiée afin d’éloigner le joint de colle de la crête osseuse.
Récemment, des embases permettant de rattraper l’axe implantaire jusqu’à 25° sont sorties chez différents fabricants (fig. 3). Ils permettent de positionner l’implant dans l’axe des corticales, plus proche de l’axe radiculaire, et de positionner l’émergence du puits de vissage au centre de la table occlusale ou au niveau du cingulum de la dent.
Ainsi, nous privilégions désormais la prothèse transvissée sur embase titane dans la plupart des indications. Lorsque la divergence entre l’axe prothétique et l’axe implantaire est supérieure à 25°, nous nous orientons vers la prothèse scellée sur pilier anatomique titane.
Une fois les matériaux choisis et le profil d’émergence sculpté par la provisoire, il est important de bien sélectionner sa technique d’empreinte.
L’empreinte avec le pilier embase titane
L’empreinte sur implant peut se réaliser suivant deux principales techniques : par contact surfacique (technique dite « classique ») ou, plus récemment, par procédé optique.
L’empreinte classique
Cette technique utilisant les matériaux à empreinte est encore aujourd’hui celle qui est la plus pratiquée. Elle respecte quelques principes généraux :
- utilisation d’un transfert d’implant. Ce dernier est le plus souvent métallique mais peut être en matière plastique. Il est connecté momentanément (pendant l’empreinte) à l’implant, la plupart du temps par vissage, plus rarement par clippage ;
- recours à une empreinte globale. L’empreinte sectorielle n’a été évoquée que de manière marginale dans la littérature. Cette approche semble en effet discutable étant donné la grande précision que demande l’empreinte sur implant. Ce dernier n’ayant aucune mobilité clinique, l’approximation n’est pas possible ;
- choix d’une technique d’empreinte en un seul temps. L’utilisation d’un transfert contre-indique le recours à la wash technique. Le praticien pourra donc choisir entre une technique double mélange ou une empreinte monophase (fig. 4) ;
- utilisation des matériaux élastomères. L’emploi des hydrocolloïdes est à proscrire étant donné leur fragilité et leur aptitude à la déformation s’ils ne sont pas traités rapidement.
Technique ouverte ou fermée ?
La technique fermée a l’avantage d’être simple à mettre en œuvre. En effet, elle permet l’utilisation d’un porte-empreinte du commerce habituel et ne nécessite pas de le retoucher. Elle est comparable à une empreinte double-mélange classique. Selon les systèmes d’accastillage prothétique, la technique peut être directe (le transfert reste dans l’empreinte à la désinsertion et se déconnecte de l’implant par « déclippage ») ou indirecte. Dans ce dernier cas, le transfert reste connecté à l’implant lors de la désinsertion du matériau. Il doit être repositionné ensuite dans l’empreinte, solidarisé à l’analogue. Cette technique fermée peut être réservée aux cas simples unitaires les plus courants (fig. 5).
La technique ouverte, ou pick-up, nécessite plus de manipulations puisqu’elle oblige à réaliser une fenestration du porte-empreinte afin de permettre le passage du transfert au travers de ce dernier. Elle impose donc l’utilisation de porte-empreintes du commerce « perforables », de porte-empreintes individuels ou de systèmes à volets amovibles. Elle est qualifiée de directe, puisque le transfert reste dans l’empreinte lors de la désinsertion. La technique ouverte apporte précision et sécurité. Elle s’impose lorsque le nombre de piliers implantaires à enregistrer augmente.
Choix du matériau
L’empreinte sur implant ne peut se réaliser qu’avec des élastomères de deux types : les silicones et les polyéthers.
Le choix du matériau dépend des habitudes de travail de chacun, puisque ces deux classes de matériaux donnent des résultats équivalents. Les polyéthers hydrophiles nécessitent une conservation à l’abri de l’humidité. Ils sont également plus rigides que les silicones, ce qui peut constituer une qualité (précision) ou un défaut (désinsertion difficile) selon les cas.
Le transfert personnalisé
Dans les cas antérieurs esthétiques, la réalisation d’une dent provisoire peut permettre une temporisation qui s’accompagne d’un réaménagement tissulaire. En effet, différentes retouches et transformations de la provisoire guident la plastie gingivale qui recrée un feston au plus proche de l’anatomie tissulaire physiologique.
L’utilisation d’un transfert personnalisé, « copié » sur la morphologie et le profil d’émergence de la dent provisoire, permet de préciser l’enregistrement ainsi que le transfert de la morphologie gingivale au laboratoire (fig. 6).
L’empreinte optique intrabuccale
Cette technique, adaptée pour l’embase titane, se développe progressivement aux dépens de l’empreinte classique. Elle impose l’utilisation d’une caméra au cabinet (elle est alors qualifiée de « chairside »).
La technique d’empreinte se réalise à l’aide d’un transfert spécifique appelé scanpost qui se connecte en bouche à l’implant par vissage. Le scanpost est chapeauté par une autre pièce, le scanbody, présentant une forme géométrique qui facilite sa lecture par la caméra. On obtient classiquement quatre fichiers au format STL comprenant :
- l’empreinte de l’arcade portant l’implant ;
- l’empreinte de l’arcade antagoniste ;
- l’enregistrement de l’occlusion ;
- l’empreinte avec le scanbody.
Il est possible d’ajouter une dernière empreinte du profil d’émergence du pilier provisoire afin de reproduire celui-ci pour la réhabilitation finale.
L’association suprastructure et embase titane
La CFAO permet aujourd’hui de fabriquer les suprastructures en céramique ou en composite. La céramique est utilisée si la hauteur prothétique est suffisante et le contexte occlusal favorable (tableau 1). Les composites, moins esthétiques, sont envisagés en situation de fortes contraintes occlusales avec une faible demande esthétique.
|
Tableau 1. Choix du matériau pour la suprastructure d’une couronne transvissée sur embase titane |
|||
|
Matériaux |
Composite (à charge dispersées et « céramique hybride ») |
Disilicate de lithium |
Zircone stratifiée |
|
Nom commercial |
CerasmartTM 270 (GC), Enamic® (Vita zahnfabrik)… |
e.max® (Ivoclar Vivadent) |
Zenostar® Zr (Wieland Dental)… |
|
Intérêts |
Propriétés mécaniques élevées (matériaux résilients) |
Propriétés esthétiques élevées |
Propriétés esthétiques élevées Biocompatible en transgingival |
|
Limites |
Peu biocompatible en transgingival Propriétés esthétiques faibles |
Peu biocompatible en transgingival |
Risque de facture du cosmétique |
|
Indications |
Couronne monolithique Bruxomane |
Couronne monolithique/stratifiée avec dent adjacente peu lumineuse et grise |
Couronne stratifiée excepté pour les patients bruxomanes |
|
Matériau d’assemblage recommandé |
Multilink® Hybrid Abutment HO 0 (Ivoclar Vivadent) |
Multilink® Hybrid Abutment HO 0 (Ivoclar Vivadent) |
PanaviaTM SA (Kuraray) associée à de l’aéro-abrasion |
Trois moyens peuvent être envisagés pour la réalisation d’une couronne transvissée sur embase titane (fig. 7).
- Collaboration avec le prothésiste et un partenaire d’usinage. Cette association permet au prothésiste de gérer la conception et la stratification sans s’occuper de l’usinage de l’armature. Le partenaire d’usinage est sélectionné par le laboratoire. La collaboration est parfaitement adaptée si la marque de l’implant est celle du partenaire. Si le praticien utilise une autre marque implantaire, la garantie implantaire peut alors être compromise et les possibilités d’utilisation du système implantaire, comme le rattrapage d’axe ou le choix de la hauteur de l’embase titane, peuvent être réduites. De plus, le risque d’éclat sur les couronnes en zircone stratifiée (chipping) peut être augmenté par une incompatibilité entre les matériaux du prothésiste (céramique cosmétique) et du centre d’usinage (zircone).
- Collaboration avec le prothésiste seul. L’usinage est dans ce cas effectué par le prothésiste. Il est nécessaire de se renseigner sur le type d’embase utilisé : embase fabricant ou générique. Dans le deuxième cas, toute la hauteur de la connectique peut ne pas être exploitée, conduisant à des dévissages, un manque d’étanchéité ou la fracture de l’une des pièces. Les génériques peuvent ne pas avoir toutes les possibilités des embases fabricants, principalement en termes de hauteur de col ou d’angulation.
- Restaurations réalisées au fauteuil en CFAO directe. Cette technique est adaptée pour les restaurations monolithiques avec des blocs d’usinage perforés (fig. 8). Cependant, la plupart des usineuses proposées pour le cabinet ne permettent pas l’usinage de la zircone, orientant les praticiens vers le disilicate de lithium aux propriétés biologiques plus faibles. La suprastructure ainsi conçue doit ensuite être collée à l’embase en gardant une attention particulière à son positionnement afin d’assurer la pérennité de la restauration. Le choix de l’embase répond aux mêmes critères que dans les cas précédents.
Conclusion
Les embases titane apparaissent de nos jours comme la réponse de choix pour la réalisation de restaurations unitaires implanto-portées. Elles allient les avantages biologiques et esthétiques de la zircone aux propriétés mécaniques du titane. Les piliers anatomiques sont préférés lorsque la divergence d’axe entre la partie prothétique et l’implant est supérieure à 25° ou que la hauteur coronaire est importante, conduisant au risque de décollement des structures. Ce dernier phénomène est aussi observé quand l’espacement entre la suprastructure et l’embase est trop important. L’ajustage entre ces pièces dépend de l’embase utilisée, du centre d’usinage, rendant la communication entre le praticien et le prothésiste encore une fois essentielle.
Points essentiels
- Le pilier à embase titane permet de réaliser des restaurations avec un profil d’émergence individuel aux propriétés optiques satisfaisantes.
- Les embases à rattrapage d’axe autorisent des divergences d’axe de 25°. Au-delà, la prothèse scellée garde toute son indication.
- L’empreinte en technique ouverte employant un transfert personnalisé est la méthode de référence. Elle peut être substituée par une empreinte optique associant l’enregistrement du positionnement implantaire par le scanbody à l’acquisition du profil d’émergence de la provisoire.
- La suprastructure est réalisée préférentiellement avec une zircone stratifiée. Les céramiques hybrides trouvent aujourd’hui leur indication chez le bruxomane.
| Évaluation |
Vrai |
Faux |
|
|
1 |
Il est possible de façon fiable de contrôler et éliminer la fusée de ciment en prothèse supra-implantaire. |
||
|
2 |
La prothèse transvissée impose que l’axe implantaire soit dans l’axe prothétique. |
||
|
3 |
L’ensemble des possibilités prothétiques des différents systèmes implantaires ne sont pas exploitables par les différents partenaires d’usinage. |
||
|
4 |
Il convient d’enregistrer le profil d’émergence de la provisoire en empreinte optique |
||
|
5 |
La zircone stratifiée est particulièrement indiquée chez le bruxomane. |
||
Réponses en ligne sur notre site : www.information-dentaire.fr













Commentaires