Grand Prix l’orthodontiste – Orthoplus
Premier lauréat ex aequo
Catégorie adultes
Guillaume Lecocq
Spécialiste qualifié en orthopédie dento-faciale, Valenciennes
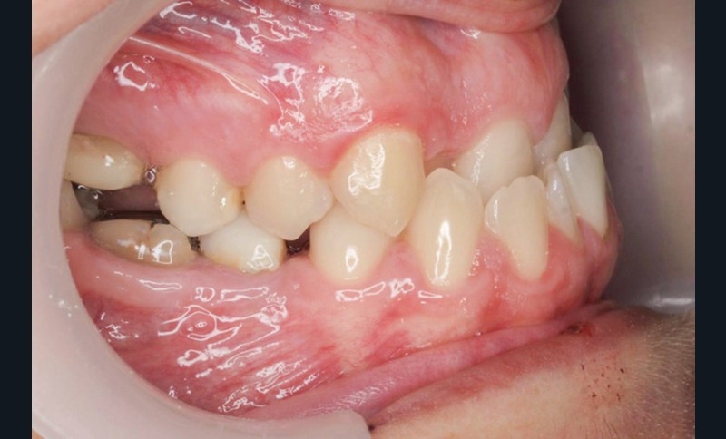
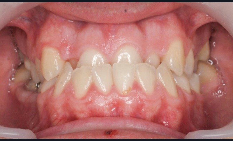
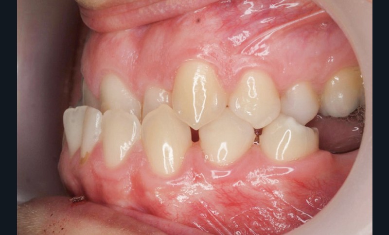
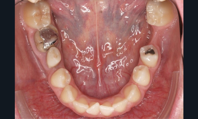
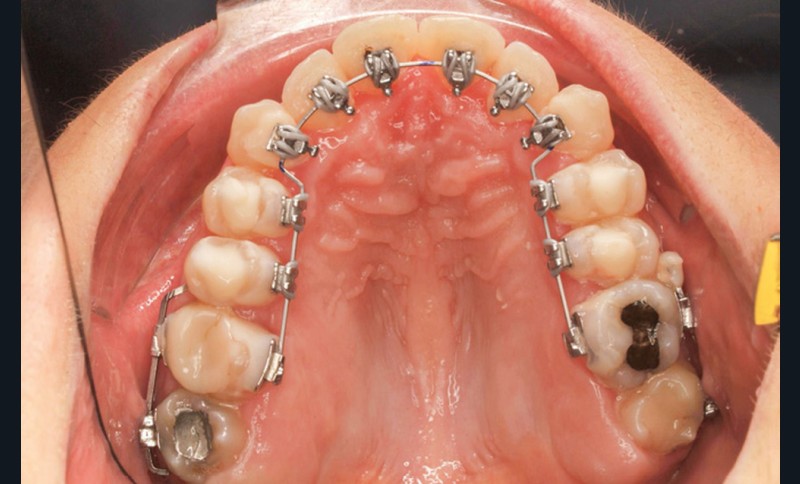
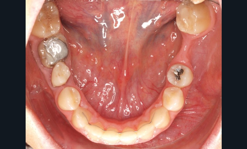
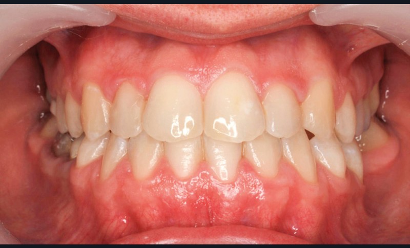
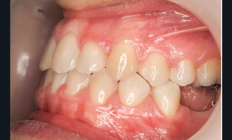
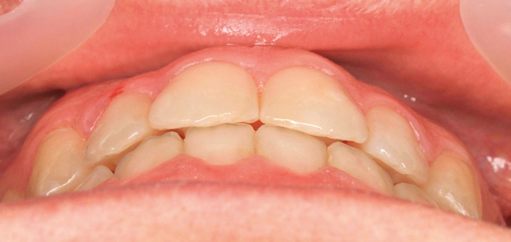
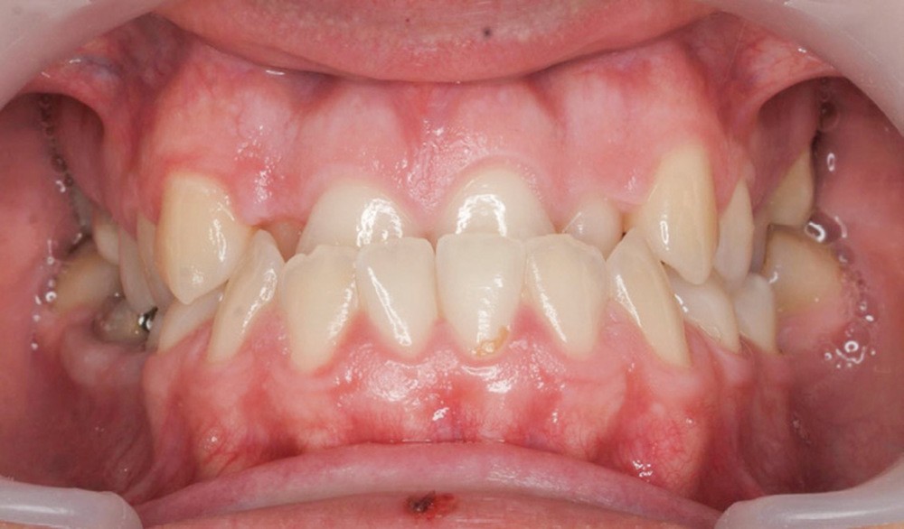
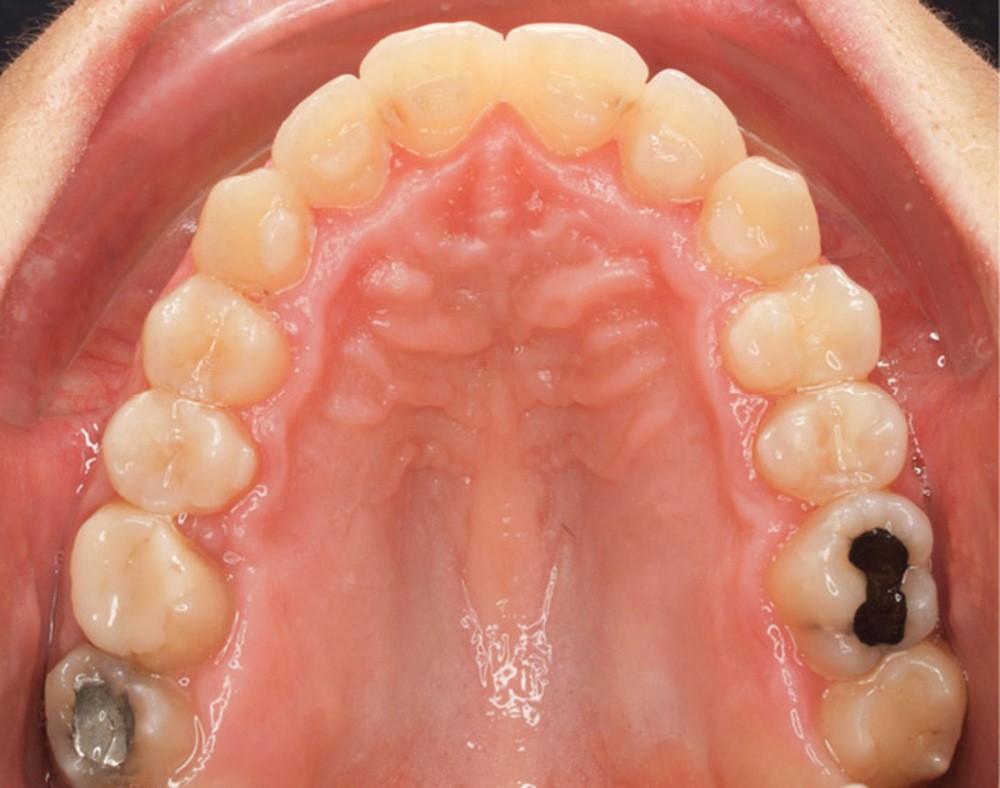
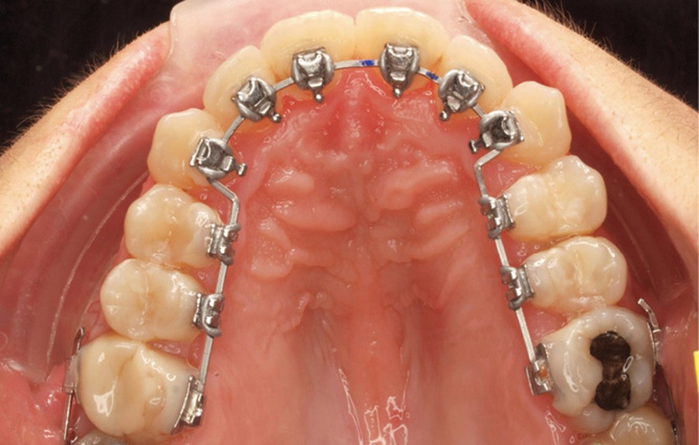
Diagnostic (fig. 1a-g)
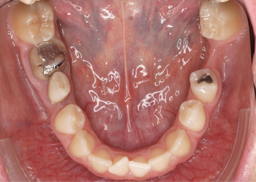
La patiente présente une classe III squelettique dans un contexte hyperdivergent associée à une endoalvéolie maxillaire, un articulé inversé antérieur, une rétroversion incisive maxillaire, des rapports de classe I canine bilatérale, une absence de 16 et 36.
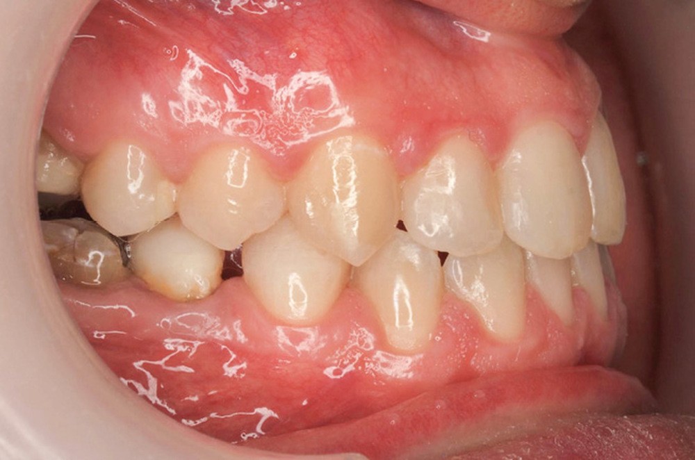
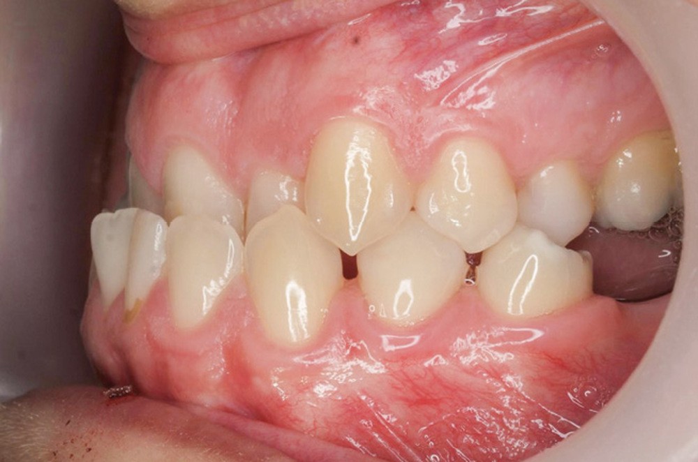
Au niveau esthétique, le profil est rectiligne. La lèvre supérieure est plus effacée, en retrait par rapport à la lèvre inférieure. De face et de profil, la mandibule paraît massive et le maxillaire effacé : le manque de soutien de la lèvre supérieure contribue à cette impression.
Le sourire est étroit, dégradé par les malpositions dentaires.
Au niveau fonctionnel, il existe un pro-glissement mandibulaire et un articulé inversé antérieur. Le profil téléradiographique montre en occlusion des rapports labiaux et un profil de classe III plus marqué que sur photographies.
Objectifs
Le traitement vise à améliorer les rapports squelettiques de classe III par repositionnement mandibulaire et correction de l’articulé inversé.
Au maxillaire, une expansion tridimensionnelle sera réalisée pour corriger la forme d’arcade et l’alignement.
À la mandibule, un espace pour le remplacement prothétique de 36 sera aménagé. En fin de traitement, 45 et 26 seront couronnées.
Un calage prémolaire stable sera essentiel pour maintenir l’expansion transversale maxillaire Le positionnement mésio-distal et vertical des 46 et 45 devra permettre les soins prothétiques. Au niveau antérieur, il s’agit de parfaire la classe I canine et d’obtenir un recouvrement incisif normalisé avec des contacts interincisifs homogènes.
Correction
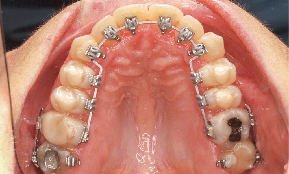
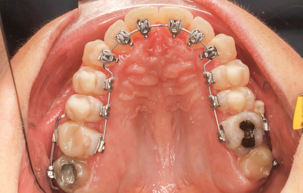
Le traitement est effectué avec un appareil lingual bimaxillaire et des attaches en .018 x .025 à insertion horizontale. L’appareil est réalisé intégralement au cabinet à partir d’un set-up conçu selon les objectifs décrits.
La stabilisation finale se fera avec une série de trois aligneurs in office programmée pour améliorer l’efficience des contacts occlusaux et stabiliser le résultat esthétique.
Phases thérapeutiques
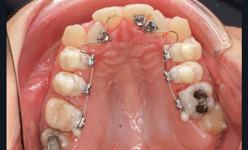
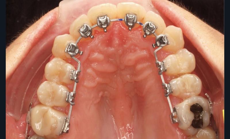
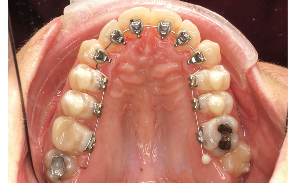
- Premier rendez-vous (fig. 2a) : l’arcade maxillaire est appareillée et un arc NiTi .014 en expansion est placé. L’arcade mandibulaire reçoit des cales rétro-incisives pour lever l’occlusion inversée. Par confort, des cales prémolaires, sans contact avec les dents antagonistes, sont posées pour réduire l’inocclusion latérale.
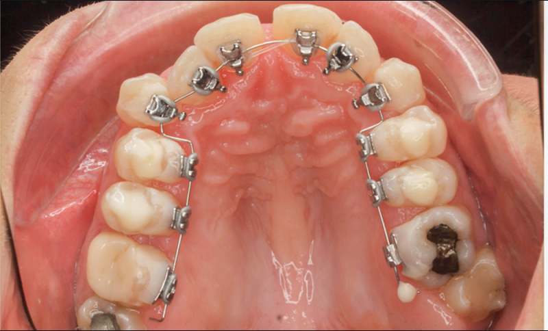
- Deuxième rendez-vous (fig. 2b) : les dents restantes sont collées et le même arc NiTi .014 est maintenu. Les cales rétro-incisives sont déposées et l’arcade mandibulaire est collée, un arc NiTi 0.014 posé.
- Troisième rendez-vous (fig. 2c) : les arcs NiTi .014 sont religaturés pour améliorer le nivellement-alignement.
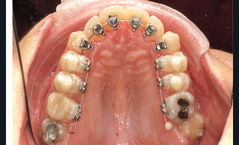
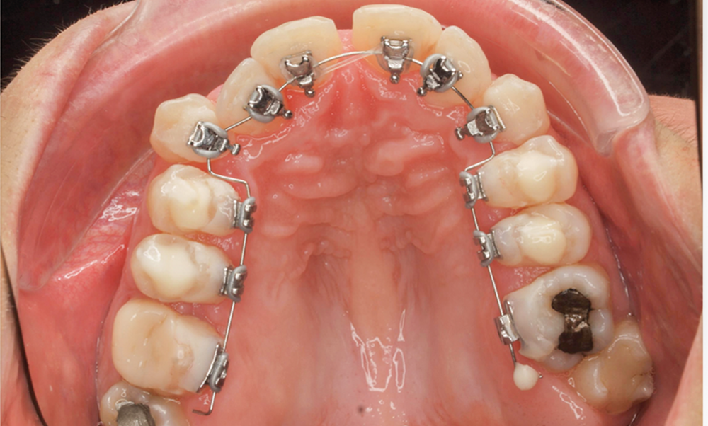
- Quatrième rendez-vous (fig. 2d) : des arcs TMA .017 x .017 sont posés. Les premières et deuxièmes molaires sont collées en vestibulaire avec un arc sectionnel NiTi 0,019×0,025.
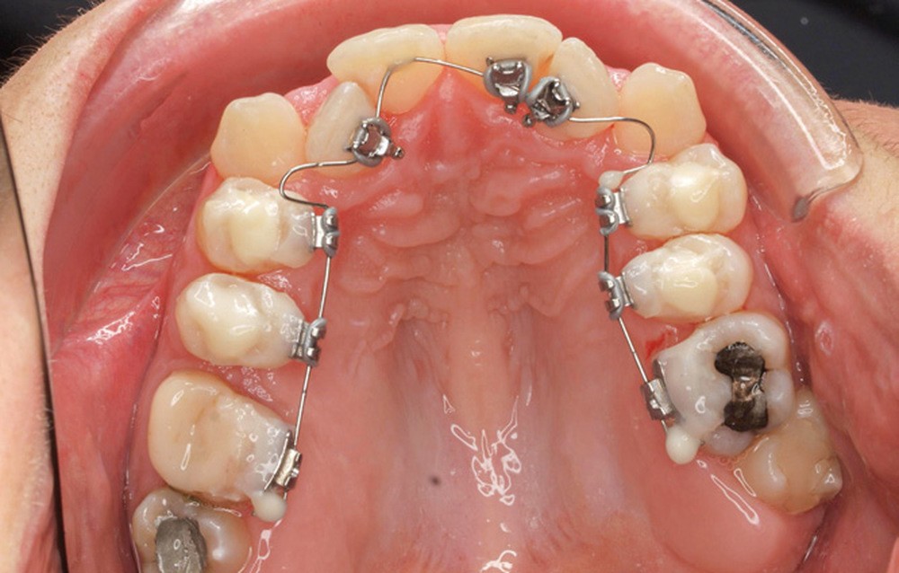
- Cinquième rendez-vous (fig. 2e) : des arcs TMA .017 x .025 sont posés et des tubes linguaux collés sur 17 et 27 pour le port d’élastiques criss-cross nocturnes.
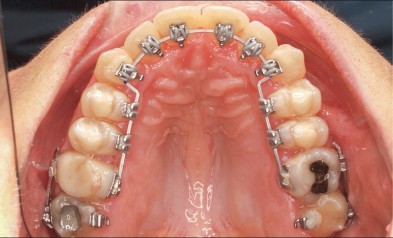
- Sixième rendez-vous (fig. 2f) : les cales sont déposées. Un pliage de finition sur 21 est réalisé pour améliorer son angulation.
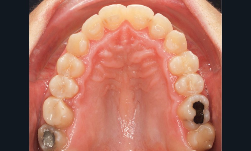
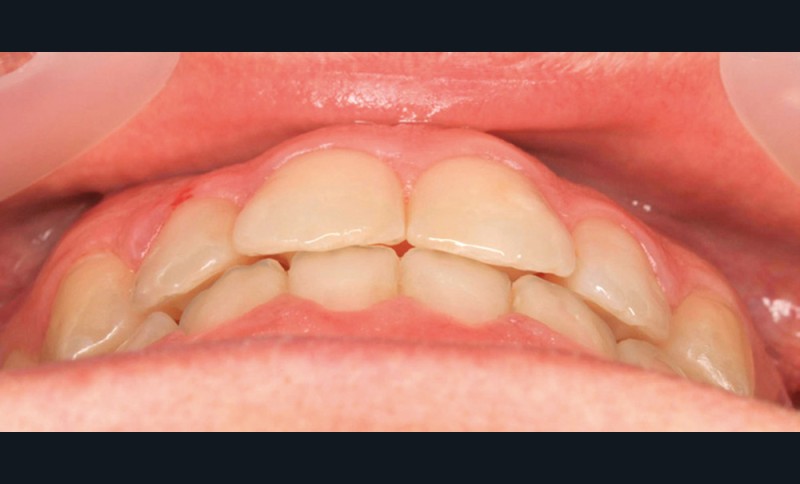
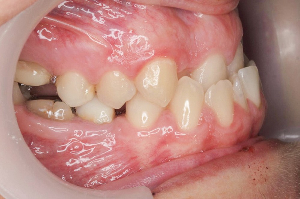
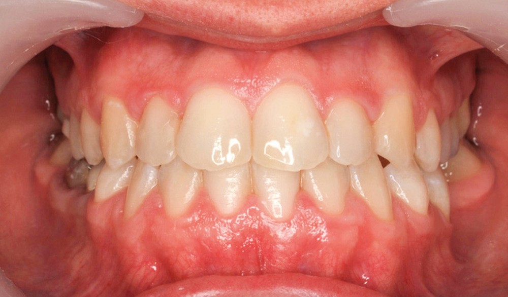
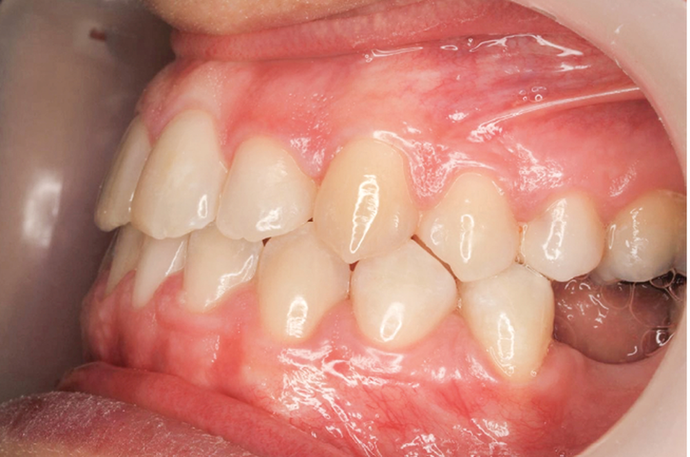
- Septième rendez-vous : les appareils sont déposés. Une empreinte numérique est prise pour réaliser trois aligneurs afin de parfaire le résultat occlusal et esthétique (fig. 3a-h).
Discussion
L’outil 3D nous permet de contrôler et maîtriser la conception/fabrication des appareils linguaux et des aligneurs, combinant et optimisant ainsi avantageusement les qualités des deux appareils.
L’appareil lingual permet d’obtenir une modification de la forme d’arcade rapide et efficace grâce au travail des arcs : la création d’espace, la correction des rotations et le contrôle des axes dentaires sont efficientes grâce à l’interaction arc-slot horizontal de l’attache.
Le slot des attaches permet un contrôle du torque et des racines des incisives que ne permettent pas de manière efficace les aligneurs [1-2].
De plus, le slot à insertion horizontal permet un bon contrôle des angulations : symétrie des axes et tipping progressif sont des éléments clefs dans l’esthétique du sourire [3]. Or, l’encombrement nécessite la création d’espace : les dents adjacentes à l’espace créé vont s’anguler mésialement ou distalement. Ce mouvement parasite systématique est mieux contrôlé avec le slot horizontal et les sections croissantes des arcs qu’avec un slot vertical.
Cependant, le contrôle des rotations nécessite de bien ligaturer l’arc dans les attaches avec slot horizontal. Ainsi, le contrôle des rotations peut sembler plus facile avec les attaches à slot vertical mais elles contrôlent moins bien les angulations : un choix stratégique et thérapeutique est à faire.
Les aligneurs contrôlent efficacement les rotations mais très mal l’angulation. La combinaison est donc en faveur de l’association orthodontie linguale avec slot à horizontale puis aligneurs.
Finalement, les aligneurs permettent les ajustements occlusaux fins et précis de finition.
Conclusion
Le set-up est un élément clef dans la réussite du traitement : il doit être maîtrisé par le praticien car il est la traduction des étapes cliniques à réaliser. L’apprentissage et la connaissance des set-up [4] permettent de traduire de manière efficace et efficiente notre travail virtuel théorique en phase clinique concrète et optimisée, comme l’illustre ce cas traité en six activations. Les outils virtuels nous ont permis de combiner deux systèmes avec une approche pragmatique et rationnelle d’un point de vue clinique et thérapeutique :
- nivellement, alignement, établissement de la forme d’arcade sont obtenus majoritairement avec l’appareil lingual et finalisés avec quelques aligneurs ;
- contrôle du torque et angulation sont obtenus intégralement avec le multi-attache lingual à slots horizontaux, les finitions du torque et de l’angulation étant peu fiable par aligneurs ;
- les rotations sont corrigées à 95 % avec l’appareil lingual et finalisées avec quelques aligneurs.
Les finitions par aligneurs évitent les élastiques verticaux et les mouvements parasites sur les dents adjacentes lors de pliages de finition





















Commentaires