1er cas lauréat 2022 du grand prix Endodontie au quotidien
La mise en forme canalaire, étape essentielle pour l’obturation
Raphaël RICHERT, Jean-Christophe MAURIN, Julie SANTAMARIA, Pierre FARGE, Cyril VILLAT
Département de dentisterie restauratrice et d’endodontie, Centre de soins dentaires PAM Odontologie, Hospices civils de Lyon (69)
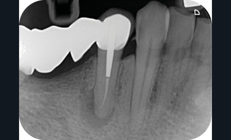
Une patiente de 56 ans, sans antécédents médico-chirurgicaux, se présente au Centre de soins dentaires pour cause de douleurs secteur 4. Les examens cliniques et radiographiques permettent d’orienter le diagnostic vers un abcès apical aigu sur la dent n°44 et de suspecter la présence d’un canal lingual non traité. Cette dent est support d’un bridge de grande étendue, de la dent n°44 à 47, étanche et apportant pleine satisfaction à la patiente (fig. 1).
La dépose de ce bridge et la réalisation d’une conception à l’identique semblent risquées mécaniquement et la patiente n’est également pas favorable à une thérapeutique de réhabilitation implantaire, jugée trop invasive. Un retraitement par voie rétrograde impose de raccourcir fortement la dent sans garantie d’un accès suffisant pour la gestion du canal lingual. La décision est finalement prise de conduire le retraitement endodontique à travers le bridge mais ceci impose de ne pas compromettre la résistance mécanique du bridge, ni dévier de la trajectoire canalaire.
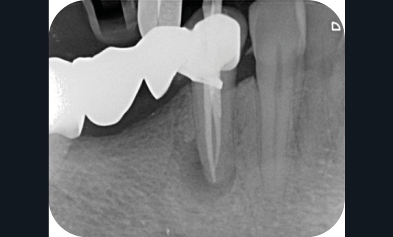
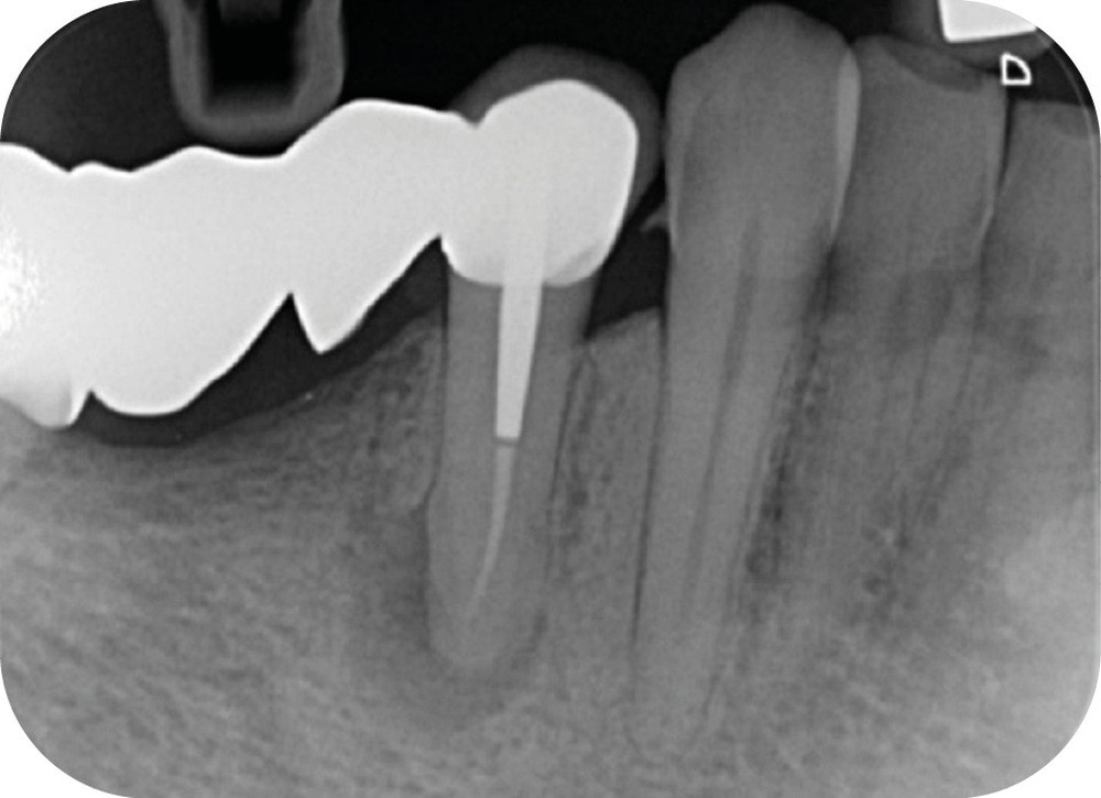
La cavité d’accès endodontique était alors traditionnellement réalisée en se figurant les axes de la racine et du bridge (fig. 2). Cette aptitude à s’orienter dans l’espace n’est cependant pas aisée, et différents outils numériques offrent aujourd’hui la possibilité de dessiner la trajectoire suspectée du canal sur les coupes de l’examen Cone Beam et d’aider le praticien à planifier son futur geste thérapeutique (fig. 3, 4). Après pose du champ opératoire, une voie d’accès est ainsi réalisée à travers le bridge en reportant les mesures de la planification 3D (fig. 5). Le tenon est déposé par vibration avec un insert ultrasonore puis la lecture des teintes dentinaires sous microscope permet d’objectiver la présence d’un canal supplémentaire non traité (fig. 6). Les surplombs dentinaires sont supprimés avec un insert ET18D (Actéon) et les entrées canalaires relocalisées avec une lime rotative d’évasement coronaire.
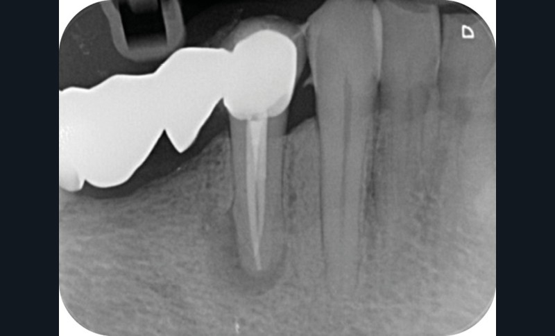
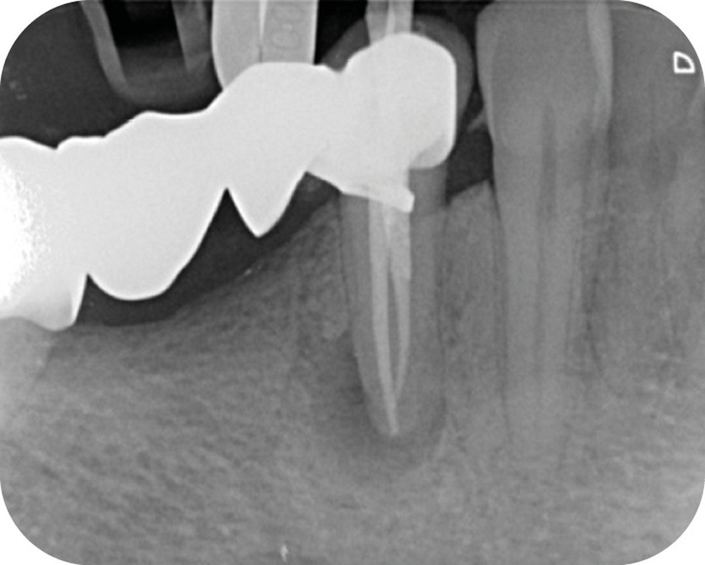
La mise en forme canalaire à travers un bridge impose des contraintes instrumentales importantes, et nécessite une analyse préopératoire minutieuse. Ici, nous avons eu recours à des limes de pré-élargissement mécanisé afin de sécuriser la trajectoire canalaire (fig. 7). Une préparation corono-apicale jusqu’à une finition apicale 25-6 % a ensuite été choisie afin d’optimiser le flux d’irrigant dans le tiers apical. À la suite de l’ajustage des maîtres cônes et d’un protocole d’irrigation finale (EDTA & NaOCl), une obturation selon la technique de condensation verticale à chaud est réalisée, puis la patiente est revue pour une restauration composite de la face occlusale (fig. 8, 9). Le contrôle à six mois révèle la disparition de la symptomatologie ainsi que des signes radiologiques de cicatrisation apicale (fig. 10).
Conclusion
Historiquement, la dépose des éléments prothétiques était conseillée afin de maximiser les chances de détection des récidives carieuses et de fêlures. Cependant, la dépose systématique d’éléments prothétiques constitue un acte peu économe en tissu dentaire et peut fortement réduire la durée de vie de la dent sur arcade. Les aides optiques et le développement d’instruments rotatifs traités thermiquement permettent aujourd’hui d’envisager une thérapeutique endodontique plus conservatrice, sans renier les principes fondamentaux de nettoyage canalaire et d’étanchéité coronaire. L’apport de la visualisation canalaire et de la cavité d’accès à partir d’une imagerie Cone Beam préopératoire représente une aide majeure dans ces cas complexes.










Commentaires