2e lauréat du grand prix Orthodontiste – Orthoplus
Les cas de classe II division 2 nous posent la question de la stabilité dans le temps, dans la mesure où l’on connaît le fort risque de récidive de la supraclusion [1,2]. Celle-ci peut également provoquer des usures précoces de l’organe dentaire qu’il faudra prendre en compte dans la réhabilitation esthétique du sourire. Par ailleurs, l’aspect fonctionnel n’est pas négligeable, d’autant plus lorsqu’il existe une subdivision. Chez l’adulte, l’hypercorrection et la contention définitive sont donc indispensables [1].
Présentation du cas
Quentin, 28 ans, sans antécédent orthodontique, se présente en consultation pour corriger ses malpositions dentaires.
Examen exobuccal (fig. 1a-c)
De face, il a un visage ovalaire, asymétrique, présentant une déviation du menton vers la droite. Son profil est convexe, avec un angle naso-labial légèrement ouvert et une distance cervico-mentonnière réduite. Le sourire révèle une déviation de la médiane incisive maxillaire vers la droite.
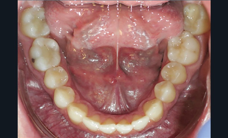
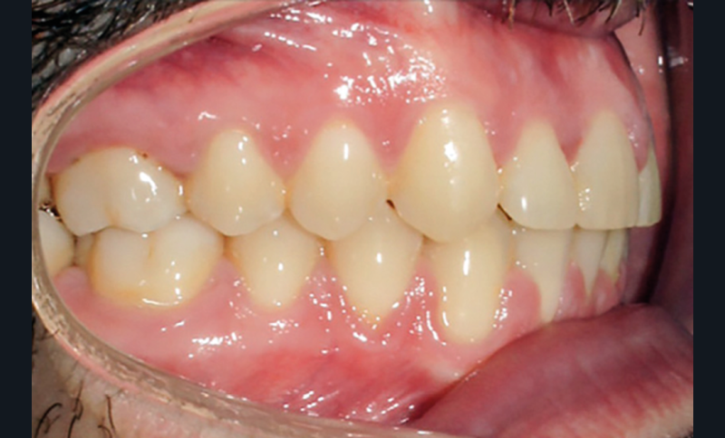
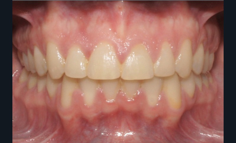
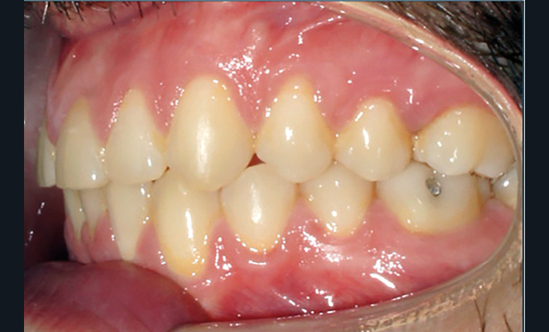
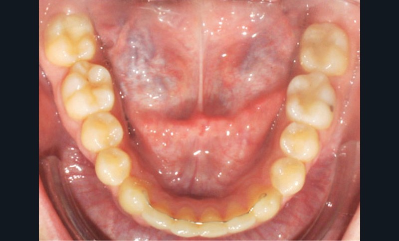
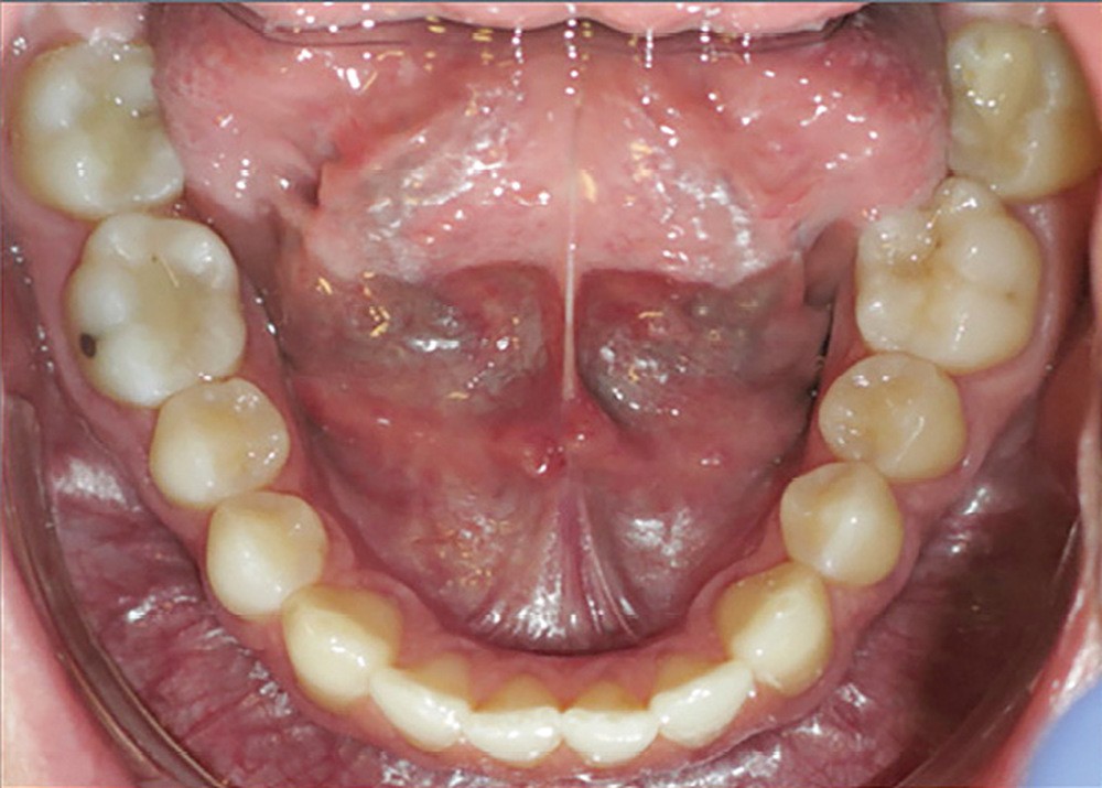
Examen endobuccal (fig. 2a-e)
L’arcade maxillaire est asymétrique, en hémi-lyre droite. Elle présente une mésio-position du secteur 1 en lien avec un encombrement antérieur estimé à 4 mm, se traduisant par une palato-position de la 12 et une rotation de la 11. On observe également des mésio-rotations des premières molaires et une palato-version incisive. L’arcade mandibulaire est ellipsoïde et présente un léger encombrement incisif (1 mm).
Concernant les relations occlusales, on observe une classe II complète subdivision droite. Le surplomb est absent et le recouvrement augmenté, estimé à 4 mm, a provoqué une usure des bords libres de 11 et 21 par attrition. Dans la dimension transversale, on constate une endoalvéolie maxillaire, ainsi qu’une concordance des médianes incisives entre elles, mais toutes deux déviées à droite par rapport au plan sagittal médian.
Examen fonctionnel
La ventilation est nasale, mais la déglutition s’accompagne d’un étalement lingual latéral. La mastication est également dysfonctionnelle, unilatérale non-alternée à droite. Sur le plan des parafonctions, on note une onychophagie.
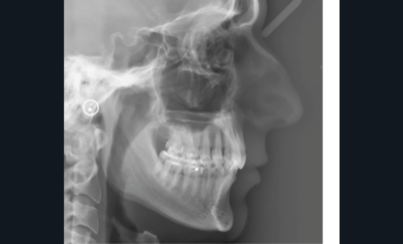
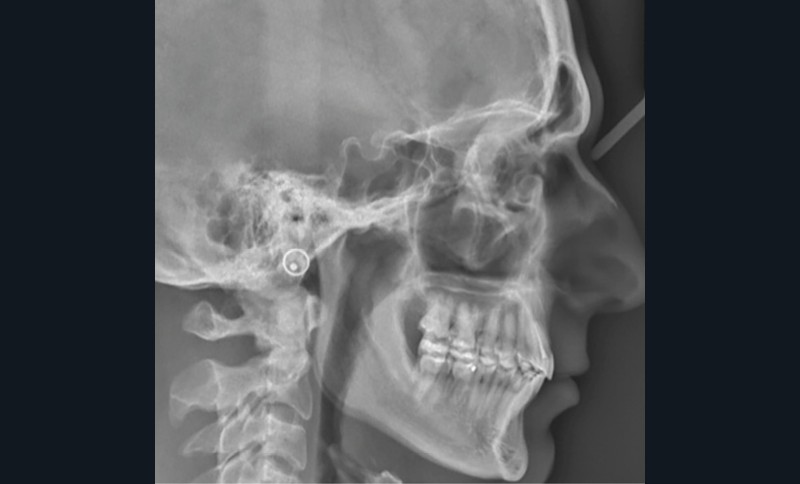
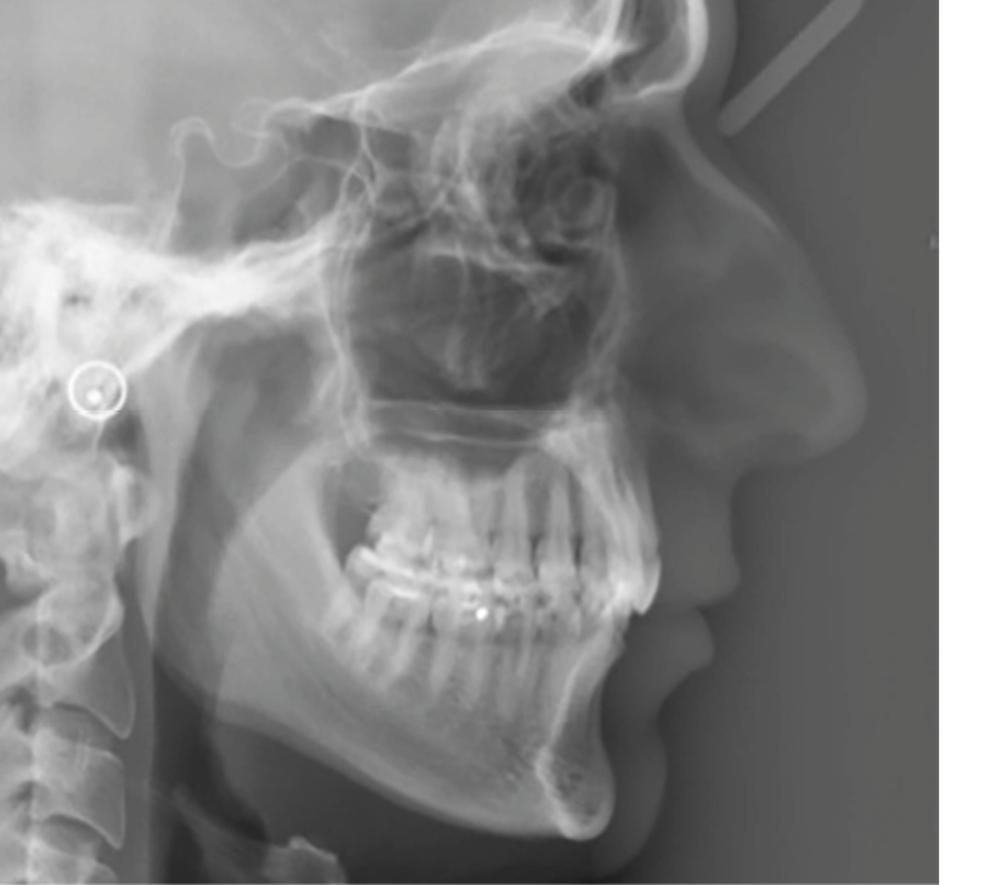
Examens complémentaires (fig. 3)
La téléradiographie de profil et l’analyse céphalométrique montrent une classe I squelettique tendance classe II dans un contexte d’hypodivergence, caractéristique des classes II division 2 [3,4]. L’axe de l’incisive mandibulaire est correct, au sein d’une symphyse épaisse, tandis que l’incisive maxillaire présente une rétroalvéolie importante. La supraclusion antérieure est d’origine mixte, majoritairement mandibulaire, en lien avec une courbe de Spee marquée.
Objectifs du traitement
Nous n’envisageons pas de corriger la classe II squelettique. Les objectifs sont principalement dento-alvéolaires, occlusaux, esthétiques et fonctionnels.
Le traitement vise à supprimer précocement les obstacles occlusofonctionnels et à rééduquer les dysfonctions. La surcorrection du torque radiculo-palatin incisif et prémolaire maxillaire est indispensable pour fermer l’angle interincisif et éviter la récidive de la rétroalvéolie. Ainsi, nos objectifs thérapeutiques dento-alvéolaires comprennent la correction de la DDM, le recentrage des médianes incisives et l’obtention d’une occlusion de classe I.
Sur le plan fonctionnel, on cherche à élever la pointe de la langue vers la papille rétro-incisive et limiter l’étalement latéral lors de la déglutition afin de stabiliser la dimension verticale. La détente de l’orbiculaire de la lèvre inférieure sera également un point clef pour la pérennité du traitement.
Traitement
Moyens thérapeutiques
Nous utilisons une technique multi-attache vestibulaire straight wire .022X.028 avec hypertorque antérieur (type III du Swing de Pierre Planché + 21° au maxillaire et -7° à la mandibule). En parallèle, des séances de rééducation labio-linguo-jugale sont prescrites dès le début du traitement.
Séquences thérapeutiques
La préparation de la denture consiste en un alignement et nivellement par expansion maxillaire et vestibulo-version incisive. Nous utilisons des cales rétro-incisives afin de corriger la supraclusion par égression des secteurs postérieurs, et ingression et vestibulo-version des incisives mandibulaires. La mandibule est déverrouillée par correction des torques maxillaires antérieurs et latéraux. Une mécanique élastique de classe II asymétrique permet ensuite la correction de la denture. Les finitions et l’intercuspidation sont réalisées avec des tractions intermaxillaires verticales. Le remodelage des bords libres est effectué par des améloplasties de 12 à 22. Après dépose de l’appareil multi-attaches, la contention est assurée, au maxillaire comme à la mandibule, par un fil collé de canine à canine et une gouttière thermoformée.
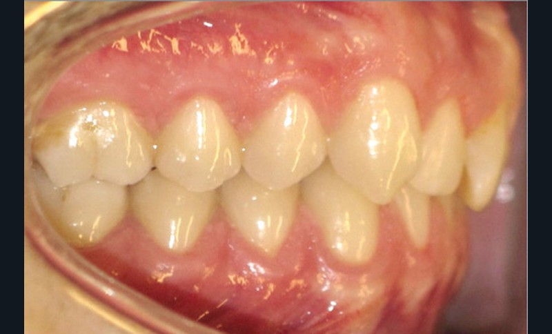
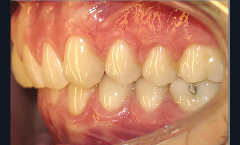
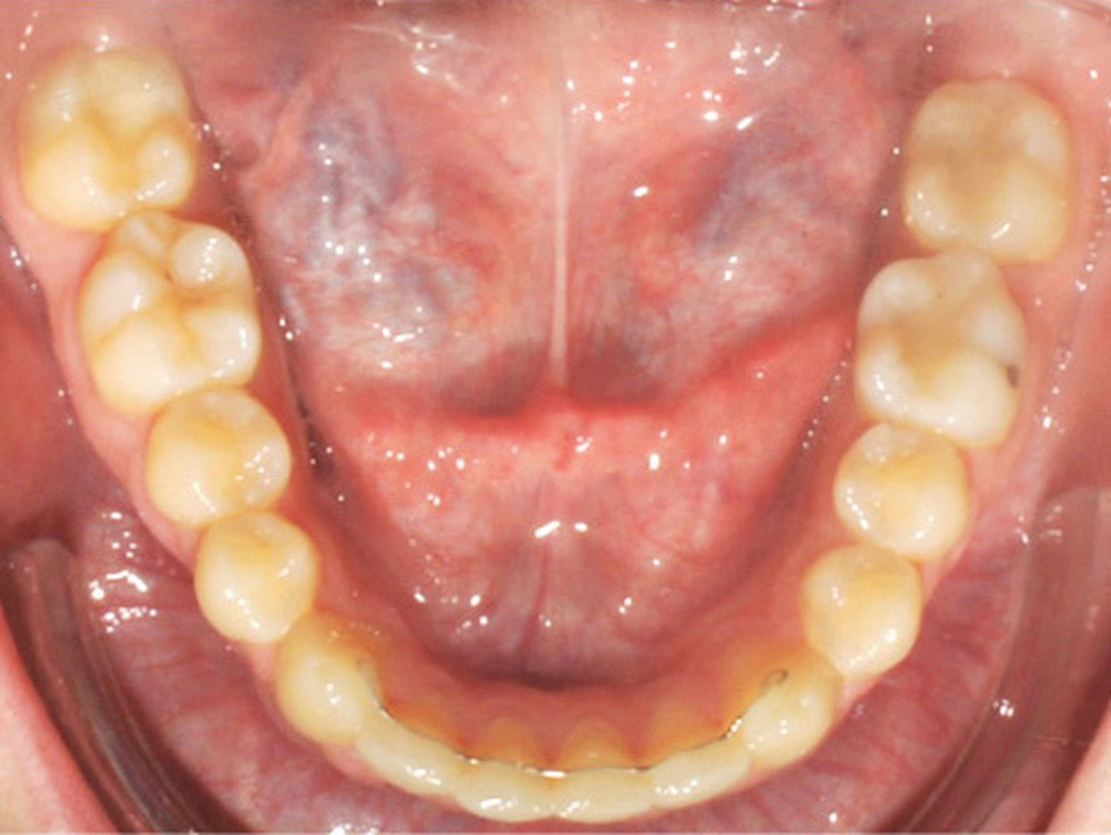
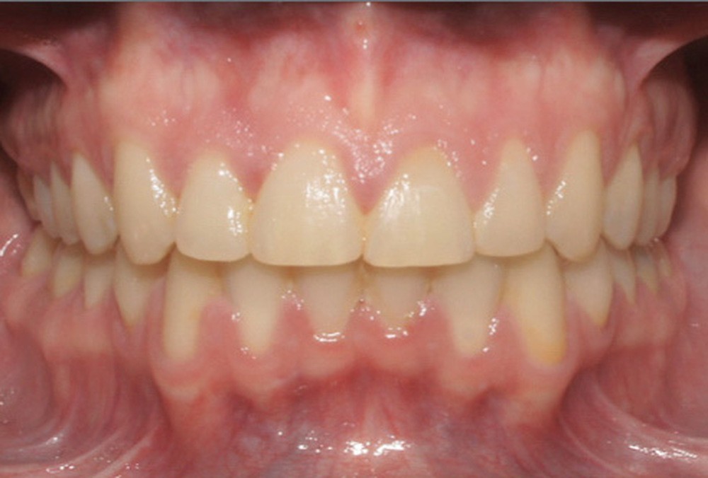
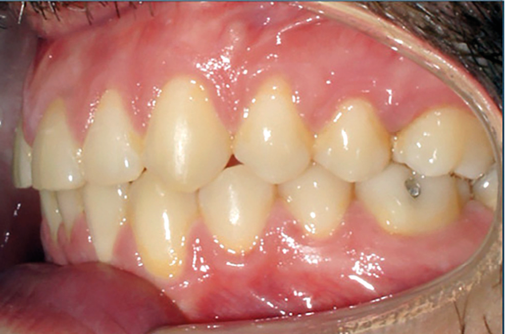
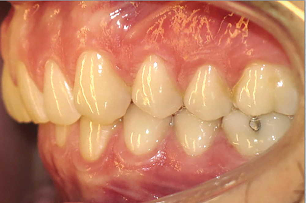
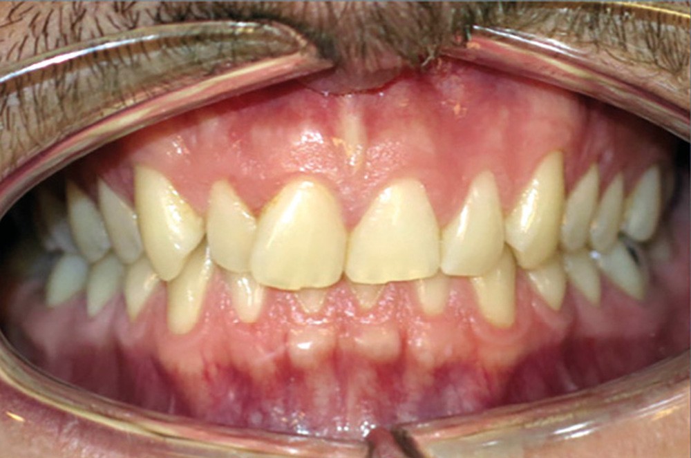
Discussion (fig. 4 à 7)
Le traitement a duré vingt-quatre mois. Le décalage de classe II complet à droite a nécessité une mécanique importante impliquant une bonne coopération du patient ainsi qu’un contrôle rigoureux des effets parasites. Les documents de fin de traitement nous montrent une normalisation des rapports incisifs. La correction de la classe II a entraîné une vestibulo-version de l’incisive mandibulaire qui reste néanmoins acceptable, et qui participe à la fermeture de l’angle interincisif, recherchée dans le traitement des classes II division 2. Les fonctions ont été rééduquées. Sur le plan esthétique, les améloplasties réalisées sur les bords libres de 12 à 22 ont permis d’effacer les séquelles de la supraclusion et participent à l’harmonisation du sourire.
Conclusion
La classe II.2 acquise secondaire, dite dysfonctionnelle, apparaît suite à une tension labiale excessive au repos et en fonction. Chez notre patient, la dysfonction labiale a conduit à une rétroalvéolie et à une supraalvéolie incisives maxillaires. La posture linguale haute et distale n’équilibrait pas l’action tonique de la lèvre inférieure. La diminution de l’angle interincisif par correction des torques, la mise en place d’une contention fixe et la rééducation neuromusculaire sont primordiales pour éviter la récidive du syndrome de la classe II.2.




















Commentaires