2e cas lauréat 2022 du grand prix Endodontie au quotidien
La mise en forme canalaire, étape essentielle pour l’obturation
Jean-Charles CAMBRESIER
Cabinet Prodigue, Gembloux, Belgique
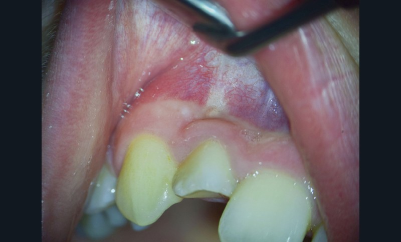
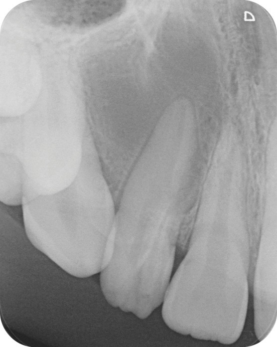
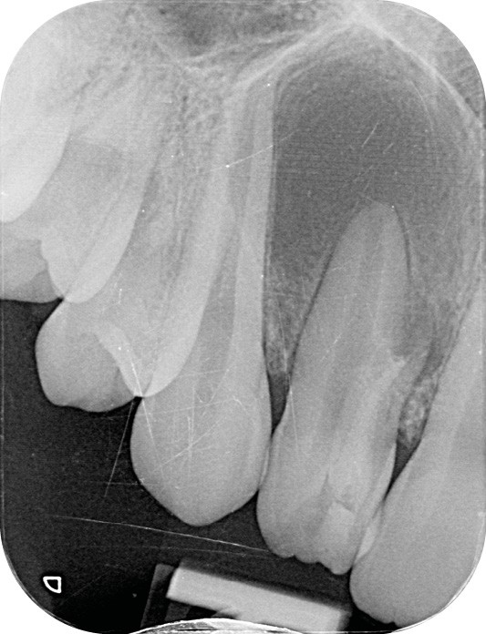
La patiente, âgée de 12 ans, s’est présentée à ma consultation avec une demande du chirurgien de réaliser le traitement endodontique de la 12 avant le curetage sous anesthésie générale. La radiographie périapicale préopératoire a mis en évidence une anatomie complexe. Les tests préopératoires ont montré un sondage parodontal sain, une percussion positive et un test au froid positif. La patiente présentait également une fistule vestibulaire active. Le Cone Beam a mis en évidence la présence d’une dens in dente et d’une lésion imposante ainsi qu’une palatoversion importante de la racine de la 12. La lésion est-elle responsable de ce mouvement dentaire ? (fig. 1, 2 et 3).
Prise de décision thérapeutique et traitement
Le test au froid et la position de la lésion m’ont permis de prendre ma décision thérapeutique. En effet, la lésion située uniquement sur la face vestibulaire de la dent en regard de l’apex du canal de la dens in dente et la persistance d’un test au froid positif à travers chacune des séances de soins m’ont permis de m’assurer que la dent principale était bel et bien vivante.
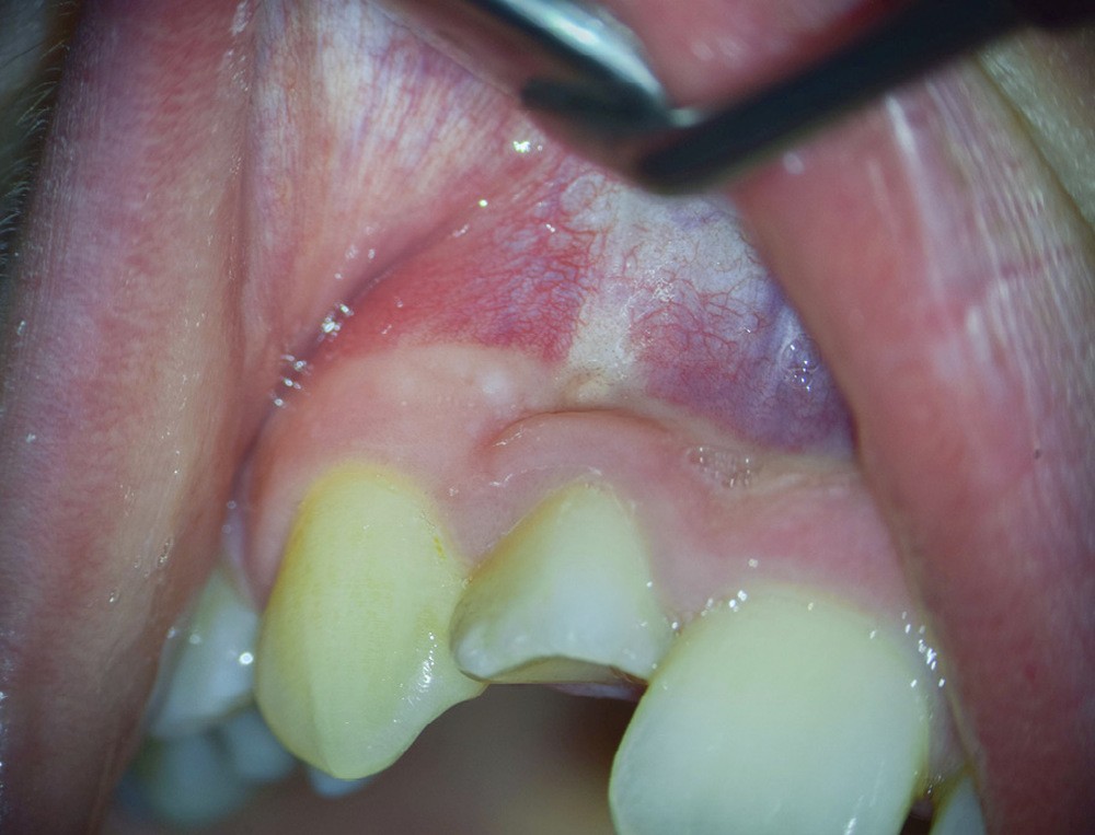
Lors du traitement endodontique, un suintement important étant encore présent à la fin de la seconde séance. J’ai pris la décision d’irriguer la crypte osseuse et sa lésion à travers la fistule à l’aide d’iso-bétadine délivrée par une aiguille stérile. C’est par empirisme que je réalise cette manœuvre ayant déjà montré à chaque reprise des résultats cliniques positifs. C’est l’équivalent d’une décompression sans tous les désavantages de cette dernière (fig. 4 et 5).
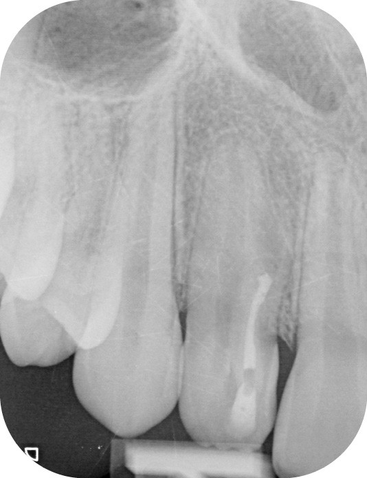
Lors de la séance d’obturation, le canal étant sec malgré la persistance de la fistule, j’ai réalisé l’obturation radiculaire et coronaire. L’obturation radiculaire a été réalisée à l’aide d’un ciment biocéramique en technique du single cône coupé et foulé à l’entrée canalaire (fig. 6).
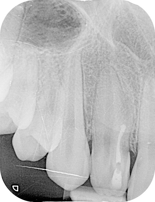
Le contrôle clinique à un mois m’a permis d’apprécier une cicatrisation complète de la fistule, augurant une future cicatrisation osseuse (fig. 7). Cette cicatrisation a pu être objectivée radiographiquement lors du contrôle à 6 mois (fig. 8), du contrôle à 1 an (fig. 9) et sur le Cone Beam à 1 an (fig. 10).
Il est également intéressant de constater le mouvement naturel de la dent sur l’arcade, qui sera tout de même traitée par orthodontie prochainement. Ce mouvement est-il la conséquence de la cicatrisation de cette lésion importante ?









Commentaires